扫码关注公众号           扫码咨询技术支持           扫码咨询技术服务
  
客服热线:400-901-9800  客服QQ:4009019800  技术答疑  技术支持  质量反馈  人才招聘  关于我们  联系我们
产品中心-北京博奥森生物技术有限公司
首页 > 产品中心 > 一抗 > 产品信息
PD-L1 Rabbit pAb (bs-1103R)  
订购热线:400-901-9800
订购邮箱:sales@bioss.com.cn
订购QQ:  400-901-9800
技术支持:techsupport@bioss.com.cn
50ul/1180.00元
100ul/1980.00元
200ul/2800.00元
大包装/询价

产品编号 bs-1103R
英文名称 PD-L1 Rabbit pAb
中文名称 程序性死亡配体1(CD274)抗体
别    名 ADMIO5; B7-H; B7H1; PD-L1; PDCD1L1; PDCD1LG1; PDL1; hPD-L1; A530045L16Rik; RGD1566211; PD1L1_HUMAN; CD274; PDCD1 ligand 1; Programmed death ligand 1; B7 homolog 1 (B7-H1); PD1L1_MOUSE;   
Specific References  (6)     |     bs-1103R has been referenced in 6 publications.
[IF=9.918] Jie Hao. et al. Multifunctional miR181a nanoparticles promote highly efficient radiotherapy for rectal cancer. MATER TODAY ADV. 2022 Dec;16:100317  IHC ;  Mouse.  
[IF=6.968] Nie, Ding. et al. The intestinal flora of patients with GHPA affects the growth and the expression of PD-L1 of tumor. 2021 Oct 13  IHC ;  Mouse.  
[IF=6.4] Bowei Chen. et al. iRGD Tumor-Penetrating Peptide-Modified Nano-Delivery System Based on a Marine Sulfated Polysaccharide for Enhanced Anti-Tumor Efficiency Against Breast Cancer. Int J Nanomed. 2022 Feb;17:617-633  IHC,WB ;  Mouse.  
[IF=5.714] Wenyue Zhao. et al. EphA10 drives tumor progression and immune evasion by regulating the MAPK/ERK cascade in lung adenocarcinoma. INT IMMUNOPHARMACOL. 2022 Sep;110:109031  WB, IHC ;  Human.  
[IF=3.926] Xin YAN. et al. PD-1/PD-L1 inhibition promotes hepatic regeneration in small-for-size liver following extended hepatectomy. CYTOKINE. 2022 Nov;159:156017  IHC, IF, WB ;  Rat.  
[IF=3.223] Shifa Zhang. et al. Impact of the combination of sintilimab and chemotherapy on the tumor and paratumor PD-L1, IDO, TIM-3, FOXP3+ and CD8 expressions in patients with advanced esophageal squamous cell carcinoma. THORAC CANCER. 2022 Oct;:  IHC ;  Human.  
研究领域 肿瘤  细胞生物  信号转导  细胞凋亡  
抗体来源 Rabbit
克隆类型 Polyclonal
克 隆 号
交叉反应 Human,Mouse,Rat (predicted: Pig,Sheep,Cow,Horse)
产品应用 WB=1:500-2000
not yet tested in other applications.
optimal dilutions/concentrations should be determined by the end user.
理论分子量 32 kDa
检测分子量 53
细胞定位 细胞膜 
性    状 Liquid
浓    度 1mg/ml
免 疫 原 KLH conjugated synthetic peptide derived from mouse B7-H1: 201-290/290 
亚    型 IgG
纯化方法 affinity purified by Protein A
缓 冲 液 0.01M TBS (pH7.4) with 1% BSA, 0.02% Proclin300 and 50% Glycerol.
保存条件 Shipped at 4℃. Store at -20℃ for one year. Avoid repeated freeze/thaw cycles.
注意事项 This product as supplied is intended for research use only, not for use in human, therapeutic or diagnostic applications.
PubMed PubMed
产品介绍 This gene encodes an immune inhibitory receptor ligand that is expressed by hematopoietic and non-hematopoietic cells, such as T cells and B cells and various types of tumor cells. The encoded protein is a type I transmembrane protein that has immunoglobulin V-like and C-like domains. Interaction of this ligand with its receptor inhibits T-cell activation and cytokine production. During infection or inflammation of normal tissue, this interaction is important for preventing autoimmunity by maintaining homeostasis of the immune response. In tumor microenvironments, this interaction provides an immune escape for tumor cells through cytotoxic T-cell inactivation. Expression of this gene in tumor cells is considered to be prognostic in many types of human malignancies, including colon cancer and renal cell carcinoma. Alternative splicing results in multiple transcript variants. [provided by RefSeq, Sep 2015]

Function:
Involved in the costimulatory signal, essential for T-cell proliferation and production of IL10 and IFNG, in an IL2-dependent and a PDCD1-independent manner. Interaction with PDCD1 inhibits T-cell proliferation and cytokine production.

Subunit:
Interacts with PDCD1.

Subcellular Location:
Isoform 1: Cell membrane; Single-pass type I membrane protein. Isoform 2: Endomembrane system; Single-pass type I membrane protein.

Tissue Specificity:
Highly expressed in the heart, skeletal muscle, placenta and lung. Weakly expressed in the thymus, spleen, kidney and liver. Expressed on activated T- and B-cells, dendritic cells, keratinocytes and monocytes.

Similarity:
Belongs to the immunoglobulin superfamily. BTN/MOG family.
Contains 1 Ig-like C2-type (immunoglobulin-like) domain.
Contains 1 Ig-like V-type (immunoglobulin-like) domain.

SWISS:
Q9EP73

Gene ID:
60533

Database links:

Entrez Gene: 29126 Human

Entrez Gene: 60533 Mouse

Entrez Gene: 499342 Rat

Omim: 605402 Human

SwissProt: Q9NZQ7 Human

SwissProt: Q9EP73 Mouse

Unigene: 521989 Human

Unigene: 245363 Mouse

Unigene: 228198 Rat



程序性死亡配体1(B7-H1)可以促进上皮细胞的恶性转化,保护表皮细胞免于失巢凋亡,在肿瘤的发生,进展和转归中发挥重要作用.
目前对CD274信号通路的进一步的研究必将为自身免疫性疾病、病毒感染性疾病和器官移植后排斥反应中T细胞介导的免疫应答调控提供了新的途径.B7-H1在癌症、类风湿、HIV感染等疾病中发现B7-H1有负调节作用。对B7-H1路径进行调控有助于自身免疫病及恶性肿瘤的治疗。
产品图片
Sample: Spleen (Mouse) Lysate at 40 ug Primary: Anti- CD274 (bs-1103R) at 1/300 dilution Secondary: IRDye800CW Goat Anti-Rabbit IgG at 1/10000 dilution Predicted band size: 32 kD Observed band size: 48 kD
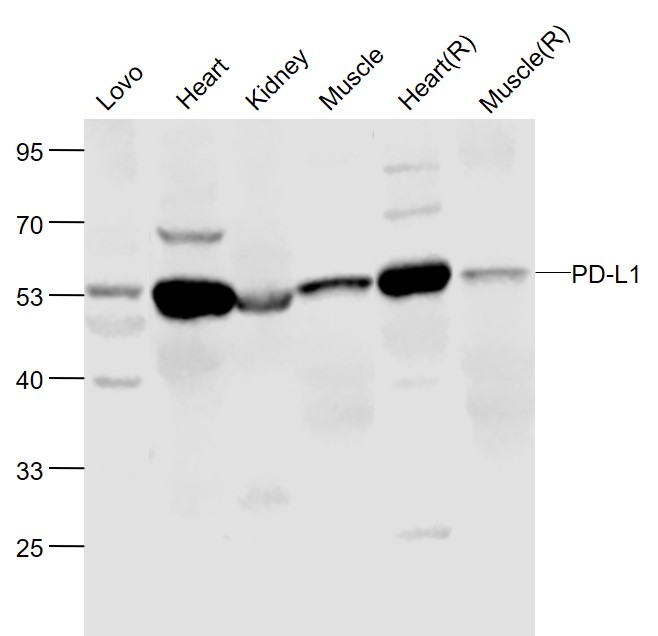
Sample: Lovo(Human) Cell Lysate at 30 ug Heart(Mouse) Lysate at 40 ug Kidney(Mouse) Lysate at 40 ug Muscle(Mouse) Lysate at 40 ug Heart(Rat) Lysate at 40 ug Muscle(Rat) Lysate at 40 ug Primary: Anti-PD-L1 (bs-1103R) at 1/500 dilution Secondary: IRDye800CW Goat Anti-Rabbit IgG at 1/20000 dilution Predicted band size: 50 kD Observed band size: 53 kD
Sample: Lane 1: Recombinant mouse PD-L1 protein, C-His (HEK293)(bs-43633P) Primary: Anti-PD-L1 (bs-1103R) at 1/1000 dilution Secondary: IRDye800CW Goat Anti-Rabbit IgG at 1/20000 dilution Predicted band size: 32 kDa Observed band size: 45 kDa
版权所有 2004-2026 www.bioss.com.cn 北京博奥森生物技术有限公司
通过国际质量管理体系ISO 9001:2015 GB/T 19001-2016    证书编号: 00124Q34771R2M/1100
通过国际医疗器械-质量管理体系ISO 13485:2016 GB/T 42061-2022     证书编号: CQC24QY20047R0M/1100
京ICP备05066980号-1         京公网安备110107000727号