扫码关注公众号           扫码咨询技术支持           扫码咨询技术服务
  
客服热线:400-901-9800  客服QQ:4009019800  技术答疑  技术支持  质量反馈  人才招聘  关于我们  联系我们
产品中心-北京博奥森生物技术有限公司
首页 > 产品中心 > 一抗 > 产品信息
Neuronal thread protein AD7c-NTP Rabbit pAb (bs-0046R)  
订购热线:400-901-9800
订购邮箱:sales@bioss.com.cn
订购QQ:  400-901-9800
技术支持:techsupport@bioss.com.cn
50ul/1180.00元
100ul/1980.00元
200ul/2800.00元
大包装/询价

产品编号 bs-0046R
英文名称 Neuronal thread protein AD7c-NTP Rabbit pAb
中文名称 神经丝蛋白抗体
别    名 neuronal thread protein AD7c-NTP; AD7c-NTP.; AD7C-NTP;  
Specific References  (1)     |     bs-0046R has been referenced in 1 publications.
[IF=5.11] He,et al.Disposable Morpho menelaus Based Flexible Microfluidic and Electronic Sensor for the Diagnosis of Neurodegenerative Disease.(2018) Advanced Healthcare Materials. 7:.  microfluidic chip ;  Human.  
研究领域 神经生物学  信号转导  细胞凋亡  
抗体来源 Rabbit
克隆类型 Polyclonal
克 隆 号
交叉反应 Human,Mouse,Rat
产品应用 WB=1:500-2000,IHC-P=1:100-500,IHC-F=1:100-500,IF=1:100-500,Flow-Cyt=1ug/Test
not yet tested in other applications.
optimal dilutions/concentrations should be determined by the end user.
理论分子量 41 kDa
细胞定位 分泌型蛋白 
性    状 Liquid
浓    度 1mg/ml
免 疫 原 KLH conjugated synthetic peptide derived from human Neuronal thread protein AD7c-NTP: 301-375/375 
亚    型 IgG
纯化方法 affinity purified by Protein A
缓 冲 液 0.01M TBS (pH7.4) with 1% BSA, 0.02% Proclin300 and 50% Glycerol.
保存条件 Shipped at 4℃. Store at -20℃ for one year. Avoid repeated freeze/thaw cycles.
注意事项 This product as supplied is intended for research use only, not for use in human, therapeutic or diagnostic applications.
PubMed PubMed
产品介绍 This gene is unusual in that its coding sequence is derived almost entirely from a cluster of different Alu repeat sequences. However, the mRNA and the encoded protein have been shown to be expressed in neurons, and overexpressed in brains with Alzheimer's disease. In vitro studies also demonstrated that abnormal expression of this gene promoted neuritic sprouting and cell death, associated with dementia in Alzheimer's disease.

Gene ID:
AD7c

Database links:

GenBank: AAC08737



AD7C-NTP是存在于神经元中的一种41Kda的蛋白质,在AD患者脑内选择性升高,和其病理过程相关,AD7C-NTP基因也只在神经元表达,AD患者脑脊液中AD7C-NTP表达升高, AD7C-NTP作为AD早期诊断和确诊的生物化学标志正引起越来越多的关注.
产品图片
Sample: Brain (Mouse) Lysate at 40 ug Primary: Anti- AD7c-NTP(bs-0046R) at 1/300 dilution Secondary: HRP conjugated Goat-Anti-rabbit IgG (bs-0295G-HRP) at 1/5000 dilution Predicted band size: 41 kD Observed band size: 41 kD
Sample: Lane 1: Mouse Cerebrum tissue lysates Lane 2: Rat Cerebellum tissue lysates Primary: Anti-Neuronal thread protein AD7c-NTP (bs-0046R) at 1/1000 dilution Secondary: IRDye800CW Goat Anti-Rabbit IgG at 1/20000 dilution Predicted band size: 41 kDa Observed band size: 43 kDa
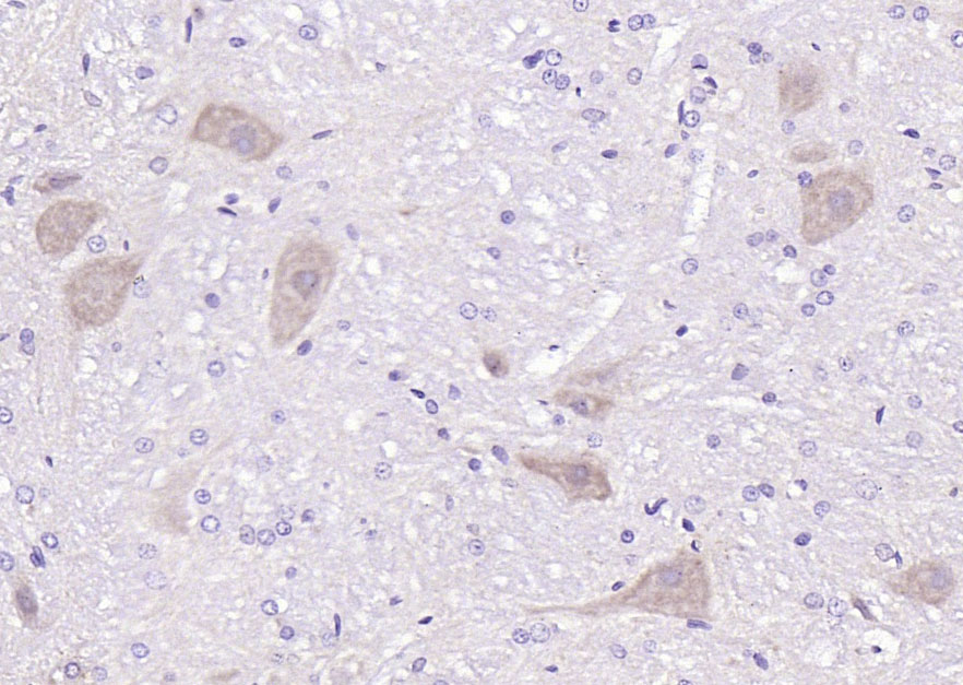
Paraformaldehyde-fixed, paraffin embedded (rat cerebellum); Antigen retrieval by boiling in sodium citrate buffer (pH6.0) for 15min; Block endogenous peroxidase by 3% hydrogen peroxide for 20 minutes; Blocking buffer (normal goat serum) at 37°C for 30min; Antibody incubation with (Neuronal thread protein AD7c-NTP) Polyclonal Antibody, Unconjugated (bs-0046R) at 1:200 overnight at 4°C, followed by operating according to SP Kit(Rabbit) (sp-0023) instructionsand DAB staining.
Tissue/cell: human brain tissue; 4% Paraformaldehyde-fixed and paraffin-embedded; Antigen retrieval: citrate buffer ( 0.01M, pH 6.0 ), Boiling bathing for 15min; Block endogenous peroxidase by 3% Hydrogen peroxide for 30min; Blocking buffer (normal goat serum,C-0005) at 37℃ for 20 min; Incubation: Anti-AD7c-NTP Polyclonal Antibody, Unconjugated(bs-0046R) 1:200, overnight at 4°C, followed by conjugation to the secondary antibody(SP-0023) and DAB(C-0010) staining
Tissue/cell: Mouse brain tissue; 4% Paraformaldehyde-fixed and paraffin-embedded; Antigen retrieval: citrate buffer ( 0.01M, pH 6.0 ), Boiling bathing for 15min; Block endogenous peroxidase by 3% Hydrogen peroxide for 30min; Blocking buffer (normal goat serum,C-0005) at 37℃ for 20 min; Incubation: Anti-AD7c-NTP Polyclonal Antibody, Unconjugated(bs-0046R) 1:200, overnight at 4°C, followed by conjugation to the secondary antibody(SP-0023) and DAB(C-0010) staining
Blank control: SHSY5Y. Primary Antibody (green line): Rabbit Anti-Neuronal thread protein AD7c-NTP antibody (bs-0046R) Dilution: 1ug/Test; Secondary Antibody : Goat anti-rabbit IgG-FITC Dilution: 0.5ug/Test. Protocol The cells were fixed with 4% PFA (10min at room temperature)and then permeabilized with 90% ice-cold methanol for 20 min at -20℃.The cells were then incubated in 5%BSA to block non-specific protein-protein interactions for 30 min at room temperature .Cells stained with Primary Antibody for 30 min at room temperature. The secondary antibody used for 40 min at room temperature. Acquisition of 20,000 events was performed.
版权所有 2004-2026 www.bioss.com.cn 北京博奥森生物技术有限公司
通过国际质量管理体系ISO 9001:2015 GB/T 19001-2016    证书编号: 00124Q34771R2M/1100
通过国际医疗器械-质量管理体系ISO 13485:2016 GB/T 42061-2022     证书编号: CQC24QY20047R0M/1100
京ICP备05066980号-1         京公网安备110107000727号