扫码关注公众号           扫码咨询技术支持           扫码咨询技术服务
  
客服热线:400-901-9800  客服QQ:4009019800  技术答疑  技术支持  质量反馈  关于我们  联系我们
产品中心-北京博奥森生物技术有限公司
首页 > 产品中心 > 一抗 > 产品信息
MAG Rabbit pAb (bs-0258R)  
订购热线:400-901-9800
订购邮箱:sales@bioss.com.cn
订购QQ:  400-901-9800
技术支持:techsupport@bioss.com.cn
50ul/1180.00元
100ul/1980.00元
大包装/询价

产品编号 bs-0258R
英文名称 MAG Rabbit pAb
中文名称 髓鞘相关糖蛋白-a抗体
别    名 Myelin associated glycoprotein; L-MAG; brain-specific neuronal polypeptide 1B236; Myelin-associated glycoprotein; Sialic acid-binding Ig-like lectin 4a; Siglec-4a; Brain neuron cytoplasmic protein 3; MAG_HUMAN; GMA; S MAG; Siglec 4a; SIGLEC4A.  
研究领域 细胞生物  神经生物学  
抗体来源 Rabbit
克隆类型 Polyclonal
克 隆 号
交叉反应 Human,Mouse,Rat
产品应用 WB=1:500-2000,IHC-P=1:100-500,IHC-F=1:100-500,IF=1:100-500,Flow-Cyt=1:50-100,ELISA=1:5000-10000
not yet tested in other applications.
optimal dilutions/concentrations should be determined by the end user.
理论分子量 67 kDa
检测分子量
细胞定位 细胞膜 
性    状 Liquid
浓    度 1mg/ml
免 疫 原 KLH conjugated synthetic peptide derived from human MAG: 551-626/626 <Cytoplasmic>
亚    型 IgG
纯化方法 affinity purified by Protein A
缓 冲 液 0.01M TBS (pH7.4) with 1% BSA, 0.02% Proclin300 and 50% Glycerol.
保存条件 Shipped at 4℃. Store at -20℃ for one year. Avoid repeated freeze/thaw cycles.
注意事项 This product as supplied is intended for research use only, not for use in human, therapeutic or diagnostic applications.
PubMed PubMed
产品介绍 MAG (myelin associated glycoprotein) is a Adhesion molecule in postnatal neural development that mediates sialic-acid dependent cell-cell interactions between neuronal and myelinating cells. Preferentially binds to alpha2,3-linked sialic acid. Isoform L-MAG is critical for the formation of myelin in the CNS, whereas isoform S-MAG is sufficient to maintain the integrity of myelin in PNS. Binds to RTN4R. single-pass type I membrane protein. Expressed by myelinating glial cells in the central and peripheral nervous system. Detected in oligodendrocyte processes before formation of compact myelin. Restricted to the periaxonal space after myelination. Isoform S-MAG is the predominant isoform in CNS and PNS of the adult. In CNS isoform L-MAG is the major form synthesized early in development, and it persists as a significant proportion of the MAG present in the adult. In the PNS isoform L-MAG is expressed at modest levels during development; it is absent in the adult. Belongs to the immunoglobulin superfamily. SIGLEC (sialic acid binding Ig-like lectin) family.

Function:
Adhesion molecule in postnatal neural development that mediates sialic-acid dependent cell-cell interactions between neuronal and myelinating cells. Preferentially binds to alpha-2,3-linked sialic acid.

Subunit:
Binds to RTN4R

Subcellular Location:
Membrane.

Similarity:
Belongs to the immunoglobulin superfamily. SIGLEC (sialic acid binding Ig-like lectin) family.
Contains 4 Ig-like C2-type (immunoglobulin-like) domains.
Contains 1 Ig-like V-type (immunoglobulin-like) domain.

SWISS:
P20916

Gene ID:
4099

Database links:

Entrez Gene: 4099 Human

Entrez Gene: 17136 Mouse

Entrez Gene: 29409 Rat

Omim: 159460 Human

SwissProt: P20916 Human

SwissProt: P20917 Mouse

SwissProt: P07722 Rat

Unigene: 643440 Human

Unigene: 241355 Mouse

Unigene: 87331 Rat



髓鞘相关糖蛋白(MAG-a)又称:髓磷脂相关的球蛋白a
髓鞘相关糖蛋白(myelin-associated glycoprotein, MAG)是免疫球蛋白超家族成员,它由中枢神经系统的少突胶质细胞和外周神经系统的施万细胞表达。
MAG定位于直接和轴突相接触的髓鞘膜的最里层,它通过介导胶质细胞与轴突的相互作用参与髓鞘的形成及其完整性的维持。同时MAG也是髓鞘来源的神经生长抑制因子的主要成分。在神经系统发育的不同阶段。
MAG显示不同的功能:即发育期促进轴突生长,成熟期抑制轴突生长。其抑制作用主要由髓鞘来源的抑制分子的共同受体NgR介导,在神经营养因子受体p75NTR以及小GTP酶Rho等信号分子的共同参与下完成。
产品图片
25 ug total protein per lane of various lysates (see on figure) probed with MAG polyclonal antibody, unconjugated (bs-0258R) at 1:1000 dilution and 4°C overnight incubation. Followed by conjugated secondary antibody incubation at r.t. for 60 min.
Sample: Lane 1: Rat Cerebrum tissue lysates Lane 2: Rat Cerebellum tissue lysates Lane 3: Rat Spinal cord tissue lysates Primary: Anti- MAG (bs-0258R) at 1/1000 dilution Secondary: IRDye800CW Goat Anti-Rabbit IgG at 1/20000 dilution Predicted band size: 67 kDa Observed band size: 98 kDa
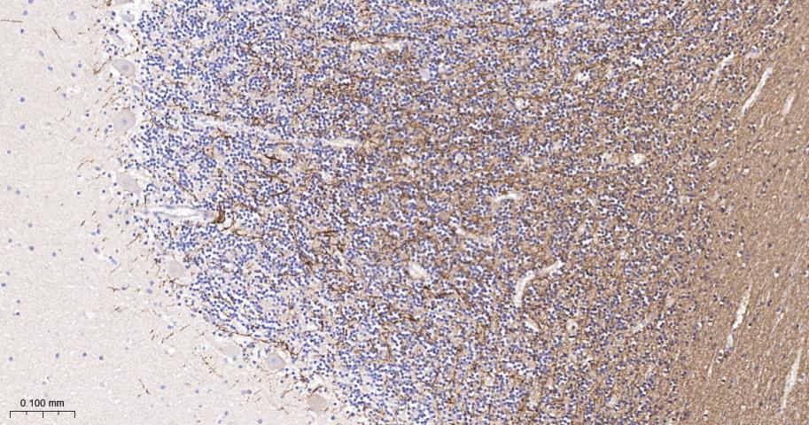
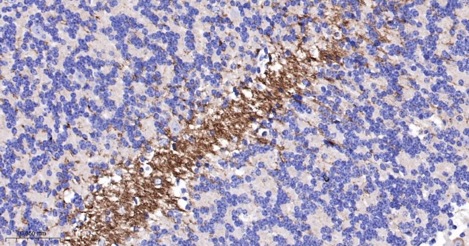
Paraformaldehyde-fixed, paraffin embedded Human Cerebellum; Antigen retrieval by boiling in sodium citrate buffer (pH6.0) for 15 min; The section was incubated with MAG Polyclonal Antibody, Unconjugated (bs-0258R) at 1:200 overnight at 4°C, followed by conjugation to the bs-0295G-HRP and DAB (C-0010) staining.
Paraformaldehyde-fixed, paraffin embedded Rat Cerebellum; Antigen retrieval by boiling in sodium citrate buffer (pH6.0) for 15 min; The section was incubated with MAG Polyclonal Antibody, Unconjugated (bs-0258R) at 1:200 overnight at 4°C, followed by conjugation to the bs-0295G-HRP and DAB (C-0010) staining.
Paraformaldehyde-fixed, paraffin embedded Mouse Cerebellum; Antigen retrieval by boiling in sodium citrate buffer (pH6.0) for 15 min; The section was incubated with MAG Polyclonal Antibody, Unconjugated (bs-0258R) at 1:200 overnight at 4°C, followed by conjugation to the bs-0295G-HRP and DAB (C-0010) staining.
Paraformaldehyde-fixed, paraffin embedded Human Cerebrum; Antigen retrieval by boiling in sodium citrate buffer (pH6.0) for 15 min; The section was incubated with MAG Polyclonal Antibody, Unconjugated (bs-0258R) at 1:200 overnight at 4°C, followed by conjugation to the bs-0295G-HRP and DAB (C-0010) staining.
Paraformaldehyde-fixed, paraffin embedded Rat Cerebrum; Antigen retrieval by boiling in sodium citrate buffer (pH6.0) for 15 min; The section was incubated with MAG Polyclonal Antibody, Unconjugated (bs-0258R) at 1:200 overnight at 4°C, followed by conjugation to the bs-0295G-HRP and DAB (C-0010) staining.
Paraformaldehyde-fixed, paraffin embedded Mouse Cerebrum; Antigen retrieval by boiling in sodium citrate buffer (pH6.0) for 15 min; The section was incubated with MAG Polyclonal Antibody, Unconjugated (bs-0258R) at 1:200 overnight at 4°C, followed by conjugation to the bs-0295G-HRP and DAB (C-0010) staining.
版权所有 2004-2026 www.bioss.com.cn 北京博奥森生物技术有限公司
通过国际质量管理体系ISO 9001:2015 GB/T 19001-2016    证书编号: 00124Q34771R2M/1100
通过国际医疗器械-质量管理体系ISO 13485:2016 GB/T 42061-2022     证书编号: CQC24QY20047R0M/1100
京ICP备05066980号-1         京公网安备110107000727号