扫码关注公众号           扫码咨询技术支持           扫码咨询技术服务
  
客服热线:400-901-9800  客服QQ:4009019800  技术答疑  技术支持  质量反馈  人才招聘  关于我们  联系我们
产品中心-北京博奥森生物技术有限公司
首页 > 产品中心 > 一抗 > 产品信息
Apolipoprotein D Recombinant Rabbit mAb (bsm-62203R)  
订购热线:400-901-9800
订购邮箱:sales@bioss.com.cn
订购QQ:  400-901-9800
技术支持:techsupport@bioss.com.cn
25ul/800.00元
50ul/1400.00元
100ul/2500.00元
大包装/询价

产品编号 bsm-62203R
英文名称 Apolipoprotein D Recombinant Rabbit mAb
中文名称 载脂蛋白D重组兔单抗
别    名 APOD_HUMAN; APOD; Apo-D;   
抗体来源 Rabbit
克隆类型 Recombinant
克 隆 号 4E11
交叉反应 Human
产品应用 IHC-P=1:100-500,IHC-F=1:100-500,IF=1:100-500
not yet tested in other applications.
optimal dilutions/concentrations should be determined by the end user.
理论分子量 21 kDa
检测分子量 28
性    状 Liquid
免 疫 原 A synthesized peptide derived from human Apolipoprotein D: 1-58/189 
亚    型 IgG
纯化方法 affinity purified by Protein A
缓 冲 液 10mM phosphate buffered saline(pH 7.4) with 150mM sodium chloride, 0.05% BSA, 0.02% Proclin300 and 50% glycerol.
保存条件 Store at 4℃ for short term. Store at -20℃ for long term. Avoid repeated freeze/thaw cycles.
注意事项 This product as supplied is intended for research use only, not for use in human, therapeutic or diagnostic applications.
PubMed PubMed
产品介绍 APOD occurs in the macromolecular complex with lecithin-cholesterol acyltransferase. It is probably involved in the transport and binding of bilin. Appears to be able to transport a variety of ligands in a number of different contexts.

SWISS:
P05090

Gene ID:
347

载脂蛋白D(apolipoprotein D,apoD)是一个糖蛋白,它最初是在人血浆的高密度脂蛋白中被分离出来的。apoD在结构上与其他类型的载脂蛋白存在很大的差异,被归入脂肪促成素家族。apoD可以与胆固醇、黄体酮、胆红素等多种疏水性小分子结合。 apoD在多种脊索动物的各类组织中广泛表达, 在脊椎动物中重要的生理功能。最近的研究表明,apoD可以作为多种癌症及神经系统疾病的早期诊断标记, apoD是一个多配体、多功能的蛋白质.
产品图片
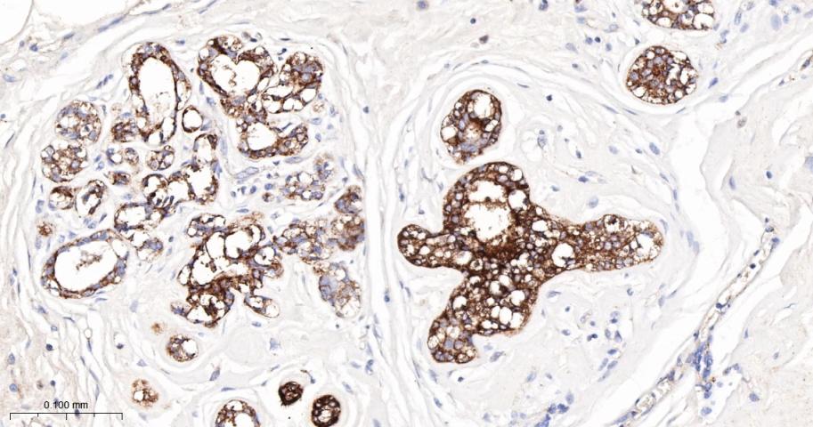
Paraformaldehyde-fixed, paraffin embedded Human Breast Cancer; Antigen retrieval by boiling in sodium citrate buffer (pH6.0) for 15 min; The section was incubated with Apolipoprotein D Monoclonal Antibody, Unconjugated (bsm-62203R) at 1:200 overnight at 4°C, followed by conjugation to the bs-0295G-HRP and DAB (C-0010) staining.
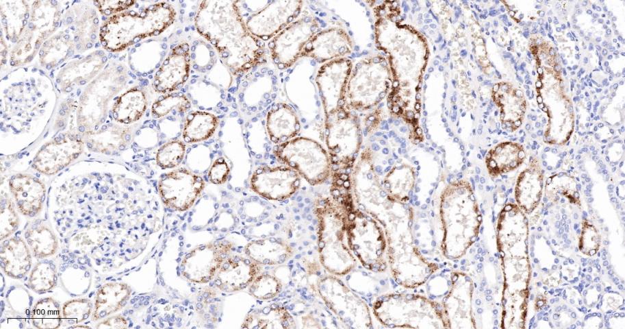
Paraformaldehyde-fixed, paraffin embedded Human Kidney; Antigen retrieval by boiling in sodium citrate buffer (pH6.0) for 15 min; The section was incubated with Apolipoprotein D Monoclonal Antibody, Unconjugated (bsm-62203R) at 1:200 overnight at 4°C, followed by conjugation to the bs-0295G-HRP and DAB (C-0010) staining.
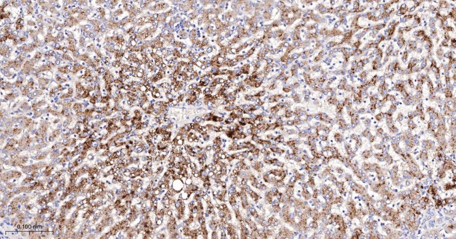
Paraformaldehyde-fixed, paraffin embedded Human Liver; Antigen retrieval by boiling in sodium citrate buffer (pH6.0) for 15 min; The section was incubated with Apolipoprotein D Monoclonal Antibody, Unconjugated (bsm-62203R) at 1:200 overnight at 4°C, followed by conjugation to the bs-0295G-HRP and DAB (C-0010) staining.
版权所有 2004-2026 www.bioss.com.cn 北京博奥森生物技术有限公司
通过国际质量管理体系ISO 9001:2015 GB/T 19001-2016    证书编号: 00124Q34771R2M/1100
通过国际医疗器械-质量管理体系ISO 13485:2016 GB/T 42061-2022     证书编号: CQC24QY20047R0M/1100
京ICP备05066980号-1         京公网安备110107000727号