扫码关注公众号           扫码咨询技术支持           扫码咨询技术服务
  
客服热线:400-901-9800  客服QQ:4009019800  技术答疑  技术支持  质量反馈  关于我们  联系我们
产品中心-北京博奥森生物技术有限公司
首页 > 产品中心 > 一抗 > 产品信息
CAMK2A + CAMK2B + CAMK2D Rabbit pAb (bs-0541R)  
订购热线:400-901-9800
订购邮箱:sales@bioss.com.cn
订购QQ:  400-901-9800
技术支持:techsupport@bioss.com.cn
50ul/1180.00元
100ul/1980.00元
200ul/2800.00元
大包装/询价

产品编号 bs-0541R
英文名称 CAMK2A + CAMK2B + CAMK2D Rabbit pAb
中文名称 钙/钙调素依赖蛋白激酶2b/2γ抗体
别    名 CaMK2 beta+gamma+delta; CaMK2 beta; CaMK2 gamma; CaMK2 delta; CAMK2G; Calcium/calmodulin dependent protein kinase(CaM kinase) II beta; Calcium/calmodulin dependent protein kinase II beta; Calcium/calmodulin dependent protein kinase IIB; Calcium/calmodulin dependent protein kinase type II beta chain; CAM 2; CaM kinase II beta chain; CaM kinase II beta subunit; CAM2; CAMK 2; CAMK 2B; CaMK II beta subunit; CaMK II subunit beta; CAMK2; CaMK2 beta; CAMK2B; CAMKB; CaMKII beta subunit; CaMKIIB; MGC29528; Proline rich calmodulin dependent protein kinase; CaM kinase II; Calcium/calmodulin-dependent protein; CaM kinase II gamma subunit; CaM-kinase II gamma chain; CaM kinase II delta subunit; CaM-kinase II delta chain; CAM2; CAMK; CAMK-II; CAMK2D; CAMK2G; CAMK2N2; CAMKD; CAMKG; KCC2B; kinase CaMK2-beta.  
Specific References  (2)     |     bs-0541R has been referenced in 2 publications.
[IF=3.457] Li W et al. Upregulation of MMP-9 and CaMKII prompts cardiac electrophysiological changes that predispose denervated transplanted hearts to arrhythmogenesis after prolonged cold ischemic storage. Biomed Pharmacother. 2019 Feb 20;112:108641.  WB ;  Rat.  
[IF=2.088] Wen Jiang. et al. Hirsutine ameliorates myocardial ischemia-reperfusion injury through improving mitochondrial function via CaMKII pathway. CLIN EXP HYPERTENS. 2023;45(1):Article: 2192444  WB ;  Rat.  
研究领域 肿瘤  神经生物学  信号转导  细胞周期蛋白  激酶和磷酸酶  表观遗传学  
抗体来源 Rabbit
克隆类型 Polyclonal
克 隆 号
交叉反应 Human,Mouse,Rat
产品应用 IHC-P=1:100-500,IHC-F=1:100-500,IF=1:100-500,ICC/IF=1:100-500
not yet tested in other applications.
optimal dilutions/concentrations should be determined by the end user.
理论分子量 53-73 kDa
检测分子量
细胞定位 细胞浆 细胞膜 
性    状 Liquid
浓    度 1mg/ml
免 疫 原 KLH conjugated synthetic peptide derived from human CaMK2 beta/ gamma/ delta: 1-100/479 
亚    型 IgG
纯化方法 affinity purified by Protein A
缓 冲 液 0.01M TBS (pH7.4) with 1% BSA, 0.02% Proclin300 and 50% Glycerol.
保存条件 Shipped at 4℃. Store at -20℃ for one year. Avoid repeated freeze/thaw cycles.
注意事项 This product as supplied is intended for research use only, not for use in human, therapeutic or diagnostic applications.
PubMed PubMed
产品介绍 The product of this gene belongs to the serine/threonine protein kinase family and to the Ca(2+)/calmodulin-dependent protein kinase subfamily. Calcium signaling is crucial for several aspects of plasticity at glutamatergic synapses. In mammalian cells, the enzyme is composed of four different chains: alpha, beta, gamma, and delta. The product of this gene is a beta chain. It is possible that distinct isoforms of this chain have different cellular localizations and interact differently with calmodulin. Eight transcript variants encoding eight distinct isoforms have been identified for this gene. [provided by RefSeq, Jul 2008].

Function:
Calcium/calmodulin-dependent protein kinase that functions autonomously after Ca(2+)/calmodulin-binding and autophosphorylation, and is involved in dendritic spine and synapse formation, neuronal plasticity and regulation of sarcoplamic reticulum Ca(2+) transport in skeletal muscle. In neurons, plays an essential structural role in the reorganization of the actin cytoskeleton during plasticity by binding and bundling actin filaments in a kinase-independent manner. This structural function is required for correct targeting of CaMK2A, which acts downstream of NMDAR to promote dendritic spine and synapse formation and maintain synaptic plasticity which enables long-term potentiation (LTP) and hippocampus-dependent learning. In developing hippocampal neurons, promotes arborization of the dendritic tree and in mature neurons, promotes dendritic remodeling. Participates in the modulation of skeletal muscle function in response to exercise. In slow-twitch muscles, is involved in regulation of sarcoplamic reticulum (SR) Ca(2+) transport and in fast-twitch muscle participates in the control of Ca(2+) release from the SR through phosphorylation of triadin, a ryanodine receptor-coupling factor, and phospholamban (PLN/PLB), an endogenous inhibitor of SERCA2A/ATP2A2.

Subunit:
CAMK2 is composed of 4 different chains: alpha (CAMK2A), beta (CAMK2B), gamma (CAMK2G), and delta (CAMK2D). The different isoforms assemble into homo- or heteromultimeric holoenzymes composed of 12 subunits with two hexameric rings stacked one on top of the other. Interacts with SYNGAP1 and CAMK2N2 (By similarity). Interacts with MPDZ.

Subcellular Location:
Cytoplasm, cytoskeleton. Cytoplasm, cytoskeleton, centrosome. Sarcoplasmic reticulum membrane; Peripheral membrane protein; Cytoplasmic side. Note=In slow-twitch muscle, evenly distributed between longitudinal SR and junctional SR.

Tissue Specificity:
Widely expressed. Expressed in adult and fetal brain. Expression is slightly lower in fetal brain. Expressed in skeletal muscle.

Post-translational modifications:
Autophosphorylation of Thr-287 following activation by Ca(2+)/calmodulin. Phosphorylation of Thr-287 locks the kinase into an activated state.

Similarity:
Belongs to the protein kinase superfamily. CAMK Ser/Thr protein kinase family. CaMK subfamily.
Contains 1 protein kinase domain.

SWISS:
Q9UQM7

Gene ID:
818

Database links:

Entrez Gene: 815 Human

Entrez Gene: 816 Human

Entrez Gene: 817 Human

Entrez Gene: 108058 Mouse

Entrez Gene: 12322 Mouse

Entrez Gene: 12323 Mouse

Entrez Gene: 24245 Rat

Entrez Gene: 24246 Rat

Entrez Gene: 25400 Rat

Omim: 114078 Human

Omim: 607707 Human

Omim: 607708 Human

SwissProt: Q13554 Human

SwissProt: Q13557 Human

SwissProt: Q9UQM7 Human

SwissProt: P11798 Mouse

SwissProt: P28652 Mouse

SwissProt: Q6PHZ2 Mouse

SwissProt: P08413 Rat

SwissProt: P11275 Rat

SwissProt: P15791 Rat



CaMK2b也是丝/苏氨基酸激酶的一种,同属于Ca++/钙调素依赖性蛋白质激酶家族成员。钙/钙调素依赖性蛋白激酶Ⅱb(CaMKⅡb)广泛分布于中枢神经系统内,参与调节神经递质的合成释放、信号转导和突触可塑性的形成以及磷酸化蛋白
产品图片
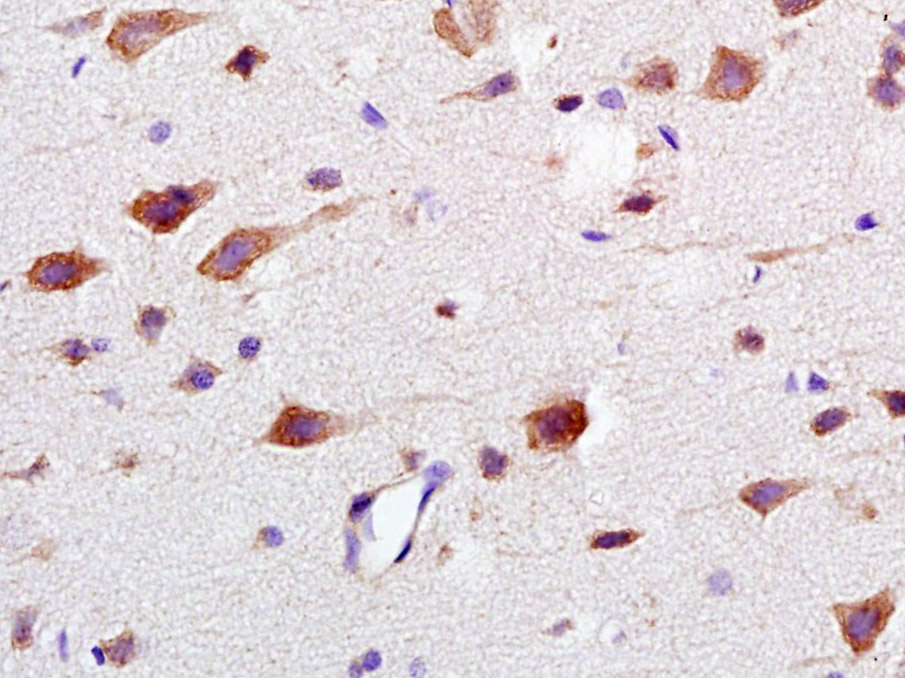
Paraformaldehyde-fixed, paraffin embedded (Rat brain); Antigen retrieval by boiling in sodium citrate buffer (pH6.0) for 15min; Block endogenous peroxidase by 3% hydrogen peroxide for 20 minutes; Blocking buffer (normal goat serum) at 37°C for 30min; Antibody incubation with (CaMK2b) Polyclonal Antibody, Unconjugated (bs-0541R) at 1:400 overnight at 4°C, followed by operating according to SP Kit(Rabbit) (sp-0023) instructionsand DAB staining.
Paraformaldehyde-fixed, paraffin embedded (human brain glioma); Antigen retrieval by boiling in sodium citrate buffer (pH6.0) for 15min; Block endogenous peroxidase by 3% hydrogen peroxide for 20 minutes; Blocking buffer (normal goat serum) at 37°C for 30min; Antibody incubation with (CAMK2A + CAMK2B + CAMK2D) Polyclonal Antibody, Unconjugated (bs-0541R) at 1:400 overnight at 4°C, followed by operating according to SP Kit(Rabbit) (sp-0023) instructionsand DAB staining.
Paraformaldehyde-fixed, paraffin embedded (mouse brain tissue); Antigen retrieval by boiling in sodium citrate buffer (pH6.0) for 15min; Block endogenous peroxidase by 3% hydrogen peroxide for 20 minutes; Blocking buffer (normal goat serum) at 37°C for 30min; Antibody incubation with (CAMK2A + CAMK2B + CAMK2D) Polyclonal Antibody, Unconjugated (bs-0541R) at 1:400 overnight at 4°C, followed by operating according to SP Kit(Rabbit) (sp-0023) instructionsand DAB staining.
Paraformaldehyde-fixed, paraffin embedded (Rat cerebellum); Antigen retrieval by boiling in sodium citrate buffer (pH6.0) for 15min; Block endogenous peroxidase by 3% hydrogen peroxide for 20 minutes; Blocking buffer (normal goat serum) at 37°C for 30min; Antibody incubation with (CaMK2b) Polyclonal Antibody, Unconjugated (bs-0541R) at 1:200 overnight at 4°C, followed by operating according to SP Kit(Rabbit) (sp-0023) instructionsand DAB staining.
4% Paraformaldehyde-fixed SH-SY5Y(H) cell; Triton X-100 at r.t. for 20 min; Antibody incubation with (CAMK2A + CAMK2B + CAMK2D) polyclonal Antibody, unconjugated (bs-0541R) 1:50, 90 min at 37°C; followed by conjugated Goat Anti-Rabbit IgG antibody (green, bs-60295G-FITC) at 37°C for 90 min, DAPI (blue, C02-04002) was used to stain the cell nuclei. PBS instead of the primary antibody was used as the blank control.
版权所有 2004-2026 www.bioss.com.cn 北京博奥森生物技术有限公司
通过国际质量管理体系ISO 9001:2015 GB/T 19001-2016    证书编号: 00124Q34771R2M/1100
通过国际医疗器械-质量管理体系ISO 13485:2016 GB/T 42061-2022     证书编号: CQC24QY20047R0M/1100
京ICP备05066980号-1         京公网安备110107000727号