扫码关注公众号           扫码咨询技术支持           扫码咨询技术服务
  
客服热线:400-901-9800  客服QQ:4009019800  技术答疑  技术支持  质量反馈  人才招聘  关于我们  联系我们
产品中心-北京博奥森生物技术有限公司
首页 > 产品中心 > 一抗 > 产品信息
LSP1 Recombinant Rabbit mAb (bsm-61255R)  
订购热线:400-901-9800
订购邮箱:sales@bioss.com.cn
订购QQ:  400-901-9800
技术支持:techsupport@bioss.com.cn
25ul/800.00元
50ul/1400.00元
100ul/2500.00元
大包装/询价

产品编号 bsm-61255R
英文名称 LSP1 Recombinant Rabbit mAb
中文名称 白细胞F肌动蛋白结合蛋白重组兔单抗
别    名 LSP1_HUMAN; LSP1; 47 kDa actin-binding protein; 52 kDa phosphoprotein (pp52); Lymphocyte-specific antigen WP34; WP34; pp52;   
抗体来源 Rabbit
克隆类型 Recombinant
克 隆 号 5E12
交叉反应 Human,Mouse,Rat
产品应用 WB=1:500-2000,IHC-P=1:50-200,IHC-F=1:50-200,IF=1:50-200,Flow-Cyt=1:50-100,ICC/IF=1:50-200
not yet tested in other applications.
optimal dilutions/concentrations should be determined by the end user.
理论分子量 37 kDa
检测分子量 52
性    状 Liquid
免 疫 原 A synthesized peptide derived from human LSP1: 289-339 
亚    型 IgG
纯化方法 affinity purified by Protein A
缓 冲 液 10mM phosphate buffered saline(pH 7.4) with 150mM sodium chloride, 0.05% BSA, 0.02% Proclin300 and 50% glycerol.
保存条件 Store at 4℃ for short term. Store at -20℃ for long term. Avoid repeated freeze/thaw cycles.
注意事项 This product as supplied is intended for research use only, not for use in human, therapeutic or diagnostic applications.
PubMed PubMed
产品介绍 LSP1 is a 52 kDa leukocyte-specific protein expressed in B cells, T cells, macrophages and neutrophils. The protein binds F-actin through its C-terminal actin-binding repeat and regulates cytoskeletal-related cellular movement such as polarization, chemotaxis and locomotion. LSP1 is a phospho-protein and has been identified as a major substrate of MAP kinase and PKC in lymphocytes and neutrophils.

SWISS:
P33241

Gene ID:
4046

产品图片
25 ug total protein per lane of various lysates (see on figure) probed with LSP1 monoclonal antibody, unconjugated (bsm-61255R) at 1:1000 dilution and 4°C overnight incubation. Followed by conjugated secondary antibody incubation at r.t. for 60 min.
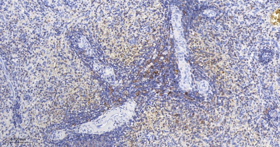
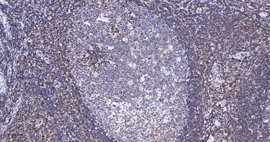
Paraformaldehyde-fixed, paraffin embedded Human Tonsil; Antigen retrieval by boiling in sodium citrate buffer (pH6.0) for 15 min; The section was incubated with LSP1 Monoclonal Antibody, Unconjugated (bsm-61255R) at 1:200 overnight at 4°C, followed by conjugation to the bs-0295G-HRP and DAB (C-0010) staining.
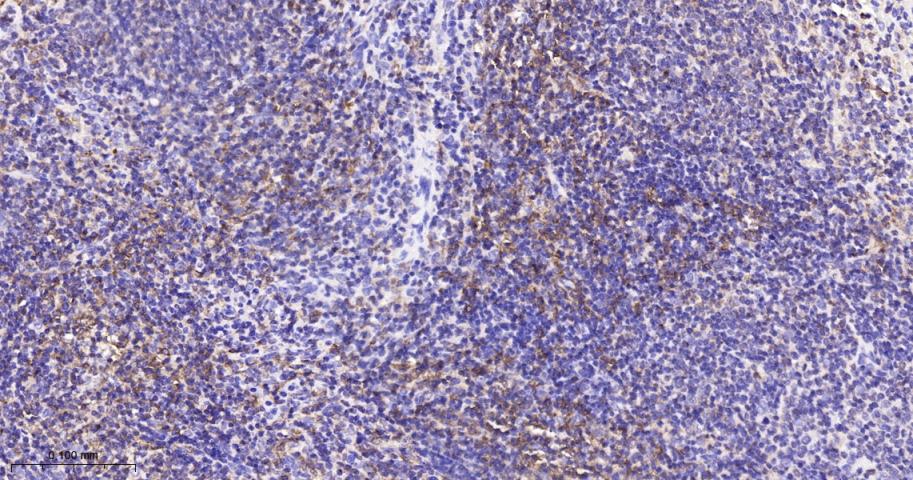
Paraformaldehyde-fixed, paraffin embedded Rat Thymus; Antigen retrieval by boiling in sodium citrate buffer (pH6.0) for 15 min; The section was incubated with LSP1 Monoclonal Antibody, Unconjugated (bsm-61255R) at 1:200 overnight at 4°C, followed by conjugation to the bs-0295G-HRP and DAB (C-0010) staining.
Paraformaldehyde-fixed, paraffin embedded Mouse Thymus; Antigen retrieval by boiling in sodium citrate buffer (pH6.0) for 15 min; The section was incubated with LSP1 Monoclonal Antibody, Unconjugated (bsm-61255R) at 1:200 overnight at 4°C, followed by conjugation to the bs-0295G-HRP and DAB (C-0010) staining.
Paraformaldehyde-fixed, paraffin embedded Human Thymus; Antigen retrieval by boiling in sodium citrate buffer (pH6.0) for 15 min; The section was incubated with LSP1 Monoclonal Antibody, Unconjugated (bsm-61255R) at 1:200 overnight at 4°C, followed by conjugation to the bs-0295G-HRP and DAB (C-0010) staining.
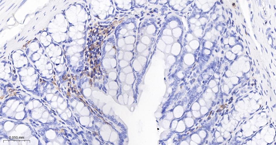
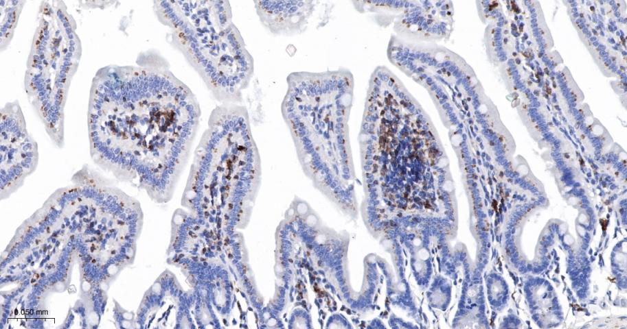
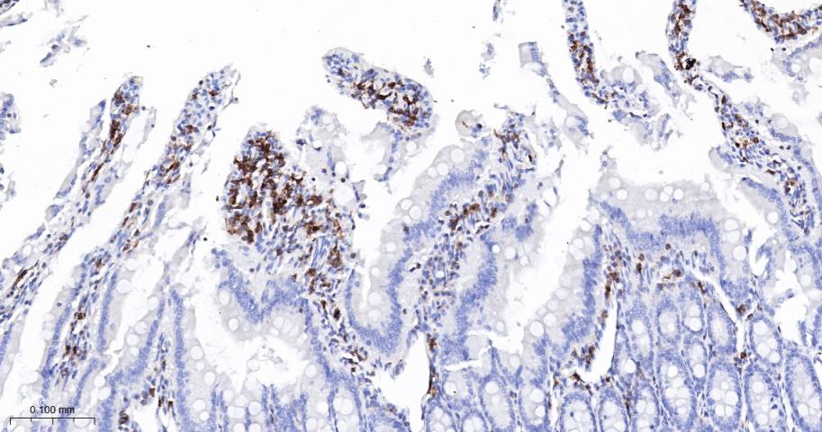
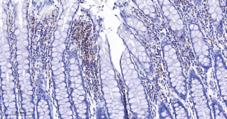
Paraformaldehyde-fixed, paraffin embedded Human Small Intestine; Antigen retrieval by boiling in sodium citrate buffer (pH6.0) for 15 min; The section was incubated with LSP1 Monoclonal Antibody, Unconjugated (bsm-61255R) at 1:200 overnight at 4°C, followed by conjugation to the bs-0295G-HRP and DAB (C-0010) staining.
Paraformaldehyde-fixed, paraffin embedded Rat Small Intestine; Antigen retrieval by boiling in sodium citrate buffer (pH6.0) for 15 min; The section was incubated with LSP1 Monoclonal Antibody, Unconjugated (bsm-61255R) at 1:200 overnight at 4°C, followed by conjugation to the bs-0295G-HRP and DAB (C-0010) staining.
Paraformaldehyde-fixed, paraffin embedded Mouse Small Intestine; Antigen retrieval by boiling in sodium citrate buffer (pH6.0) for 15 min; The section was incubated with LSP1 Monoclonal Antibody, Unconjugated (bsm-61255R) at 1:200 overnight at 4°C, followed by conjugation to the bs-0295G-HRP and DAB (C-0010) staining.
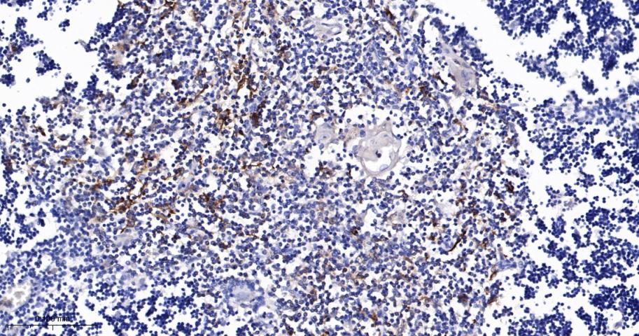
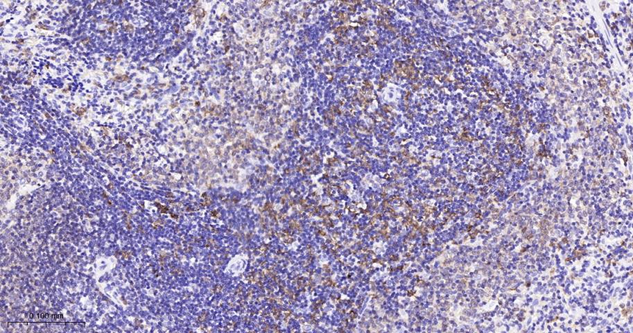
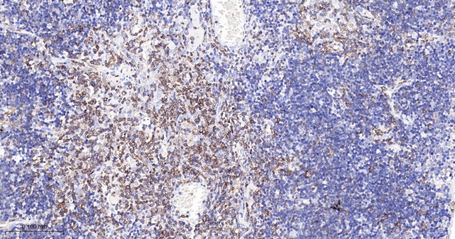
Paraformaldehyde-fixed, paraffin embedded Human spleen; Antigen retrieval by boiling in sodium citrate buffer (pH6.0) for 15 min; The section was incubated with LSP1 Monoclonal Antibody, Unconjugated (bsm-61255R) at 1:200 overnight at 4°C, followed by conjugation to the bs-0295G-HRP and DAB (C-0010) staining.
Paraformaldehyde-fixed, paraffin embedded Rat spleen; Antigen retrieval by boiling in sodium citrate buffer (pH6.0) for 15 min; The section was incubated with LSP1 Monoclonal Antibody, Unconjugated (bsm-61255R) at 1:200 overnight at 4°C, followed by conjugation to the bs-0295G-HRP and DAB (C-0010) staining.
Paraformaldehyde-fixed, paraffin embedded Mouse spleen; Antigen retrieval by boiling in sodium citrate buffer (pH6.0) for 15 min; The section was incubated with LSP1 Monoclonal Antibody, Unconjugated (bsm-61255R) at 1:200 overnight at 4°C, followed by conjugation to the bs-0295G-HRP and DAB (C-0010) staining.
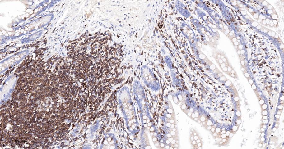
Paraformaldehyde-fixed, paraffin embedded Human Colon; Antigen retrieval by boiling in sodium citrate buffer (pH6.0) for 15 min; The section was incubated with LSP1 Monoclonal Antibody, Unconjugated (bsm-61255R) at 1:200 overnight at 4°C, followed by conjugation to the bs-0295G-HRP and DAB (C-0010) staining.
Paraformaldehyde-fixed, paraffin embedded Rat Colon; Antigen retrieval by boiling in sodium citrate buffer (pH6.0) for 15 min; The section was incubated with LSP1 Monoclonal Antibody, Unconjugated (bsm-61255R) at 1:200 overnight at 4°C, followed by conjugation to the bs-0295G-HRP and DAB (C-0010) staining.
Paraformaldehyde-fixed, paraffin embedded Mouse Colon; Antigen retrieval by boiling in sodium citrate buffer (pH6.0) for 15 min; The section was incubated with LSP1 Monoclonal Antibody, Unconjugated (bsm-61255R) at 1:200 overnight at 4°C, followed by conjugation to the bs-0295G-HRP and DAB (C-0010) staining.
4% Paraformaldehyde-fixed Raji (H) cell; Antibody incubation with (LSP1) monoclonal Antibody, unconjugated (bsm-61255R) 1:100, 90 min at 37°C; followed by conjugated Goat Anti-Rabbit IgG antibody (green, bs-60295G-BF488) at 37°C for 90 min, DAPI (blue, C02-04002) was used to stain the cell nuclei. PBS instead of the primary antibody was used as the blank control.
The Raji (H) cells were incubated in 5%BSA to block non-specific protein-protein interactions (30 min at r.t.) , followed by secondary antibody incubation for 40 min at room temperature. Primary Antibody (green): Rabbit Anti-LSP1 antibody (bsm-61255R,1:100); Isotype Control (orange): Rabbit IgG (bs-0295P). Blank control (black): PBS. Acquisition of 20,000 events was performed.
版权所有 2004-2026 www.bioss.com.cn 北京博奥森生物技术有限公司
通过国际质量管理体系ISO 9001:2015 GB/T 19001-2016    证书编号: 00124Q34771R2M/1100
通过国际医疗器械-质量管理体系ISO 13485:2016 GB/T 42061-2022     证书编号: CQC24QY20047R0M/1100
京ICP备05066980号-1         京公网安备110107000727号