扫码关注公众号           扫码咨询技术支持           扫码咨询技术服务
  
客服热线:400-901-9800  客服QQ:4009019800  技术答疑  技术支持  质量反馈  人才招聘  关于我们  联系我们
产品中心-北京博奥森生物技术有限公司
首页 > 产品中心 > 一抗 > 产品信息
Adrenodoxin Recombinant Rabbit mAb (bsm-62613R)  
订购热线:400-901-9800
订购邮箱:sales@bioss.com.cn
订购QQ:  400-901-9800
技术支持:techsupport@bioss.com.cn
25ul/800.00元
50ul/1400.00元
100ul/2500.00元
大包装/询价

产品编号 bsm-62613R
英文名称 Adrenodoxin Recombinant Rabbit mAb
中文名称 肾上腺皮质线粒体铁氧还蛋白重组兔单抗
别    名 ADX; FDX; LOH11CR1D; ADX_HUMAN; FDX1; Adrenal ferredoxin; Ferredoxin-1; Hepatoredoxin; ADX_MOUSE; ADX_RAT;  
抗体来源 Rabbit
克隆类型 Recombinant
克 隆 号 1G4
交叉反应 Human,Mouse,Rat
产品应用 WB=1:500-2000,IHC-P=1:100-500,IHC-F=1:100-500,IF=1:100-500,Flow-Cyt=1:100-200,ICC/IF=1:100-200
not yet tested in other applications.
optimal dilutions/concentrations should be determined by the end user.
理论分子量 19 kDa
检测分子量 13
性    状 Liquid
免 疫 原 A synthesized peptide derived from human Ferredoxin 1: 60-94 
亚    型 IgG
纯化方法 affinity purified by Protein A
缓 冲 液 10mM phosphate buffered saline(pH 7.4) with 150mM sodium chloride, 0.05% BSA, 0.02% Proclin300 and 50% glycerol.
保存条件 Store at 4℃ for short term. Store at -20℃ for long term. Avoid repeated freeze/thaw cycles.
注意事项 This product as supplied is intended for research use only, not for use in human, therapeutic or diagnostic applications.
PubMed PubMed
产品介绍 Essential for the synthesis of various steroid hormones. Participates in the reduction of mitochondrial cytochrome P450 for steroidogenesis. Transfers electrons from adrenodoxin reductase to CYP11A1, a cytochrome P450 that catalyzes cholesterol side-chain cleavage.

SWISS:
P10109

Gene ID:
2230

产品图片
25 ug total protein per lane of various lysates (see on figure) probed with Adrenodoxin monoclonal antibody, unconjugated (bsm-62613R) at 1:1000 dilution and 4°C overnight incubation. Followed by conjugated secondary antibody incubation at r.t. for 60 min.
Paraformaldehyde-fixed, paraffin embedded Human Adrenal Gland; Antigen retrieval by boiling in sodium citrate buffer (pH6.0) for 15 min; The section was incubated with Adrenodoxin Monoclonal Antibody, Unconjugated (bsm-62613R) at 1:200 overnight at 4°C, followed by conjugation to the bs-0295G-HRP and DAB (C-0010) staining.
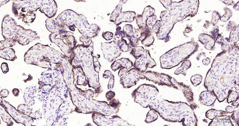
Paraformaldehyde-fixed, paraffin embedded Mouse placenta; Antigen retrieval by boiling in sodium citrate buffer (pH6.0) for 15 min; Antibody incubation with Adrenodoxin Monoclonal Antibody, Unconjugated(bsm-62613R) at 1:200 overnight at 4°C, followed by conjugation to the bs-0295G-HRP and DAB (C-0010) staining.
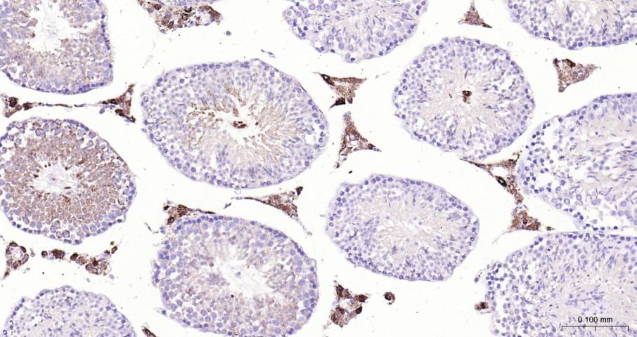
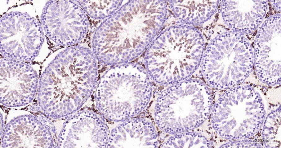
Paraformaldehyde-fixed, paraffin embedded Mouse testicles; Antigen retrieval by boiling in sodium citrate buffer (pH6.0) for 15 min; Antibody incubation with Adrenodoxin Monoclonal Antibody, Unconjugated(bsm-62613R) at 1:200 overnight at 4°C, followed by conjugation to the bs-0295G-HRP and DAB (C-0010) staining.
Paraformaldehyde-fixed, paraffin embedded Human placenta; Antigen retrieval by boiling in sodium citrate buffer (pH6.0) for 15 min; Antibody incubation with Adrenodoxin Monoclonal Antibody, Unconjugated(bsm-62613R) at 1:200 overnight at 4°C, followed by conjugation to the bs-0295G-HRP and DAB (C-0010) staining.
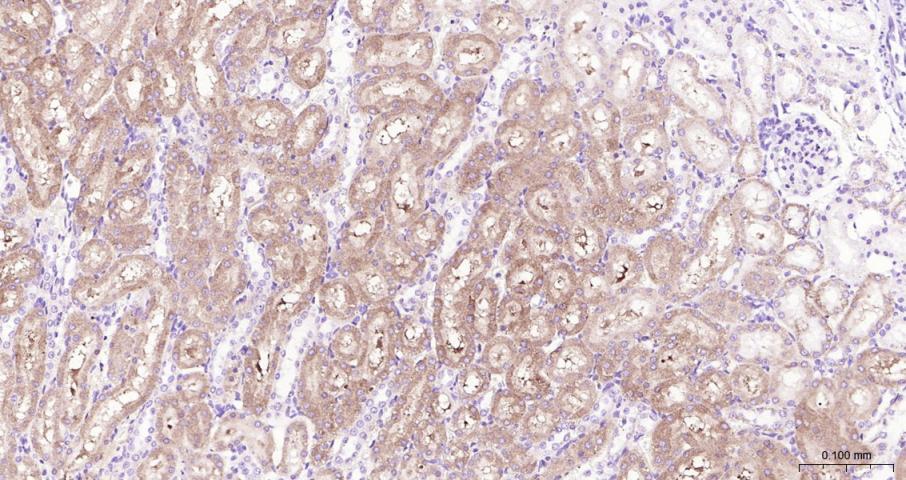
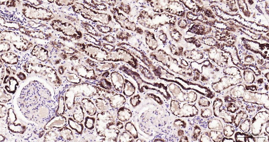
Paraformaldehyde-fixed, paraffin embedded Human kidney; Antigen retrieval by boiling in sodium citrate buffer (pH6.0) for 15 min; Antibody incubation with Adrenodoxin Monoclonal Antibody, Unconjugated(bsm-62613R) at 1:200 overnight at 4°C, followed by conjugation to the bs-0295G-HRP and DAB (C-0010) staining.
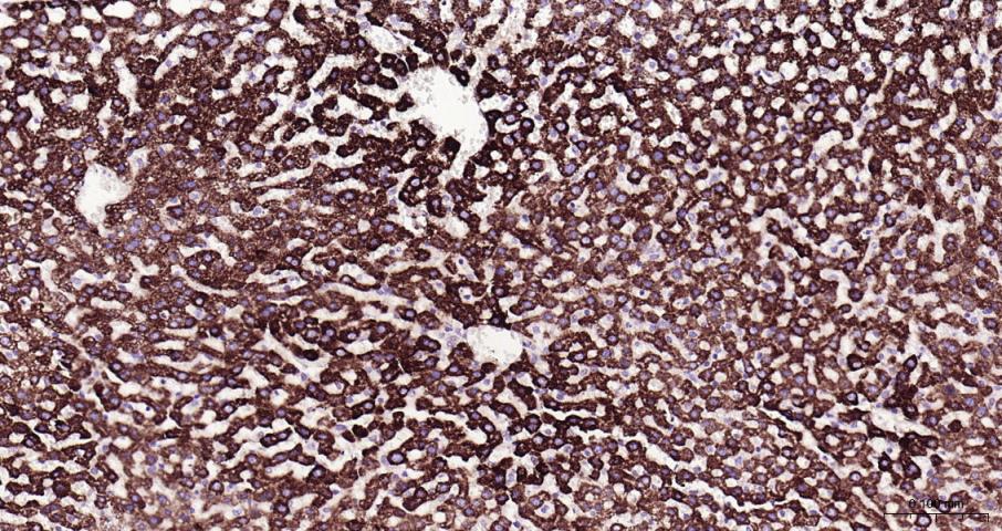
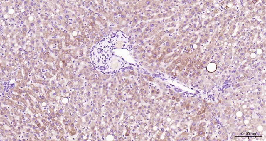
Paraformaldehyde-fixed, paraffin embedded Human liver; Antigen retrieval by boiling in sodium citrate buffer (pH6.0) for 15 min; Antibody incubation with Adrenodoxin Monoclonal Antibody, Unconjugated(bsm-62613R) at 1:200 overnight at 4°C, followed by conjugation to the bs-0295G-HRP and DAB (C-0010) staining.
Paraformaldehyde-fixed, paraffin embedded Rat placenta; Antigen retrieval by boiling in sodium citrate buffer (pH6.0) for 15 min; Antibody incubation with Adrenodoxin Monoclonal Antibody, Unconjugated(bsm-62613R) at 1:200 overnight at 4°C, followed by conjugation to the bs-0295G-HRP and DAB (C-0010) staining.
Paraformaldehyde-fixed, paraffin embedded Rat testicles; Antigen retrieval by boiling in sodium citrate buffer (pH6.0) for 15 min; Antibody incubation with Adrenodoxin Monoclonal Antibody, Unconjugated(bsm-62613R) at 1:200 overnight at 4°C, followed by conjugation to the bs-0295G-HRP and DAB (C-0010) staining.
Paraformaldehyde-fixed, paraffin embedded Rat liver; Antigen retrieval by boiling in sodium citrate buffer (pH6.0) for 15 min; Antibody incubation with Adrenodoxin Monoclonal Antibody, Unconjugated(bsm-62613R) at 1:200 overnight at 4°C, followed by conjugation to the bs-0295G-HRP and DAB (C-0010) staining.
Paraformaldehyde-fixed, paraffin embedded Rat Adrenal Gland; Antigen retrieval by boiling in sodium citrate buffer (pH6.0) for 15 min; The section was incubated with Adrenodoxin Monoclonal Antibody, Unconjugated (bsm-62613R) at 1:200 overnight at 4°C, followed by conjugation to the bs-0295G-HRP and DAB (C-0010) staining.
Paraformaldehyde-fixed, paraffin embedded Mouse Adrenal Gland; Antigen retrieval by boiling in sodium citrate buffer (pH6.0) for 15 min; The section was incubated with Adrenodoxin Monoclonal Antibody, Unconjugated (bsm-62613R) at 1:200 overnight at 4°C, followed by conjugation to the bs-0295G-HRP and DAB (C-0010) staining.
Paraformaldehyde-fixed, paraffin embedded Human testicles; Antigen retrieval by boiling in sodium citrate buffer (pH6.0) for 15 min; Antibody incubation with Adrenodoxin Monoclonal Antibody, Unconjugated(bsm-62613R) at 1:200 overnight at 4°C, followed by conjugation to the bs-0295G-HRP and DAB (C-0010) staining.
Paraformaldehyde-fixed, paraffin embedded Rat kidney; Antigen retrieval by boiling in sodium citrate buffer (pH6.0) for 15 min; Antibody incubation with Adrenodoxin Monoclonal Antibody, Unconjugated(bsm-62613R) at 1:200 overnight at 4°C, followed by conjugation to the bs-0295G-HRP and DAB (C-0010) staining.
4% Paraformaldehyde-fixed HepG2 (H) cell; Triton X-100 at r.t. for 20 min; Antibody incubation with (Adrenodoxin) monoclonal Antibody, unconjugated (bsm-62613R) 1:100, 90 min at 37°C; followed by BF488 conjugated Goat Anti-Rabbit IgG antibody (green, bs-60295G-BF488) at 37°C for 90 min, DAPI (blue, C02-04002) was used to stain the cell nuclei. PBS instead of the primary antibody was used as the blank control.
The HepG2 (H) cells were fixed with 4% PFA (10 min at r.t.) and then permeabilized with 90% ice-cold methanol for 20 min at -20℃,the cells then were incubated in 5%BSA to block non-specific protein-protein interactions (30 min at r.t.), followed by secondary antibody incubation for 40 min at room temperature. Primary Antibody (green):Rabbit Anti-Adrenodoxin antibody (bsm-62613R,1:100); Isotype Control (orange): Rabbit IgG (bs-0295P). Blank control (black): PBS. Acquisition of 20,000 events was performed.
版权所有 2004-2026 www.bioss.com.cn 北京博奥森生物技术有限公司
通过国际质量管理体系ISO 9001:2015 GB/T 19001-2016    证书编号: 00124Q34771R2M/1100
通过国际医疗器械-质量管理体系ISO 13485:2016 GB/T 42061-2022     证书编号: CQC24QY20047R0M/1100
京ICP备05066980号-1         京公网安备110107000727号