扫码关注公众号           扫码咨询技术支持           扫码咨询技术服务
  
客服热线:400-901-9800  客服QQ:4009019800  技术答疑  技术支持  质量反馈  人才招聘  关于我们  联系我们
产品中心-北京博奥森生物技术有限公司
首页 > 产品中心 > 一抗 > 产品信息
Tetranectin Recombinant Rabbit mAb (bsm-61920R)  
订购热线:400-901-9800
订购邮箱:sales@bioss.com.cn
订购QQ:  400-901-9800
技术支持:techsupport@bioss.com.cn
25ul/800.00元
50ul/1400.00元
100ul/2500.00元
大包装/询价

产品编号 bsm-61920R
英文名称 Tetranectin Recombinant Rabbit mAb
中文名称 四连接素TN重组兔单抗
别    名 MCDR4; TN; TNA; TETN_HUMAN; CLEC3B; C-type lectin domain family 3 member B; Plasminogen kringle 4-binding protein; TETN_MOUSE;   
抗体来源 Rabbit
克隆类型 Recombinant
克 隆 号 6B10
交叉反应 Human,Mouse,Rat
产品应用 WB=1:500-2000,IHC-P=1:50-200,IHC-F=1:50-200,IF=1:50-200,ICC/IF=1:50-200,IP=1:20-50
not yet tested in other applications.
optimal dilutions/concentrations should be determined by the end user.
理论分子量 23 kDa
检测分子量 23
性    状 Liquid
免 疫 原 A synthesized peptide derived from human Tetranectin: 150-202/202 
亚    型 IgG
纯化方法 affinity purified by Protein A
缓 冲 液 10mM phosphate buffered saline(pH 7.4) with 150mM sodium chloride, 0.05% BSA, 0.02% Proclin300 and 50% glycerol.
保存条件 Store at 4℃ for short term. Store at -20℃ for long term. Avoid repeated freeze/thaw cycles.
注意事项 This product as supplied is intended for research use only, not for use in human, therapeutic or diagnostic applications.
PubMed PubMed
产品介绍 Tetranectin binds to plasminogen and to isolated kringle 4. May be involved in the packaging of molecules destined for exocytosis. Plays a role in retinal function.

SWISS:
P05452

Gene ID:
7123

四连接素(Tetranectin, TN)是一种血纤维蛋白溶酶原结合蛋白,可出现在血浆及细胞外基质(extracellular matrix, ECM)。TN除了它的血纤维蛋白溶酶原结合蛋白特性外,还能与肝磷脂、载脂蛋白(a),组织纤维蛋白溶酶原激活剂,肝细胞生长因子及血管他丁。TN的表达可在各种内分泌组织、内皮细胞、及间质细胞检测到,其中间质细胞包括成纤维细胞、单核细胞和中性粒细胞。血清TN水平的下降可见于创伤后或急性心肌梗塞后,类风湿性关节炎及恶性肿瘤等。虽然TN的确切生物学功能未被证实,一些实验证据
产品图片
25 ug total protein per lane of various lysates (see on figure) probed with Tetranectin monoclonal antibody, unconjugated (bsm-61920R) at 1:1000 dilution and 4°C overnight incubation. Followed by conjugated secondary antibody incubation at r.t. for 60 min.
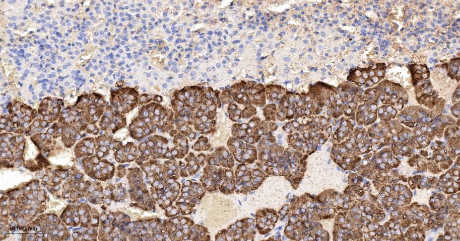
Paraformaldehyde-fixed, paraffin embedded Rat Adrenal Gland; Antigen retrieval by boiling in sodium citrate buffer (pH6.0) for 15 min; The section was incubated with Tetranectin Monoclonal Antibody, Unconjugated (bsm-61920R) at 1:200 overnight at 4°C, followed by conjugation to the bs-0295G-HRP and DAB (C-0010) staining.
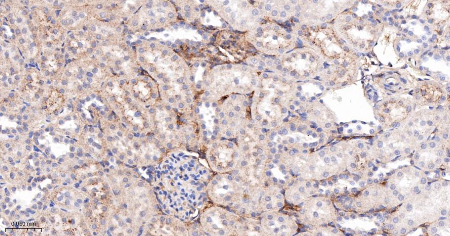
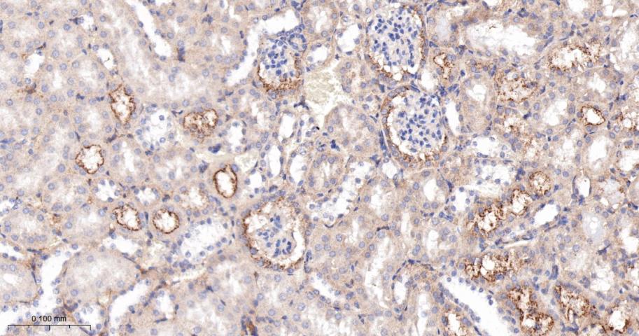
Paraformaldehyde-fixed, paraffin embedded Human Kidney; Antigen retrieval by boiling in sodium citrate buffer (pH6.0) for 15 min; The section was incubated with Tetranectin Monoclonal Antibody, Unconjugated (bsm-61920R) at 1:200 overnight at 4°C, followed by conjugation to the bs-0295G-HRP and DAB (C-0010) staining.
Paraformaldehyde-fixed, paraffin embedded Rat Kidney; Antigen retrieval by boiling in sodium citrate buffer (pH6.0) for 15 min; The section was incubated with Tetranectin Monoclonal Antibody, Unconjugated (bsm-61920R) at 1:200 overnight at 4°C, followed by conjugation to the bs-0295G-HRP and DAB (C-0010) staining.
Paraformaldehyde-fixed, paraffin embedded Mouse Kidney; Antigen retrieval by boiling in sodium citrate buffer (pH6.0) for 15 min; The section was incubated with Tetranectin Monoclonal Antibody, Unconjugated (bsm-61920R) at 1:200 overnight at 4°C, followed by conjugation to the bs-0295G-HRP and DAB (C-0010) staining.
Paraformaldehyde-fixed, paraffin embedded Human Lung; Antigen retrieval by boiling in sodium citrate buffer (pH6.0) for 15 min; The section was incubated with Tetranectin Monoclonal Antibody, Unconjugated (bsm-61920R) at 1:200 overnight at 4°C, followed by conjugation to the bs-0295G-HRP and DAB (C-0010) staining.
Paraformaldehyde-fixed, paraffin embedded Rat Lung; Antigen retrieval by boiling in sodium citrate buffer (pH6.0) for 15 min; The section was incubated with Tetranectin Monoclonal Antibody, Unconjugated (bsm-61920R) at 1:200 overnight at 4°C, followed by conjugation to the bs-0295G-HRP and DAB (C-0010) staining.
Paraformaldehyde-fixed, paraffin embedded Mouse Lung; Antigen retrieval by boiling in sodium citrate buffer (pH6.0) for 15 min; The section was incubated with Tetranectin Monoclonal Antibody, Unconjugated (bsm-61920R) at 1:200 overnight at 4°C, followed by conjugation to the bs-0295G-HRP and DAB (C-0010) staining.
版权所有 2004-2026 www.bioss.com.cn 北京博奥森生物技术有限公司
通过国际质量管理体系ISO 9001:2015 GB/T 19001-2016    证书编号: 00124Q34771R2M/1100
通过国际医疗器械-质量管理体系ISO 13485:2016 GB/T 42061-2022     证书编号: CQC24QY20047R0M/1100
京ICP备05066980号-1         京公网安备110107000727号