 
| 产品编号 | bs-0014R | 
| 英文名称 | IGF 1 Rabbit pAb | 
| 中文名称 | 胰岛素样生长因子1抗体 | 
| 别 名 | IBP1; IGF 1; IGF I; IGF-1; IGF IA; IGF IB; IGF1; IGFI; IGFIA; Insulin like growth factor 1(somatomedin C); Full=Insulin-like growth factor I; Insulin Like Growth Factor 1; Insulin like growth factor IA; Insulin like growth factor IB; Mechano growth factor; MGF; Mechano growth factor; MGF; Somatomedia C; Somatomedin C; IGF1_HUMAN. IGF-I; | 
|  | Specific References  (27)     |     bs-0014R has been referenced in 27 publications. | 
| 研究领域 | 免疫学 发育生物学 信号转导 生长因子和激素 糖尿病 | 
| 抗体来源 | Rabbit | 
| 克隆类型 | Polyclonal | 
| 克 隆 号 | |
| 交叉反应 | Human,Mouse,Rat (predicted: Rabbit,Pig,Sheep,Cow,Dog) | 
| 产品应用 | WB=1:500-2000,IHC-P=1:100-500,IHC-F=1:100-500,IF=1:100-500 not yet tested in other applications. optimal dilutions/concentrations should be determined by the end user. | 
| 理论分子量 | 7.7/21 kDa | 
| 检测分子量 | |
| 细胞定位 | 分泌型蛋白 | 
| 性 状 | Liquid | 
| 浓 度 | 1mg/ml | 
| 免 疫 原 | KLH conjugated synthetic peptide derived from human IGF-1: 49-100/195 | 
| 亚 型 | IgG | 
| 纯化方法 | affinity purified by Protein A | 
| 缓 冲 液 | 0.01M TBS (pH7.4) with 1% BSA, 0.02% Proclin300 and 50% Glycerol. | 
| 保存条件 | Shipped at 4℃. Store at -20℃ for one year. Avoid repeated freeze/thaw cycles. | 
| 注意事项 | This product as supplied is intended for research use only, not for use in human, therapeutic or diagnostic applications. | 
| PubMed | PubMed | 
| 产品介绍 | The protein encoded by this gene is similar to insulin in function and structure and is a member of a family of proteins involved in mediating growth and development. The encoded protein is processed from a precursor, bound by a specific receptor, and secreted. Defects in this gene are a cause of insulin-like growth factor I deficiency. Several transcript variants encoding different isoforms have been found for this gene.[provided by RefSeq, Mar 2009] Function: The insulin-like growth factors, isolated from plasma, are structurally and functionally related to insulin but have a much higher growth-promoting activity. May be a physiological regulator of [1-14C]-2-deoxy-D-glucose (2DG) transport and glycogen synthesis in osteoblasts. Stimulates glucose transport in rat bone-derived osteoblastic (PyMS) cells and is effective at much lower concentrations than insulin, not only regarding glycogen and DNA synthesis but also with regard to enhancing glucose uptake. Subcellular Location: Secreted. DISEASE: Defects in IGF1 are the cause of insulin-like growth factor I deficiency (IGF1 deficiency) [MIM:608747]. IGF1 deficiency is an autosomal recessive disorder characterized by growth retardation, sensorineural deafness and mental retardation. Similarity: Belongs to the insulin family. SWISS: P05019 Gene ID: 3479 Database links: Entrez Gene: 3479 Human Omim: 147440 Human SwissProt: P05019 Human Unigene: 160562 Human 胰岛素样生长因子1(IGF-1)是一种生长调节激素,由肝分泌并入血液循环的中性多肽,具有调节生长和代谢、胰岛素样及促细胞分裂的活性,主要作用于成人。 | 
| 产品图片 | 
20 ng rhIGF-1 protein, Trx & His (bs-41216P) per lane probed with IGF 1 polyclonal antibody respectively, unconjugated (bs-0014R) at 1:1000 dilution and 4°C overnight incubation. Followed by corresponding conjugated secondary antibody incubation at r.t. for 60 min.
 
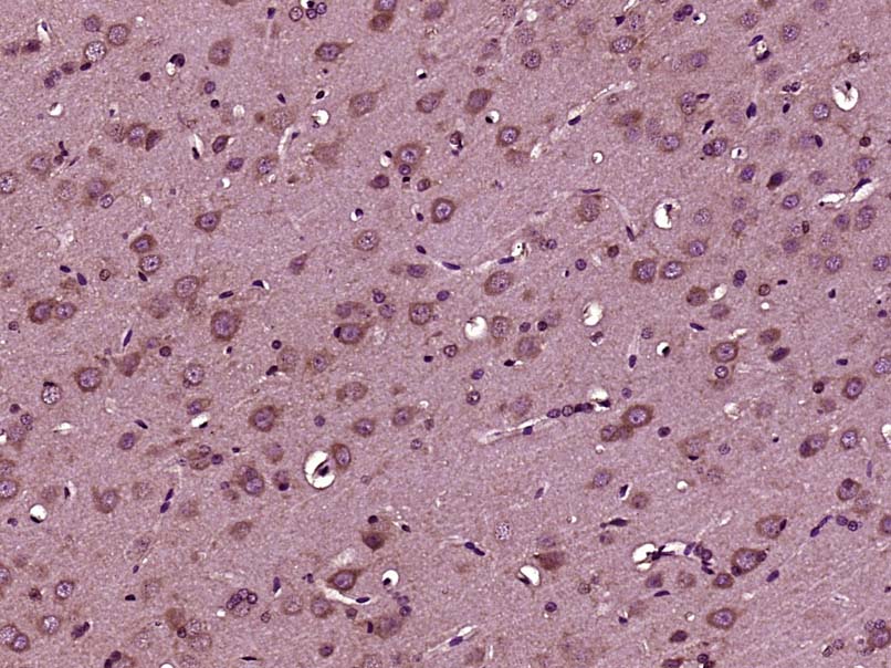
Paraformaldehyde-fixed, paraffin embedded (Mouse brain); Antigen retrieval by boiling in sodium citrate buffer (pH6.0) for 15min; Block endogenous peroxidase by 3% hydrogen peroxide for 20 minutes; Blocking buffer (normal goat serum) at 37°C for 30min; Antibody incubation with (IGF 1) Polyclonal Antibody, Unconjugated (bs-0014R) at 1:400 overnight at 4°C, followed by operating according to SP Kit(Rabbit) (sp-0023) instructionsand DAB staining.
 
Paraformaldehyde-fixed, paraffin embedded (rat uterus); Antigen retrieval by boiling in sodium citrate buffer (pH6.0) for 15min; Block endogenous peroxidase by 3% hydrogen peroxide for 20 minutes; Blocking buffer (normal goat serum) at 37°C for 30min; Antibody incubation with (IGF 1) Polyclonal Antibody, Unconjugated (bs-0014R) at 1:200 overnight at 4°C, followed by operating according to SP Kit(Rabbit) (sp-0023) instructionsand DAB staining.
 
 Paraformaldehyde-fixed, paraffin embedded (Rat brain); Antigen retrieval by boiling in sodium citrate buffer (pH6.0) for 15min; Block endogenous peroxidase by 3% hydrogen peroxide for 20 minutes; Blocking buffer (normal goat serum) at 37°C for 30min; Antibody incubation with (IGF 1) Polyclonal Antibody, Unconjugated (bs-0014R) at 1:400 overnight at 4°C, followed by operating according to SP Kit(Rabbit) (sp-0023) instructionsand DAB staining.
 | 
| 1、抗体溶解方法 | |
| 2、抗体修复方式 | |
| 3、常用试剂的配制 | |
| 4、免疫组化操作步骤 | |
| 5、免疫组化问题解答 | |
| 6、Western Blotting 操作步骤 | |
| 7、Western Blotting 问题解答 | |
| 8、关于肽链的设计 | |
| 9、多肽的溶解与保存 | |
| 10、酶标抗体效价测定程序 | |