扫码关注公众号           扫码咨询技术支持           扫码咨询技术服务
  
客服热线:400-901-9800  客服QQ:4009019800  技术答疑  技术支持  质量反馈  关于我们  联系我们
产品中心-北京博奥森生物技术有限公司
首页 > 产品中心 > 一抗 > 产品信息
CDK6 Rabbit pAb (bs-0568R)  
订购热线:400-901-9800
订购邮箱:sales@bioss.com.cn
订购QQ:  400-901-9800
技术支持:techsupport@bioss.com.cn
50ul/1180.00元
100ul/1980.00元
200ul/2800.00元
大包装/询价

产品编号 bs-0568R
英文名称 CDK6 Rabbit pAb
中文名称 周期素依赖性激酶6抗体
别    名 CDK 6; CDK6; Cell division protein kinase 6; Crk 2; Crk2; Cyclin dependent kinase 6; Cyclin-dependent kinase 6; MGC59692; p40; PLSTIRE; Serine/threonine-protein kinase PLSTIRE; STQTL11; CDK6_HUMAN; PLSTIRE; Serine/threonine protein kinase PLSTIRE.  
Specific References  (9)     |     bs-0568R has been referenced in 9 publications.
[IF=10.75] Tian Xiangdong. et al. Autophagy Inhibition Contributes to Apoptosis of PLK4 Downregulation-induced Dormant Cells in Colorectal Cancer. INT J BIOL SCI. 2023 May;19(9):2817-2834  WB ;  Human.  
[IF=5.168] He, Xiaoqin, et al. "Long non-coding RNA AK058003, as a precursor of miR-15a, interacts with HuR to inhibit the expression of Υ-synuclein in hepatocellular carcinoma cells." Oncotarget 8.6 (2017): 9451.  WB ;  Human.  
[IF=3.9] Zhang, Haifeng, et al. "The ClC-3 chloride channel protein is a downstream target of cyclin D1 in nasopharyngeal carcinoma cells." The international journal of biochemistry & cell biology 45.3 (2013): 672-683.  
[IF=3.74] Hu, Zheng, et al. "5-Aminolevulinic acid-mediated sonodynamic therapy induces anti-tumor effects in malignant melanoma via p53-miR-34a-Sirt1 axis." Journal of dermatological science 79.2 (2015): 155-162.  WB ;  Mouse.  
[IF=3.337] Yunping Lu. et al. Peroxiredoxin1 Knockdown Inhibits Oral Carcinogenesis via Inducing Cell Senescence Dependent on Mitophagy. Oncotargets Ther. 2021; 14: 239–251  IHC ;  Mouse.  
[IF=3.263] Fei Min et al. Hepatoprotective effects of hydroxysafflor yellow A in D-galactose-treated aging mice. Eur J Pharmacol. 2020 Aug 15;881:173214.  WB/IHC ;  Mouse.  
[IF=2.84] Yang, Ning, et al. "SOX 1, contrary to SOX 2, suppresses proliferation, migration, and invasion in human laryngeal squamous cell carcinoma by inhibiting the Wnt/β-catenin pathway." Tumor Biology (2015): 1-11.  WB ;  Human.  
[IF=2.233] Zhe Wang. et al. Baicalin coadministration with lithium chloride enhanced neurogenesis via GSK3β pathway in corticosterone induced PC-12 cells. 2022 Mar 15  WB ;  Rat.  
[IF=1.28] Zhang et al. miR-145 downregulates the expression of cyclin-dependent kinase 6 in human cervical carcinoma cells. (2014) Exp.Ther.Me. 8:591-594  WB ;  Human.  
研究领域 肿瘤  细胞生物  染色质和核信号  信号转导  细胞周期蛋白  激酶和磷酸酶  
抗体来源 Rabbit
克隆类型 Polyclonal
克 隆 号
交叉反应 Human,Mouse,Rat (predicted: Cow,Dog,Horse)
产品应用 WB=1:500-2000,IHC-P=1:100-500,IHC-F=1:100-500,IF=1:100-500,Flow-Cyt=1ug/test
not yet tested in other applications.
optimal dilutions/concentrations should be determined by the end user.
理论分子量 37 kDa
检测分子量
细胞定位 细胞核 细胞浆 
性    状 Liquid
浓    度 1mg/ml
免 疫 原 KLH conjugated synthetic peptide derived from human CDK6: 21-110/326 
亚    型 IgG
纯化方法 affinity purified by Protein A
缓 冲 液 0.01M TBS (pH7.4) with 1% BSA, 0.02% Proclin300 and 50% Glycerol.
保存条件 Shipped at 4℃. Store at -20℃ for one year. Avoid repeated freeze/thaw cycles.
注意事项 This product as supplied is intended for research use only, not for use in human, therapeutic or diagnostic applications.
PubMed PubMed
产品介绍 The protein encoded by this gene is a member of the cyclin-dependent protein kinase (CDK) family. CDK family members are highly similar to the gene products of Saccharomyces cerevisiae cdc28, and Schizosaccharomyces pombe cdc2, and are known to be important regulators of cell cycle progression. This kinase is a catalytic subunit of the protein kinase complex that is important for cell cycle G1 phase progression and G1/S transition. The activity of this kinase first appears in mid-G1 phase, which is controlled by the regulatory subunits including D-type cyclins and members of INK4 family of CDK inhibitors. This kinase, as well as CDK4, has been shown to phosphorylate, and thus regulate the activity of, tumor suppressor protein Rb.

Function:
Serine/threonine-protein kinase involved in the control of the cell cycle and differentiation; promotes G1/S transition. Phosphorylates pRB/RB1 and NPM1. Interacts with D-type G1 cyclins during interphase at G1 to form a pRB/RB1 kinase and controls the entrance into the cell cycle. Involved in initiation and maintenance of cell cycle exit during cell differentiation; prevents cell proliferation and regulates negatively cell differentiation, but is required for the proliferation of specific cell types (e.g. erythroid and hematopoietic cells). Essential for cell proliferation within the dentate gyrus of the hippocampus and the subventricular zone of the lateral ventricles. Required during thymocyte development. Promotes the production of newborn neurons, probably by modulating G1 length. Promotes, at least in astrocytes, changes in patterns of gene expression, changes in the actin cytoskeleton including loss of stress fibers, and enhanced motility during cell differentiation. Prevents myeloid differentiation by interfering with RUNX1 and reducing its transcription transactivation activity, but promotes proliferation of normal myeloid progenitors. Delays senescence. Promotes the proliferation of beta-cells in pancreatic islets of Langerhans.

Subunit:
Interaction with D-type G1 cyclins. Cyclin binding promotes enzyme activation by phosphorylation at Thr-177. Binds to RUNX1, CDKN2D, FBXO7 and CDKN2C/p18-INK4c. Forms a cytoplasmic complex with Hsp90/HSP90AB1 and CDC37. FBXO7-binding promotes D-type cyclin binding. Interacts with Kaposi's sarcoma herpesvirus (KSHV) V-cyclin and herpesvirus saimiri (V-cyclin/ECLF2); the CDK6/V-cyclin complex phosphorylates NPM1 and thus lead to viral reactivation by reducing viral LANA levels.

Subcellular Location:
Cytoplasm. Nucleus. Cell projection, ruffle. Note=Localized to the ruffling edge of spreading fibroblasts. Kinase activity only in nucleus.

Tissue Specificity:
Expressed ubiquitously. Accumulates in squamous cell carcinomas, proliferating hematopoietic progenitor cells, beta-cells of pancreatic islets of Langerhans, and neuroblastomas. Reduced levels in differentiating cells.

Post-translational modifications:
Thr-177 phosphorylation and Tyr-24 dephosphorylation promotes kinase activity.

Similarity:
Belongs to the protein kinase superfamily. CMGC Ser/Thr protein kinase family. CDC2/CDKX subfamily.
Contains 1 protein kinase domain.

SWISS:
Q00534

Gene ID:
1021

Database links:

Entrez Gene: 1021 Human

Entrez Gene: 12571 Mouse

Entrez Gene: 114483 Rat

Omim: 603368 Human

SwissProt: Q00534 Human

SwissProt: Q64261 Mouse

Unigene: 119882 Human

Unigene: 31672 Mouse

Unigene: 389058 Mouse

Unigene: 399714 Mouse

Unigene: 162731 Rat



Cyclin Dependent Kinase 6(CDK6)—周期素依赖性激酶6,是细胞周期在G1期向S期进展的关键因素之一.
产品图片
Sample: A431(Human) Cell Lysate at 30 ug Primary: Anti-CDK6 (bs-0568R) at 1/500 dilution Secondary: IRDye800CW Goat Anti-Rabbit IgG at 1/20000 dilution Predicted band size: 37 kD Observed band size: 35 kD
Paraformaldehyde-fixed, paraffin embedded (human rectal carcinoma); Antigen retrieval by boiling in sodium citrate buffer (pH6.0) for 15min; Block endogenous peroxidase by 3% hydrogen peroxide for 20 minutes; Blocking buffer (normal goat serum) at 37°C for 30min; Antibody incubation with (CDK6) Polyclonal Antibody, Unconjugated (bs-0568R) at 1:200 overnight at 4°C, followed by operating according to SP Kit(Rabbit) (sp-0023) instructionsand DAB staining.
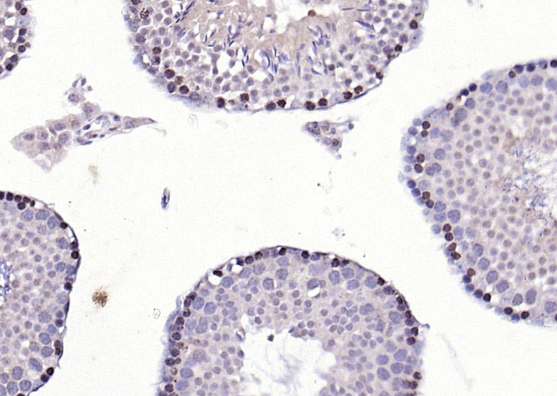
Paraformaldehyde-fixed, paraffin embedded (mouse testis); Antigen retrieval by boiling in sodium citrate buffer (pH6.0) for 15min; Block endogenous peroxidase by 3% hydrogen peroxide for 20 minutes; Blocking buffer (normal goat serum) at 37°C for 30min; Antibody incubation with (CDK6) Polyclonal Antibody, Unconjugated (bs-0568R) at 1:200 overnight at 4°C, followed by operating according to SP Kit(Rabbit) (sp-0023) instructionsand DAB staining.
Paraformaldehyde-fixed, paraffin embedded (human gastric carcinoma); Antigen retrieval by boiling in sodium citrate buffer (pH6.0) for 15min; Block endogenous peroxidase by 3% hydrogen peroxide for 20 minutes; Blocking buffer (normal goat serum) at 37°C for 30min; Antibody incubation with (CDK6) Polyclonal Antibody, Unconjugated (bs-0568R) at 1:200 overnight at 4°C, followed by operating according to SP Kit(Rabbit) (sp-0023) instructionsand DAB staining.
Paraformaldehyde-fixed, paraffin embedded (rat lung); Antigen retrieval by boiling in sodium citrate buffer (pH6.0) for 15min; Block endogenous peroxidase by 3% hydrogen peroxide for 20 minutes; Blocking buffer (normal goat serum) at 37°C for 30min; Antibody incubation with (CDK6) Polyclonal Antibody, Unconjugated (bs-0568R) at 1:200 overnight at 4°C, followed by operating according to SP Kit(Rabbit) (sp-0023) instructionsand DAB staining.
Paraformaldehyde-fixed, paraffin embedded (Human brain glioma); Antigen retrieval by boiling in sodium citrate buffer (pH6.0) for 15min; Block endogenous peroxidase by 3% hydrogen peroxide for 20 minutes; Blocking buffer (normal goat serum) at 37°C for 30min; Antibody incubation with (CDK6) Polyclonal Antibody, Unconjugated (bs-0568R) at 1:400 overnight at 4°C, followed by operating according to SP Kit(Rabbit) (sp-0023) instructionsand DAB staining.
Paraformaldehyde-fixed, paraffin embedded (rat testis); Antigen retrieval by boiling in sodium citrate buffer (pH6.0) for 15min; Block endogenous peroxidase by 3% hydrogen peroxide for 20 minutes; Blocking buffer (normal goat serum) at 37°C for 30min; Antibody incubation with (CDK6) Polyclonal Antibody, Unconjugated (bs-0568R) at 1:200 overnight at 4°C, followed by operating according to SP Kit(Rabbit) (sp-0023) instructionsand DAB staining.
Blank control:Molt-4. Primary Antibody (green line): Rabbit Anti-CDK6 antibody (bs-0568R) Dilution: 1μg /10^6 cells; Isotype Control Antibody (orange line): Rabbit IgG . Secondary Antibody : Goat anti-rabbit IgG-AF647 Dilution: 1μg /test. Protocol The cells were fixed with 4% PFA (10min at room temperature)and then permeabilized with 90% ice-cold methanol for 20 min at-20℃. The cells were then incubated in 5%BSA to block non-specific protein-protein interactions for 30 min at at room temperature .Cells stained with Primary Antibody for 30 min at room temperature. The secondary antibody used for 40 min at room temperature. Acquisition of 20,000 events was performed.
版权所有 2004-2026 www.bioss.com.cn 北京博奥森生物技术有限公司
通过国际质量管理体系ISO 9001:2015 GB/T 19001-2016    证书编号: 00124Q34771R2M/1100
通过国际医疗器械-质量管理体系ISO 13485:2016 GB/T 42061-2022     证书编号: CQC24QY20047R0M/1100
京ICP备05066980号-1         京公网安备110107000727号