扫码关注公众号           扫码咨询技术支持           扫码咨询技术服务
  
客服热线:400-901-9800  客服QQ:4009019800  技术答疑  技术支持  质量反馈  人才招聘  关于我们  联系我们
产品中心-北京博奥森生物技术有限公司
首页 > 产品中心 > 一抗 > 产品信息
IL-8/CXCL8 Rabbit pAb (bs-0780R)  
订购热线:400-901-9800
订购邮箱:sales@bioss.com.cn
订购QQ:  400-901-9800
技术支持:techsupport@bioss.com.cn
50ul/1180.00元
100ul/1980.00元
200ul/2800.00元
大包装/询价

产品编号 bs-0780R
英文名称 IL-8/CXCL8 Rabbit pAb
中文名称 白介素8抗体
别    名 GCP-1; GCP1; IL8; LECT; LUCT; LYNAP; MDNCF; MONAP; NAF; NAP-1; NAP1; SCYB8; AMCF-I; IL8_HUMAN; CXCL8; IL-8; C-X-C motif chemokine 8; Chemokine (C-X-C motif) ligand 8; Emoctakin; Granulocyte chemotactic protein 1 (GCP-1); Monocyte-derived neutrophil chemot  
Specific References  (20)     |     bs-0780R has been referenced in 20 publications.
[IF=12.771] Yuliani, Fara Silvia. et al. Thrombin induces IL-8/CXCL8 expression by DCLK1-dependent RhoA and YAP activation in human lung epithelial cells. J BIOMED SCI. 2022 Dec;29(1):1-22  IHC, IF ;  Human.  
[IF=11.33] Zhang, Tao, et al. "CXCL1 mediates obesity-associated adipose stromal cell trafficking and function in the tumour microenvironment." Nature Communications 7 (2016).  IF(IHC-P) ;  Human.  
[IF=10.19] Xingliang Dai. et al. Crosstalk between microglia and neural stem cells influences the relapse of glioblastoma in GBM immunological microenvironment. CLIN IMMUNOL. 2023 Jun;251:109333  IHC ;  Human.  
[IF=7.129] Yu Xia. et al. Ferric citrate-induced colonic mucosal damage associated with oxidative stress, inflammation responses, apoptosis, and the changes of gut microbial composition. ECOTOX ENVIRON SAFE. 2023 Jan;249:114364  WB ;  Mouse.  
[IF=5.738] Junfeng Qiu. et al. FOXS1 Promotes Tumor Progression by Upregulating CXCL8 in Colorectal Cancer. FRONT ONCOL. 2022; 12: 894043  WB, IHC ;  Human.  
[IF=5.23] Huang, Qi. "IL-17 Promotes Angiogenic Factors IL-6, IL-8, and Vegf Production via Stat1 in Lung Adenocarcinoma." Scientific Reports 6 (2016).  IHC-P ;  Human.  
[IF=5.21] Ma, Yanqin, et al. "Inflammatory responses induced by fluoride and arsenic at toxic concentration in rabbit aorta." Archives of toxicology 86.6 (2012): 849-856.  WB ;  Rabbit.  
[IF=5.195] Feng Huang. et al. NMR-based metabolomic analysis for the effects of moxibustion on imiquimod-induced psoriatic mice. J ETHNOPHARMACOL. 2023 Jan;300:115626  IHC ;  Mouse.  
[IF=4.996] Ren, Xiaoli. et al. Expression and significance of IL-6 and IL-8 in canine mammary gland tumors. SCI REP-UK. 2023 Jan;13(1):1-9  IHC,WB ;  Dog.  
[IF=4.741] Chen Fanghua. et al. SSH1 promotes progression of intrahepatic cholangiocarcinoma via p38 MAPK-CXCL8 axis. CARCINOGENESIS. 2023 Mar;:  IHC ;  Human.  
[IF=4.35] Xin Fan. et al. Anti-Colon Cancer Activity of Novel Peptides Isolated from In Vitro Digestion of Quinoa Protein in Caco-2 Cells. Foods. 2022 Jan;11(2):194  WB ;  Human.  
[IF=4.162] Mingsheng Lyu. et al. Molecular Mechanism Underlying Effects of Wumeiwan on Steroid-Dependent Asthma: A Network Pharmacology, Molecular Docking, and Experimental Verification Study. Drug Des Dev Ther. 2022; 16: 909–929  IHC,WB ;  Rat.  
[IF=3.992] Cittrarasu Vetrivel. et al. MoS2-ZnO Nanocomposite Mediated Immunosensor for Non-Invasive Electrochemical Detection of IL8 Oral Tumor Biomarker. DIAGNOSTICS. 2023 Jan;13(8):1464  
[IF=3.926] Pengyuan Kang. et al. Interleukin 8 in plasma is an efficacy marker for advanced non-small cell lung cancer treated with hypofractionated radiotherapy and PD-1 blockade. CYTOKINE. 2023 Mar;163:156133  IF ;  Human.  
[IF=3.895] Yang W et al. The Effect of Low and High Dose Deoxynivalenol on Intestinal Morphology, Distribution, and Expression of Inflammatory Cytokines of Weaning Rabbits. Toxins (Basel). 2019 Aug 13;11(8). pii: E473.  WB&IHC-P ;  Rabbit.  
[IF=3.86] Wu, Bo. et al. Diagnostic values of plasma matrix metalloproteinase-7, interleukin-8, and gamma-glutamyl transferase in biliary atresia. EUR J PEDIATR. 2022 Sep;:1-9  IF ;  Human.  
[IF=2.51] Lu, Yongping, et al. "Assessment of atherosclerotic plaques in the rabbit abdominal aorta with interleukin-8 monoclonal antibody-targeted ultrasound microbubbles." Molecular biology reports (2013): 1-10.  IHC-P ;  Rabbit.  
[IF=2.092] Ding S et al. Inflammatory cytokines tumor necrosis factor-α and interleukin-8 enhance airway smooth muscle contraction by increasing L-type Ca channel expression.(2018) Clin. Exp. Pharmacol. Physiol.Sep 10  Mouse.  
[IF=1.935] Verma S et al. Non-invasive oral cancer detection from saliva using zinc oxide–reduced graphene oxide nanocomposite based bioelectrode. MRS Communications,2019, 1–8.  Other ;  
[IF=1.69] Xu et al. Extracts of Bauhinia championii (Benth.) Benth. attenuate the inflammatory response in a rat model of collagen-induced arthritis. (2016) Mol.Med.Re. 13:4167-74  IHC ;  Rat.  
研究领域 细胞生物  免疫学  生长因子和激素  趋化因子  交换蛋白  细胞因子  
抗体来源 Rabbit
克隆类型 Polyclonal
克 隆 号
交叉反应 Human
产品应用 WB=1:500-2000,IHC-P=1:100-500,IHC-F=1:100-500,IF=1:100-500
not yet tested in other applications.
optimal dilutions/concentrations should be determined by the end user.
理论分子量 8/9 kDa
检测分子量 9
细胞定位 分泌型蛋白 
性    状 Liquid
浓    度 1mg/ml
免 疫 原 KLH conjugated synthetic peptide derived from human IL-8: 31-99/99 
亚    型 IgG
纯化方法 affinity purified by Protein A
缓 冲 液 0.01M TBS (pH7.4) with 1% BSA, 0.02% Proclin300 and 50% Glycerol.
保存条件 Shipped at 4℃. Store at -20℃ for one year. Avoid repeated freeze/thaw cycles.
注意事项 This product as supplied is intended for research use only, not for use in human, therapeutic or diagnostic applications.
PubMed PubMed
产品介绍 The protein encoded by this gene is a member of the CXC chemokine family. This chemokine is one of the major mediators of the inflammatory response. This chemokine is secreted by several cell types. It functions as a chemoattractant, and is also a potent angiogenic factor. This gene is believed to play a role in the pathogenesis of bronchiolitis, a common respiratory tract disease caused by viral infection. This gene and other ten members of the CXC chemokine gene family form a chemokine gene cluster in a region mapped to chromosome 4q. [provided by RefSeq, Jul 2008]

Function:
IL-8 is a chemotactic factor that attracts neutrophils, basophils, and T-cells, but not monocytes. It is also involved in neutrophil activation. It is released from several cell types in response to an inflammatory stimulus. IL-8(6-77) has a 5-10-fold higher activity on neutrophil activation, IL-8(5-77) has increased activity on neutrophil activation and IL-8(7-77) has a higher affinity to receptors CXCR1 and CXCR2 as compared to IL-8(1-77), respectively.

Subunit:
Homodimer.

Subcellular Location:
Secreted.

Post-translational modifications:
Several N-terminal processed forms are produced by proteolytic cleavage after secretion from at least peripheral blood monocytes, leukcocytes and endothelial cells. In general, IL-8(1-77) is referred to as interleukin-8. IL-8(6-77) is the most promiment form.

Similarity:
Belongs to the intercrine alpha (chemokine CxC) family.

SWISS:
P10145

Gene ID:
3576

Database links:

Entrez Gene: 3576 Human

Entrez Gene: 396880 Pig

Omim: 146930 Human

SwissProt: P10145 Human

SwissProt: P26894 Pig

Unigene: 624 Human



白介素-8
产品图片
U-87MG (H) cells were treated with or without Thapsigargin (1µM,24h), 25 μg total protein per lane of cell lysates (see on figure) probed with IL-8/CXCL8 polyclonal antibody, unconjugated (bs-0780R) at 1:1000 dilution and 4°C overnight incubation. Followed by conjugated secondary antibody incubation at r.t. for 60 min.
Paraformaldehyde-fixed, paraffin embedded Human Pyogenic appendicitis; Antigen retrieval by boiling in sodium citrate buffer (pH6.0) for 15 min; The section was incubated with IL-8/CXCL8 Polyclonal Antibody, Unconjugated (bs-0780R) at 1:200 overnight at 4°C, followed by conjugation to the bs-0295G-HRP and DAB (C-0010) staining.
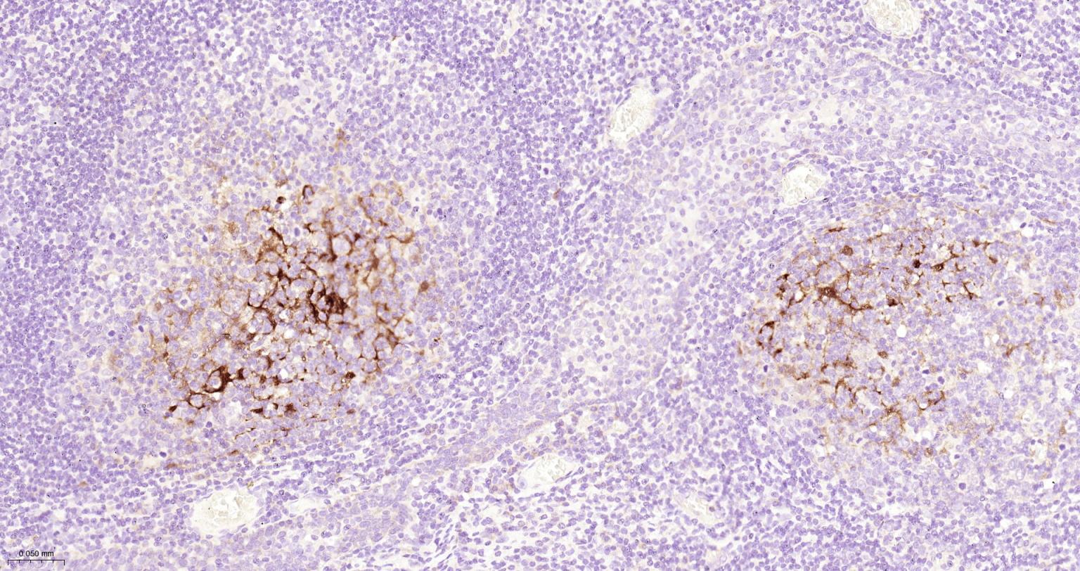
Paraformaldehyde-fixed, paraffin embedded Human Tonsil; Antigen retrieval by boiling in sodium citrate buffer (pH6.0) for 15 min; The section was incubated with IL-8/CXCL8 Polyclonal Antibody, Unconjugated (bs-0780R) at 1:200 overnight at 4°C, followed by conjugation to the bs-0295G-HRP and DAB (C-0010) staining.
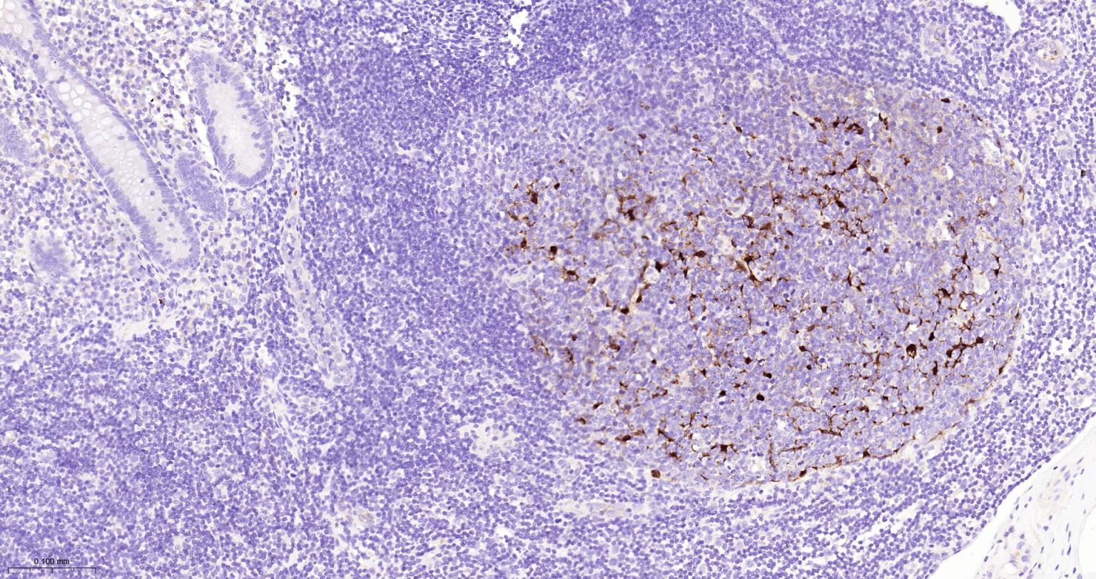
Paraformaldehyde-fixed, paraffin embedded Human Chronic tonsillitis; Antigen retrieval by boiling in sodium citrate buffer (pH6.0) for 15 min; The section was incubated with IL-8/CXCL8 Polyclonal Antibody, Unconjugated (bs-0780R) at 1:200 overnight at 4°C, followed by conjugation to the bs-0295G-HRP and DAB (C-0010) staining.
Paraformaldehyde-fixed, paraffin embedded Human Lung Cancer; Antigen retrieval by boiling in sodium citrate buffer (pH6.0) for 15 min; The section was incubated with IL-8/CXCL8 Polyclonal Antibody, Unconjugated (bs-0780R) at 1:200 overnight at 4°C, followed by conjugation to the bs-0295G-HRP and DAB (C-0010) staining.
版权所有 2004-2026 www.bioss.com.cn 北京博奥森生物技术有限公司
通过国际质量管理体系ISO 9001:2015 GB/T 19001-2016    证书编号: 00124Q34771R2M/1100
通过国际医疗器械-质量管理体系ISO 13485:2016 GB/T 42061-2022     证书编号: CQC24QY20047R0M/1100
京ICP备05066980号-1         京公网安备110107000727号