扫码关注公众号           扫码咨询技术支持           扫码咨询技术服务
  
客服热线:400-901-9800  客服QQ:4009019800  技术答疑  技术支持  质量反馈  关于我们  联系我们
产品中心-北京博奥森生物技术有限公司
首页 > 产品中心 > 一抗 > 产品信息
CCK8 Rabbit pAb (bs-0764R)  
订购热线:400-901-9800
订购邮箱:sales@bioss.com.cn
订购QQ:  400-901-9800
技术支持:techsupport@bioss.com.cn
50ul/1180.00元
100ul/1980.00元
200ul/2800.00元
大包装/询价

产品编号 bs-0764R
英文名称 CCK8 Rabbit pAb
中文名称 胆囊收缩素8抗体
别    名 CCK 8; CCK; CCK8; CCK-8; Cholecystokinin 8; Cholecystokinin; Cholecystokinin preproprotein; Cholecystokinin8; Cholecystokinins precursor; MGC117187; Procholecystokinin precursor; CCKN_HUMAN.  
Specific References  (2)     |     bs-0764R has been referenced in 2 publications.
[IF=11.685] Kristine Elisabeth Eberhard. et al. Neurotransmitter and Neurotransmitter Receptor Expression in the Saccule of the Human Vestibular System. Prog Neurobiol. 2022 Jan;:102238  IHC ;  Human.  
[IF=1.52] Liang Q et al. Evaluation of a modified rat model for functional dyspepsia.Saudi J Gastroenterol. 2018 Jul-Aug;24(4):228-235.  IHC-P ;  Rat.  
研究领域 生长因子和激素  
抗体来源 Rabbit
克隆类型 Polyclonal
克 隆 号
交叉反应 Mouse,Rat (predicted: Human,Pig,Cow,Chicken)
产品应用 IHC-P=1:100-500,IHC-F=1:100-500,IF=1:100-500
not yet tested in other applications.
optimal dilutions/concentrations should be determined by the end user.
理论分子量 12.6 kDa
检测分子量
细胞定位 分泌型蛋白 
性    状 Liquid
浓    度 1mg/ml
免 疫 原 KLH conjugated synthetic peptide derived from human CCK8: 96-103/115 
亚    型 IgG
纯化方法 affinity purified by Protein A
缓 冲 液 0.01M TBS (pH7.4) with 1% BSA, 0.02% Proclin300 and 50% Glycerol.
保存条件 Shipped at 4℃. Store at -20℃ for one year. Avoid repeated freeze/thaw cycles.
注意事项 This product as supplied is intended for research use only, not for use in human, therapeutic or diagnostic applications.
PubMed PubMed
产品介绍 Cholecystokinin is a brain/gut peptide. In the gut, it induces the release of pancreatic enzymes and the contraction of the gallbladder. In the brain, its physiologic role is unclear. The cholecystokinin pro-hormone is processed by endo- and exo-proteolytic cleavages. Two transcript variants encoding the same protein have been found for this gene. [provided by RefSeq, Mar 2010].

Function:
Cholecystokinin (CCK) is one of the most important hormone regulators of the digestive process. The peptide is concentrated in the proximal small intestine (CCK cells) and is secreted into the blood in response to the ingestion of proteins and fats, where its actions include the stimulation of pancreatic secretion, the modulation of insulin output, the regulation of gastric emptying, and gallbladder contraction. In the central nervous system CCKergic fibres are widespread, being particularly abundant in the cerebral cortex. In some mesolimbic neurons projecting to the nucleus accumbens, CCK is colocalised with dopamine and it has been suggested that CCK might facilitate the function of dopamine in events such as stimulusreward associative behaviour. Secretion of CCK from the murine tumour cell line STC1 has been shown to be stimulated by pituitary adenylate cyclase activating protein (PACAP) and has raised the possibility that PACAP may function as a neuromodulator of CCK release from gut endocrine cells in vivo.

Subunit:
Binds to CCK-A receptors in the pancreas and CCK-B receptors in the brain.

Subcellular Location:
Secreted.

Tissue Specificity:
The shortest form (CCK8) is predominantly found in the brain, whereas the larger ones are found in the intestine.

Similarity:
Belongs to the gastrin/cholecystokinin family.

SWISS:
P06307

Gene ID:
885

Database links:

Entrez Gene: 885 Human

Entrez Gene: 12424 Mouse

Entrez Gene: 25298 Rat

Omim: 118440 Human

SwissProt: P06307 Human

SwissProt: P09240 Mouse

SwissProt: P01355 Rat



八肽胆囊收缩肽抗体CCK8在近期的研究中受到很大关注,学者认为:CCK8是一种神经内分泌肽,也是一种激素,主要是参与神经元的信号转导,尤其在中枢神经系统中的信号传递机制中起到很重要的作用。
胆囊收缩素八肽是国际上公认的有生物活性的多肽片断。
胆囊收缩素:为多种分子形式的多肽,人工合成的八肽胆囊收缩素(CCK8)具有全部天然活性:
1.在胃肠道和大脑广泛存在。对消化系统的作用包括收缩胆囊、促进胰酶和碳酸氢盐的分泌。抑制食管下括约肌、oddi氏括约肌收缩及近端十二指肠蠕动,增强远端十二指肠和空肠的蠕动。
2.在中枢神经系统可发挥神经递质作用,对大脑一些细胞产生兴奋影响。作用于下丘脑饮食中枢导致厌食,通过刺激脑内啡肽的释放产生镇痛作用。 3.CCK8 同源性较高,如:CCK12、CCK58、CCK39、CCK33等
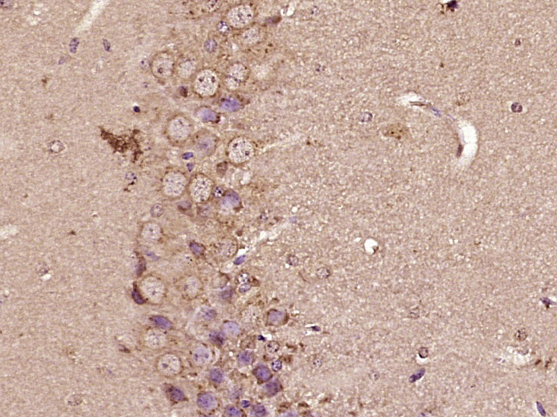
产品图片
Paraformaldehyde-fixed, paraffin embedded (Mouse brain); Antigen retrieval by boiling in sodium citrate buffer (pH6.0) for 15min; Block endogenous peroxidase by 3% hydrogen peroxide for 20 minutes; Blocking buffer (normal goat serum) at 37°C for 30min; Antibody incubation with (CCK8) Polyclonal Antibody, Unconjugated (bs-0764R) at 1:400 overnight at 4°C, followed by operating according to SP Kit(Rabbit) (sp-0023) instructionsand DAB staining.
Paraformaldehyde-fixed, paraffin embedded (mouse brain tissue); Antigen retrieval by boiling in sodium citrate buffer (pH6.0) for 15min; Block endogenous peroxidase by 3% hydrogen peroxide for 20 minutes; Blocking buffer (normal goat serum) at 37°C for 30min; Antibody incubation with (CCK8) Polyclonal Antibody, Unconjugated (bs-0764R) at 1:400 overnight at 4°C, followed by operating according to SP Kit(Rabbit) (sp-0023) instructionsand DAB staining.
Paraformaldehyde-fixed, paraffin embedded (Rat brain); Antigen retrieval by boiling in sodium citrate buffer (pH6.0) for 15min; Block endogenous peroxidase by 3% hydrogen peroxide for 20 minutes; Blocking buffer (normal goat serum) at 37°C for 30min; Antibody incubation with (CCK8) Polyclonal Antibody, Unconjugated (bs-0764R) at 1:400 overnight at 4°C, followed by operating according to SP Kit(Rabbit) (sp-0023) instructionsand DAB staining.
版权所有 2004-2026 www.bioss.com.cn 北京博奥森生物技术有限公司
通过国际质量管理体系ISO 9001:2015 GB/T 19001-2016    证书编号: 00124Q34771R2M/1100
通过国际医疗器械-质量管理体系ISO 13485:2016 GB/T 42061-2022     证书编号: CQC24QY20047R0M/1100
京ICP备05066980号-1         京公网安备110107000727号