扫码关注公众号           扫码咨询技术支持           扫码咨询技术服务
  
客服热线:400-901-9800  客服QQ:4009019800  技术答疑  技术支持  质量反馈  人才招聘  关于我们  联系我们
产品中心-北京博奥森生物技术有限公司
首页 > 产品中心 > 一抗 > 产品信息
CCR-2 Recombinant Rabbit mAb (bsm-62473R)  
订购热线:400-901-9800
订购邮箱:sales@bioss.com.cn
订购QQ:  400-901-9800
技术支持:techsupport@bioss.com.cn
25ul/800.00元
50ul/1400.00元
100ul/2500.00元
大包装/询价

产品编号 bsm-62473R
英文名称 CCR-2 Recombinant Rabbit mAb
中文名称 细胞表面趋化因子受体2重组兔单抗
别    名 CC-CKR-2; CCR-2; CCR2A; CCR2B; CD192; CKR2; CKR2A; CKR2B; CMKBR2; MCP-1-R; PCLUD; mJe-r; CCR2_HUMAN; CCR2; C-C CKR-2; Monocyte chemoattractant protein 1 receptor (MCP-1-R); CCR2_MOUSE; JE/FIC receptor; MCP-1 receptor; CCR2_RAT;   
抗体来源 Rabbit
克隆类型 Recombinant
克 隆 号
交叉反应 Human
产品应用 IHC-P=1:100-500,IHC-F=1:100-500,IF=1:100-500,Flow-Cyt=1:50-100,IP=1:20-50
not yet tested in other applications.
optimal dilutions/concentrations should be determined by the end user.
理论分子量 42 kDa
检测分子量 42
性    状 Liquid
免 疫 原 A synthesized peptide derived from human CCR2: 46048 
亚    型 IgG
纯化方法 affinity purified by Protein A
缓 冲 液 10mM phosphate buffered saline(pH 7.4) with 150mM sodium chloride, 0.05% BSA, 0.02% Proclin300 and 50% glycerol.
保存条件 Store at 4℃ for short term. Store at -20℃ for long term. Avoid repeated freeze/thaw cycles.
注意事项 This product as supplied is intended for research use only, not for use in human, therapeutic or diagnostic applications.
PubMed PubMed
产品介绍 Receptor for the MCP-1, MCP-3 and MCP-4 chemokines. Transduces a signal by increasing the intracellular calcium ions level. Alternative coreceptor with CD4 for HIV-1 infection.

SWISS:
P41597

Gene ID:
729230

CCR-2是属于G蛋白偶联受体一家族,参与调节白细胞的迁移和活性作用,是细胞膜蛋白,它的变异与HIV-1抵抗有关。CCR-2不仅在宫颈癌组织中表达,而且在人其他肿瘤如白血病、淋巴瘤、乳腺癌、肾B 癌、胃癌、结肠癌、肝癌和子宫癌中均有过度表达,可作为肝癌及乳腺癌诊断的标志物。
产品图片
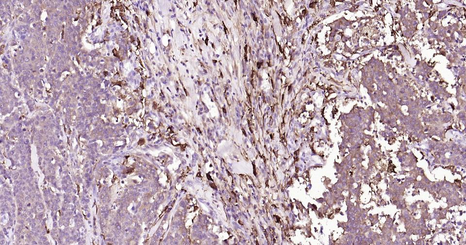
Paraformaldehyde-fixed, paraffin embedded Human Breast Cancer; Antigen retrieval by boiling in sodium citrate buffer (pH6.0) for 15 min; Antibody incubation with CCR-2 Monoclonal Antibody, Unconjugated(bsm-62473R) at 1:200 overnight at 4°C, followed by conjugation to the bs-0295G-HRP and DAB (C-0010) staining.
Paraformaldehyde-fixed, paraffin embedded Human Esophagus Cancer; Antigen retrieval by boiling in sodium citrate buffer (pH6.0) for 15 min; Antibody incubation with CCR-2 Monoclonal Antibody, Unconjugated(bsm-62473R) at 1:200 overnight at 4°C, followed by conjugation to the bs-0295G-HRP and DAB (C-0010) staining.
Paraformaldehyde-fixed, paraffin embedded Human Esophagus; Antigen retrieval by boiling in sodium citrate buffer (pH6.0) for 15 min; Antibody incubation with CCR-2 Monoclonal Antibody, Unconjugated(bsm-62473R) at 1:200 overnight at 4°C, followed by conjugation to the bs-0295G-HRP and DAB (C-0010) staining.
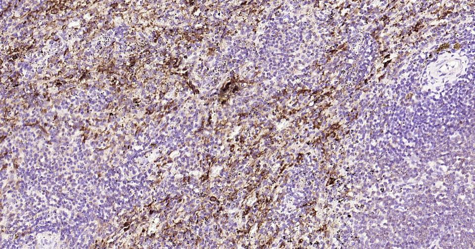
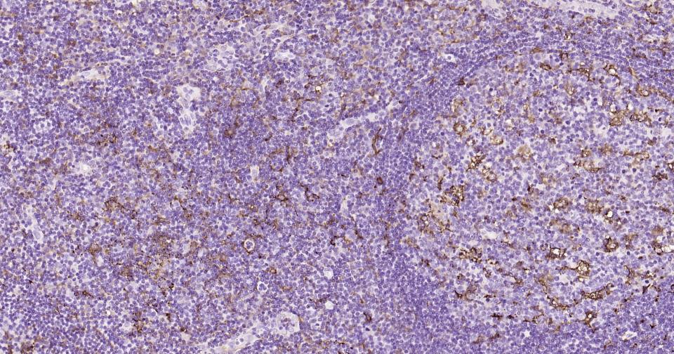
Paraformaldehyde-fixed, paraffin embedded Human Spleen; Antigen retrieval by boiling in sodium citrate buffer (pH6.0) for 15 min; Antibody incubation with CCR-2 Monoclonal Antibody, Unconjugated(bsm-62473R) at 1:200 overnight at 4°C, followed by conjugation to the bs-0295G-HRP and DAB (C-0010) staining.
Paraformaldehyde-fixed, paraffin embedded Human Lymph; Antigen retrieval by boiling in sodium citrate buffer (pH6.0) for 15 min; Antibody incubation with CCR-2 Monoclonal Antibody, Unconjugated(bsm-62473R) at 1:200 overnight at 4°C, followed by conjugation to the bs-0295G-HRP and DAB (C-0010) staining.
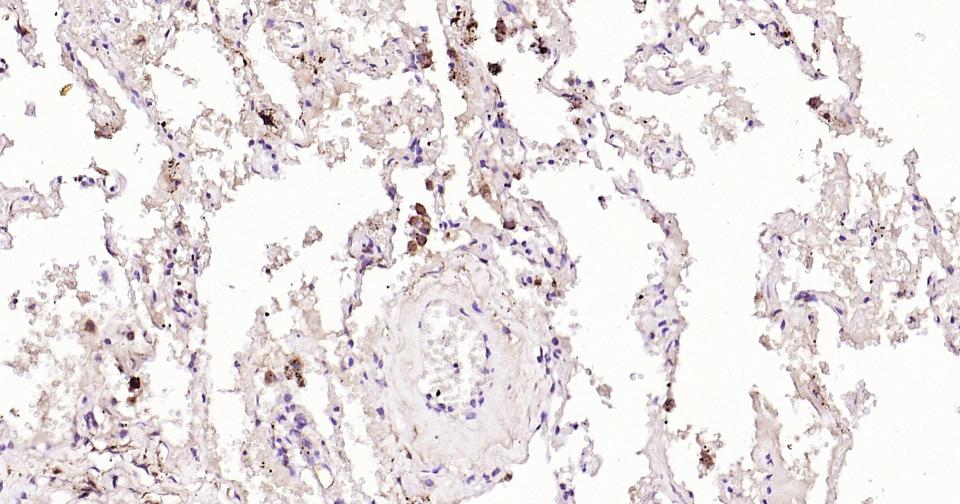
Paraformaldehyde-fixed, paraffin embedded Human Lung; Antigen retrieval by boiling in sodium citrate buffer (pH6.0) for 15 min; Antibody incubation with CCR-2 Monoclonal Antibody, Unconjugated(bsm-62473R) at 1:200 overnight at 4°C, followed by conjugation to the bs-0295G-HRP and DAB (C-0010) staining.
Paraformaldehyde-fixed, paraffin embedded Human Tonsil; Antigen retrieval by boiling in sodium citrate buffer (pH6.0) for 15 min; Antibody incubation with CCR-2 Monoclonal Antibody, Unconjugated(bsm-62473R) at 1:200 overnight at 4°C, followed by conjugation to the bs-0295G-HRP and DAB (C-0010) staining.
版权所有 2004-2026 www.bioss.com.cn 北京博奥森生物技术有限公司
通过国际质量管理体系ISO 9001:2015 GB/T 19001-2016    证书编号: 00124Q34771R2M/1100
通过国际医疗器械-质量管理体系ISO 13485:2016 GB/T 42061-2022     证书编号: CQC24QY20047R0M/1100
京ICP备05066980号-1         京公网安备110107000727号