扫码关注公众号           扫码咨询技术支持           扫码咨询技术服务
  
客服热线:400-901-9800  客服QQ:4009019800  技术答疑  技术支持  质量反馈  人才招聘  关于我们  联系我们
产品中心-北京博奥森生物技术有限公司
首页 > 产品中心 > 一抗 > 产品信息
GluR1 Recombinant Rabbit mAb (bsm-62123R)  
订购热线:400-901-9800
订购邮箱:sales@bioss.com.cn
订购QQ:  400-901-9800
技术支持:techsupport@bioss.com.cn
25ul/800.00元
50ul/1400.00元
100ul/2500.00元
大包装/询价

产品编号 bsm-62123R
英文名称 GluR1 Recombinant Rabbit mAb
中文名称 谷氨酸受体1重组兔单抗
别    名 GLUH1; GLUR1; GLURA; GluA1; HBGR1; MRD67; MRT76; 2900051M01Rik; Glr-1; Glr1; GluR-A; Glur-1; HIPA1; gluR-K1; GRIA1_HUMAN; GRIA1; AMPA-selective glutamate receptor 1; Glutamate receptor ionotropic, AMPA 1; GRIA1_MOUSE; Glutamate receptor ionotropic, AMPA 1 (GluA1); GRIA1_RAT;   
抗体来源 Rabbit
克隆类型 Recombinant
克 隆 号 5H8
交叉反应 Human,Mouse,Rat
产品应用 WB=1:500-2000,IHC-P=1:100-500,IHC-F=1:100-500,IF=1:100-500,IP=1:20-50
not yet tested in other applications.
optimal dilutions/concentrations should be determined by the end user.
理论分子量 102 kDa
检测分子量 105
性    状 Liquid
免 疫 原 A synthesized peptide derived from human GluR1: 850-906 
亚    型 IgG
纯化方法 affinity purified by Protein A
缓 冲 液 10mM phosphate buffered saline(pH 7.4) with 150mM sodium chloride, 0.05% BSA, 0.02% Proclin300 and 50% glycerol.
保存条件 Store at 4℃ for short term. Store at -20℃ for long term. Avoid repeated freeze/thaw cycles.
注意事项 This product as supplied is intended for research use only, not for use in human, therapeutic or diagnostic applications.
PubMed PubMed
产品介绍 AMPA- (α-amino-3-hydroxy-5-methyl-4-isoxazolepropionic acid), kainate-, and NMDA- (N-methyl-D-aspartate) receptors are the three main families of ionotropic glutamate-gated ion channels. AMPA receptors (AMPARs) are comprised of four subunits (GluR 1-4), which assemble as homo- or hetero-tetramers to mediate the majority of fast excitatory transmissions in the central nervous system. AMPARs are implicated in synapse formation, stabilization, and plasticity.

SWISS:
P42261

Gene ID:
2890

NMDAR1又称GluR1 (Glutamate Receptor 1)近年实验研究发现,许多NMDAR拮抗药均具有镇痛活性,表明NMDAR在痛觉传递中具有重要作用,这为新型镇痛药的研究开发提供了新的作用靶点。
产品图片
25 ug total protein per lane of various lysates (see on figure) probed with GluR1 monoclonal antibody, unconjugated (bsm-62123R) at 1:2000 dilution and 4°C overnight incubation. Followed by conjugated secondary antibody incubation at r.t. for 60 min.
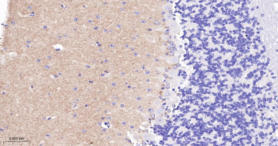
Paraformaldehyde-fixed, paraffin embedded Human Cerebellum; Antigen retrieval by boiling in sodium citrate buffer (pH6.0) for 15 min; Antibody incubation with GluR1 Monoclonal Antibody, Unconjugated(bsm-62123R) at 1:200 overnight at 4°C, followed by conjugation to the bs-0295G-HRP and DAB (C-0010) staining.
Paraformaldehyde-fixed, paraffin embedded Rat Cerebellum; Antigen retrieval by boiling in sodium citrate buffer (pH6.0) for 15 min; Antibody incubation with GluR1 Monoclonal Antibody, Unconjugated(bsm-62123R) at 1:200 overnight at 4°C, followed by conjugation to the bs-0295G-HRP and DAB (C-0010) staining.
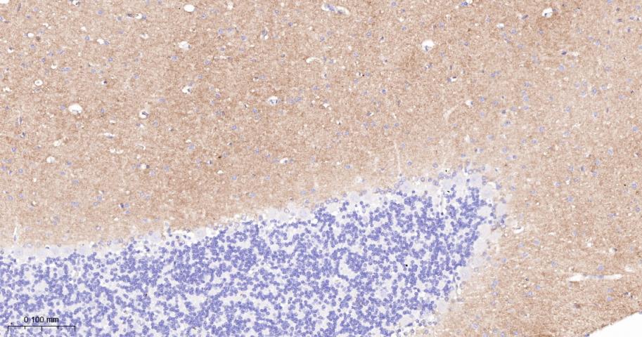
Paraformaldehyde-fixed, paraffin embedded Mouse Cerebellum; Antigen retrieval by boiling in sodium citrate buffer (pH6.0) for 15 min; Antibody incubation with GluR1 Monoclonal Antibody, Unconjugated(bsm-62123R) at 1:200 overnight at 4°C, followed by conjugation to the bs-0295G-HRP and DAB (C-0010) staining.
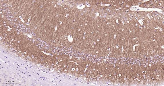
Paraformaldehyde-fixed, paraffin embedded Rat hippocampal; Antigen retrieval by boiling in sodium citrate buffer (pH6.0) for 15 min; Antibody incubation with GluR1 Monoclonal Antibody, Unconjugated(bsm-62123R) at 1:200 overnight at 4°C, followed by conjugation to the bs-0295G-HRP and DAB (C-0010) staining.
Paraformaldehyde-fixed, paraffin embedded Mouse hippocampal; Antigen retrieval by boiling in sodium citrate buffer (pH6.0) for 15 min; Antibody incubation with GluR1 Monoclonal Antibody, Unconjugated(bsm-62123R) at 1:200 overnight at 4°C, followed by conjugation to the bs-0295G-HRP and DAB (C-0010) staining.
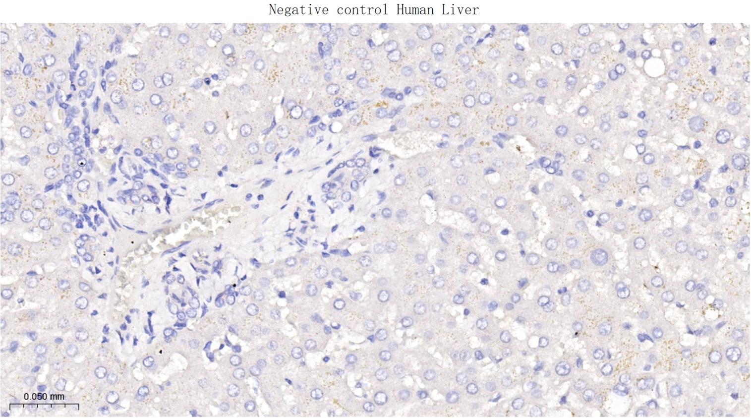
(Negative control) Paraformaldehyde-fixed, paraffin embedded Human Liver; Antigen retrieval by boiling in sodium citrate buffer (pH6.0) for 15 min; The section was incubated with GluR1 Monoclonal Antibody, Unconjugated (bsm-62123R) at 1:200 overnight at 4°C, followed by conjugation to the bs-0295G-HRP and DAB (C-0010) staining.
(Negative control) Paraformaldehyde-fixed, paraffin embedded Mouse Liver; Antigen retrieval by boiling in sodium citrate buffer (pH6.0) for 15 min; The section was incubated with GluR1 Monoclonal Antibody, Unconjugated (bsm-62123R) at 1:200 overnight at 4°C, followed by conjugation to the bs-0295G-HRP and DAB (C-0010) staining.
(Negative control) Paraformaldehyde-fixed, paraffin embedded Rat Liver; Antigen retrieval by boiling in sodium citrate buffer (pH6.0) for 15 min; The section was incubated with GluR1 Monoclonal Antibody, Unconjugated (bsm-62123R) at 1:200 overnight at 4°C, followed by conjugation to the bs-0295G-HRP and DAB (C-0010) staining.
版权所有 2004-2026 www.bioss.com.cn 北京博奥森生物技术有限公司
通过国际质量管理体系ISO 9001:2015 GB/T 19001-2016    证书编号: 00124Q34771R2M/1100
通过国际医疗器械-质量管理体系ISO 13485:2016 GB/T 42061-2022     证书编号: CQC24QY20047R0M/1100
京ICP备05066980号-1         京公网安备110107000727号