扫码关注公众号           扫码咨询技术支持           扫码咨询技术服务
  
客服热线:400-901-9800  客服QQ:4009019800  技术答疑  技术支持  质量反馈  人才招聘  关于我们  联系我们
产品中心-北京博奥森生物技术有限公司
首页 > 产品中心 > 一抗 > 产品信息
phospho-PP2A alpha (Ser307) Recombinant Rabbit mAb (bsm-61107R)  
订购热线:400-901-9800
订购邮箱:sales@bioss.com.cn
订购QQ:  400-901-9800
技术支持:techsupport@bioss.com.cn
25ul/800.00元
50ul/1400.00元
100ul/2500.00元
大包装/询价

产品编号 bsm-61107R
英文名称 phospho-PP2A alpha (Ser307) Recombinant Rabbit mAb
中文名称 磷酸化蛋白磷酸酶2A重组兔单抗
别    名 PPP2CA | PP2A alpha (phospho-S307); p-PP2A alpha; phospho-PP2A alpha; p-PPP2CA; PPP2CA | PP2A alpha (phospho-Ser307); HJS3; NEDLBA; PP2Ac; PP2CA; PP2Calpha; RP-C; PP2Abeta; PP2CB; PP2A; D8Ertd766e; Pp2a1; Pp2a2; PP2AB_HUMAN; PPP2CB; PP2A-beta; 3.1.3.16; PP2AA_HUMAN; PPP2CA; PP2A-alpha; Replication protein C (RP-C); PP2AB_MOUSE; PP2AA_MOUSE; PP2AB_RAT; PP2AA_RAT;   
抗体来源 Rabbit
克隆类型 Recombinant
克 隆 号 10C3
交叉反应 Human,Mouse,Rat
产品应用 WB=1:500-2000,IHC-P=1:50-200,IHC-F=1:50-200,IF=1:50-200,IP=1:20-50
not yet tested in other applications.
optimal dilutions/concentrations should be determined by the end user.
理论分子量 36 kDa
检测分子量 36
性    状 Liquid
免 疫 原 A synthesized peptide derived from human PP2A alpha around the phosphorylation site of S307: PD-pY-FL 
亚    型 IgG
纯化方法 affinity purified by Protein A
缓 冲 液 10mM phosphate buffered saline(pH 7.4) with 150mM sodium chloride, 0.05% BSA, 0.02% Proclin300 and 50% glycerol.
保存条件 Store at 4℃ for short term. Store at -20℃ for long term. Avoid repeated freeze/thaw cycles.
注意事项 This product as supplied is intended for research use only, not for use in human, therapeutic or diagnostic applications.
PubMed PubMed
产品介绍 PP2A is the major phosphatase for microtubule-associated proteins (MAPs). PP2A can modulate the activity of phosphorylase B kinase casein kinase 2, mitogen-stimulated S6 kinase, and MAP-2 kinase. Cooperates with SGOL2 to protect centromeric cohesin from separase-mediated cleavage in oocytes specifically during meiosis I. Can dephosphorylate SV40 large T antigen and p53/TP53. Activates RAF1 by dephosphorylating it at 'Ser-259'.

SWISS:
P67775

Gene ID:
5516

激酶和磷酸酶(Kinases and Phosphatases) PP-2A 蛋白质磷酸脂酶主要用于细胞信号传导,参与酵母细胞及两栖类卵母细胞有丝分裂的蛋白丝/苏氨酸磷酸酶。由65kDa和55kDa(亚基A和B)调节亚基及37kDa(亚基C)催化亚基组成。催化亚基在物种间高度保守。此酶的表达与细胞周期调节有关。此抗体与PP-2A subunit A,B 均有交叉反应。
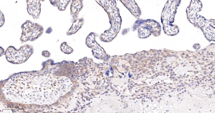
产品图片
25 ug total protein per lane of various lysates (see on figure) probed with Phospho-PP2A alpha (Ser307) monoclonal antibody, unconjugated (bsm-61107R) at 1:1000 dilution and 4°C overnight incubation. Followed by conjugated secondary antibody incubation at r.t. for 60 min.
Paraformaldehyde-fixed, paraffin embedded Human Breast Cancer; Antigen retrieval by boiling in sodium citrate buffer (pH6.0) for 15 min; The section was incubated with Phospho-PP2A alpha (Ser307) Monoclonal Antibody, Unconjugated (bsm-61107R) at 1:200 overnight at 4°C, followed by conjugation to the bs-0295G-HRP and DAB (C-0010) staining.
Paraformaldehyde-fixed, paraffin embedded Human Placenta; Antigen retrieval by boiling in sodium citrate buffer (pH6.0) for 15 min; The section was incubated with Phospho-PP2A alpha (Ser307) Monoclonal Antibody, Unconjugated (bsm-61107R) at 1:200 overnight at 4°C, followed by conjugation to the bs-0295G-HRP and DAB (C-0010) staining.
Paraformaldehyde-fixed, paraffin embedded Human Cerebrum; Antigen retrieval by boiling in sodium citrate buffer (pH6.0) for 15 min; The section was incubated with Phospho-PP2A alpha (Ser307) Monoclonal Antibody, Unconjugated (bsm-61107R) at 1:200 overnight at 4°C, followed by conjugation to the bs-0295G-HRP and DAB (C-0010) staining.
Paraformaldehyde-fixed, paraffin embedded Rat Cerebrum; Antigen retrieval by boiling in sodium citrate buffer (pH6.0) for 15 min; The section was incubated with Phospho-PP2A alpha (Ser307) Monoclonal Antibody, Unconjugated (bsm-61107R) at 1:200 overnight at 4°C, followed by conjugation to the bs-0295G-HRP and DAB (C-0010) staining.
Paraformaldehyde-fixed, paraffin embedded Mouse Cerebrum; Antigen retrieval by boiling in sodium citrate buffer (pH6.0) for 15 min; The section was incubated with Phospho-PP2A alpha (Ser307) Monoclonal Antibody, Unconjugated (bsm-61107R) at 1:200 overnight at 4°C, followed by conjugation to the bs-0295G-HRP and DAB (C-0010) staining.
版权所有 2004-2026 www.bioss.com.cn 北京博奥森生物技术有限公司
通过国际质量管理体系ISO 9001:2015 GB/T 19001-2016    证书编号: 00124Q34771R2M/1100
通过国际医疗器械-质量管理体系ISO 13485:2016 GB/T 42061-2022     证书编号: CQC24QY20047R0M/1100
京ICP备05066980号-1         京公网安备110107000727号