扫码关注公众号           扫码咨询技术支持           扫码咨询技术服务
  
客服热线:400-901-9800  客服QQ:4009019800  技术答疑  技术支持  质量反馈  人才招聘  关于我们  联系我们
产品中心-北京博奥森生物技术有限公司
首页 > 产品中心 > 一抗 > 产品信息
Lamin A/C Recombinant Rabbit mAb (bsm-62886R)  
订购热线:400-901-9800
订购邮箱:sales@bioss.com.cn
订购QQ:  400-901-9800
技术支持:techsupport@bioss.com.cn
25ul/800.00元
50ul/1400.00元
100ul/2500.00元
大包装/询价

产品编号 bsm-62886R
英文名称 Lamin A/C Recombinant Rabbit mAb
中文名称 核纤层蛋白A重组兔单抗
别    名 lamin-A; CDCD1; CDDC; CMD1A; CMT2B1; EMD2; FPL; FPLD; FPLD2; HGPS; IDC; LDP1; LFP; LGMD1B; LMN1; LMNC; LMNL1; MADA; PRO1; Dhe; LMNA_CHICK; LMNA; LMNA_HUMAN; LMNA_MOUSE; LMNA_PIG; LMNA_RAT;  
抗体来源 Rabbit
克隆类型 Recombinant
克 隆 号 8H20
交叉反应 Human
产品应用 WB=1:1000-5000,IHC-P=1:200-800,IHC-F=1:200-800,IF=1:200-800,Flow-Cyt=1:50-200,ICC/IF=1:100-200,IP=1:20-50
not yet tested in other applications.
optimal dilutions/concentrations should be determined by the end user.
理论分子量 74 kDa
检测分子量 65-70
性    状 Liquid
免 疫 原 A synthesized peptide derived from human Lamin A/C: 520-584 
亚    型 IgG
纯化方法 affinity purified by Protein A
缓 冲 液 10mM phosphate buffered saline(pH 7.4) with 150mM sodium chloride, 0.05% BSA, 0.02% Proclin300 and 50% glycerol.
保存条件 Store at 4℃ for short term. Store at -20℃ for long term. Avoid repeated freeze/thaw cycles.
注意事项 This product as supplied is intended for research use only, not for use in human, therapeutic or diagnostic applications.
PubMed PubMed
产品介绍 Lamins are intermediate filament proteins that assemble into a filamentous meshwork, and which constitute the major components of the nuclear lamina, a fibrous layer on the nucleoplasmic side of the inner nuclear membrane.

SWISS:
P02545

Gene ID:
4000

核膜标志物(Nuclear Envelope Marker) 核纤层蛋白(lamin) 是紧贴核内膜的一层厚度为20~50nm的纤维蛋白层或纤维网络。核纤层与细胞质骨架、核骨架连成一个整体,一般认为核纤层将核被膜和染色质提供了结构支架。有学者研究认为:lamin蛋白与细胞凋亡及衰老有关联,它包括:核纤层蛋白A、核纤层蛋白B、核纤层蛋白C几个不同亚型的蛋白。
产品图片
25 ug total protein per lane of various lysates (see on figure) probed with Lamin A/C monoclonal antibody, unconjugated (bsm-62886R) at 1:2000 dilution and 4°C overnight incubation. Followed by conjugated secondary antibody incubation at r.t. for 60 min.
Paraformaldehyde-fixed, paraffin embedded Human Breast; Antigen retrieval by boiling in sodium citrate buffer (pH6.0) for 15 min; The section was incubated with Lamin A/C Monoclonal Antibody, Unconjugated (bsm-62886R) at 1:400 overnight at 4°C, followed by conjugation to the bs-0295G-HRP and DAB (C-0010) staining.
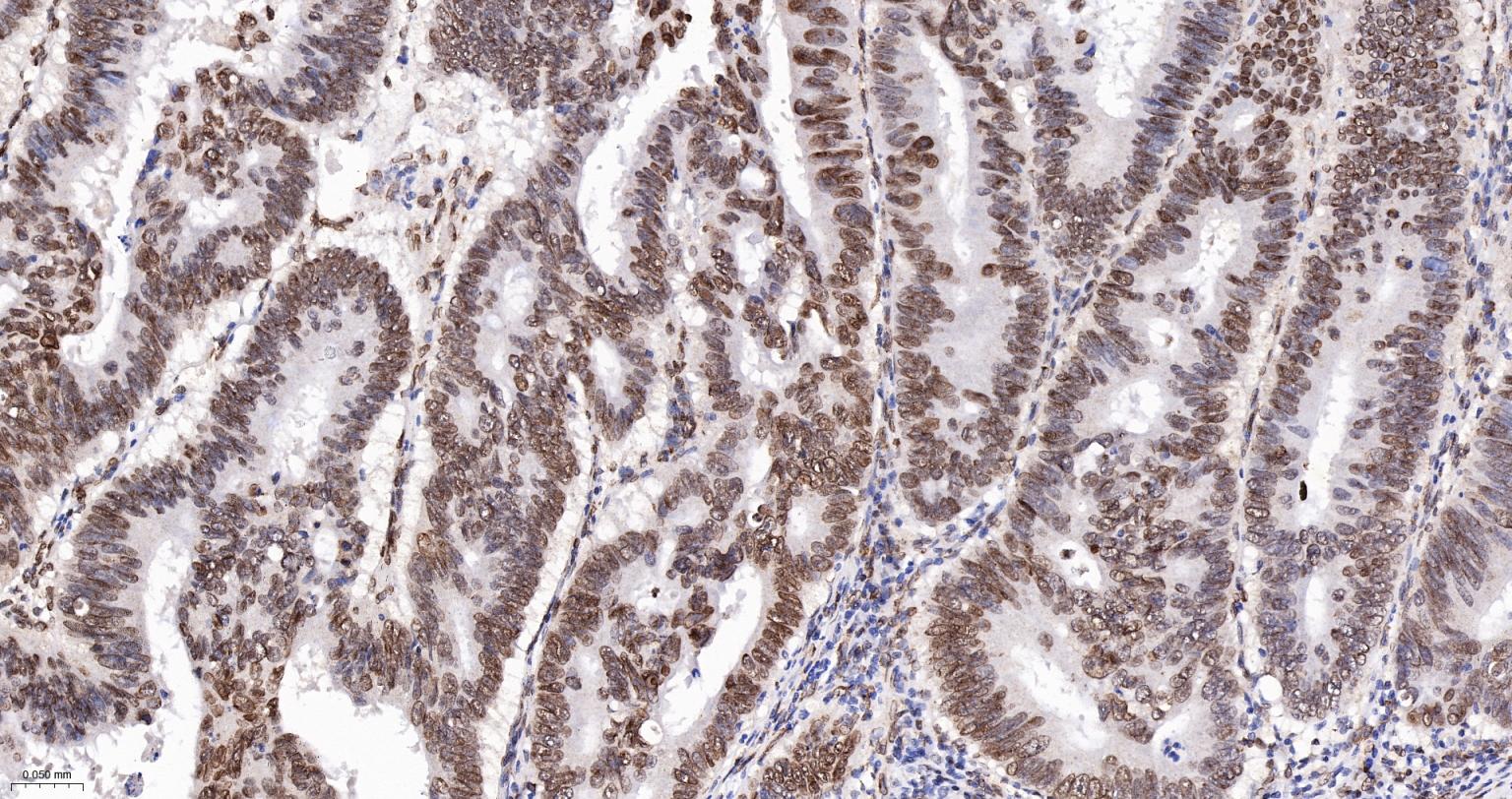
Paraformaldehyde-fixed, paraffin embedded Human Colon; Antigen retrieval by boiling in sodium citrate buffer (pH6.0) for 15 min; The section was incubated with Lamin A/C Monoclonal Antibody, Unconjugated (bsm-62886R) at 1:400 overnight at 4°C, followed by conjugation to the bs-0295G-HRP and DAB (C-0010) staining.
Paraformaldehyde-fixed, paraffin embedded Human Breast Cancer; Antigen retrieval by boiling in sodium citrate buffer (pH6.0) for 15 min; The section was incubated with Lamin A/C Monoclonal Antibody, Unconjugated (bsm-62886R) at 1:400 overnight at 4°C, followed by conjugation to the bs-0295G-HRP and DAB (C-0010) staining.
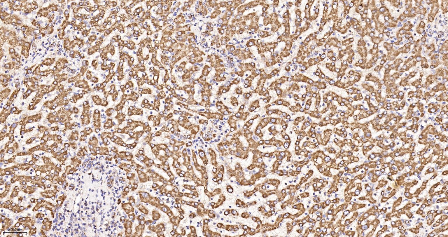
Paraformaldehyde-fixed, paraffin embedded Human Liver; Antigen retrieval by boiling in sodium citrate buffer (pH6.0) for 15 min; The section was incubated with Lamin A/C Monoclonal Antibody, Unconjugated (bsm-62886R) at 1:200 overnight at 4°C, followed by conjugation to the bs-0295G-HRP and DAB (C-0010) staining.
Paraformaldehyde-fixed, paraffin embedded Human Colon Cancer; Antigen retrieval by boiling in sodium citrate buffer (pH6.0) for 15 min; The section was incubated with Lamin A/C Monoclonal Antibody, Unconjugated (bsm-62886R) at 1:400 overnight at 4°C, followed by conjugation to the bs-0295G-HRP and DAB (C-0010) staining.
Paraformaldehyde-fixed, paraffin embedded Human Cervical Cancer; Antigen retrieval by boiling in sodium citrate buffer (pH6.0) for 15 min; The section was incubated with Lamin A/C Monoclonal Antibody, Unconjugated (bsm-62886R) at 1:400 overnight at 4°C, followed by conjugation to the bs-0295G-HRP and DAB (C-0010) staining.
4% Paraformaldehyde-fixed HeLa (H) cell; Triton X-100 at r.t. for 20 min; Antibody incubation with (Lamin A/C) monoclonal Antibody, unconjugated (bsm-62886R) 1:100, 90 min at 37°C; followed by conjugated Goat Anti-Rabbit IgG antibody (green, bs-60295G-BF488) at 37°C for 90 min, DAPI (blue, C02-04002) was used to stain the cell nuclei. PBS instead of the primary antibody was used as the blank control.
4% Paraformaldehyde-fixed HeLa (H) cell; Triton X-100 at r.t. for 20 min; Antibody incubation with (Lamin A/C) monoclonal Antibody, unconjugated (bsm-62886R) 1:100, 90 min at 37°C; followed by BF555 conjugated Goat Anti-Rabbit IgG antibody (red, bs-60295G-BF555) at 37°C for 90 min, then stained with Phalloidin/FITC for 30 min at room temperature; DAPI (blue, C02-04002) was used to stain the cell nuclei.
The Hela (H) cells were fixed with 4% PFA (10 min at r.t.) and then permeabilized with 90% ice-cold methanol for 20 min at -20℃,the cells then were incubated in 5%BSA to block non-specific protein-protein interactions (30 min at r.t.), followed by secondary antibody incubation for 40 min at room temperature. Primary Antibody (green):Rabbit Anti-Lamin A/C antibody (bsm-62886R,1:100); Isotype Control (orange): Rabbit IgG (bs-0295P). Blank control (black): PBS. Acquisition of 20,000 events was performed.
版权所有 2004-2026 www.bioss.com.cn 北京博奥森生物技术有限公司
通过国际质量管理体系ISO 9001:2015 GB/T 19001-2016    证书编号: 00124Q34771R2M/1100
通过国际医疗器械-质量管理体系ISO 13485:2016 GB/T 42061-2022     证书编号: CQC24QY20047R0M/1100
京ICP备05066980号-1         京公网安备110107000727号