扫码关注公众号           扫码咨询技术支持           扫码咨询技术服务
  
客服热线:400-901-9800  客服QQ:4009019800  技术答疑  技术支持  质量反馈  关于我们  联系我们
产品中心-北京博奥森生物技术有限公司
首页 > 产品中心 > 一抗 > 产品信息
Collagen II Rabbit pAb (bs-0709R)  
订购热线:400-901-9800
订购邮箱:sales@bioss.com.cn
订购QQ:  400-901-9800
技术支持:techsupport@bioss.com.cn
50ul/1180.00元
100ul/1980.00元
200ul/2800.00元
大包装/询价

产品编号 bs-0709R
英文名称 Collagen II Rabbit pAb
中文名称 Ⅱ型胶原α1蛋白/软骨钙素抗体
别    名 Collagen II alpha 1; COL2A1; COL2A1 protein; collagen, type II, alpha 1; collagen alpha-1(II); type II collagen; alpha-1 type II collagen; alpha1 type II collagen; Col2a1; AOM; Cartilage collagen; Chondrocalcin; COL11A3; Collagen alpha 1(II) chain precursor; Collagen II alpha 1 polypeptide; Collagen type II alpha 1(primary osteoarthritis spondyloepiphyseal dysplasia congenital); MGC131516; SEDC; Collagen alpha-1(II) chain; alpha-1 type II collagen; CO2A1_HUMAN.  
Specific References  (57)     |     bs-0709R has been referenced in 57 publications.
[IF=10.684] Chen Zhang. et al. The novel hyaluronic acid granular hydrogel attenuates osteoarthritis progression by inhibiting the TLR-2/NF-κB signaling pathway through suppressing cellular senescence. BIOENG TRANSL MED. 2022 Dec;:e10475  IHC ;  Mouse.  
[IF=10.652] Xiaoguang Zhang. et al. Implanted 3D gelatin microcryogel enables low-dose cell therapy for osteoarthritis by preserving the viability and function of umbilical cord MSCs. Chem Eng J. 2021 Jul;416:129140  IHC ;  Mouse.  
[IF=10.317] Maolin Zhang. et al. Recapitulation of cartilage/bone formation using iPSCs via biomimetic 3D rotary culture approach for developmental engineering. Biomaterials. 2020 Nov;260:120334  IHC ;  Rat.  
[IF=9.417] Kai Yan. et al. 3D-bioprinted silk fibroin-hydroxypropyl cellulose methacrylate porous scaffold with optimized performance for repairing articular cartilage defects. MATER DESIGN. 2023 Jan;225:111531  WB ;  Rabbit.  
[IF=9.078] Tzu-Hsiang Lin. et al. A bilineage thermosensitive hydrogel system for stimulation of mesenchymal stem cell differentiation and enhancement of osteochondral regeneration. Compos Part B-Eng. 2022 Jan;:109614  ICC ;  Rabbit.  
[IF=8.718] Yang, Jiashu. et al. m6A-mediated upregulation of AC008 promotes osteoarthritis progression through the miR-328-3p‒AQP1/ANKH axis. Exp Mol Med. 2021 Nov;:1-12  WB ;  Human.  
[IF=8.025] Kai-Chiang Yang. et al. Bioinspired collagen-gelatin-hyaluronic acid-chondroitin sulfate tetra-copolymer scaffold biomimicking native cartilage extracellular matrix facilitates chondrogenesis of human synovium-derived stem cells. INT J BIOL MACROMOL. 2023 Apr;:124400  IHC ;  Mouse.  
[IF=7.675] Lingjiao Zhu. et al. Hatched Eggshell Membrane Can Be a Novel Source of Antioxidant Hydrolysates to Protect against H2O2-Induced Oxidative Stress in Human Chondrocytes. ANTIOXIDANTS-BASEL. 2022 Dec;11(12):2428  WB ;  Human.  
[IF=7.6] Wang, Yang, et al. "Evaluation of three-dimensional scaffolds prepared from poly (3-hydroxybutyrate-< i> co-3-hydroxyhexanoate) for growth of allogeneic chondrocytes for cartilage repair in rabbits." Biomaterials 29.19 (2008): 2858-2868.  IHC-P ;  Rabbit.  
[IF=7.561] Alahdal M. et al. Indoleamine 2, 3 Dioxygenase 1 Impairs Chondrogenic Differentiation of Mesenchymal Stem Cells in the Joint of Osteoarthritis Mice Model.. Front Immunol. 2021 Dec;12:781185-781185  IF ;  Raat.  
[IF=6.518] Ke Ma. et al. Articular chondrocyte-derived extracellular vesicles promote cartilage differentiation of human umbilical cord mesenchymal stem cells by activation of autophagy. J Nanobiotechnol. 2020 Dec;18(1):1-18  IHC ;  Rabbit.  
[IF=6.289] Yang Zhou. et al. 3D bioprinting modified autologous matrix-induced chondrogenesis(AMIC) technique for repair of cartilage defects. Mater Design. 2021 Mar;:109621  IF ;  Rat.  
[IF=5.344] Ling-Kun Zhang. et al. Growth factors regional patterned and photoimmobilized scaffold applied to bone tissue regeneration. J Mater Chem B. 2020 Dec;8(48):10990-11000  IHC ;  Rat.  
[IF=5.26] Li, Guo, et al. "Poly (3-hydroxybutyrate-co-4-hydroxybutyrate) Based Electrospun 3D Scaffolds for Delivery of Autogeneic Chondrocytes and Adipose-Derived Stem Cells: Evaluation of Cartilage Defects in Rabbit." Journal of Biomedical Nanotechnology 11.1 (2015): 105-116.  other ;  Rabbit.  
[IF=5.246] Zhongrun Yuan. et al. Galactose Enhances Chondrogenic Differentiation of ATDC5 and Cartilage Matrix Formation by Chondrocytes. FRONT MOL BIOSCI. 2022; 9: 850778  IF ;  Rabbit.  
[IF=5.108] Augstein A et al. Sox9 is increased in arterial plaque and stenosis, associated with synthetic phenotype of vascular smooth muscle cells and causes alterations in extracellular matrix and calcification.Biochim Biophys Acta Mol Basis Dis. 2018 Aug;1864(8):2526-2537.  IHC-P ;  Mouse.  
[IF=5.076] Guo Zhu. et al. Exosomal MATN3 of Urine-Derived Stem Cells Ameliorates Intervertebral Disc Degeneration by Antisenescence Effects and Promotes NPC Proliferation and ECM Synthesis by Activating TGF-β. Oxid Med Cell Longev. 2021;2021:5542241  WB,IF ;  Rat.  
[IF=5.068] Chen XY et al. Pulsed Magnetic Field Stimuli Can Promote Chondrogenic Differentiation of Superparamagnetic Iron Oxide Nanoparticles-Labeled Mesenchymal Stem Cells in Rats.(2018) J Biomed Nanotechnol. 14(12):2135-2145.  WB ;  Rat.  
[IF=4.959] Yang KC et al. Effects of scaffold geometry on chondrogenic differentiation of adipose-derived stem cells. Materials Science and Engineering: C, 110733.  IHC-P ;  Rabbit.  
[IF=4.504] Jeong et al. Serial changes in the proliferation and differentiation of adipose-derived stem cells after ionizing radiation. (2016) Stem.Cell.Res.The. 7:117  ICC ;  Pig.  
[IF=4.45] Wang, Chen-Chie, et al. "Expandable Scaffold Improves Integration of Tissue Engineered Cartilage: An In Vivo Study in A Rabbit Model." Tissue Engineering ja (2016).  IHC-P ;  Rabbit.  
[IF=4.25] Chen, Ying-Chen, et al. "Development and characterization of acellular extracellular matrix scaffolds from porcine menisci for use in cartilage tissue engineering." Tissue Engineering ja (2015).  other ;  
[IF=4.169] Cheng, Baixiang. et al. Distinctive Roles of Wnt Signaling in Chondrogenic Differentiation of BMSCs under Coupling of Pressure and Platelet-Rich Fibrin. Tissue Engineering and Regenerative Medicine. 2022 Apr;:1-15  WB ;  Rabbit.  
[IF=3.998] Carolina C. Zuliani. et al. Chondrogenesis of human amniotic fluid stem cells in Chitosan-Xanthan scaffold for cartilage tissue engineering. Sci Rep-Uk. 2021 Feb;11(1):1-9  IHC ;  Human.  
[IF=3.986] Tong W et al. Multiple umbilical cord-derived MSCs administrations attenuate rat osteoarthritis progression via preserving articular cartilage superficial layer cells and inhibiting synovitis. J Orthop Translat . 2020 Apr 23;23:21-28.  IHC ;  rat.  
[IF=3.857] Chen-Chie Wang. et al. Infrapatellar Fat Pads–Derived Stem Cell Is a Favorable Cell Source for Articular Cartilage Tissue Engineering: An In Vitro and Ex Vivo Study Based on 3D Organized Self-Assembled Biomimetic Scaffold:. Cartilage. 0;():  IHC ;  Rabbit.  
[IF=3.82] Luo, Yang, et al. "Alendronate Retards the Progression of Lumbar Intervertebral Disc Degeneration in Ovariectomized Rats." Bone (2013).  IHC-P ;  Rat.  
[IF=3.743] Wang D et al. Effects of hypoxia and ASIC3 on nucleus pulposus cells: From cell behavior to molecularmechanism. Biomed Pharmacother. 2019 Jun 12;117:109061.  IHC&WB ;  Rabbit.  
[IF=3.71] Fu, Na, et al. "P34HB film promotes cell adhesion, in vitro proliferation, and in vivo cartilage repair." RSC Advances (2015).  IHC-P ;  Rat.  
[IF=3.68] Chen et al. Effect of Cyclic Dynamic Compressive Loading on Chondrocytes and Adipose-Derived Stem Cells Co-Cultured in Highly Elastic Cryogel Scaffolds. (2018) Int.J.Mol.Sci. 19  ELISA ;  Mouse.  
研究领域 肿瘤  细胞生物  免疫学  
抗体来源 Rabbit
克隆类型 Polyclonal
克 隆 号
交叉反应 Human,Mouse,Rabbit (predicted: Rat,Pig,Cow,Chicken,Dog,GuineaPig)
产品应用 WB=1:500-2000,IHC-P=1:100-500,IHC-F=1:100-500,IF=1:100-500
not yet tested in other applications.
optimal dilutions/concentrations should be determined by the end user.
理论分子量 117 kDa
检测分子量
细胞定位 细胞外基质 分泌型蛋白 
性    状 Liquid
浓    度 1mg/ml
免 疫 原 KLH conjugated synthetic peptide derived from human Collagen II: 1201-1300/1487 
亚    型 IgG
纯化方法 affinity purified by Protein A
缓 冲 液 0.01M TBS (pH7.4) with 1% BSA, 0.02% Proclin300 and 50% Glycerol.
保存条件 Shipped at 4℃. Store at -20℃ for one year. Avoid repeated freeze/thaw cycles.
注意事项 This product as supplied is intended for research use only, not for use in human, therapeutic or diagnostic applications.
PubMed PubMed
产品介绍 This gene encodes the alpha-1 chain of type II collagen, a fibrillar collagen found in cartilage and the vitreous humor of the eye. Mutations in this gene are associated with achondrogenesis, chondrodysplasia, early onset familial osteoarthritis, SED congenita, Langer-Saldino achondrogenesis, Kniest dysplasia, Stickler syndrome type I, and spondyloepimetaphyseal dysplasia Strudwick type. In addition, defects in processing chondrocalcin, a calcium binding protein that is the C-propeptide of this collagen molecule, are also associated with chondrodysplasia. There are two transcripts identified for this gene. [provided by RefSeq, Jul 2008]

Function:
Type II collagen is specific for cartilaginous tissues. It is essential for the normal embryonic development of the skeleton, for linear growth and for the ability of cartilage to resist compressive forces.

Subunit:
Homotrimers of alpha 1(II) chains.

Subcellular Location:
Secreted, extracellular space, extracellular matrix.

Tissue Specificity:
Isoform 2 is highly expressed in juvenile chondrocyte and low in fetal chondrocyte.

Post-translational modifications:
Proline residues at the third position of the tripeptide repeating unit (G-X-Y) are hydroxylated in some or all of the chains. Proline residues at the second position of the tripeptide repeating unit (G-X-Y) are hydroxylated in some of the chains.
The N-telopeptide is covalently linked to the helical COL2 region of alpha 1(IX), alpha 2(IX) and alpha 3(IX) chain. The C-telopeptide is covalently linked to an another site in the helical region of alpha 3(IX) COL2.

DISEASE:
Defects in COL2A1 are the cause of spondyloepiphyseal dysplasia congenital type (SEDC) [MIM:183900]. This disorder is characterized by disproportionate short stature and pleiotropic involvement of the skeletal and ocular systems.
Defects in COL2A1 are the cause of spondyloepimetaphyseal dysplasia Strudwick type (SEMD-STR) [MIM:184250]. A bone disease characterized by disproportionate short stature from birth, with a very short trunk and shortened limbs, and skeletal abnormalities including lordosis, scoliosis, flattened vertebrae, pectus carinatum, coxa vara, clubfoot, and abnormal epiphyses or metaphyses. A distinctive radiographic feature is irregular sclerotic changes, described as dappled in the metaphyses of the long bones.
Defects in COL2A1 are the cause of achondrogenesis type 2 (ACG2) [MIM:200610]; also known as achondrogenesis-hypochondrogenesis type II. ACG2 is a disease characterized by the absence of ossification in the vertebral column, sacrum and pubic bones.
Defects in COL2A1 are the cause of Legg-Calve-Perthes disease (LCPD) [MIM:150600]; also known as Legg-Perthes disease or Perthes disease. LCPD is characterized by loss of circulation to the femoral head, resulting in avascular necrosis in a growing child. Clinical pictures of the disease vary, depending on the phase of disease progression through ischemia, revascularization, fracture and collapse, and repair and remodeling of the bone.
Defects in COL2A1 are the cause of Kniest dysplasia (KD) [MIM:156550]; also known as Kniest syndrome or metatropic dwarfism type II. KD is a moderately severe chondrodysplasia phenotype that results from mutations in the COL2A1 gene. Characteristics of the disorder include a short trunk and extremities, mid-face hypoplasia, cleft palate, myopia, retinal detachment, and hearing loss.
Defects in COL2A1 are a cause of primary avascular necrosis of femoral head (ANFH) [MIM:608805]; also known as ischemic necrosis of the femoral head or osteonecrosis of the femoral head. ANFH causes disability that often requires surgical intervention. Most cases are sporadic, but families in which there is an autosomal dominant inheritance of the disease have been identified. It has been estimated that 300,000 to 600,000 people in the United States have ANFH. Approximately 15,000 new cases of this common and disabling disorder are reported annually. The age at the onset is earlier than that for osteoarthritis. The diagnosis is typically made when patients are between the ages of 30 and 60 years. The clinical manifestations, such as pain on exertion, a limping gait, and a discrepancy in leg length, cause considerable disability. Moreover, nearly 10 percent of the 500,000 total-hip arthroplasties performed each year in the United States involve patients with ANFH. As a result, this disease creates a substantial socioeconomic cost as well as a burden for patients and their families.
Defects in COL2A1 are the cause of osteoarthritis with mild chondrodysplasia (OACD) [MIM:604864]. Osteoarthritis is a common disease that produces joint pain and stiffness together with radiologic evidence of progressive degeneration of joint cartilage. Some forms of osteoarthritis are secondary to events such as trauma, infections, metabolic disorders, or congenital or heritable conditions that deform the epiphyses or related structures. In most patients, however, there is no readily identifiable cause of osteoarthritis. Inheritance in a Mendelian dominant manner has been demonstrated in some families with primary generalized osteoarthritis. Reports demonstrate coinheritance of primary generalized osteoarthritis with specific alleles of the gene COL2A1, the precursor of the major protein of cartilage.
Defects in COL2A1 are the cause of platyspondylic lethal skeletal dysplasia Torrance type (PLSD-T) [MIM:151210]. Platyspondylic lethal skeletal dysplasias (PLSDs) are a heterogeneous group of chondrodysplasias characterized by severe platyspondyly and limb shortening. PLSD-T is characterized by varying platyspondyly, short ribs with anterior cupping, hypoplasia of the lower ilia with broad ischial and pubic bones, and shortening of the tubular bones with splayed and cupped metaphyses. Histology of the growth plate typically shows focal hypercellularity with slightly enlarged chondrocytes in the resting cartilage and relatively well-preserved columnar formation and ossification at the chondro-osseous junction. PLSD-T is generally a perinatally lethal disease, but a few long-term survivors have been reported.
Defects in COL2A1 are the cause of multiple epiphyseal dysplasia with myopia and conductive deafness (EDMMD) [MIM:132450]. Multiple epiphyseal dysplasia is a generalized skeletal dysplasia associated with significant morbidity. Joint pain, joint deformity, waddling gait, and short stature are the main clinical signs and symptoms. EDMMD is an autosomal dominant disorder characterized by epiphyseal dysplasia associated with progressive myopia, retinal thinning, crenated cataracts, conductive deafness.
Defects in COL2A1 are the cause of spondyloperipheral dysplasia (SPD) [MIM:271700]. SPD patients manifest short stature, midface hypoplasia, sensorineural hearing loss, spondyloepiphyseal dysplasia, platyspondyly and brachydactyly.

Similarity:
Belongs to the fibrillar collagen family.
Contains 1 fibrillar collagen NC1 domain.
Contains 1 VWFC domain.

SWISS:
P02458

Gene ID:
1280

Database links:

Entrez Gene: 1280 Human

Entrez Gene: 12824 Mouse

Entrez Gene: 25412 Rat

Omim: 120140 Human

SwissProt: P02458 Human

SwissProt: P28481 Mouse

SwissProt: P05539 Rat

Unigene: 408182 Human

Unigene: 2423 Mouse

Unigene: 10124 Rat



Ⅱ型胶原是软骨基质中的一种结构蛋白;Ⅱ型胶原不与Ⅰ、Ⅲ、Ⅳ、Ⅴ、Ⅵ胶原以及其它血清蛋白或非胶原性细胞外相关蛋白起交叉反应。II型胶原最先发现于软骨基质中,在眼睛中也有少量存在。组成II型胶原的纤维较I型胶原更纤细。该抗体可以特异性识别II型胶原,与其他类型的胶原无交叉反应,抗II型胶原抗体-主要用于Ⅱ型胶原分布及变态反应方面及良/恶性肿瘤的细胞外基质方面的研究。
产品图片
Sample: 293T (human)Cell Lysate at 40 ug A549 (human)Cell Lysate at 40 ug MCF-7 (human)Cell Lysate at 40 ug HepG2 (human)Cell Lysate at 40 ug Placenta (mouse) Lysate at 40 ug MG63 (human)Cell Lysate at 40 ug Primary: Anti- Collagen II (bs-0709R) at 1/300 dilution Secondary: IRDye800CW Goat Anti-Rabbit IgG at 1/20000 dilution Predicted band size: 117 kD Observed band size: 120 kD
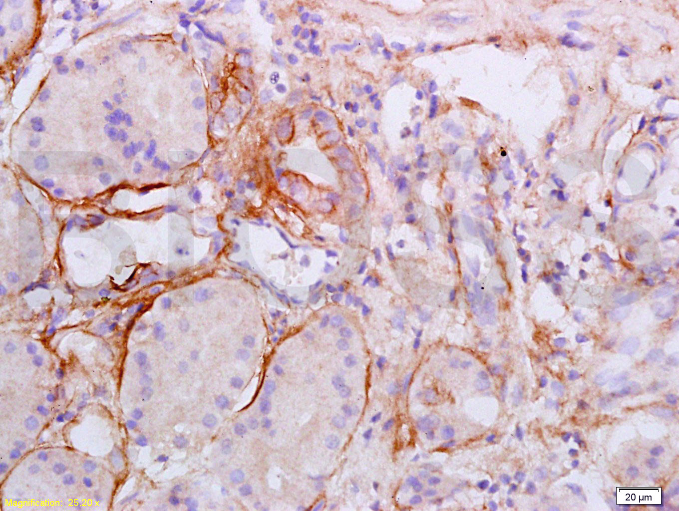
Tissue/cell: human esophageal carcinoma; 4% Paraformaldehyde-fixed and paraffin-embedded; Antigen retrieval: citrate buffer ( 0.01M, pH 6.0 ), Boiling bathing for 15min; Block endogenous peroxidase by 3% Hydrogen peroxide for 30min; Blocking buffer (normal goat serum,C-0005) at 37℃ for 20 min; Incubation: Anti-Collagen II Polyclonal Antibody, Unconjugated(bs-0709R) 1:200, overnight at 4°C, followed by conjugation to the secondary antibody(SP-0023) and DAB(C-0010) staining
Tissue/cell: rabbit meniscus tissue;4% Paraformaldehyde-fixed and paraffin-embedded; Antigen retrieval: citrate buffer ( 0.01M, pH 6.0 ), Boiling bathing for 15min; Blocking buffer (normal goat serum,C-0005) at 37℃ for 20 min; Incubation: Anti-Collagen II Polyclonal Antibody, Unconjugated(bs-0709R) 1:200, overnight at 4°C; The secondary antibody was Goat Anti-Rabbit IgG, Cy3 conjugated(bs-0295G-Cy3)used at 1:200 dilution for 40 minutes at 37°C. DAPI(5ug/ml,blue,C-0033) was used to stain the cell nuclei
版权所有 2004-2026 www.bioss.com.cn 北京博奥森生物技术有限公司
通过国际质量管理体系ISO 9001:2015 GB/T 19001-2016    证书编号: 00124Q34771R2M/1100
通过国际医疗器械-质量管理体系ISO 13485:2016 GB/T 42061-2022     证书编号: CQC24QY20047R0M/1100
京ICP备05066980号-1         京公网安备110107000727号