扫码关注公众号           扫码咨询技术支持           扫码咨询技术服务
  
客服热线:400-901-9800  客服QQ:4009019800  技术答疑  技术支持  质量反馈  关于我们  联系我们
产品中心-北京博奥森生物技术有限公司
首页 > 产品中心 > 一抗 > 产品信息
alpha smooth muscle Actin Rabbit pAb (bs-0189R)  
订购热线:400-901-9800
订购邮箱:sales@bioss.com.cn
订购QQ:  400-901-9800
技术支持:techsupport@bioss.com.cn
50ul/1180.00元
100ul/1980.00元
200ul/2800.00元
大包装/询价

产品编号 bs-0189R
英文名称 alpha smooth muscle Actin Rabbit pAb
中文名称 肌动蛋白α/α-SMA/α Actin抗体
别    名 alpha sarcomeric Actin; alpha smooth muscle Actin; Actin alpha; ASMA; ASM-A; alpha-SMA; alpha SMA; AAT6; ACTA2; Actin alpha 2 smooth muscle aorta; Actin aortic smooth muscle; ACTSA; ACTVS; alpha 2 actin; alpha-actin 2; Cell growth inhibiting gene 46 protein; Growth inhibiting gene 46; ACTA_HUMAN; Actin alpha 2 smooth muscle aorta; Actin aortic smooth muscle; Actin, aortic smooth muscle; alpha 2 actin; alpha actin 2; alpha cardiac actin; alpha-actin 2; alpha-actin-2; Cell growth inhibiting gene 46 protein; Cell growth-inhibiting gene 46 protein; Growth inhibiting gene 46; MYMY5  α-Smooth Muscle Actin; α Smooth Muscle Actin;
Specific References  (74)     |     bs-0189R has been referenced in 74 publications.
[IF=10.171] Wan Zhou. et al. Retinol binding protein 4 promotes the phenotypic transformation of vascular smooth muscle cells under high glucose condition via modulating RhoA/ROCK1 pathway. TRANSL RES. 2023 Mar;:  WB ;  Rat.  
[IF=8.713] Zhao-Bo Luo. et al. Fecal transplant from myostatin deletion pigs positively impacts the gut-muscle axis. ELIFE. 2023; 12: e81858  WB ;  Mouse.  
[IF=7.727] Xue Wang. et al. Engineered liposomes targeting the gut–CNS Axis for comprehensive therapy of spinal cord injury. J Control Release. 2021 Mar;331:390  WB ;  Mouse.  
[IF=7.032] Fang-tian Bu. et al. Circular RNA circPSD3 alleviates hepatic fibrogenesis by regulating the miR-92b-3p/Smad7 axis. Mol Ther-Nucl Acids. 2021 Mar;23:847  WB ;  Mouse.  
[IF=6.656] Mingzhu Xiao. et al. Nuciferine attenuates atherosclerosis by regulating the proliferation and migration of VSMCs through the Calm4/MMP12/AKT pathway in ApoE(-/-) mice fed with High-Fat-Diet. PHYTOMEDICINE. 2023 Jan;108:154536  IF ;  Mouse.  
[IF=6.543] Liu Lulu. et al. Hydrogen Sulfide Attenuates Angiotensin II-Induced Cardiac Fibroblast Proliferation and Transverse Aortic Constriction-Induced Myocardial Fibrosis through Oxidative Stress Inhibition via Sirtuin 3. Oxid Med Cell Longev. 2021;2021:9925771  IF ;  rat.  
[IF=6.543] Liu Lulu. et al. Hydrogen Sulfide Attenuates Angiotensin II-Induced Cardiac Fibroblast Proliferation and Transverse Aortic Constriction-Induced Myocardial Fibrosis through Oxidative Stress Inhibition via Sirtuin 3. Oxid Med Cell Longev. 2021;2021:9925771  WB ;  rat.  
[IF=5.988] Zhenni Liu. et al. CD73-Adenosine A1R Axis Regulates the Activation and Apoptosis of Hepatic Stellate Cells Through the PLC-IP3-Ca2+/DAG-PKC Signaling Pathway. FRONT PHARMACOL. 2022; 13: 922885  WB ;  Mouse, Rat.  
[IF=5.834] Jie Shen. et al. LincRNA-ROR/miR-145/ZEB2 regulates liver fibrosis by modulating HERC5-mediated p53 ISGylation. FASEB J. 2023 May;37(6):e22936  WB ;  Mouse,Human.  
[IF=5.714] Li D et al. Oxygenated Polycyclic aromatic hydrocarbons (Oxy-PAHs) facilitate lung cancer metastasis by epigenetically regulating the epithelial-to-mesenchymal transition (EMT). Environ Pollut. 2019 Sep 17;255(Pt 2):113261.  WB ;  Human.  
[IF=5.714] Han B et al. Deltamethrin induces liver fibrosis in quails via activation of the TGF-β1/Smad signaling pathway. Environ Pollut. 2019 Dec 23;259:113870.  WB ;  quail.  
[IF=5.589] Lv Y et al. Imidacloprid-induced liver fibrosis in quails via activation of the TGF-β1/Smad pathway. Sci Total Environ. 2019 Dec 6;705:135915.  WB ;  Quail.  
[IF=5.555] Xiaohang Wang. et al. Screening and Identification of Key Genes for Activation of Islet Stellate Cell. Front Endocrinol. 2021; 12: 695467  WB ;  Rat.  
[IF=4.966] Hongmei You. et al. The miR-455-3p/HDAC2 axis plays a pivotal role in the progression and reversal of liver fibrosis and is regulated by epigenetics. Faseb J. 2021 Jul;35(7):e21700  WB ;  Mouse.  
[IF=4.679] Lili Hou. et al. Fumonisin B1 induces nephrotoxicity via autophagy mediated by mTORC1 instead of mTORC2 in human renal tubule epithelial cells. Food Chem Toxicol. 2021 Mar;149:112037  IF ;  Human.  
[IF=4.547] Zheng, Qingbo. et al. Construction of transcriptome atlas of white yak hair follicle during anagen and catagen using single-cell RNA sequencing. BMC GENOMICS. 2022 Dec;23(1):1-14  IHC ;  Yak.  
[IF=4.486] Fuhua Wang. et al. Neuregulin‐1 alleviate oxidative stress and mitigate inflammation by suppressing NOX4 and NLRP3/caspase‐1 in myocardial ischaemia‐reperfusion injury. J Cell Mol Med. 2021 Feb;25(3):1783-1795  IF ;  Rat.  
[IF=4.486] Chen Y et al. PLK1 regulates hepatic stellate cell activation and liver fibrosis through Wnt/β‐catenin signalling pathway. J Cell Mol Med . 2020 Jul;24(13):7405-7416.  WB ;  Mouse&Human.  
[IF=4.432] Yuan-Yuan Wu. et al. LncRNA MEG3 reverses CCl4-induced liver fibrosis by targeting NLRC5. Eur J Pharmacol. 2021 Nov;911:174462  WB,IF ;  mouse,human.  
[IF=4.372] Ao Wang. et al. MicroRNA-195-3p promotes hepatic stellate cell activation and liver fibrosis by suppressing PTEN expression. Toxicol Lett. 2022 Feb;355:88  WB ;  Mouse.  
[IF=4.302] Sun et al. Integrated long non-coding RNA analyses identify novel regulators of epithelial-mesenchymal transition in the mouse model of pulmonary fibrosis. (2016) J.Cell.Mol.Me. 20:1234-46  IF,IHC ;  Mouse.  
[IF=4.292] Longfei Xiao. et al. Dihydrotestosterone through blockade of TGF-β/Smad signaling mediates the anti-fibrosis effect under hypoxia in canine Sertoli cells. J Steroid Biochem. 2022 Feb;216:106041  WB,IF ;  Dog.  
[IF=4.268] Wenwen Liu. et al. Effects of andrographolide on renal tubulointersticial injury and fibrosis. Evidence of its mechanism of action. Phytomedicine. 2021 Jul;:153650  WB ;  Human.  
[IF=4.225] Wang W et al. Bu-Shen-Huo-Xue Decoction Ameliorates Diabetic Nephropathy by Inhibiting Rac1/PAK1/p38MAPK Signaling Pathway in High-Fat Diet/Streptozotocin-Induced Diabetic MiceFront Pharmacol.2020 Dec 3;11:587663.  IHC、WB ;  Mouse.  
[IF=4.171] Zhigang Zhang. et al. Inflammation response after the cessation of chronic arsenic exposure and post-treatment of natural astaxanthin in liver: potential role of cytokine-mediated cell–cell interactions. Food Funct. 2020 Oct;11(10):9252-9262  WB ;  Rat.  
[IF=3.947] Ma, Wenbin. et al. CircPCNX Promotes PDGF-BB-Induced Proliferation and Migration of Human Aortic Vascular Smooth Muscle Cells Through Regulating miR-1278/DNMT1 Axis. CARDIOVASC DRUG THER. 2022 Jun;:1-13  WB ;  Human.  
[IF=3.831] Pan et al. DNA Methylation of PTGIS Enhances Hepatic Stellate Cells Activation and Liver Fibrogenesis. (2018) Front.Pharmacol. 9:553  WB ;  mouse.  
[IF=3.73] Chen, Cheng-Hsien, et al. "MicroRNA-328 Inhibits Renal Tubular Cell Epithelial-to-Mesenchymal Transition by Targeting the CD44 in Pressure-Induced Renal Fibrosis." PloS one 9.6 (2014): e99802.  WB ;  Rat.  
[IF=3.69]   WB ;  rat.  
[IF=3.61] Xu, Zhen E., et al. "Inflammatory stress exacerbates lipid-mediated renal injury in ApoE/CD36/SRA triple knockout mice." American Journal of Physiology-Renal Physiology 301.4 (2011): F713-F722.  IHC-P ;  Mouse.  
研究领域 肿瘤  细胞生物  免疫学  细胞骨架  
抗体来源 Rabbit
克隆类型 Polyclonal
克 隆 号
交叉反应 Human,Mouse,Rat (predicted: Rabbit)
产品应用 WB=1:1000-5000,IHC-P=1:100-500,IHC-F=1:100-500,IF=1:100-500,Flow-Cyt=1μg/Test
not yet tested in other applications.
optimal dilutions/concentrations should be determined by the end user.
理论分子量 42 kDa
检测分子量
细胞定位 细胞浆 
性    状 Liquid
浓    度 1mg/ml
免 疫 原 KLH conjugated synthetic peptide derived from human Actin alpha: 301-375/375 
亚    型 IgG
纯化方法 affinity purified by Protein A
缓 冲 液 0.01M TBS (pH7.4) with 1% BSA, 0.02% Proclin300 and 50% Glycerol.
保存条件 Shipped at 4℃. Store at -20℃ for one year. Avoid repeated freeze/thaw cycles.
注意事项 This product as supplied is intended for research use only, not for use in human, therapeutic or diagnostic applications.
PubMed PubMed
产品介绍 The product encoded by this gene belongs to the actin family of proteins, which are highly conserved proteins that play a role in cell motility, structure and integrity. Alpha, beta and gamma actin isoforms have been identified, with alpha actins being a major constituent of the contractile apparatus, while beta and gamma actins are involved in the regulation of cell motility. This actin is an alpha actin that is found in skeletal muscle. Mutations in this gene cause nemaline myopathy type 3, congenital myopathy with excess of thin myofilaments, congenital myopathy with cores, and congenital myopathy with fiber-type disproportion, diseases that lead to muscle fiber defects. [provided by RefSeq, Jul 2008]

Function:
Actins are highly conserved proteins that are involved in various types of cell motility and are ubiquitously expressed in all eukaryotic cells.

Subunit:
Polymerization of globular actin (G-actin) leads to a structural filament (F-actin) in the form of a two-stranded helix. Each actin can bind to 4 others.

Subcellular Location:
Cytoplasm, cytoskeleton.

Post-translational modifications:
Oxidation of Met-46 by MICALs (MICAL1, MICAL2 or MICAL3) to form methionine sulfoxide promotes actin filament depolymerization. Methionine sulfoxide is produced stereospecifically, but it is not known whether the (S)-S-oxide or the (R)-S-oxide is produced (By similarity).

DISEASE:
Note=ACTA2 mutations predispose patients to a variety of diffuse and diverse vascular diseases, premature onset coronary artery disease (CAD), premature ischemic strokes and Moyamoya disease.
Defects in ACTA2 are the cause of familial aortic aneurysm thoracic type 6 (AAT6) [MIM:611788]. AATs are characterized by permanent dilation of the thoracic aorta usually due to degenerative changes in the aortic wall. They are primarily associated with a characteristic histologic appearance known as 'medial necrosis' or 'Erdheim cystic medial necrosis' in which there is degeneration and fragmentation of elastic fibers, loss of smooth muscle cells, and an accumulation of basophilic ground substance.
Defects in ACTA2 are the cause of Moyamoya disease type 5 (MYMY5) [MIM:614042]. Moyamoya disease is a progressive cerebral angiopathy characterized by bilateral intracranial carotid artery stenosis and telangiectatic vessels in the region of the basal ganglia. The abnormal vessels resemble a 'puff of smoke' (moyamoya) on cerebral angiogram. Affected individuals can develop transient ischemic attacks and/or cerebral infarction, and rupture of the collateral vessels can cause intracranial hemorrhage. Hemiplegia of sudden onset and epileptic seizures constitute the prevailing presentation in childhood, while subarachnoid bleeding occurs more frequently in adults.
Defects in ACTA2 are the cause of multisystemic smooth muscle dysfunction syndrome (MSMDYS) [MIM:613834]. MSMDYS is a syndrome characterized by dysfunction of smooth muscle cells throughout the body, leading to aortic and cerebrovascular disease, fixed dilated pupils, hypotonic bladder, malrotation, and hypoperistalsis of the gut and pulmonary hypertension.

Similarity:
Belongs to the actin family.

SWISS:
P62736

Gene ID:
59

Database links:
Entrez Gene: 101021287 Baboon

Entrez Gene: 515610 Cow

Entrez Gene: 59 Human

Entrez Gene: 11475 Mouse

Entrez Gene: 733615 Pig

Entrez Gene: 100009271 Rabbit

Entrez Gene: 81633 Rat

Omim: 102620 Human

SwissProt: P62739 Cow

SwissProt: P62736 Human

SwissProt: P62737 Mouse

SwissProt: P62740 Rabbit

SwissProt: P62738 Rat

Unigene: 500483 Human

Unigene: 213025 Mouse

Unigene: 195319 Rat

Unigene: 3114 Rat



结构蛋白(Structural Proteins)
Actin α/α-Actin 是一种具有收缩能力的微丝蛋白,a-SMA广泛分布于几乎所有的肌型细胞中。Actin-α蛋白主要用于检测骨骼肌、平滑肌、血管平滑肌、心肌和肌原性肿瘤 包括:平滑肌瘤、平滑肌肉瘤、横纹肌肉瘤以及肌上细胞和肌上皮瘤。Actin(肌动蛋白)是在所有真核细胞中都表达的高度保守的蛋白质。它们沿微管组成了细胞骨架的主要成分。肌动蛋白至少表达为6种异构形式。它在心脏、骨骼横纹肌组织和某些平滑肌组织中表达,调节其收缩功能。有报导说肌动蛋白在乳房瘤中是高度磷酸化的。肌动蛋白的功能失调也会导致某种类型的心脏病。平滑肌α肌动蛋白使人更感兴趣,因为编码它的基因是相对局限于在血管平滑肌细胞中表达的少数几个基因之一。肌动蛋白是标记平滑肌和肌上皮细胞肿瘤的有效工具。
产品图片
Sample: A549(Human) Cell Lysate at 30 ug NIH/3T3(Mouse) Cell Lysate at 30 ug Hela(Human) Cell Lysate at 30 ug A431(Human) Cell Lysate at 30 ug HepG2(Human) Cell Lysate at 30 ug Stomach (Mouse) Lysate at 40 ug Lung (Mouse) Lysate at 40 ug Skeletal muscle(-) (Mouse) Lysate at 40 ug Primary: Anti-alpha smooth muscle Actin (bs-0189R) at 1/1000 dilution Secondary: IRDye800CW Goat Anti-Rabbit IgG at 1/20000 dilution Predicted band size: 42 kD Observed band size: 42 kD
Sample: Liver (Rat) Lysate at 40 ug Urinary bladder (Rat) Lysate at 40 ug Stomach (Mouse) Lysate at 40 ug A549 (Human) Lysate at 30 ug Primary: Anti-alpha smooth muscle Actin (bs-0189R) at 1/1000 dilution Secondary: IRDye800CW Goat Anti-Rabbit IgG at 1/20000 dilution Predicted band size: 42 kD Observed band size: 46 kD
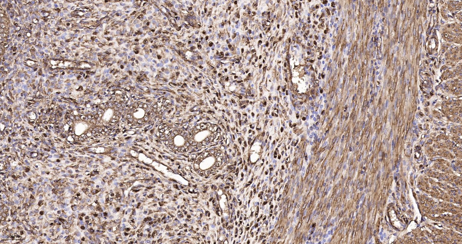
Paraformaldehyde-fixed, paraffin embedded Human Cervical Cancer; Antigen retrieval by boiling in sodium citrate buffer (pH6.0) for 15 min; Antibody incubation with alpha smooth muscle Actin Polyclonal Antibody, Unconjugated (bs-0189R) at 1:200 overnight at 4°C, followed by conjugation to the SP Kit (Rabbit, SP-0023) and DAB (C-0010) staining.
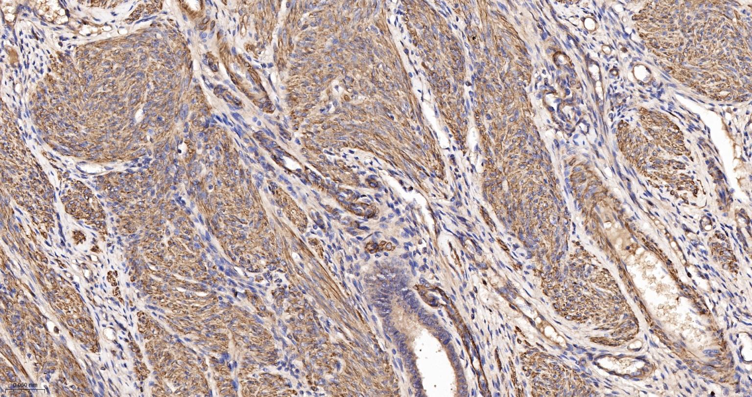
Paraformaldehyde-fixed, paraffin embedded Rat Colon; Antigen retrieval by boiling in sodium citrate buffer (pH6.0) for 15 min; Antibody incubation with alpha smooth muscle Actin Polyclonal Antibody, Unconjugated (bs-0189R) at 1:200 overnight at 4°C, followed by conjugation to the SP Kit (Rabbit, SP-0023) and DAB (C-0010) staining.
Paraformaldehyde-fixed, paraffin embedded Human Stomach; Antigen retrieval by boiling in sodium citrate buffer (pH6.0) for 15 min; Antibody incubation with alpha smooth muscle Actin Polyclonal Antibody, Unconjugated (bs-0189R) at 1:200 overnight at 4°C, followed by conjugation to the SP Kit (Rabbit, SP-0023) and DAB (C-0010) staining.
Paraformaldehyde-fixed, paraffin embedded Human Duodenum; Antigen retrieval by boiling in sodium citrate buffer (pH6.0) for 15 min; Antibody incubation with alpha smooth muscle Actin Polyclonal Antibody, Unconjugated (bs-0189R) at 1:200 overnight at 4°C, followed by conjugation to the SP Kit (Rabbit, SP-0023) and DAB (C-0010) staining.
Paraformaldehyde-fixed, paraffin embedded Mouse Stomach; Antigen retrieval by boiling in sodium citrate buffer (pH6.0) for 15 min; Antibody incubation with alpha smooth muscle Actin Polyclonal Antibody, Unconjugated (bs-0189R) at 1:200 overnight at 4°C, followed by conjugation to the SP Kit (Rabbit, SP-0023) and DAB (C-0010) staining.
Blank control (blue line): Hela (fixed with 70% ethanol (Overnight at 4℃) and then permeabilized with 90% ice-cold methanol for 30 min on ice). Primary Antibody (green line): Rabbit Anti-alpha smooth muscle Actin antibody (bs-0189R),Dilution: 1μg /10^6 cells; Isotype Control Antibody (orange line): Rabbit IgG . Secondary Antibody (white blue line): Goat anti-rabbit IgG-FITC,Dilution: 1μg /test.
Blank control (blue line): Hela (blue). Primary Antibody (green line): Rabbit Anti-alpha smooth muscle Actin antibody (bs-0189R) Dilution: 1μg /10^6 cells; Isotype Control Antibody (orange line): Rabbit IgG . Secondary Antibody (white blue line): Goat anti-rabbit IgG-FITC Dilution: 1μg /test. Protocol The cells were fixed with 80% methanol (5 min at -20℃) and then permeabilized with 0.1% PBS-Tween for 20 min at room temperature. Cells stained with Primary Antibody for 30 min at room temperature. The cells were then incubated in 1 X PBS/2%BSA/10% goat serum to block non-specific protein-protein interactions followed by the antibody for 15 min at room temperature. The secondary antibody used for 40 min at room temperature. Acquisition of 20,000 events was performed.
版权所有 2004-2026 www.bioss.com.cn 北京博奥森生物技术有限公司
通过国际质量管理体系ISO 9001:2015 GB/T 19001-2016    证书编号: 00124Q34771R2M/1100
通过国际医疗器械-质量管理体系ISO 13485:2016 GB/T 42061-2022     证书编号: CQC24QY20047R0M/1100
京ICP备05066980号-1         京公网安备110107000727号