扫码关注公众号           扫码咨询技术支持           扫码咨询技术服务
  
客服热线:400-901-9800  客服QQ:4009019800  技术答疑  技术支持  质量反馈  关于我们  联系我们
产品中心-北京博奥森生物技术有限公司
首页 > 产品中心 > 一抗 > 产品信息
DMBT1 Rabbit pAb (bs-0595R)  
订购热线:400-901-9800
订购邮箱:sales@bioss.com.cn
订购QQ:  400-901-9800
技术支持:techsupport@bioss.com.cn
50ul/1180.00元
100ul/1980.00元
200ul/2800.00元
大包装/询价

产品编号 bs-0595R
英文名称 DMBT1 Rabbit pAb
中文名称 抑癌基因抗体
别    名 GP340; Apactin; CRP; CRP-[a]; CRP-[b]; CRP-ductin; Crpd; DBMT1; Deleted in malignant brain tumors 1; Deleted in malignant brain tumors 1 protein; DMBT 1; DMBT1; DMBT1 prototype precursor; DMBT1/6kb.1 protein precursor; DMBT1/8kb.1 protein; DMBT1/8kb.2 protein precursor; Ebnerin; Glycoprotein 300; Glycoprotein 340; Gp 340; gp300; Gp340 variant protein; Hensin; Mucin-like glycoprotein; Muclin; p80; Pancrin; Salivary agglutinin; Surfactant pulmonary associated D binding protein; Surfactant pulmonary associated protein D binding protein; Vomeroglandin.  
Specific References  (1)     |     bs-0595R has been referenced in 1 publications.
[IF=3.743] Zhao Y et al. DMBT1 has a protective effect on allergic rhinitis. Biomed Pharmacother. 2020 Jan;121:109675.  WB ;  Mouse.  
研究领域 肿瘤  细胞生物  细胞类型标志物  
抗体来源 Rabbit
克隆类型 Polyclonal
克 隆 号
交叉反应 Mouse (predicted: Human,Rat)
产品应用 IHC-P=1:100-500,IHC-F=1:100-500,IF=1:100-500
not yet tested in other applications.
optimal dilutions/concentrations should be determined by the end user.
理论分子量 156-265 kDa
检测分子量
细胞定位 细胞膜 分泌型蛋白 
性    状 Liquid
浓    度 1mg/ml
免 疫 原 KLH conjugated synthetic peptide derived from human DMBT1: 1701-1785/1785 
亚    型 IgG
纯化方法 affinity purified by Protein A
缓 冲 液 0.01M TBS (pH7.4) with 1% BSA, 0.02% Proclin300 and 50% Glycerol.
保存条件 Shipped at 4℃. Store at -20℃ for one year. Avoid repeated freeze/thaw cycles.
注意事项 This product as supplied is intended for research use only, not for use in human, therapeutic or diagnostic applications.
PubMed PubMed
产品介绍 DMBT 1 may play roles in mucosal defense system, cellular immune defense and epithelial differentiation. May play a role in liver regeneration. May be an important factor in fate decision and differentiation of transit-amplifying ductular(oval) cells within the hepatic lineage. May function as a binding protein in saliva for the regulation of taste sensation. May play a role as an opsonin receptor for SFTPD and SPAR in macrophages tissues throughout the body, including epithelial cells lining the gastrointestinal tract. Required for terminal differentiation of columnar epithelial cells during early embryogenesis. [Subcellular Location] Secreted. Membrane. [Tissue Specificity] Expressed in von Ebner glands (VEG) (at protein level), olfactory epithelium and the lateral nasal gland. Expressed in transit-amplifying ductular (oval) cells. Up-regulated at day 3 after hepatectomy. Expressed in newly formed bile ducts and in structures resembling intestinal epithelium. Belongs to the DMBT1 family.

Function:
May be considered as a candidate tumor suppressor gene for brain, lung, esophageal, gastric, and colorectal cancers. May play roles in mucosal defense system, cellular immune defense and epithelial differentiation. May play a role as an opsonin receptor for SFTPD and SPAR in macrophage tissues throughout the body, including epithelial cells lining the gastrointestinal tract. May play a role in liver regeneration. May be an important factor in fate decision and differentiation of transit-amplifying ductular (oval) cells within the hepatic lineage. Required for terminal differentiation of columnar epithelial cells during early embryogenesis. May function as a binding protein in saliva for the regulation of taste sensation. Binds to HIV-1 envelope protein and has been shown to both inhibit and facilitate viral transmission. Displays a broad calcium-dependent binding spectrum against both Gram-positive and Gram-negative bacteria, suggesting a role in defense against bacterial pathogens. Binds to a range of poly-sulfated and poly-phosphorylated ligands which may explain its broad bacterial-binding specificity. Inhibits cytoinvasion of S.enterica. Associates with the actin cytoskeleton and is involved in its remodeling during regulated exocytosis. Interacts with pancreatic zymogens in a pH-dependent manner and may act as a Golgi cargo receptor in the regulated secretory pathway of the pancreatic acinar cell.

Subunit:
Binds SFTPD and SPAR in a calcium-dependent manner. Interacts with LGALS3.

Subcellular Location:
Secreted. Some isoforms may be membrane-bound. Localized to the lumenal aspect of crypt cells in the small intestine. In the colon, seen in the lumenal aspect of surface epithelial cells. Formed in the ducts of von Ebner gland, and released into the fluid bathing the taste buds contained in the taste papillae.

Tissue Specificity:
Highly expressed in alveolar and macrophage tissues. In some macrophages, expression is seen on the membrane, and in other macrophages, strongly expressed in the phagosome/phagolysosome compartments. Expressed in lung, trachea, salivary gland, small intestine and stomach. In pancreas, expressed in certain cells of the islets of Langerhans. In digestive tract, confined to tissues with large epithelial surfaces. In intestinal tissue, moderately expressed in epithelial cells of the midcrypts and the crypt base. Expression is significantly elevated in intestinal tissue from patients with inflammatory bowel disease (IBD), particularly in surface epithelial and Paneth cells, but not in IBD patients with mutant NOD2. Present in crypt bases of the duodenum, in crypt tops of the colon, and in collecting ducts of the cortical kidney. Expressed in stratified squamous epithelium of vagina and in outer luminar surface and basilar region of columnar epithelial cells in cervix (at protein level). Isoform 1 is secreted to the lumen of the respiratory tract.

Post-translational modifications:
Highly N- and O-glycosylated. The O-glycans are heavily sulfated.

DISEASE:
Defects in DMBT1 are involved in the development of glioma (GLM) [MIM:137800]. Gliomas are central nervous system neoplasms derived from glial cells and comprise astrocytomas, glioblastoma multiforme, oligodendrogliomas, and ependymomas. Note=Homozygous deletions may be the predominant mechanism of DMBT1 inactivation playing a role in carcinogenesis. DMBT1 is deleted in medulloblastoma and glioblastoma cell lines; point mutations have also been reported in patients with glioma. A loss or reduction of DMBT1 expression has been seen in esophageal, gastric, lung and colorectal carcinomas as well.

Similarity:
Belongs to the DMBT1 family.
Contains 2 CUB domains.
Contains 14 SRCR domains.
Contains 1 ZP domain.

SWISS:
Q9UGM3

Gene ID:
1755

Database links:

Entrez Gene: 1755 Human

Omim: 601969 Human

SwissProt: Q9UGM3 Human

Unigene: 279611 Human



DMBT1是分泌型的清道夫受体,富含半胱氨酸,主要在肠道表达,参与再生和防御病原体的功能。 有学者认为:DMBT1在消化系统的恶性肿瘤的发生、发展及转移中起一定作用。
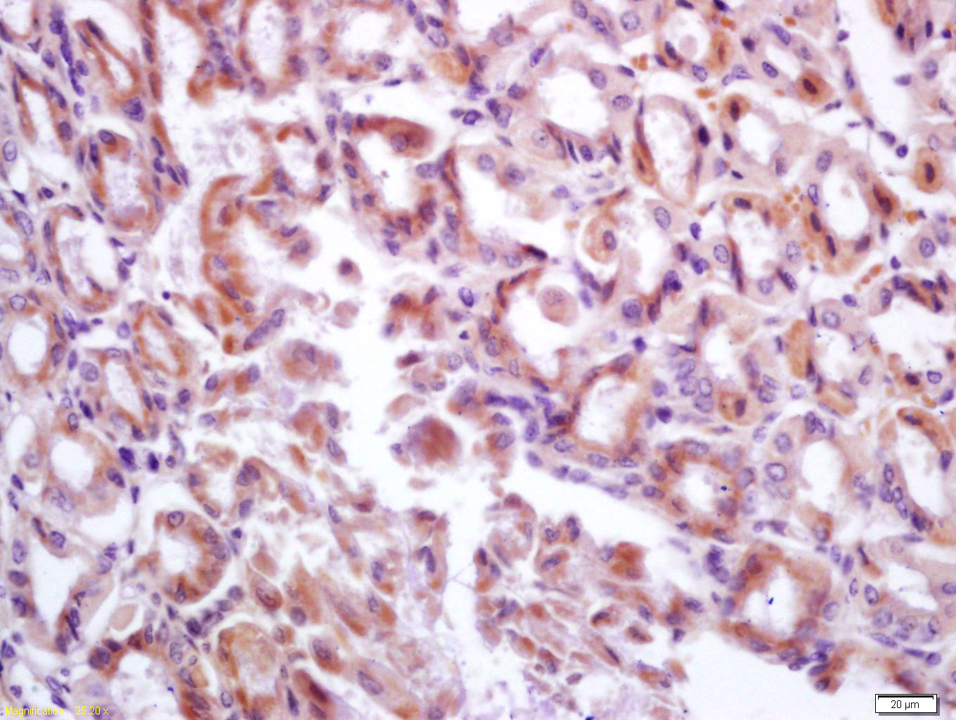
产品图片
Tissue/cell: mouse stomach tissue; 4% Paraformaldehyde-fixed and paraffin-embedded; Antigen retrieval: citrate buffer ( 0.01M, pH 6.0 ), Boiling bathing for 15min; Block endogenous peroxidase by 3% Hydrogen peroxide for 30min; Blocking buffer (normal goat serum,C-0005) at 37℃ for 20 min; Incubation: Anti-GP340/DMBT1 Polyclonal Antibody, Unconjugated(bs-0595R) 1:200, overnight at 4°C, followed by conjugation to the secondary antibody(SP-0023) and DAB(C-0010) staining
版权所有 2004-2026 www.bioss.com.cn 北京博奥森生物技术有限公司
通过国际质量管理体系ISO 9001:2015 GB/T 19001-2016    证书编号: 00124Q34771R2M/1100
通过国际医疗器械-质量管理体系ISO 13485:2016 GB/T 42061-2022     证书编号: CQC24QY20047R0M/1100
京ICP备05066980号-1         京公网安备110107000727号