扫码关注公众号           扫码咨询技术支持           扫码咨询技术服务
  
客服热线:400-901-9800  客服QQ:4009019800  技术答疑  技术支持  质量反馈  人才招聘  关于我们  联系我们
产品中心-北京博奥森生物技术有限公司
首页 > 产品中心 > 试剂盒 > 产品信息
P Glycoprotein Ready-To-Use IHC Kit (IHC0264)  
订购热线:400-901-9800
订购邮箱:sales@bioss.com.cn
订购QQ:  400-901-9800
技术支持:techsupport@bioss.com.cn
50T/3200.00元
大包装/询价

产品编号 IHC0264
英文名称 P Glycoprotein Ready-To-Use IHC Kit
中文名称 P-糖蛋白即用型免疫组化试剂盒
别    名 ABC20; ABCB1; Abcb1a; Abcb1b; Abcb4; CD243; CLCS; Evi32; GP170; mdr; mdr-3; MDR1; Mdr1a; Mdr1b; Mdr3; P-GP; Pgp; PGP1; PGP2; Pgy-1; Pgy-3; PGY1; Pgy1-1; PGY2; Pgy3; ATP binding cassette; sub family B (MDR/TAP); member 1; ATP-binding cassette sub-family B member 1; Colchicin sensitivity; Doxorubicin resistance; MDR1_HUMAN; Multidrug resistance 1; Multidrug resistance protein 1; P glycoprotein 1; P gp; P-glycoprotein 1  
克 隆 号
适用样品基质 FFPE tissue
保存条件 Please store components at the temperatures indicated on the individual tube labels. The kit is stable for 6 months from the date of receipt.
注意事项 This product as supplied is intended for research use only, not for use in human, therapeutic or diagnostic applications.
产品介绍 The membrane-associated protein encoded by this gene is a member of the superfamily of ATP-binding cassette (ABC) transporters. ABC proteins transport various molecules across extra- and intra-cellular membranes. ABC genes are divided into seven distinct subfamilies (ABC1, MDR/TAP, MRP, ALD, OABP, GCN20, White). This protein is a member of the MDR/TAP subfamily. Members of the MDR/TAP subfamily are involved in multidrug resistance. The protein encoded by this gene is an ATP-dependent drug efflux pump for xenobiotic compounds with broad substrate specificity. It is responsible for decreased drug accumulation in multidrug-resistant cells and often mediates the development of resistance to anticancer drugs. This protein also functions as a transporter in the blood-brain barrier.

SWISS:
P08183

Gene ID:
5243

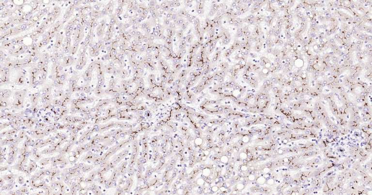
产品图片
Immunohistochemical analysis of paraffin embedded mouse liver tissue slide using IHC0264 (P Glycoprotein IHC Kit).
Immunohistochemical analysis of paraffin embedded human liver tissue slide using IHC0264 (P Glycoprotein IHC Kit).
Immunohistochemical analysis of paraffin embedded rat liver tissue slide using IHC0264 (P Glycoprotein IHC Kit).
版权所有 2004-2026 www.bioss.com.cn 北京博奥森生物技术有限公司
通过国际质量管理体系ISO 9001:2015 GB/T 19001-2016    证书编号: 00124Q34771R2M/1100
通过国际医疗器械-质量管理体系ISO 13485:2016 GB/T 42061-2022     证书编号: CQC24QY20047R0M/1100
京ICP备05066980号-1         京公网安备110107000727号