扫码关注公众号           扫码咨询技术支持           扫码咨询技术服务
  
客服热线:400-901-9800  客服QQ:4009019800  技术答疑  技术支持  质量反馈  关于我们  联系我们
产品中心-北京博奥森生物技术有限公司
首页 > 产品中心 > 一抗 > 产品信息
Collagen X Rabbit pAb (bs-0554R)  
订购热线:400-901-9800
订购邮箱:sales@bioss.com.cn
订购QQ:  400-901-9800
技术支持:techsupport@bioss.com.cn
50ul/1180.00元
100ul/1980.00元
200ul/2800.00元
大包装/询价

产品编号 bs-0554R
英文名称 Collagen X Rabbit pAb
中文名称 Ⅹ型胶原抗体
别    名 Collagen type X; Col10a 1; Collagen alpha 1(X) chain; Collagen type X alpha 1(Schmid metaphyseal chondrodysplasia); Collagen type X alpha 1; Collagen X alpha 1 polypeptide; CollagenX; fa66d11; fb10c08; OTTHUMP00000040411; Procollagen type X alpha 1; Schmid metaphyseal chondrodysplasia; wu:fa66d11; wu:fb10c08; COAA1_HUMAN; COL10A1; Collagen alpha-1(X) chain; collagen alpha-1(X) chain precursor; Schmid metaphyseal chondrodysplasia; collagen X, alpha-1 polypeptide.  
Specific References  (18)     |     bs-0554R has been referenced in 18 publications.
[IF=14.919] Wang, Zhen-Xing. et al. Aged bone matrix-derived extracellular vesicles as a messenger for calcification paradox. Nat Commun. 2022 Mar;13(1):1-20  FC ;  Human,Rat.  
[IF=7.243] Mengtian Fan. et al. IRE1α regulates the PTHrP-IHH feedback loop to orchestrate chondrocyte hypertrophy and cartilage mineralization. GENES DIS. 2022 Dec;:  WB ;  Mouse.  
[IF=5.395] Zhenyin Chen. et al. Zonally Stratified Decalcified Bone Scaffold with Different Stiffness Modified by Fibrinogen for Osteochondral Regeneration of Knee Joint Defect. ACS BIOMATER-SCI ENG. 2022;XXXX(XXX):XXX-XXX  IHC ;  Rat.  
[IF=5.246] Zhongrun Yuan. et al. Galactose Enhances Chondrogenic Differentiation of ATDC5 and Cartilage Matrix Formation by Chondrocytes. FRONT MOL BIOSCI. 2022; 9: 850778  IF ;  Rabbit.  
[IF=5.191] Ling-hua Chang. et al. Cyclooxygenase-2 regulates PTHrP transcription in human articular chondrocytes and is involved in the pathophysiology of osteoarthritis in rats. J Orthop Transl. 2021 Sep;30:16  WB ;  Human.  
[IF=4.6] Arita, Machiko, et al. "Mechanisms of Aberrant Organization of Growth Plates in Conditional Transgenic Mouse Model of Spondyloepiphyseal Dysplasia Associated with the R992C Substitution in Collagen II." The American Journal of Pathology (2014).  IHC-P ;  Mouse.  
[IF=4.253] Guang Xia. et al. β-Hydroxybutyrate alleviates cartilage senescence through hnRNP A1-mediated up-regulation of PTEN. EXP GERONTOL. 2023 May;175:112140  WB ;  Human.  
[IF=3.943] Yihuan Chenet al. Identification of the collagen family as prognostic biomarkers and immune-associated targets in gastric cancer. Int Immunopharmacol . 2020 Oct;87:106798.  WB ;  Human.  
[IF=3.82] Luo, Yang, et al. "Alendronate Retards the Progression of Lumbar Intervertebral Disc Degeneration in Ovariectomized Rats." Bone (2013).  IHC-P ;  Rat.  
[IF=3.375] Rui Zhang. et al. Allogeneic adipose-derived mesenchymal stem cells promote the expression of chondrocyte redifferentiation markers and retard the progression of knee osteoarthritis in rabbits. Am J Transl Res. 2021; 13(2): 632–645  WB ;  Rabbit.  
[IF=3.147] Huang J et al. Dysregulation of the Wnt signaling pathway and synovial stem cell dysfunction in osteoarthritis development. Stem Cells Dev. 2020 Feb 19.  WB ;  Human.  
[IF=2.984] Heli Zhang. et al. FN1 promotes chondrocyte differentiation and collagen production via TGF-β/PI3K/Akt pathway in mice with femoral fracture. Gene. 2021 Feb;769:145253  IHC ;  Mouse.  
[IF=2.82] Cuellar et al. Immunohistochemical Localization of Bone Morphogenetic Proteins (BMPs) and their Receptors in Solitary and Multiple Human Osteochondromas. (2014) J.Histochem.Cytochem. 62:488-498  IHC ;  Human.  
[IF=2.728] Xijuan Liu et al. Chondrocyte suppression is mediated by miR‐129‐5p via GDF11/SMAD3 signaling in developmental dysplasia of the hip. J Orthop Res. 2020 Dec;38(12):2559-2572.  WB/IHC ;  Rabbit.  
[IF=2.34] Zhang, X., et al. "Experimentally created unilateral anterior crossbite induces a degenerative ossification phenotype in mandibular condyle of growing Sprague‐Dawley rats." Journal of Oral Rehabilitation (2013).  Rat.  
[IF=1.98] Luo Wenbin. et al. Printability Optimization of Gelatin-Alginate Bioinks by Cellulose Nanofiber Modification for Potential Meniscus Bioprinting. J Nanomater. 2020;2020:3863428  IHC ;  Bovine.  
[IF=1.879] Wei Lin. et al. Early patellofemoral articular cartilage degeneration in a rat model of patellar instability is associated with activation of the NF-κB signaling pathway. Bmc Musculoskel Dis. 2021 Dec;22(1):1-10  IHC ;  Rat.  
[IF=0] Ren Y et al. A collagen mimetic peptide-modified hyaluronic acid hydrogel system with enzymatically mediated degradation for mesenchymal stem cell differentiation. Materials Science and Engineering: C,2019, 110276.  ICC ;  Rabbit.  
研究领域 细胞生物  免疫学  
抗体来源 Rabbit
克隆类型 Polyclonal
克 隆 号
交叉反应 Mouse,Rat (predicted: Human,Rabbit,Pig,Cow,Chicken,Dog)
产品应用 IHC-P=1:100-500,IHC-F=1:100-500,IF=1:100-500
not yet tested in other applications.
optimal dilutions/concentrations should be determined by the end user.
理论分子量 73 kDa
检测分子量
细胞定位 细胞外基质 
性    状 Liquid
浓    度 1mg/ml
免 疫 原 KLH conjugated synthetic peptide derived from human Collagen X: 601-680/680 
亚    型 IgG
纯化方法 affinity purified by Protein A
缓 冲 液 0.01M TBS (pH7.4) with 1% BSA, 0.02% Proclin300 and 50% Glycerol.
保存条件 Shipped at 4℃. Store at -20℃ for one year. Avoid repeated freeze/thaw cycles.
注意事项 This product as supplied is intended for research use only, not for use in human, therapeutic or diagnostic applications.
PubMed PubMed
产品介绍 This gene encodes the alpha chain of type X collagen, a short chain collagen expressed by hypertrophic chondrocytes during endochondral ossification. Unlike type VIII collagen, the other short chain collagen, type X collagen is a homotrimer. Mutations in this gene are associated with Schmid type metaphyseal chondrodysplasia (SMCD) and Japanese type spondylometaphyseal dysplasia (SMD). [provided by RefSeq, Jul 2008].

Function:
Type X collagen is a product of hypertrophic chondrocytes and has been localized to presumptive mineralization zones of hyaline cartilage.

Subunit:
Homotrimer.

Subcellular Location:
Secreted, extracellular space, extracellular matrix.

Tissue Specificity:
Prolines at the third position of the tripeptide repeating unit (G-X-Y) are hydroxylated in some or all of the chains.

DISEASE:
Schmid type metaphyseal chondrodysplasia (SMCD) [MIM:156500]: Dominantly inherited disorder of the osseous skeleton. The cardinal features of the phenotype are mild short stature, coxa vara and a waddling gait. Radiography usually shows sclerosis of the ribs, flaring of the metaphyses, and a wide irregular growth plate, especially of the knees. A variant form of SMCD is spondylometaphyseal dysplasia Japanese type. It is characterized by spinal involvement comprising mild platyspondyly, vertebral body abnormalities, and end-plate irregularity. Note=The disease is caused by mutations affecting the gene represented in this entry.

Similarity:
Contains 1 C1q domain.

SWISS:
Q03692

Gene ID:
1300

Database links:

Entrez Gene: 282416 Cow

Entrez Gene: 1300 Human

Entrez Gene: 12813 Mouse

Entrez Gene: 25681 Rat

Omim: 120110 Human

SwissProt: P23206 Cow

SwissProt: A1L4P2 Human

SwissProt: Q03692 Human



Ⅹ型胶原是一种短链的非纤维性胶原,正常存在于软骨化骨中心及骨骺软骨生长板内,仅见于软骨细胞肥大区及钙化区前沿,在关节软骨见于钙化软骨层,由肥大软骨细胞特异表达,只短暂出现,可能参与软骨钙化的调节,是正常和异常骨形成的标志。
有学者认为:Ⅹ型胶原在骨性关节病中可作为软骨细胞表型不可逆转的诊断标志 ,是大量关节软骨细胞发生凋亡,最终导致关节软骨变薄,关节下骨变硬、增厚的主要原因。
产品图片
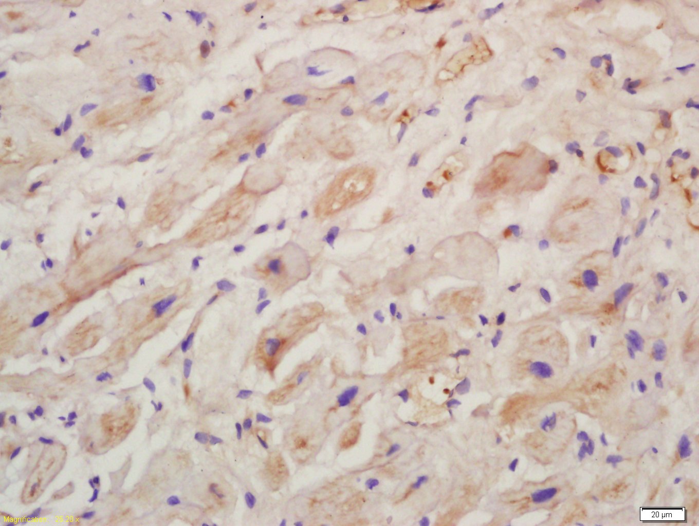
Paraformaldehyde-fixed, paraffin embedded (rat heart tissue); Antigen retrieval by boiling in sodium citrate buffer (pH6.0) for 15min; Block endogenous peroxidase by 3% hydrogen peroxide for 20 minutes; Blocking buffer (normal goat serum) at 37°C for 30min; Antibody incubation with (Collagen X) Polyclonal Antibody, Unconjugated (bs-0554R) at 1:400 overnight at 4°C, followed by a conjugated secondary (sp-0023) for 20 minutes and DAB staining.
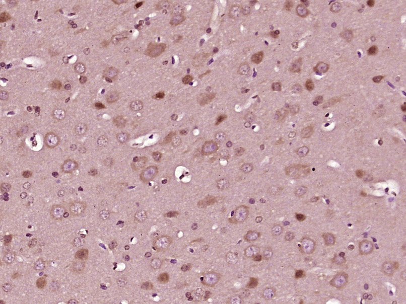
Paraformaldehyde-fixed, paraffin embedded (Mouse brain); Antigen retrieval by boiling in sodium citrate buffer (pH6.0) for 15min; Block endogenous peroxidase by 3% hydrogen peroxide for 20 minutes; Blocking buffer (normal goat serum) at 37°C for 30min; Antibody incubation with (Collagen X) Polyclonal Antibody, Unconjugated (bs-0554R) at 1:400 overnight at 4°C, followed by operating according to SP Kit(Rabbit) (sp-0023) instructionsand DAB staining.
Paraformaldehyde-fixed, paraffin embedded (Rat brain); Antigen retrieval by boiling in sodium citrate buffer (pH6.0) for 15min; Block endogenous peroxidase by 3% hydrogen peroxide for 20 minutes; Blocking buffer (normal goat serum) at 37°C for 30min; Antibody incubation with (Collagen X) Polyclonal Antibody, Unconjugated (bs-0554R) at 1:400 overnight at 4°C, followed by operating according to SP Kit(Rabbit) (sp-0023) instructionsand DAB staining.
版权所有 2004-2026 www.bioss.com.cn 北京博奥森生物技术有限公司
通过国际质量管理体系ISO 9001:2015 GB/T 19001-2016    证书编号: 00124Q34771R2M/1100
通过国际医疗器械-质量管理体系ISO 13485:2016 GB/T 42061-2022    证书编号: CQC24QY10047R0M/1100
京ICP备05066980号-1         京公网安备110107000727号