扫码关注公众号           扫码咨询技术支持           扫码咨询技术服务
  
客服热线:400-901-9800  客服QQ:4009019800  技术答疑  技术支持  质量反馈  人才招聘  关于我们  联系我们
产品中心-北京博奥森生物技术有限公司
首页 > 产品中心 > 一抗 > 产品信息
phospho-PBK (Thr9) Recombinant Rabbit mAb (bsm-62741R)  
订购热线:400-901-9800
订购邮箱:sales@bioss.com.cn
订购QQ:  400-901-9800
技术支持:techsupport@bioss.com.cn
25ul/800.00元
50ul/1400.00元
100ul/2500.00元
大包装/询价

产品编号 bsm-62741R
英文名称 phospho-PBK (Thr9) Recombinant Rabbit mAb
中文名称 磷酸化PDZ连接激酶/T-LAK细胞源蛋白激酶重组兔单抗
别    名 PBK (phospho-T9); p-PBK; phospho-PBK; PBK (phospho-Thr9); CT84; HEL164; Nori-3; SPK; TOPK; TOPK_HUMAN; PBK; Cancer/testis antigen 84 (CT84); MAPKK-like protein kinase; PDZ-binding kinase; Spermatogenesis-related protein kinase (SPK); T-LAK cell-originated protein kinase; 2.7.12.2;   
抗体来源 Rabbit
克隆类型 Recombinant
克 隆 号 9C3
交叉反应 Human
产品应用 WB=1:500-2000,IHC-P=1:50-200,IHC-F=1:50-200,IF=1:50-200
not yet tested in other applications.
optimal dilutions/concentrations should be determined by the end user.
理论分子量 36 kDa
检测分子量 40
性    状 Liquid
免 疫 原 A synthesized peptide derived from human PBK around the phosphorylation site of T9: FK-pT-PS 
亚    型 IgG
纯化方法 affinity purified by Protein A
缓 冲 液 10mM phosphate buffered saline(pH 7.4) with 150mM sodium chloride, 0.05% BSA, 0.02% Proclin300 and 50% glycerol.
保存条件 Store at 4℃ for short term. Store at -20℃ for long term. Avoid repeated freeze/thaw cycles.
注意事项 This product as supplied is intended for research use only, not for use in human, therapeutic or diagnostic applications.
PubMed PubMed
产品介绍 Phosphorylates MAP kinase p38. Seems to be active only in mitosis. May also play a role in the activation of lymphoid cells. When phosphorylated, forms a complex with TP53, leading to TP53 destabilization and attenuation of G2/M checkpoint during doxorubicin-induced DNA damage.

SWISS:
Q96KB5

Gene ID:
55872

PBK/TOPK是一种新近发现的丝-苏氨酸激酶,属于MAPKK分子家族成员,具有参与调控恶性肿瘤细胞的增殖和周期变化, 促进肿瘤细胞转化, 并且通过MAPKK信号通路参与调控细胞DNA损伤修复.
产品图片
Hela (H) cells were treated with or without Nocodazole, 25 μg total protein per lane of cell lysates (see on figure) probed with Phospho-PBK (Thr9) monoclonal antibody, unconjugated (bsm-62741R) at 1:1000 dilution and 4°C overnight incubation. Followed by conjugated secondary antibody incubation at r.t. for 60 min.
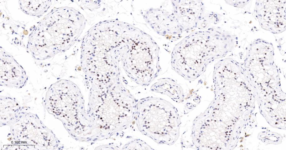
Paraformaldehyde-fixed, paraffin embedded Human Testicles; Antigen retrieval by boiling in sodium citrate buffer (pH6.0) for 15 min; The section was incubated with phospho-PBK (Thr9) Monoclonal Antibody, Unconjugated (bsm-62741R) at 1:200 overnight at 4°C, followed by conjugation to the bs-0295G-HRP and DAB (C-0010) staining.
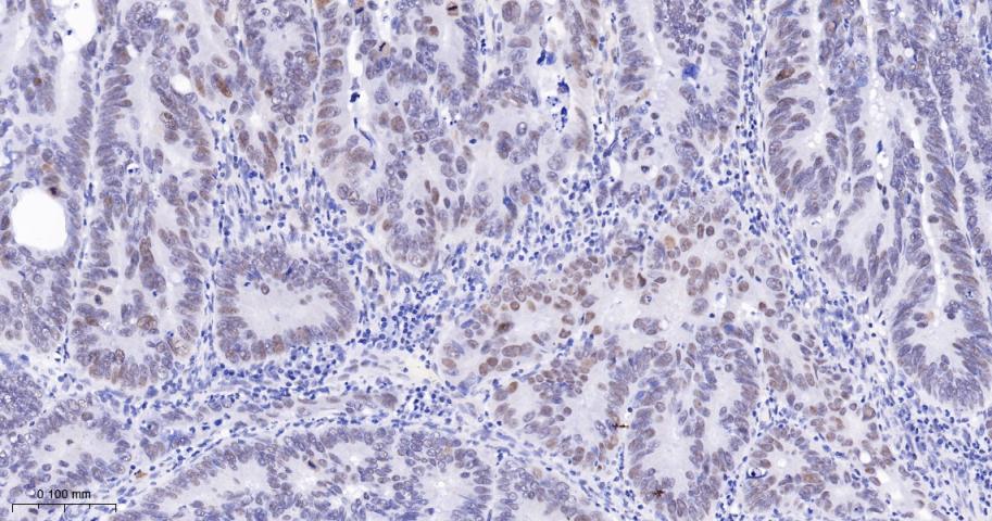
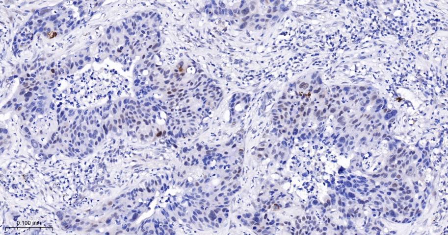
Paraformaldehyde-fixed, paraffin embedded Human Colon Cancer; Antigen retrieval by boiling in sodium citrate buffer (pH6.0) for 15 min; The section was incubated with phospho-PBK (Thr9) Monoclonal Antibody, Unconjugated (bsm-62741R) at 1:200 overnight at 4°C, followed by conjugation to the bs-0295G-HRP and DAB (C-0010) staining.
Paraformaldehyde-fixed, paraffin embedded Human Lung Cancer; Antigen retrieval by boiling in sodium citrate buffer (pH6.0) for 15 min; The section was incubated with phospho-PBK (Thr9) Monoclonal Antibody, Unconjugated (bsm-62741R) at 1:200 overnight at 4°C, followed by conjugation to the bs-0295G-HRP and DAB (C-0010) staining.
版权所有 2004-2026 www.bioss.com.cn 北京博奥森生物技术有限公司
通过国际质量管理体系ISO 9001:2015 GB/T 19001-2016    证书编号: 00124Q34771R2M/1100
通过国际医疗器械-质量管理体系ISO 13485:2016 GB/T 42061-2022     证书编号: CQC24QY20047R0M/1100
京ICP备05066980号-1         京公网安备110107000727号