扫码关注公众号           扫码咨询技术支持           扫码咨询技术服务
  
客服热线:400-901-9800  客服QQ:4009019800  技术答疑  技术支持  质量反馈  人才招聘  关于我们  联系我们
产品中心-北京博奥森生物技术有限公司
首页 > 产品中心 > 试剂盒 > 产品信息
Mouse CD68 Ready-To-Use IHC Kit (IHC0302M)  
订购热线:400-901-9800
订购邮箱:sales@bioss.com.cn
订购QQ:  400-901-9800
技术支持:techsupport@bioss.com.cn
50T/3200.00元
大包装/询价

产品编号 IHC0302M
英文名称 Mouse CD68 Ready-To-Use IHC Kit
中文名称 小鼠CD68即用型免疫组化试剂盒
别    名 CD68; GP110; LAMP4; SCARD1; CD 68; CD68 antigen; CD68 molecule; DKFZp686M18236; Macrophage antigen CD68 (microsialin); macrosialin; Scavenger receptor class D member 1; macrosialin isoform A precursor; CD68_HUMAN; Macrosialin; Gp110; scavenger receptor class D; member 1; macrophage antigen CD68  
克 隆 号
适用样品基质 FFPE tissue
保存条件 Please store components at the temperatures indicated on the individual tube labels. The kit is stable for 6 months from the date of receipt.
注意事项 This product as supplied is intended for research use only, not for use in human, therapeutic or diagnostic applications.
产品介绍 CD68 (Macrosialin) is a 110 kDa integral membrane glycoprotein predominantly expressed on the intracellular lysomsomes of monocytes and macrophages and to a lesser extent by dendritic cells and peripheral blood granulocytes. Also, CD68 could play a role in phagocytic activities of tissue macrophages, both in intracellular lysosomal metabolism and extracellular cell-cell and cell-pathogen interactions. CD68 is expressed by interdigitating reticulum cells in tonsil and some histiocytic lymphoma or histiocytosis, acute myeloid leukemia (AML), and granulocytic sarcoma. Elevated expression of CD68 has been demonstrated on CD34+ cells in various human malignancies, including several Acute Myeloid Leukemia studies.

SWISS:
P31996

Gene ID:
12514

产品图片
Immunohistochemical analysis of paraffin embedded mouse liver tissue slide using IHC0302M (Mouse CD68 IHC Kit).
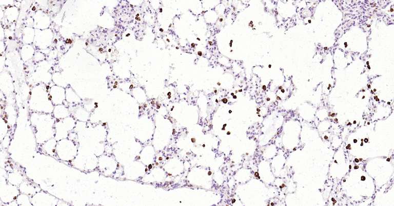
Immunohistochemical analysis of paraffin embedded mouse lung tissue slide using IHC0302M (Mouse CD68 IHC Kit).
版权所有 2004-2026 www.bioss.com.cn 北京博奥森生物技术有限公司
通过国际质量管理体系ISO 9001:2015 GB/T 19001-2016    证书编号: 00124Q34771R2M/1100
通过国际医疗器械-质量管理体系ISO 13485:2016 GB/T 42061-2022     证书编号: CQC24QY20047R0M/1100
京ICP备05066980号-1         京公网安备110107000727号