扫码关注公众号           扫码咨询技术支持           扫码咨询技术服务
  
客服热线:400-901-9800  客服QQ:4009019800  技术答疑  技术支持  质量反馈  人才招聘  关于我们  联系我们
产品中心-北京博奥森生物技术有限公司
首页 > 产品中心 > 试剂盒 > 产品信息
Rat Calreticulin Ready-To-Use IHC Kit (IHC0272R)  
订购热线:400-901-9800
订购邮箱:sales@bioss.com.cn
订购QQ:  400-901-9800
技术支持:techsupport@bioss.com.cn
50T/3200.00元
大包装/询价

产品编号 IHC0272R
英文名称 Rat Calreticulin Ready-To-Use IHC Kit
中文名称 大鼠钙网蛋白即用型免疫组化试剂盒
别    名 CALR; Calregulin; cC1qR; CRP55; CRT; CRTC; ERp60; HACBP; HEL-S-99n; I79_008346; RO; SSA; Autoantigen RO; CALR protein; CALR_HUMAN; Endoplasmic reticulum resident protein 60; grp60; Sicca syndrome antigen A  
克 隆 号
适用样品基质 FFPE tissue
保存条件 Please store components at the temperatures indicated on the individual tube labels. The kit is stable for 6 months from the date of receipt.
注意事项 This product as supplied is intended for research use only, not for use in human, therapeutic or diagnostic applications.
产品介绍 Calr or Calreticulin is a calcium-binding chaperone that promotes folding, oligomeric assembly and quality control in the endoplasmic reticulum (ER) via the calreticulin/calnexin cycle. Calr, a lectin, interacts transiently with almost all of the monoglucosylated glycoproteins that are synthesized in the ER. Calr also interacts with with the DNA-binding domain of NR3C1 and mediates its nuclear export. It may also be involved in maternal gene expression regulation and oocyte maturation via the regulation of calcium homeostasis.

SWISS:
P27797

Gene ID:
811

产品图片
Immunohistochemical analysis of paraffin embedded rat stomach tissue slide using IHC0272R (Rat Calreticulin IHC Kit).
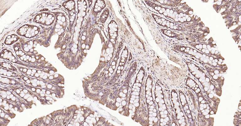
Immunohistochemical analysis of paraffin embedded rat colon tissue slide using IHC0272R (Rat Calreticulin IHC Kit).
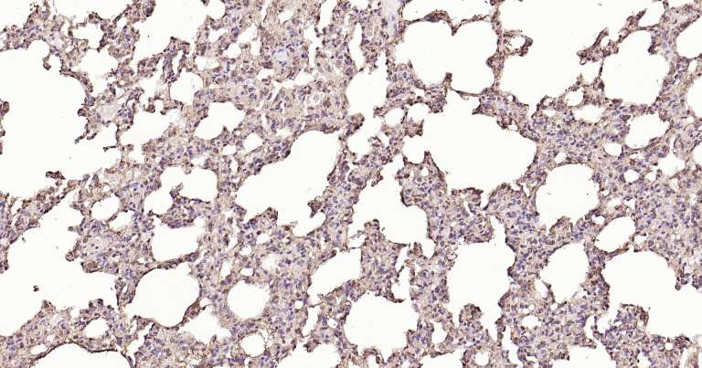
Immunohistochemical analysis of paraffin embedded rat lung tissue slide using IHC0272R (Rat Calreticulin IHC Kit).
版权所有 2004-2026 www.bioss.com.cn 北京博奥森生物技术有限公司
通过国际质量管理体系ISO 9001:2015 GB/T 19001-2016    证书编号: 00124Q34771R2M/1100
通过国际医疗器械-质量管理体系ISO 13485:2016 GB/T 42061-2022     证书编号: CQC24QY20047R0M/1100
京ICP备05066980号-1         京公网安备110107000727号