扫码关注公众号           扫码咨询技术支持           扫码咨询技术服务
  
客服热线:400-901-9800  客服QQ:4009019800  技术答疑  技术支持  质量反馈  人才招聘  关于我们  联系我们
产品中心-北京博奥森生物技术有限公司
首页 > 产品中心 > 一抗 > 产品信息
Cyclin D1 Rabbit pAb (bs-0623R)  
订购热线:400-901-9800
订购邮箱:sales@bioss.com.cn
订购QQ:  400-901-9800
技术支持:techsupport@bioss.com.cn
50ul/1180.00元
100ul/1980.00元
200ul/2800.00元
大包装/询价

产品编号 bs-0623R
英文名称 Cyclin D1 Rabbit pAb
中文名称 周期素D1抗体
别    名 BCL1; D11S287E; PRAD1; U21B31; CycD1; Cyl-1; bcl-1; cD1; CCND1_HUMAN; CCND1; B-cell lymphoma 1 protein (BCL-1); BCL-1 oncogene; PRAD1 oncogene; CCND1_MOUSE; cyclin D1; cyclin D1 (PRAD1: parathyroid adenomatosis 1); parathyroid adenomatosis 1; B-cell CLL/lymphoma 1; G1/S-specific cyclin D1  
Specific References  (72)     |     bs-0623R has been referenced in 72 publications.
[IF=14.903] Luchen Sun. et al. A novel mesenchymal stem cell-based regimen for acute myeloid leukemia differentiation therapy. ACTA PHARM SIN B. 2023 May;:  WB ;  Human.  
[IF=13.273] Long Zhao. et al. Juglone-loaded metal-organic frameworks for H2O2 self-modulating enhancing chemodynamic therapy against prostate cancer. Chem Eng J. 2022 Feb;430:133057  WB ;  Human.  
[IF=9.429] Li, Guang. et al. Synergetic delivery of artesunate and isosorbide 5-mononitrate with reduction-sensitive polymer nanoparticles for ovarian cancer chemotherapy. J NANOBIOTECHNOL. 2022 Dec;20(1):1-13  WB ;  Human.  
[IF=8.755] Sijie Wang. et al. PFKFB4 facilitates palbociclib resistance in oestrogen receptor-positive breast cancer by enhancing stemness. CELL PROLIFERAT. 2022 Sep;:e13337  WB ;  Human.  
[IF=8.74] Chen et al. STAT1 inhibits human hepatocellular carcinoma cell growth through induction of p53 and Fbxw7. (2015) Cancer.Cell.Int. 15:111  WB ;  Human.  
[IF=8.469] Que, Tianshi. et al. HMGA1 stimulates MYH9-dependent ubiquitination of GSK-3β via PI3K/Akt/c-Jun signaling to promote malignant progression and chemoresistance in gliomas. Cell Death Dis. 2021 Dec;12(12):1-12  WB ;  Human.  
[IF=7.6] Teng, I., et al. "Phospholipid-functionalized mesoporous silica nanocarriers for selective photodynamic therapy of cancer." Biomaterials (2013).  WB ;  Mouse.  
[IF=7.109] Liu, Yuan-Rong. et al. Oncogenic TRIB2 interacts with and regulates PKM2 to promote aerobic glycolysis and lung cancer cell procession. CELL DEATH DISCOV. 2022 Jul;8(1):1-12  WB ;  Human.  
[IF=7.077] Xinrui Li. et al. Skeletal muscle mass, meat quality and antioxidant status in growing lambs supplemented with guanidinoacetic acid. MEAT SCI. 2022 Oct;192:108906  WB ;  Sheep.  
[IF=6.543] Zhou Wan. et al. The Effects of RBP4 and Vitamin D on the Proliferation and Migration of Vascular Smooth Muscle Cells via the JAK2/STAT3 Signaling Pathway. Oxid Med Cell Longev. 2022;2022:3046777  WB ;  Rat.  
[IF=6.208] Molin Li. et al. PPP3R1 Promotes MSCs Senescence by Inducing Plasma Membrane Depolarization and Increasing Ca2+ Influx. INT J MOL SCI. 2023 Jan;24(5):4421  WB ;  Mouse.  
[IF=6.064] Shimaa Abdelsattar. et al. The Potential Utility of Circulating Oncofetal H19 Derived miR-675 Expression versus Tissue lncRNA-H19 Expression in Diagnosis and Prognosis of HCC in Egyptian Patients. BIOMOLECULES. 2023 Jan;13(1):3  IHC ;  Human.  
[IF=6.044] Li Y et al. Apple polysaccharide protects ICR mice against colitis associated colorectal cancer through the regulation of microbial dysbiosis. Carbohydr Polym. 2020 Feb 15;230:115726.  WB ;  Mouse&Human.  
[IF=5.17] Wu et al. The long non-coding RNA HNF1A-AS1 regulates proliferation and metastasis in lung adenocarcinoma. (2015) Oncotarge. 6:9160-72  WB ;  Human.  
[IF=5.17] Liang et al. Histone demethylase RBP2 induced by Helicobactor Pylori CagA participates in the malignant transformation of gastric epithelial cells. (2014) Oncotarge. 5:5798-807  WB, IHC ;  Human.  
[IF=4.92] Carreras et al. Chronic sleep fragmentation induces endothelial dysfunction and structural vascular changes in mice. (2014) Slee. 37:1817-24  IHC-P ;  Mouse.  
[IF=4.486] Chen Y et al. PLK1 regulates hepatic stellate cell activation and liver fibrosis through Wnt/β‐catenin signalling pathway. J Cell Mol Med . 2020 Jul;24(13):7405-7416.  WB ;  Mouse&Human.  
[IF=4.375] Zhang Hailin. et al. MicroRNA-2355-5p Promotes the Proliferation of Head and Neck Squamous Cell Carcinoma via Suppressing NISCH Expression. J Oncol. 2021;2021:2986489  WB ;  Human.  
[IF=4.302] Ju B et al. miR-193a/b-3p relieves hepatic fibrosis and restrains proliferation and activation of hepaticstellate cells. J Cell Mol Med. 2019 Apr 3.  WB ;  Human.  
[IF=4.175] Junmin Li. et al. Circ_ZFR contributes to the paclitaxel resistance and progression of non-small cell lung cancer by upregulating KPNA4 through sponging miR-195-5p. Cancer Cell Int. 2021 Dec;21(1):1-15  WB ;  Human.  
[IF=4.114] Hui-Zi Liu. et al. Silencing long non-coding RNA CASC9 inhibits colorectal cancer cell proliferation by acting as a competing endogenous RNA of miR-576-5p to regulate AKT3. Cell Death Discov. 2020 Oct;6(1):1-11  WB ;  Human.  
[IF=4.04] Wang, Y., et al. "Elevated toll-like receptor 3 inhibits pancreatic b-cell proliferation through G1 phase cell cycle arrest." Molecular and Cellular Endocrinology (2013)  Mouse.  
[IF=4.01] Xiong Y et al. ZYZ-803, a novel hydrogen sulfide-nitric oxide conjugated donor, promotes angiogenesis via cross-talk between STAT3 and CaMKII. Acta Pharmacol Sin. 2019 Jul 17.  WB ;  Human.  
[IF=3.906] Peng Gu. et al. Suppression of CDCA3 inhibits prostate cancer progression via NF‑κB/cyclin D1 signaling inactivation and p21 accumulation. Oncol Rep. 2022 Feb;47(2):1-10  WB ;  Human.  
[IF=3.699]  Zijian Ye . et al. MiR-92b-3p inhibits proliferation and migration of C2C12 cells. Cell Cycle. 2020;19(21):2906-2917  WB ;  Mouse.  
[IF=3.571] Li X et al. Lysine enhances the stimulation of fatty acids on milk fat synthesis via the GPRC6A-PI3K-FABP5 signaling in bovine mammary epithelial cells. J Agric Food Chem. 2019 Jun 26;67(25):7005-7015.  WB ;  Cow.  
[IF=3.571] Wang J et al. Influence of calcium supplementation against fluoride-mediated osteoblasts impairment in vitro: Involvement of canonical Wnt/β-catenin signaling pathway. J Agric Food Chem. 2019 Sep 4.  WB ;  Mouse.  
[IF=3.56] Tan, Shi, et al. "Musashi2 modulates K562 leukemic cell proliferation and apoptosis involving the MAPK pathway."Experimental Cell Research (2013).  WB ;  Human.  
[IF=3.448] Yang X et al. miR‐760 exerts an antioncogenic effect in esophageal squamous cell carcinoma by negatively driving fat metabolism via targeting c‐Myc. J Cell Biochem. 2019 Nov 10.  WB ;  Human.  
[IF=3.411] Song Zhenyan. et al. Baicalin Attenuated Aβ1-42-Induced Apoptosis in SH-SY5Y Cells by Inhibiting the Ras-ERK Signaling Pathway. BIOMED RES INT. 2022;2022:9491755  WB ;  Human.  
研究领域 肿瘤  细胞生物  染色质和核信号  细胞周期蛋白  表观遗传学  
抗体来源 Rabbit
克隆类型 Polyclonal
交叉反应 Human,Mouse,Rat
产品应用 WB=1:500-2000,IHC-P=1:50-200,IHC-F=1:50-200,IF=1:50-200,Flow-Cyt=1:50-100,ICC/IF=1:50-200
not yet tested in other applications.
optimal dilutions/concentrations should be determined by the end user.
理论分子量 32kDa
检测分子量 34
细胞定位 细胞核 细胞浆 细胞膜 
性    状 Liquid
浓    度 1mg/ml
免 疫 原 KLH conjugated synthetic peptide derived from human Cyclin D1: 61-110/295 
亚    型 IgG
纯化方法 affinity purified by Protein A
缓 冲 液 0.01M TBS (pH7.4) with 1% BSA, 0.02% Proclin300 and 50% Glycerol.
保存条件 Shipped at 4℃. Store at -20℃ for one year. Avoid repeated freeze/thaw cycles.
注意事项 This product as supplied is intended for research use only, not for use in human, therapeutic or diagnostic applications.
PubMed PubMed
产品介绍 The protein encoded by this gene belongs to the highly conserved cyclin family, whose members are characterized by a dramatic periodicity in protein abundance throughout the cell cycle. Cyclins function as regulators of CDK kinases. Different cyclins exhibit distinct expression and degradation patterns which contribute to the temporal coordination of each mitotic event. This cyclin forms a complex with and functions as a regulatory subunit of CDK4 or CDK6, whose activity is required for cell cycle G1/S transition. This protein has been shown to interact with tumor suppressor protein Rb and the expression of this gene is regulated positively by Rb. Mutations, amplification and overexpression of this gene, which alters cell cycle progression, are observed frequently in a variety of tumors and may contribute to tumorigenesis. [provided by RefSeq, Jul 2008].

Function:
Regulatory component of the cyclin D1-CDK4 (DC) complexthat phosphorylates and inhibits members of the retinoblastoma (RB)protein family including RB1 and regulates the cell-cycle duringG(1)/S transition. Phosphorylation of RB1 allows dissociation ofthe transcription factor E2F from the RB/E2F complex and thesubsequent transcription of E2F target genes which are responsiblefor the progression through the G(1) phase. Hypophosphorylates RB1in early G(1) phase. Cyclin D-CDK4 complexes are major integratorsof various mitogenenic and antimitogenic signals. Also substratefor SMAD3, phosphorylating SMAD3 in a cell-cycle-dependent mannerand repressing its transcriptional activity. Component of theternary complex, cyclin D1/CDK4/CDKN1B, required for nucleartranslocation and activity of the cyclin D-CDK4 complex.

Subunit:
Interacts with FBXO4. Interacts witheither CDK4 or CDK6 protein kinase to form a serine/threoninekinase holoenzyme complex. The cyclin subunit imparts substratespecificity to the complex. Component of the ternary complexCCND1/CDK4/CDKN1B required for nuclear translocation and modulationof CDK4-mediated kinase activity. Interacts directly with CDKN1B.Interacts with UHRF2; the interaction ubiquitinates CCND1 andappears to occur independently of phosphorylation. Can form similarcomplexes with either CDKN1A or CDKN2A. Interacts with USP2.

Subcellular Location:
Nucleus. Cytoplasm. Membrane. Note=CyclinD-CDK4 complexes accumulate at the nuclear membrane and are thentranslocated to the nucleus through interaction with KIP/CIP familymembers.

Post-translational modifications:
Phosphorylation at Thr-286 by MAP kinases is required forubiquitination and degradation following DNA damage. It probablyplays an essential role for recognition by the FBXO31 component ofSCF (SKP1-cullin-F-box) protein ligase complex.
Ubiquitinated, primarily as 'Lys-48'-linkedpolyubiquitination. Ubiquitinated by a SCF (SKP1-CUL1-F-boxprotein) ubiquitin-protein ligase complex containing FBXO4 andCRYAB. Following DNA damage it is ubiquitinated by some SCF(SKP1-cullin-F-box) protein ligase complex containing FBXO31.SCF-type ubiquitination is dependent on Thr-286 phosphorylation (Bysimilarity). Ubiquitinated also by UHRF2 apparently in aphosphorylation-independent manner. Ubiquitination leads to itsdegradation and G1 arrest. Deubiquitinated by USP2; leading to itsstabilization.

DISEASE:
Note=A chromosomal aberration involving CCND1 may be acause of B-lymphocytic malignancy, particularly mantle-celllymphoma (MCL). Translocation t(11;14)(q13;q32) with immunoglobulingene regions. Activation of CCND1 may be oncogenic by directlyaltering progression through the cell cycle.
Note=A chromosomal aberration involving CCND1 may be acause of parathyroid adenomas. Translocation t(11;11)(q13;p15) withthe parathyroid hormone (PTH) enhancer.
Defects in CCND1 are a cause of multiple myeloma (MM)[MIM:254500]. MM is a malignant tumor of plasma cells usuallyarising in the bone marrow and characterized by diffuse involvementof the skeletal system, hyperglobulinemia, Bence-Jones proteinuriaand anemia. Complications of multiple myeloma are bone pain,hypercalcemia, renal failure and spinal cord compression. Theaberrant antibodies that are produced lead to impaired humoralimmunity and patients have a high prevalence of infection.Amyloidosis may develop in some patients. Multiple myeloma is partof a spectrum of diseases ranging from monoclonal gammopathy ofunknown significance (MGUS) to plasma cell leukemia. Note=Achromosomal aberration involving CCND1 is found in multiplemyeloma. Translocation t(11;14)(q13;q32) with the IgH locus.

Similarity:
Belongs to the cyclin family. Cyclin D subfamily.

SWISS:
P24385

Gene ID:
595

Database links:

Entrez Gene: 595 Human

Entrez Gene: 12443 Mouse

Entrez Gene: 58919 Rat

Omim: 168461 Human

SwissProt: P24385 Human

SwissProt: P25322 Mouse

SwissProt: P39948 Rat

Unigene: 523852 Human

Unigene: 667996 Human

Unigene: 273049 Mouse

Unigene: 22279 Rat



细胞周期素D1蛋白(Cyclin D1)是细胞周期中的重要调控因子,它作用于细胞周期的G1→S期调控点,为G1期的限速步骤。
细胞周期蛋白D1-Cyclin D1的过度表达使细胞周期G1期缩短,细胞生长对有丝分裂原和粘附信号的需求降低,最终引发肿瘤的发生。该抗原的氨基酸序列抗原决定簇-结合位点,我们选在了细胞质的粗面内质网。越来越多的研究表明。CyclinD1在正常细胞周期及肿瘤的调节中起着重要作用。周期素D1/Bcl-1属于细胞周期调控蛋白家族成员之一,在细胞周期从G1进入S期中起到重要作用。周期素D1的过度表达与癌症的早发、肿瘤的进展和转移相关。该抗体可用于细胞周期方面的研究,
产品图片
25 ug total protein per lane of various lysates (see on figure) probed with Cyclin D1 polyclonal antibody, unconjugated (bs-0623R) at 1:2000 dilution and 4°C overnight incubation. Followed by conjugated secondary antibody incubation at r.t. for 60 min.
Paraformaldehyde-fixed, paraffin embedded Human Breast Cancer; Antigen retrieval by boiling in sodium citrate buffer (pH6.0) for 15 min; Antibody incubation with Cyclin D1 Polyclonal Antibody, Unconjugated (bs-0623R) at 1:200 overnight at 4°C, followed by conjugation to the bs-0295G-HRP and DAB (C-0010) staining.
Paraformaldehyde-fixed, paraffin embedded Human Colon Cancer; Antigen retrieval by boiling in sodium citrate buffer (pH6.0) for 15 min; Antibody incubation with Cyclin D1 Polyclonal Antibody, Unconjugated (bs-0623R) at 1:200 overnight at 4°C, followed by conjugation to the bs-0295G-HRP and DAB (C-0010) staining.
Paraformaldehyde-fixed, paraffin embedded Mouse Cerebrum; Antigen retrieval by boiling in sodium citrate buffer (pH6.0) for 15 min; Antibody incubation with Cyclin D1 Polyclonal Antibody, Unconjugated (bs-0623R) at 1:200 overnight at 4°C, followed by conjugation to the bs-0295G-HRP and DAB (C-0010) staining.
Paraformaldehyde-fixed, paraffin embedded Rat Cerebrum; Antigen retrieval by boiling in sodium citrate buffer (pH6.0) for 15 min; Antibody incubation with Cyclin D1 Polyclonal Antibody, Unconjugated (bs-0623R) at 1:200 overnight at 4°C, followed by conjugation to the bs-0295G-HRP and DAB (C-0010) staining.
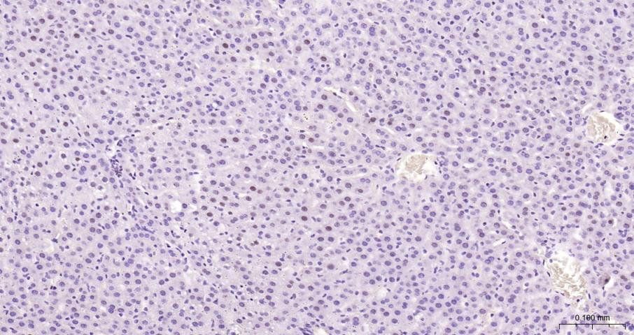
Paraformaldehyde-fixed, paraffin embedded Rat Liver; Antigen retrieval by boiling in sodium citrate buffer (pH6.0) for 15 min; Antibody incubation with Cyclin D1 Polyclonal Antibody, Unconjugated (bs-0623R) at 1:200 overnight at 4°C, followed by conjugation to the bs-0295G-HRP and DAB (C-0010) staining.
Paraformaldehyde-fixed, paraffin embedded Mouse Small Intestine; Antigen retrieval by boiling in sodium citrate buffer (pH6.0) for 15 min; Antibody incubation with Cyclin D1 Polyclonal Antibody, Unconjugated (bs-0623R) at 1:200 overnight at 4°C, followed by conjugation to the bs-0295G-HRP and DAB (C-0010) staining.
Paraformaldehyde-fixed, paraffin embedded Rat Small Intestine; Antigen retrieval by boiling in sodium citrate buffer (pH6.0) for 15 min; Antibody incubation with Cyclin D1 Polyclonal Antibody, Unconjugated (bs-0623R) at 1:200 overnight at 4°C, followed by conjugation to the bs-0295G-HRP and DAB (C-0010) staining.
The SH-SY5Y (H) cells were fixed with 4% PFA (10 min at r.t.) and then permeabilized with 90% ice-cold methanol for 20 min at -20℃,the cells then were incubated in 5%BSA to block non-specific protein-protein interactions (30 min at r.t.), followed by secondary antibody incubation for 40 min at room temperature. Primary Antibody (green):Rabbit Anti-Cyclin D1 antibody (bs-0623R,1:100); Isotype Control (orange): Rabbit IgG (bs-0295P). Blank control (black): PBS. Acquisition of 20,000 events was performed.
版权所有 2004-2026 www.bioss.com.cn 北京博奥森生物技术有限公司
通过国际质量管理体系ISO 9001:2015 GB/T 19001-2016    证书编号: 00124Q34771R2M/1100
通过国际医疗器械-质量管理体系ISO 13485:2016 GB/T 42061-2022     证书编号: CQC24QY20047R0M/1100
京ICP备05066980号-1         京公网安备110107000727号