扫码关注公众号           扫码咨询技术支持           扫码咨询技术服务
  
客服热线:400-901-9800  客服QQ:4009019800  技术答疑  技术支持  质量反馈  人才招聘  关于我们  联系我们
产品中心-北京博奥森生物技术有限公司
首页 > 产品中心 > 试剂盒 > 产品信息
Rat Sodium Potassium ATPase Ready-To-Use IHC Kit (IHC0259R)  
订购热线:400-901-9800
订购邮箱:sales@bioss.com.cn
订购QQ:  400-901-9800
技术支持:techsupport@bioss.com.cn
50T/3200.00元
大包装/询价

产品编号 IHC0259R
英文名称 Rat Sodium Potassium ATPase Ready-To-Use IHC Kit
中文名称 大鼠钠钾ATP酶蛋白a1即用型免疫组化试剂盒
别    名 ATP1A1; Atpa-1; BC010319; Nkaa1b; alpha 1 Sodium Potassium ATPase; A1A1; AT1A1; AT1A1_HUMAN; ATPase Na+/K+ transporting alpha 1 polypeptide; ATPase Na+/K+ transporting subunit alpha 1; EC 3.6.3.9; MGC3285; MGC38419; MGC51750; Na K ATPase alpha A catalytic polypeptide; Na K ATPase catalytic subunit alpha A protein; Na(+)/K(+) ATPase 1; Na(+)/K(+) ATPase alpha-1 subunit; Na+; K+ ATPase alpha subunit; Na+/K+ ATPase alpha 1 subunit; Na+/K+ ATPase 1; Na;K ATPase alpha 1 subunit; Sodium potassium ATPase alpha 1 polypeptide; Sodium pump 1; Sodium pump subunit alpha-1; sodium-potassium ATPase catalytic subunit alpha-1; Sodium/potassium-transporting ATPase subunit alpha-1  
克 隆 号
适用样品基质 FFPE tissue
保存条件 Please store components at the temperatures indicated on the individual tube labels. The kit is stable for 6 months from the date of receipt.
注意事项 This product as supplied is intended for research use only, not for use in human, therapeutic or diagnostic applications.
产品介绍 The protein encoded by this gene belongs to the family of P-type cation transport ATPases, and to the subfamily of Na+/K+ -ATPases. Na+/K+ -ATPase is an integral membrane protein responsible for establishing and maintaining the electrochemical gradients of Na and K ions across the plasma membrane. These gradients are essential for osmoregulation, for sodium-coupled transport of a variety of organic and inorganic molecules, and for electrical excitability of nerve and muscle. This enzyme is composed of two subunits, a large catalytic subunit (alpha) and a smaller glycoprotein subunit (beta). The catalytic subunit of Na+/K+ -ATPase is encoded by multiple genes. This gene encodes an alpha 1 subunit. Multiple transcript variants encoding different isoforms have been found for this gene.

SWISS:
P05023

Gene ID:
476

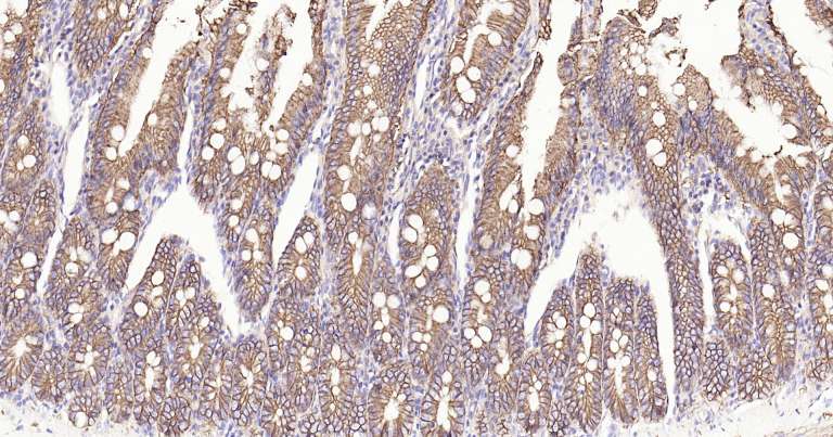
产品图片
Immunohistochemical analysis of paraffin embedded rat small intestine tissue slide using IHC0259R (Rat Sodium Potassium ATPase IHC Kit).
Immunohistochemical analysis of paraffin embedded rat stomach tissue slide using IHC0259R (Rat Sodium Potassium ATPase IHC Kit).
Immunohistochemical analysis of paraffin embedded rat kidney tissue slide using IHC0259R (Rat Sodium Potassium ATPase IHC Kit).
Immunohistochemical analysis of paraffin embedded rat colon tissue slide using IHC0259R (Rat Sodium Potassium ATPase IHC Kit).
版权所有 2004-2026 www.bioss.com.cn 北京博奥森生物技术有限公司
通过国际质量管理体系ISO 9001:2015 GB/T 19001-2016    证书编号: 00124Q34771R2M/1100
通过国际医疗器械-质量管理体系ISO 13485:2016 GB/T 42061-2022     证书编号: CQC24QY20047R0M/1100
京ICP备05066980号-1         京公网安备110107000727号