 
| 产品编号 | bs-0199R | 
| 英文名称 | GFAP Rabbit pAb | 
| 中文名称 | 胶质纤维酸性蛋白抗体 | 
| 别 名 | Astrocyte Marker; FLJ45472; GFAP; Glial Fibrillary Acidic Protein; Intermediate filament protein; GFAP_HUMAN. | 
|  | Specific References  (78)     |     bs-0199R has been referenced in 78 publications. | 
| 研究领域 | 肿瘤 细胞生物 免疫学 神经生物学 信号转导 干细胞 细胞粘附分子 细胞类型标志物 细胞骨架 | 
| 抗体来源 | Rabbit | 
| 克隆类型 | Polyclonal | 
| 克 隆 号 | |
| 交叉反应 | Human,Mouse,Rat (predicted: Rabbit,Pig,Sheep,Cow,Dog) | 
| 产品应用 | IHC-P=1:200-1000,IHC-F=1:200-1000,IF=1:200-1000,Flow-Cyt=1μg/Test not yet tested in other applications. optimal dilutions/concentrations should be determined by the end user. | 
| 理论分子量 | 48 kDa | 
| 检测分子量 | |
| 细胞定位 | 细胞浆 | 
| 性 状 | Liquid | 
| 浓 度 | 1mg/ml | 
| 免 疫 原 | KLH conjugated synthetic peptide derived from human GFAP: 51-150/432 | 
| 亚 型 | IgG | 
| 纯化方法 | affinity purified by Protein A | 
| 缓 冲 液 | 0.01M TBS (pH7.4) with 1% BSA, 0.02% Proclin300 and 50% Glycerol. | 
| 保存条件 | Shipped at 4℃. Store at -20℃ for one year. Avoid repeated freeze/thaw cycles. | 
| 注意事项 | This product as supplied is intended for research use only, not for use in human, therapeutic or diagnostic applications. | 
| PubMed | PubMed | 
| 产品介绍 | This gene encodes one of the major intermediate filament proteins of mature astrocytes. It is used as a marker to distinguish astrocytes from other glial cells during development. Mutations in this gene cause Alexander disease, a rare disorder of astrocytes in the central nervous system. Alternative splicing results in multiple transcript variants encoding distinct isoforms. [provided by RefSeq, Oct 2008] Function: GFAP, a class-III intermediate filament, is a cell-specific marker that, during the development of the central nervous system, distinguishes astrocytes from other glial cells. Subunit: Interacts with SYNM. Isoform 3 interacts with PSEN1 (via N-terminus). Subcellular Location: Cytoplasm. Note=Associated with intermediate filaments. Tissue Specificity: Expressed in cells lacking fibronectin. Post-translational modifications: Phosphorylated by PKN1. DISEASE: Defects in GFAP are a cause of Alexander disease (ALEXD) [MIM:203450]. Alexander disease is a rare disorder of the central nervous system. It is a progressive leukoencephalopathy whose hallmark is the widespread accumulation of Rosenthal fibers which are cytoplasmic inclusions in astrocytes. The most common form affects infants and young children, and is characterized by progressive failure of central myelination, usually leading to death usually within the first decade. Infants with Alexander disease develop a leukoencephalopathy with macrocephaly, seizures, and psychomotor retardation. Patients with juvenile or adult forms typically experience ataxia, bulbar signs and spasticity, and a more slowly progressive course. Similarity: Belongs to the intermediate filament family. SWISS: P14136 Gene ID: 2670 Database links: Entrez Gene: 2670 Human Entrez Gene: 14580 Mouse Omim: 137780 Human SwissProt: P14136 Human SwissProt: P03995 Mouse 星形胶质细胞标志物 (Astrocyte Marker) GFAP是一个56kDa的中间丝蛋白(intermediate filament,IF),在中枢神经系统发育期是一个特异性的标志物,以区别星形细胞和其它胶质细胞。GFAP表达在皮层和海马,急、慢性皮质酮治疗时表达减少。 GFAP可以和人、大鼠、小鼠的GFAP反应,在正常和肿瘤性的星形胶质细胞阳性表达,而神经节细胞、神经元、成纤维细胞、少突胶质细胞和这些细胞来源的肿瘤细胞阴性表达,主要用于星形胶质瘤等中枢神经系统肿瘤的诊断和鉴别诊断,GFAP的缺乏可导致AD病。 | 
| 产品图片 | 
Paraformaldehyde-fixed, paraffin embedded Rat Cerebellum; Antigen retrieval by boiling in sodium citrate buffer (pH6.0) for 15 min; The section was incubated with GFAP Polyclonal Antibody, Unconjugated (bs-0199R) at 1:200 overnight at 4°C, followed by conjugation to the bs-0295G-HRP and DAB (C-0010) staining.
 
Paraformaldehyde-fixed, paraffin embedded Mouse Cerebellum; Antigen retrieval by boiling in sodium citrate buffer (pH6.0) for 15 min; The section was incubated with GFAP Polyclonal Antibody, Unconjugated (bs-0199R) at 1:200 overnight at 4°C, followed by conjugation to the bs-0295G-HRP and DAB (C-0010) staining.
 
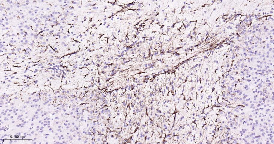
Paraformaldehyde-fixed, paraffin embedded Rat Cerebrum; Antigen retrieval by boiling in sodium citrate buffer (pH6.0) for 15 min; The section was incubated with GFAP Polyclonal Antibody, Unconjugated (bs-0199R) at 1:200 overnight at 4°C, followed by conjugation to the bs-0295G-HRP and DAB (C-0010) staining.
 
Paraformaldehyde-fixed, paraffin embedded Mouse Cerebrum; Antigen retrieval by boiling in sodium citrate buffer (pH6.0) for 15 min; The section was incubated with GFAP Polyclonal Antibody, Unconjugated (bs-0199R) at 1:200 overnight at 4°C, followed by conjugation to the bs-0295G-HRP and DAB (C-0010) staining.
 
Paraformaldehyde-fixed, paraffin embedded (rat cerebellum); Antigen retrieval by boiling in sodium citrate buffer (pH6.0) for 15min; Blocking buffer (normal goat serum) at 37°C for 30min; Antibody incubation with (GFAP) Polyclonal Antibody, Unconjugated (bs-0199R) at 1:300 overnight at 4°C, followed by a conjugated Goat Anti-Rabbit IgG antibody (YF488) for 90 minutes, and DAPI for nuclei staining.
 
Paraformaldehyde-fixed, paraffin embedded (human brain); Antigen retrieval by boiling in sodium citrate buffer (pH6.0) for 15min; Blocking buffer (normal goat serum) at 37°C for 30min; Antibody incubation with (GFAP) Polyclonal Antibody, Unconjugated (bs-0199R) at 1:500 overnight at 4°C, followed by a conjugated Goat Anti-Rabbit IgG antibody (YF488) for 90 minutes, and DAPI for nuclei staining.
 
Paraformaldehyde-fixed, paraffin embedded (rat brain); Antigen retrieval by boiling in sodium citrate buffer (pH6.0) for 15min; Blocking buffer (normal goat serum) at 37°C for 30min; Antibody incubation with (GFAP) Polyclonal Antibody, Unconjugated (bs-0199R) at 1:500 overnight at 4°C, followed by a conjugated Goat Anti-Rabbit IgG antibody (YF488) for 90 minutes, and DAPI for nuclei staining.
 
Paraformaldehyde-fixed, paraffin embedded (mouse cerebellum); Antigen retrieval by boiling in sodium citrate buffer (pH6.0) for 15min; Blocking buffer (normal goat serum) at 37°C for 30min; Antibody incubation with (GFAP) Polyclonal Antibody, Unconjugated (bs-0199R) at 1:500 overnight at 4°C, followed by a conjugated Goat Anti-Rabbit IgG antibody (YF488) for 90 minutes, and DAPI for nuclei staining.
 
Paraformaldehyde-fixed, paraffin embedded (mouse brain); Antigen retrieval by boiling in sodium citrate buffer (pH6.0) for 15min; Blocking buffer (normal goat serum) at 37°C for 30min; Antibody incubation with (GFAP) Polyclonal Antibody, Unconjugated (bs-0199R) at 1:500 overnight at 4°C, followed by a conjugated Goat Anti-Rabbit IgG antibody (YF488) for 90 minutes, and DAPI for nuclei staining.
 
Blank control:U87MG.  
Primary Antibody (green line): Rabbit Anti-GFAP antibody (bs-0199R) 
Dilution: 1ug/Test;  
Secondary Antibody : Goat anti-rabbit IgG-FITC
Dilution: 0.5ug/Test. 
Protocol
The cells were fixed with 4% PFA (10min at room temperature)and then permeabilized with 90% ice-cold methanol for 20 min at -20℃.The cells were then incubated in 5%BSA to block non-specific protein-protein interactions for 30 min at room temperature .Cells stained with Primary Antibody for 30 min at room temperature. The secondary antibody used for 40 min at room temperature. Acquisition of 20,000 events was performed.
 | 
| 1、抗体溶解方法 | |
| 2、抗体修复方式 | |
| 3、常用试剂的配制 | |
| 4、免疫组化操作步骤 | |
| 5、免疫组化问题解答 | |
| 6、Western Blotting 操作步骤 | |
| 7、Western Blotting 问题解答 | |
| 8、关于肽链的设计 | |
| 9、多肽的溶解与保存 | |
| 10、酶标抗体效价测定程序 | |