扫码关注公众号           扫码咨询技术支持           扫码咨询技术服务
  
客服热线:400-901-9800  客服QQ:4009019800  技术答疑  技术支持  质量反馈  人才招聘  关于我们  联系我们
产品中心-北京博奥森生物技术有限公司
首页 > 产品中心 > 试剂盒 > 产品信息
Human CD3D Ready-To-Use IHC Kit (IHC0300H)  
订购热线:400-901-9800
订购邮箱:sales@bioss.com.cn
订购QQ:  400-901-9800
技术支持:techsupport@bioss.com.cn
50T/3200.00元
大包装/询价

产品编号 IHC0300H
英文名称 Human CD3D Ready-To-Use IHC Kit
中文名称 人CD3D即用型免疫组化试剂盒
别    名 CD3-DELTA; CD3D; IMD19; T3D; CD3 antigen delta subunit; CD3 delta; CD3d antigen delta polypeptide; CD3d molecule delta; CD3D_HUMAN; IMD19; OKT3 delta chain; T cell receptor T3 delta chain; T-cell surface glycoprotein CD3 delta chain  
克 隆 号
适用样品基质 FFPE tissue
保存条件 Please store components at the temperatures indicated on the individual tube labels. The kit is stable for 6 months from the date of receipt.
注意事项 This product as supplied is intended for research use only, not for use in human, therapeutic or diagnostic applications.
产品介绍 CD3d is part of the T-cell receptor/CD3 complex (TCR/CD3 complex) and is involved in T-cell development and signal transduction. The CD3d protein represents the delta subunit of the CD3 complex, and along with four other CD3 subunits, binds either TCR alpha/beta or TCR gamma/delta to form the TCR/CD3 complex on the surface of T-cells. Defects in the CD3d gene are a cause of severe combined immunodeficiency autosomal recessive T-cell-negative/B-cell-positive/NK-cell-positive (SCIDBNK). Two transcript variants encoding different isoforms of CD3d have been found. Other variants of CD3d may also exist, but the full-length nature of their transcripts have yet to be defined.

SWISS:
P04234

Gene ID:
915

产品图片
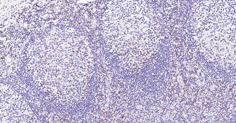
Immunohistochemical analysis of paraffin embedded human spleen tissue slide using IHC0300H (Human CD3D IHC Kit).
Immunohistochemical analysis of paraffin embedded human tonsil tissue slide using IHC0300H (Human CD3D IHC Kit).
版权所有 2004-2026 www.bioss.com.cn 北京博奥森生物技术有限公司
通过国际质量管理体系ISO 9001:2015 GB/T 19001-2016    证书编号: 00124Q34771R2M/1100
通过国际医疗器械-质量管理体系ISO 13485:2016 GB/T 42061-2022     证书编号: CQC24QY20047R0M/1100
京ICP备05066980号-1         京公网安备110107000727号