扫码关注公众号           扫码咨询技术支持           扫码咨询技术服务
  
客服热线:400-901-9800  客服QQ:4009019800  技术答疑  技术支持  质量反馈  人才招聘  关于我们  联系我们
产品中心-北京博奥森生物技术有限公司
首页 > 产品中心 > 一抗 > 产品信息
MBP Recombinant Rabbit mAb (bsm-61377R)  
订购热线:400-901-9800
订购邮箱:sales@bioss.com.cn
订购QQ:  400-901-9800
技术支持:techsupport@bioss.com.cn
25ul/800.00元
50ul/1400.00元
100ul/2500.00元
大包装/询价

产品编号 bsm-61377R
英文名称 MBP Recombinant Rabbit mAb
中文名称 髓鞘碱性蛋白/磷脂碱性蛋白重组兔单抗
别    名 Hmbpr; golli-mbp; jve; mld; shi; Mbps; MBP_HUMAN; MBP; Myelin A1 protein; Myelin membrane encephalitogenic protein; MBP_MOUSE; MBP_PIG; MBP_RABIT; Myelin P1 protein; MBP_RAT;   
抗体来源 Rabbit
克隆类型 Recombinant
克 隆 号 8D5
交叉反应 Human,Mouse,Rat
产品应用 WB=1:1000-5000,IHC-P=1:200-500,IHC-F=1:200-500,IF=1:200-500
not yet tested in other applications.
optimal dilutions/concentrations should be determined by the end user.
理论分子量 33 kDa
检测分子量 46318
性    状 Liquid
免 疫 原 A synthesized peptide derived from human Myelin basic protein: 120-304/304 
亚    型 IgG
纯化方法 affinity purified by Protein A
缓 冲 液 10mM phosphate buffered saline(pH 7.4) with 150mM sodium chloride, 0.05% BSA, 0.02% Proclin300 and 50% glycerol.
保存条件 Store at 4℃ for short term. Store at -20℃ for long term. Avoid repeated freeze/thaw cycles.
注意事项 This product as supplied is intended for research use only, not for use in human, therapeutic or diagnostic applications.
PubMed PubMed
产品介绍 The classic group of MBP isoforms (isoform 4-isoform 14) are with PLP the most abundant protein components of the myelin membrane in the CNS. They have a role in both its formation and stabilization. The smaller isoforms might have an important role in remyelination of denuded axons in multiple sclerosis.

SWISS:
P02686

Gene ID:
4155

产品组分及规格 编号 组分 规格 浓度 储存 1
产品图片
25 ug total protein per lane of various lysates (see on figure) probed with MBP monoclonal antibody, unconjugated (bsm-61377R) at 1:2000 dilution and 4°C overnight incubation. Followed by conjugated secondary antibody incubation at r.t. for 60 min.
Paraformaldehyde-fixed, paraffin embedded Mouse Cerebrum; Antigen retrieval by boiling in sodium citrate buffer (pH6.0) for 15 min; Antibody incubation with MBP Monoclonal Antibody, Unconjugated(bsm-61377R) at 1:200 overnight at 4°C, followed by conjugation to the bs-0295G-HRP and DAB (C-0010) staining.
Paraformaldehyde-fixed, paraffin embedded Rat Cerebrum; Antigen retrieval by boiling in sodium citrate buffer (pH6.0) for 15 min; Antibody incubation with MBP Monoclonal Antibody, Unconjugated(bsm-61377R) at 1:200 overnight at 4°C, followed by conjugation to the bs-0295G-HRP and DAB (C-0010) staining.
Paraformaldehyde-fixed, paraffin embedded Human Left Parietal Lobe; Antigen retrieval by boiling in sodium citrate buffer (pH6.0) for 15 min; Antibody incubation with MBP Monoclonal Antibody, Unconjugated(bsm-61377R) at 1:200 overnight at 4°C, followed by conjugation to the bs-0295G-HRP and DAB (C-0010) staining and DAB (C-0010) staining.
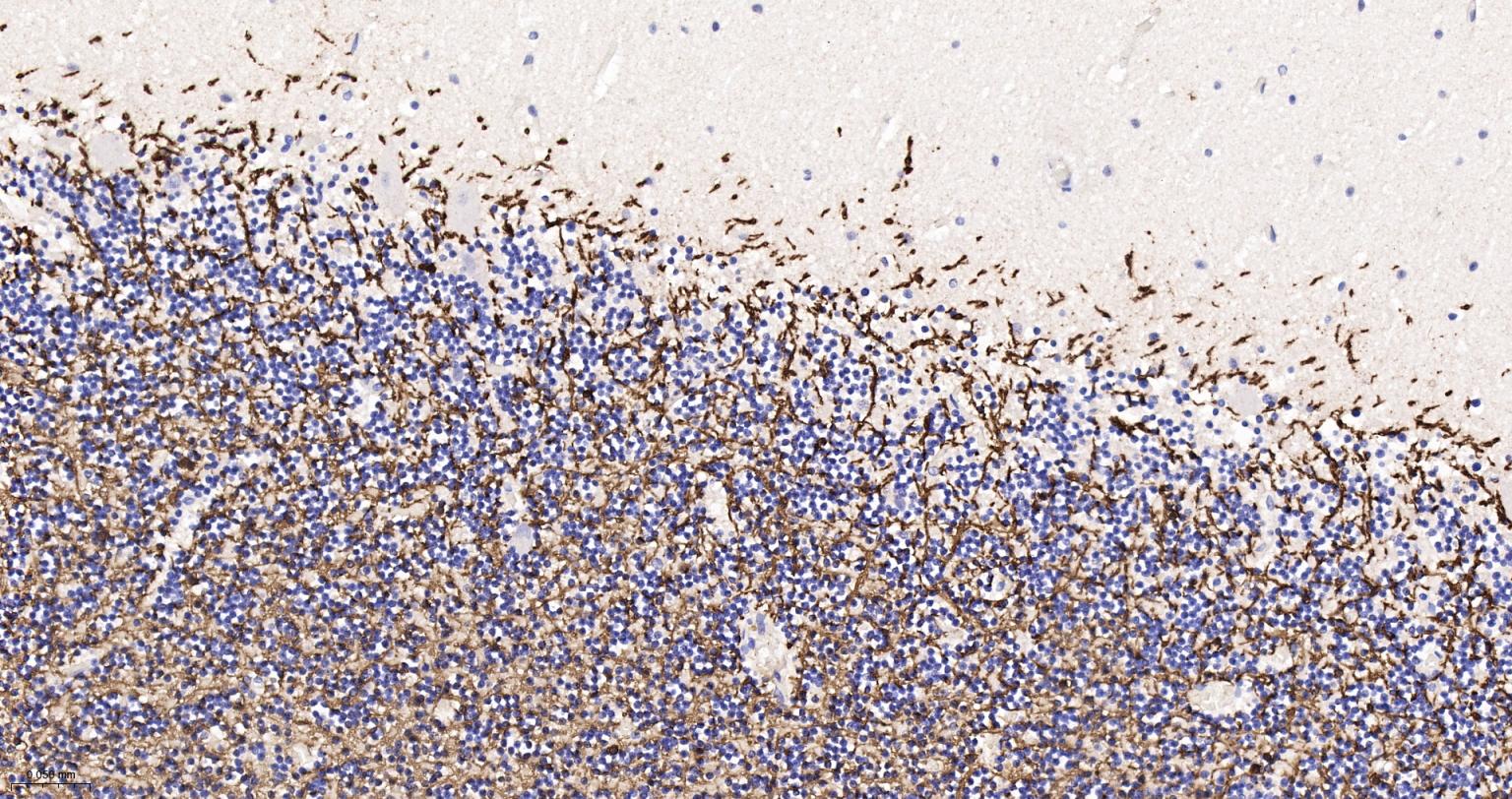
Paraformaldehyde-fixed, paraffin embedded Human Cerebellum; Antigen retrieval by boiling in sodium citrate buffer (pH6.0) for 15 min; Antibody incubation with MBP Monoclonal Antibody, Unconjugated(bsm-61377R) at 1:300 overnight at 4°C, followed by conjugation to the bs-0295G-HRP and DAB (C-0010) staining and DAB (C-0010) staining.
Paraformaldehyde-fixed, paraffin embedded Rat Cerebellum; Antigen retrieval by boiling in sodium citrate buffer (pH6.0) for 15 min; Antibody incubation with MBP Monoclonal Antibody, Unconjugated(bsm-61377R) at 1:300 overnight at 4°C, followed by conjugation to the bs-0295G-HRP and DAB (C-0010) staining.
(Negative control) Paraformaldehyde-fixed, paraffin embedded Human Spleen; Antigen retrieval by boiling in sodium citrate buffer (pH6.0) for 15 min; Antibody incubation with MBP Monoclonal Antibody, Unconjugated(bsm-61377R) at 1:200 overnight at 4°C, followed by conjugation to the bs-0295G-HRP and DAB (C-0010) staining and DAB (C-0010) staining.
版权所有 2004-2026 www.bioss.com.cn 北京博奥森生物技术有限公司
通过国际质量管理体系ISO 9001:2015 GB/T 19001-2016    证书编号: 00124Q34771R2M/1100
通过国际医疗器械-质量管理体系ISO 13485:2016 GB/T 42061-2022     证书编号: CQC24QY20047R0M/1100
京ICP备05066980号-1         京公网安备110107000727号