扫码关注公众号           扫码咨询技术支持           扫码咨询技术服务
  
客服热线:400-901-9800  客服QQ:4009019800  技术答疑  技术支持  质量反馈  人才招聘  关于我们  联系我们
产品中心-北京博奥森生物技术有限公司
首页 > 产品中心 > 一抗 > 产品信息
eIF4A3 Recombinant Rabbit mAb (bsm-61883R)  
订购热线:400-901-9800
订购邮箱:sales@bioss.com.cn
订购QQ:  400-901-9800
技术支持:techsupport@bioss.com.cn
25ul/800.00元
50ul/1400.00元
100ul/2500.00元
大包装/询价

产品编号 bsm-61883R
英文名称 eIF4A3 Recombinant Rabbit mAb
中文名称 eIF4A3蛋白重组兔单抗
别    名 IF4A3_CHICK; EIF4A3; eIF-4A-III; eIF4A-III; ATP-dependent RNA helicase DDX48; ATP-dependent RNA helicase eIF4A-3; DEAD box protein 48; Eukaryotic translation initiation factor 4A isoform 3; 3.6.4.13; DDX48; IF4A3_BOVIN; IF4A3_MACFA; IF4A3_HUMAN; Eukaryotic initiation factor 4A-like NUK-34; Nuclear matrix protein 265 (NMP 265 | hNMP 265); KIAA0111; IF4A3_MOUSE; IF4A3_RAT; I4A3B_XENLA; eif4a3-b; XeIF-4AIII; eIF-4A-III-B; eIF4A-III-B; ATP-dependent RNA helicase DDX48-B; ATP-dependent RNA helicase eIF4A-3-B; DEAD box protein 48-B; Eukaryotic translation initiation factor 4A isoform 3-B; I4A3A_XENLA; eif4a3-a; eIF-4A-III-A; eIF4A-III-A; ATP-dependent RNA helicase DDX48-A; ATP-dependent RNA helicase eIF4A-3-A; DEAD box protein 48-A; Eukaryotic translation initiation factor 4A isoform 3 A; ddx48-a; IF4A3_DANRE;   
抗体来源 Rabbit
克隆类型 Recombinant
克 隆 号 1B6
交叉反应 Human,Mouse,Rat
产品应用 IHC-P=1:100-500,IHC-F=1:100-500,IF=1:100-500,ICC/IF=1:50-200
not yet tested in other applications.
optimal dilutions/concentrations should be determined by the end user.
理论分子量 47 kDa
检测分子量 47
性    状 Liquid
免 疫 原 A synthesized peptide derived from human eIF4A3: 34-125 
亚    型 IgG
纯化方法 affinity purified by Protein A
缓 冲 液 10mM phosphate buffered saline(pH 7.4) with 150mM sodium chloride, 0.05% BSA, 0.02% Proclin300 and 50% glycerol.
保存条件 Store at 4℃ for short term. Store at -20℃ for long term. Avoid repeated freeze/thaw cycles.
注意事项 This product as supplied is intended for research use only, not for use in human, therapeutic or diagnostic applications.
PubMed PubMed
产品介绍 ATP-dependent RNA helicase. Component of a splicing-dependent multiprotein exon junction complex (EJC) deposited at splice junction on mRNAs. The EJC is a dynamic structure consisting of a few core proteins and several more peripheral nuclear and cytoplasmic associated factors that join the complex only transiently either during EJC assembly or during subsequent mRNA metabolism.

SWISS:
P38919

Gene ID:
9775

产品图片
Paraformaldehyde-fixed, paraffin embedded Human Prostate; Antigen retrieval by boiling in sodium citrate buffer (pH6.0) for 15 min; The section was incubated with eIF4A3 Monoclonal Antibody, Unconjugated (bsm-61883R) at 1:200 overnight at 4°C, followed by conjugation to the bs-0295G-HRP and DAB (C-0010) staining.
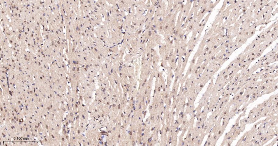
Paraformaldehyde-fixed, paraffin embedded Human Heart; Antigen retrieval by boiling in sodium citrate buffer (pH6.0) for 15 min; The section was incubated with eIF4A3 Monoclonal Antibody, Unconjugated (bsm-61883R) at 1:200 overnight at 4°C, followed by conjugation to the bs-0295G-HRP and DAB (C-0010) staining.
Paraformaldehyde-fixed, paraffin embedded Rat Heart; Antigen retrieval by boiling in sodium citrate buffer (pH6.0) for 15 min; The section was incubated with eIF4A3 Monoclonal Antibody, Unconjugated (bsm-61883R) at 1:200 overnight at 4°C, followed by conjugation to the bs-0295G-HRP and DAB (C-0010) staining.
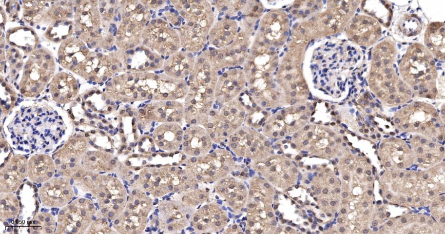
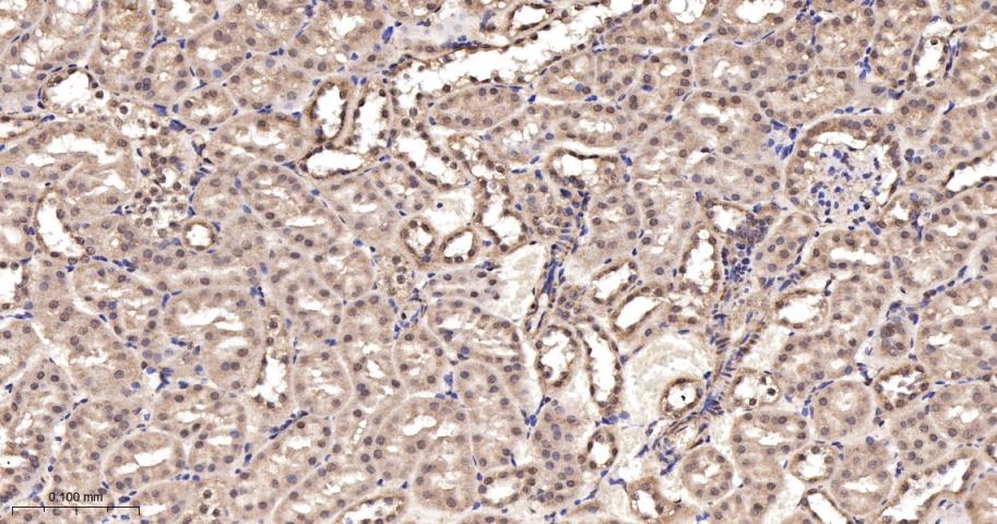
Paraformaldehyde-fixed, paraffin embedded Rat Kidney; Antigen retrieval by boiling in sodium citrate buffer (pH6.0) for 15 min; The section was incubated with eIF4A3 Monoclonal Antibody, Unconjugated (bsm-61883R) at 1:200 overnight at 4°C, followed by conjugation to the bs-0295G-HRP and DAB (C-0010) staining.
Paraformaldehyde-fixed, paraffin embedded Mouse Kidney; Antigen retrieval by boiling in sodium citrate buffer (pH6.0) for 15 min; The section was incubated with eIF4A3 Monoclonal Antibody, Unconjugated (bsm-61883R) at 1:200 overnight at 4°C, followed by conjugation to the bs-0295G-HRP and DAB (C-0010) staining.
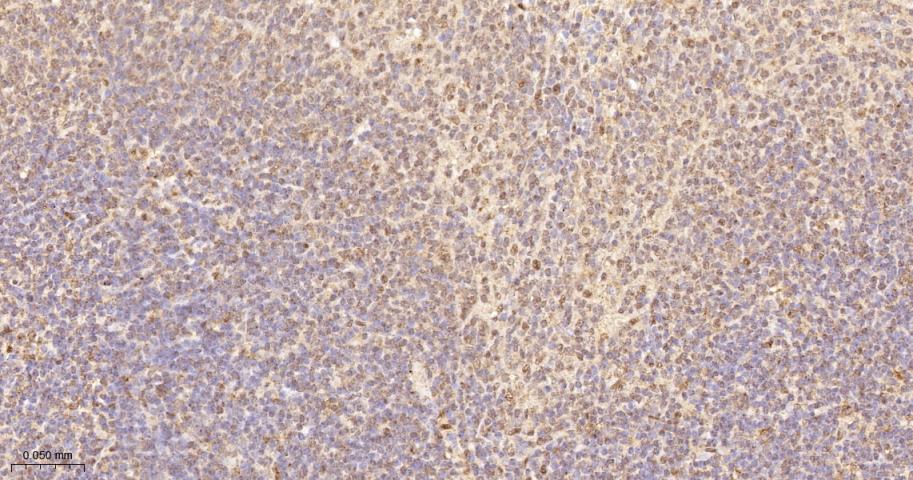
Paraformaldehyde-fixed, paraffin embedded Human Spleen; Antigen retrieval by boiling in sodium citrate buffer (pH6.0) for 15 min; The section was incubated with eIF4A3 Monoclonal Antibody, Unconjugated (bsm-61883R) at 1:200 overnight at 4°C, followed by conjugation to the bs-0295G-HRP and DAB (C-0010) staining.
Paraformaldehyde-fixed, paraffin embedded Rat Spleen; Antigen retrieval by boiling in sodium citrate buffer (pH6.0) for 15 min; The section was incubated with eIF4A3 Monoclonal Antibody, Unconjugated (bsm-61883R) at 1:200 overnight at 4°C, followed by conjugation to the bs-0295G-HRP and DAB (C-0010) staining.
Paraformaldehyde-fixed, paraffin embedded Mouse Spleen; Antigen retrieval by boiling in sodium citrate buffer (pH6.0) for 15 min; The section was incubated with eIF4A3 Monoclonal Antibody, Unconjugated (bsm-61883R) at 1:200 overnight at 4°C, followed by conjugation to the bs-0295G-HRP and DAB (C-0010) staining.
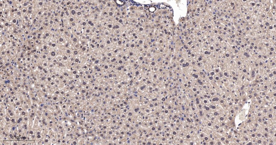
Paraformaldehyde-fixed, paraffin embedded Rat Liver; Antigen retrieval by boiling in sodium citrate buffer (pH6.0) for 15 min; The section was incubated with eIF4A3 Monoclonal Antibody, Unconjugated (bsm-61883R) at 1:200 overnight at 4°C, followed by conjugation to the bs-0295G-HRP and DAB (C-0010) staining.
Paraformaldehyde-fixed, paraffin embedded Mouse Liver; Antigen retrieval by boiling in sodium citrate buffer (pH6.0) for 15 min; The section was incubated with eIF4A3 Monoclonal Antibody, Unconjugated (bsm-61883R) at 1:200 overnight at 4°C, followed by conjugation to the bs-0295G-HRP and DAB (C-0010) staining.
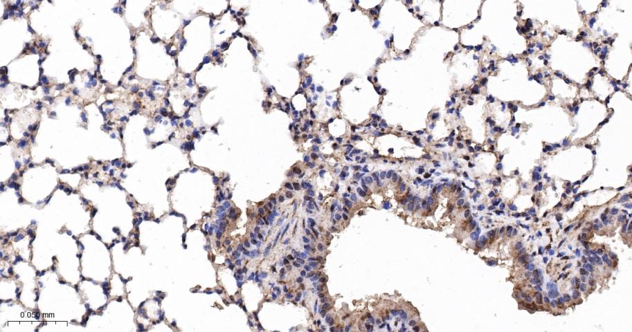
Paraformaldehyde-fixed, paraffin embedded Rat Lung; Antigen retrieval by boiling in sodium citrate buffer (pH6.0) for 15 min; The section was incubated with eIF4A3 Monoclonal Antibody, Unconjugated (bsm-61883R) at 1:200 overnight at 4°C, followed by conjugation to the bs-0295G-HRP and DAB (C-0010) staining.
Paraformaldehyde-fixed, paraffin embedded Mouse Lung; Antigen retrieval by boiling in sodium citrate buffer (pH6.0) for 15 min; The section was incubated with eIF4A3 Monoclonal Antibody, Unconjugated (bsm-61883R) at 1:200 overnight at 4°C, followed by conjugation to the bs-0295G-HRP and DAB (C-0010) staining.
4% Paraformaldehyde-fixed Hela (H) cell; Triton X-100 at r.t. for 20 min; Antibody incubation with (eIF4A3) monoclonal Antibody, unconjugated (bsm-61883R) 1:100, 90 min at 37°C; followed by conjugated Goat Anti-Rabbit IgG antibody (green, bs-40295G-FITC) at 37°C for 90 min, DAPI (blue, C02-04002) was used to stain the cell nuclei. PBS instead of the primary antibody was used as the blank control.
版权所有 2004-2026 www.bioss.com.cn 北京博奥森生物技术有限公司
通过国际质量管理体系ISO 9001:2015 GB/T 19001-2016    证书编号: 00124Q34771R2M/1100
通过国际医疗器械-质量管理体系ISO 13485:2016 GB/T 42061-2022     证书编号: CQC24QY20047R0M/1100
京ICP备05066980号-1         京公网安备110107000727号