扫码关注公众号           扫码咨询技术支持           扫码咨询技术服务
  
客服热线:400-901-9800  客服QQ:4009019800  技术答疑  技术支持  质量反馈  人才招聘  关于我们  联系我们
产品中心-北京博奥森生物技术有限公司
首页 > 产品中心 > 试剂盒 > 产品信息
Human CD5 Ready-To-Use IHC Kit (IHC0236H)  
订购热线:400-901-9800
订购邮箱:sales@bioss.com.cn
订购QQ:  400-901-9800
技术支持:techsupport@bioss.com.cn
50T/3200.00元
大包装/询价

产品编号 IHC0236H
英文名称 Human CD5 Ready-To-Use IHC Kit
中文名称 人CD5即用型免疫组化试剂盒
别    名 CD5; LEU1; T1; T-cell surface glycoprotein CD5; Lymphocyte antigen 1; Ly-1; Lyt-1; CD-5; CD5 antigen; CD 5; CD5 molecule; CD5 antigen (p56 62); CD5_HUMAN; LEU 1; Ly12; LyA; Lymphocyte Antigen CD5; Lymphocyte antigen T1/Leu 1; Lymphocyte antigen T1/Leu-1; Lymphocyte glycoprotein T1/Leu1  
克 隆 号
适用样品基质 FFPE tissue
保存条件 Please store components at the temperatures indicated on the individual tube labels. The kit is stable for 6 months from the date of receipt.
注意事项 This product as supplied is intended for research use only, not for use in human, therapeutic or diagnostic applications.
产品介绍 CD5 is a 67 kDa human T-lymphocyte single-chain transmembrane glycoprotein. CD5 is present on all mature T-lymphocytes, on most of thymocytes and on many T-cell leukemias and lymphomas. CD5 also reacts with a subpopulation of activated B-cells and may act as a receptor in regulating T-cell proliferation. CD5 is found on 95% of thymocytes and 72% of peripheral blood lymphocytes. In lymph nodes, the main reactivity is observed in T cell areas. CD5 is expressed by many T cell leukemia, lymphomas, and activated T cells. Diseases associated with CD5 dysfunction include thymus cancer and Richter's Syndrome.

SWISS:
P06127

Gene ID:
921

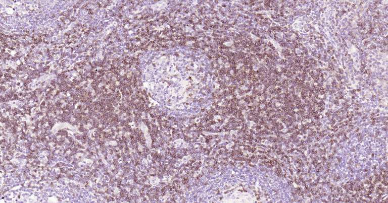
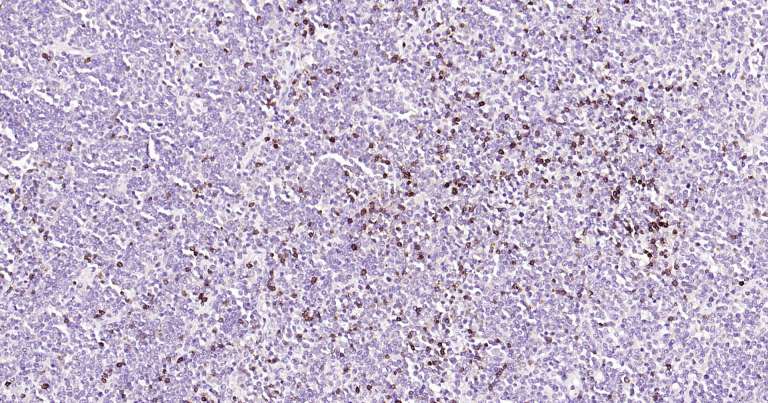
产品图片
Immunohistochemical analysis of paraffin embedded human spleen tissue slide using IHC0236H (Human CD5 IHC Kit).
Immunohistochemical analysis of paraffin embedded human lymph nodes tissue slide using IHC0236H (Human CD5 IHC Kit).
Immunohistochemical analysis of paraffin embedded human tonsil tissue slide using IHC0236H (Human CD5 IHC Kit).
Immunohistochemical analysis of paraffin embedded human skeletal muscle tissue slide using IHC0236H (Human CD5 IHC Kit).
版权所有 2004-2026 www.bioss.com.cn 北京博奥森生物技术有限公司
通过国际质量管理体系ISO 9001:2015 GB/T 19001-2016    证书编号: 00124Q34771R2M/1100
通过国际医疗器械-质量管理体系ISO 13485:2016 GB/T 42061-2022     证书编号: CQC24QY20047R0M/1100
京ICP备05066980号-1         京公网安备110107000727号