扫码关注公众号           扫码咨询技术支持           扫码咨询技术服务
  
客服热线:400-901-9800  客服QQ:4009019800  技术答疑  技术支持  质量反馈  人才招聘  关于我们  联系我们
产品中心-北京博奥森生物技术有限公司
首页 > 产品中心 > 试剂盒 > 产品信息
Human Nestin Ready-To-Use IHC Kit (IHC0209H)  
订购热线:400-901-9800
订购邮箱:sales@bioss.com.cn
订购QQ:  400-901-9800
技术支持:techsupport@bioss.com.cn
50T/3200.00元
大包装/询价

产品编号 IHC0209H
英文名称 Human Nestin Ready-To-Use IHC Kit
中文名称 人巢蛋白/神经上皮干细胞蛋白即用型免疫组化试剂盒
别    名 ESTM 46; FLJ 21841; FLJ21841; Intermediate filament protein; nes; NEST_HUMAN; Nestin; AA166324; C78523; ESTM46; Nbla00170; NES  
克 隆 号
适用样品基质 FFPE tissue
保存条件 Please store components at the temperatures indicated on the individual tube labels. The kit is stable for 6 months from the date of receipt.
注意事项 This product as supplied is intended for research use only, not for use in human, therapeutic or diagnostic applications.
产品介绍 Nestin is a Class VI intermediate filament abundantly produced in the developing central nervous system (CNS) and in early embryonic neuroepithelial stem cells. Nestin has been widely used as a predominant marker for stem/progenitor cells, glioma cells, and tumor endothelial cells. Also, Nestin is a superior angiogenic marker to evaluate neovascularity of endothelial cells in tumors. Highly specific antibodies to human Nestin can aid in characterizing progenitor cells differentiating into distinct lineages, in enhancing the therapeutic potential of human neural stem/progenitor cells in the treatment of CNS diseases or injury, and in identifying neuroepithelial tumor cells. Nestin expression has been observed in pancreatic hematopoietic stem cell populations, and is considered a novel angiogenesis marker of proliferating endothelial cells in colorectal cancer tissue.

SWISS:
P48681

Gene ID:
10763

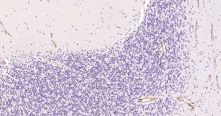
产品图片
Immunohistochemical analysis of paraffin embedded human cerebellum tissue slide using IHC0209H (Human Nestin IHC Kit).
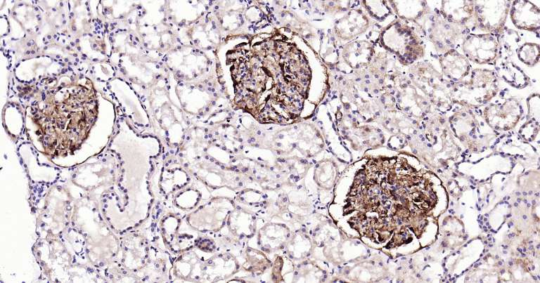
Immunohistochemical analysis of paraffin embedded human kidney tissue slide using IHC0209H (Human Nestin IHC Kit).
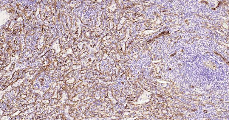
Immunohistochemical analysis of paraffin embedded human spleen tissue slide using IHC0209H (Human Nestin IHC Kit).
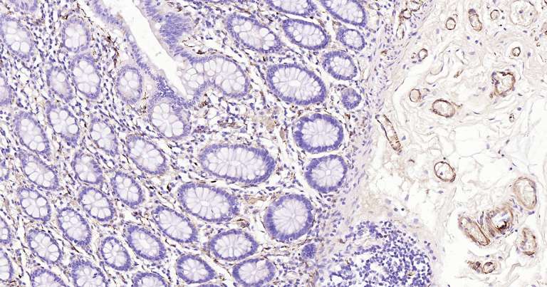
Immunohistochemical analysis of paraffin embedded human colon tissue slide using IHC0209H (Human Nestin IHC Kit).
Immunohistochemical analysis of paraffin embedded human glioma tissue slide using IHC0209H (Human Nestin IHC Kit).
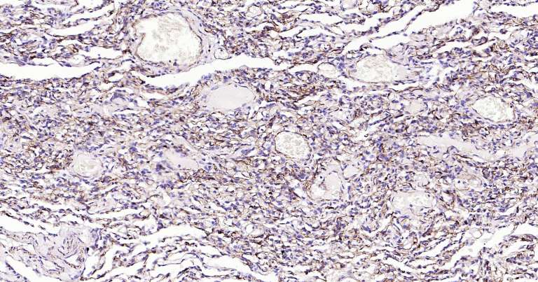
Immunohistochemical analysis of paraffin embedded human lung tissue slide using IHC0209H (Human Nestin IHC Kit).
版权所有 2004-2026 www.bioss.com.cn 北京博奥森生物技术有限公司
通过国际质量管理体系ISO 9001:2015 GB/T 19001-2016    证书编号: 00124Q34771R2M/1100
通过国际医疗器械-质量管理体系ISO 13485:2016 GB/T 42061-2022     证书编号: CQC24QY20047R0M/1100
京ICP备05066980号-1         京公网安备110107000727号