扫码关注公众号           扫码咨询技术支持           扫码咨询技术服务
  
客服热线:400-901-9800  客服QQ:4009019800  技术答疑  技术支持  质量反馈  人才招聘  关于我们  联系我们
产品中心-北京博奥森生物技术有限公司
首页 > 产品中心 > 试剂盒 > 产品信息
Mouse AQP1 Ready-To-Use IHC Kit (IHC0255M)  
订购热线:400-901-9800
订购邮箱:sales@bioss.com.cn
订购QQ:  400-901-9800
技术支持:techsupport@bioss.com.cn
50T/3200.00元
大包装/询价

产品编号 IHC0255M
英文名称 Mouse AQP1 Ready-To-Use IHC Kit
中文名称 小鼠水通道蛋白1即用型免疫组化试剂盒
别    名 AQP-CHIP; AQP 1; AQP-1; AQP1_HUMAN; Aquaporin-1; Aquaporin-CHIP; Channel like integral membrane protein 28 kDa; MGC26324; Water channel protein CHIP 29; AQP CHIP; AQP1; Aquaporin CHIP; Aquaporin1; Aquaporin 1; Channel forming integral protein 28kDa; CHIP 28; CHIP28; CO; Colton blood group; Growth factor induced delayed early response protein; Urine water channel; Water channel protein CHIP29; Water channel protein for red blood cells and kidney proximal tubule  
克 隆 号
适用样品基质 FFPE tissue
保存条件 Please store components at the temperatures indicated on the individual tube labels. The kit is stable for 6 months from the date of receipt.
注意事项 This product as supplied is intended for research use only, not for use in human, therapeutic or diagnostic applications.
产品介绍 Aquaporin 1 is a 28kD integral membrane protein which was originally identified in red blood cells and renal proximal tubules. AQP1 is also expressed by the choroid plexus and various other tissues. It forms a water-specific channel that provides the plasma membranes of red cells and kidney proximal tubules with high permeability to water, thereby permitting water to move in the direction of an osmotic gradient.

SWISS:
P29972

Gene ID:
358

产品图片
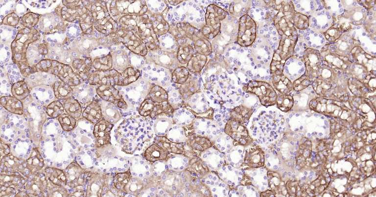
Immunohistochemical analysis of paraffin embedded mouse kidney tissue slide using IHC0255M (Mouse AQP1 IHC Kit).
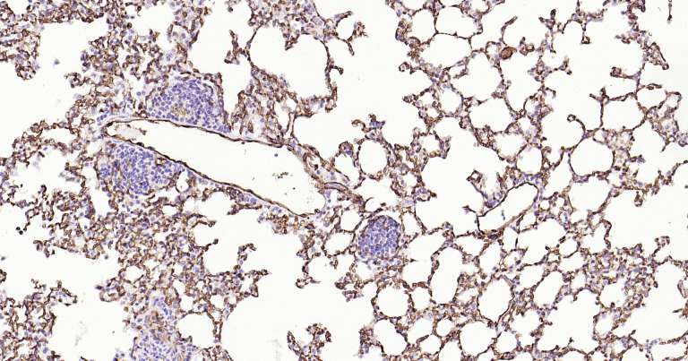
Immunohistochemical analysis of paraffin embedded mouse lung tissue slide using IHC0255M (Mouse AQP1 IHC Kit).
版权所有 2004-2026 www.bioss.com.cn 北京博奥森生物技术有限公司
通过国际质量管理体系ISO 9001:2015 GB/T 19001-2016    证书编号: 00124Q34771R2M/1100
通过国际医疗器械-质量管理体系ISO 13485:2016 GB/T 42061-2022     证书编号: CQC24QY20047R0M/1100
京ICP备05066980号-1         京公网安备110107000727号