 
| 产品编号 | bs-0056R | 
| 英文名称 | Proinsulin Rabbit pAb | 
| 中文名称 | 胰岛素原抗体 | 
| 别 名 | INS_HUMAN; ILPR; INS; Insulin A chain; Insulin precursor; IRDN; Proinsulin; Proinsulin precursor. | 
|  | Specific References  (5)     |     bs-0056R has been referenced in 5 publications. 
[IF=6.633] Yu Fan. et al. The role of substance P in acupuncture signal transduction and effects. Brain Behav Immun. 2021 Jan;91:683  IHC ;  Rat.   
[IF=6.055] Lagunas-Rangel  Francisco Alejandro. et al. Triple drug therapy with GABA, sitagliptin, and omeprazole prevents type 1 diabetes onset and promotes its reversal in non-obese diabetic mice. FRONT ENDOCRINOL. 2022 Oct;0:2702  ELISA ;  Mouse.   
[IF=5.555] Xiaohang Wang. et al. Screening and Identification of Key Genes for Activation of Islet Stellate Cell. Front Endocrinol. 2021; 12: 695467  IF ;  Rat.   
[IF=4.26] Yang et al. Paradoxical effect of rapamycin on inflammatory stress-induced insulin resistance in vitro and in vivo. (2015) Sci.Re. 5:14959  IHC-P ;  Mouse.   
[IF=2.05] Xinghao Jiang. et al. Fibroblast growth factor 21: a novel long-acting hypoglycemic drug for canine diabetes. 2020 Nov 20  IHC ;  Dog.   | 
| 研究领域 | 肿瘤 心血管 细胞生物 神经生物学 信号转导 生长因子和激素 糖尿病 内分泌病 新陈代谢 | 
| 抗体来源 | Rabbit | 
| 克隆类型 | Polyclonal | 
| 克 隆 号 | |
| 交叉反应 | Mouse,Rat (predicted: Human,Rabbit,Pig,Cow,Horse) | 
| 产品应用 | IHC-P=1:100-500,IHC-F=1:100-500,IF=1:100-500 not yet tested in other applications. optimal dilutions/concentrations should be determined by the end user. | 
| 理论分子量 | 5.8/12 kDa | 
| 检测分子量 | |
| 细胞定位 | 分泌型蛋白 | 
| 性 状 | Liquid | 
| 浓 度 | 1mg/ml | 
| 免 疫 原 | KLH conjugated synthetic peptide derived from human Insulin: 46-59/110 | 
| 亚 型 | IgG | 
| 纯化方法 | affinity purified by Protein A | 
| 缓 冲 液 | 0.01M TBS (pH7.4) with 1% BSA, 0.02% Proclin300 and 50% Glycerol. | 
| 保存条件 | Shipped at 4℃. Store at -20℃ for one year. Avoid repeated freeze/thaw cycles. | 
| 注意事项 | This product as supplied is intended for research use only, not for use in human, therapeutic or diagnostic applications. | 
| PubMed | PubMed | 
| 产品介绍 | Insulin is a pancreatic hormone that regulates glucose and is involved in the synthesis of protein and fat. It increases cell permeability to monosaccharides, amino acids and fatty acids. It accelerates glycolysis, the pentose phosphate cycle, and glycogen synthesis in liver. Heterodimer of a B chain and an A chain linked by two disulfide bonds.Belongs to the insulin family. The insulin-link growth factors, IGF-I and IGF-II (also desinated somatomedin C and multiplication stimulating activator,  respectvely), share approximatly 76% sequence identity and are 50% related to pro-insulin.IGF-I and IGF-II are nonglycosylated, single chain proteins of 70 and 76 amino acids in length, respectivelly. IGF-I functions as an autocrine regulator of growth in vaious, whereas the function of IGF-II is less well defined. Function: Insulin decreases blood glucose concentration. It increases cell permeability to monosaccharides, amino acids and fatty acids. It accelerates glycolysis, the pentose phosphate cycle, and glycogen synthesis in liver. Subunit: Heterodimer of a B chain and an A chain linked by two disulfide bonds. Subcellular Location: Secreted. DISEASE: Defects in INS are the cause of familial hyperproinsulinemia (FHPRI) [MIM:176730]. Defects in INS are a cause of diabetes mellitus insulin-dependent type 2 (IDDM2) [MIM:125852]. IDDM2 is a multifactorial disorder of glucose homeostasis that is characterized by susceptibility to ketoacidosis in the absence of insulin therapy. Clinical fetaures are polydipsia, polyphagia and polyuria which result from hyperglycemia-induced osmotic dieresis and secondary thirst. These derangements result in long-term complications that Defects in INS are a cause of diabetes mellitus permanent neonatal (PNDM) [MIM:606176]. PNDM is a rare form of diabetes distinct from childhood-onset autoimmune diabetes mellitus type 1. It is characterized by insulin-requiring hyperglycemia that is diagnosed within the first months of life. Permanent neonatal diabetes requires lifelong therapy. Similarity: Belongs to the insulin family. SWISS: P01308 Gene ID: 3630 Database links: Entrez Gene: 3630 Human Entrez Gene: 16333 Mouse Entrez Gene: 16334 Mouse Omim: 176730 Human SwissProt: P01308 Human SwissProt: P01325 Mouse Unigene: 272259 Human 
	 
	 胰岛素(Isulin)胰岛素抗体是胰岛细胞分泌得一种激素,可以减底血糖浓度。此抗体和人胰岛素反应,并与大多数哺乳类动物的胰岛素有交叉反应,主要用于胰岛细胞瘤的功能性研究。 | 
| 产品图片 | 
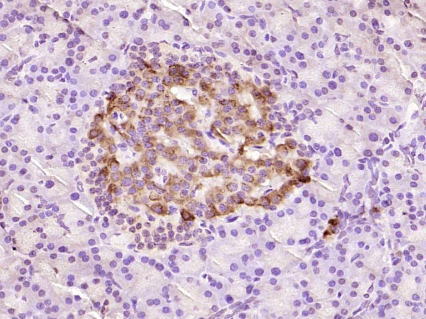
Paraformaldehyde-fixed, paraffin embedded (rat pancreas tissue); Antigen retrieval by boiling in sodium citrate buffer (pH6.0) for 15min; Block endogenous peroxidase by 3% hydrogen peroxide for 20 minutes; Blocking buffer (normal goat serum) at 37°C for 30min; Antibody incubation with (Proinsulin) Polyclonal Antibody, Unconjugated (bs-0056R) at 1:400 overnight at 4°C, followed by a conjugated secondary (sp-0023) for 20 minutes and DAB staining. 
 
Paraformaldehyde-fixed, paraffin embedded (rat pancreas); Antigen retrieval by boiling in sodium citrate buffer (pH6.0) for 15min; Block endogenous peroxidase by 3% hydrogen peroxide for 20 minutes; Blocking buffer (normal goat serum) at 37°C for 30min; Antibody incubation with (Proinsulin) Polyclonal Antibody, Unconjugated (bs-0056R ) at 1:200 overnight at 4°C, followed by operating according to SP Kit(Rabbit) (sp-0023) instructionsand DAB staining.
 
Paraformaldehyde-fixed, paraffin embedded (rat pancreas); Antigen retrieval by boiling in sodium citrate buffer (pH6.0) for 15min; Block endogenous peroxidase by 3% hydrogen peroxide for 20 minutes; Blocking buffer (normal goat serum) at 37°C for 30min; Antibody incubation with (Proinsulin) Polyclonal Antibody, Unconjugated (bs-0056R ) at 1:200 overnight at 4°C, followed by operating according to SP Kit(Rabbit) (sp-0023) instructionsand DAB staining.
 
Tissue/cell: rat pancreas tissue; 4% Paraformaldehyde-fixed and paraffin-embedded; 
Antigen retrieval: citrate buffer ( 0.01M, pH 6.0 ), Boiling bathing for 15min; Block endogenous peroxidase by 3% Hydrogen peroxide for 30min; Blocking buffer (normal goat serum,C-0005) at 37℃ for 20 min; 
Incubation: Anti-Insulin Polyclonal Antibody, Unconjugated(bs-0056R) 1:200, overnight at 4°C, followed by conjugation to the secondary antibody(SP-0023) and DAB(C-0010) staining
 
Mouse Pancreas (C57BL/6 strain) fixed in 4% PFA for 2 hours at RT, then transferred to 30% sucrose overnight at 4°C. Treated with TBS containing 5% goat serum and 0.3% Triton X-100, to block unspecific binding sites and permeabilize cell membranes, for 30min at RT. Antibody (bs-0056R-FITC) diluted at 1:100 in TBS containing 2% goat serum applied and incubated overnight at 4°C. Rinse sections in TBS 2x5min on a shaker, mount section with vectorshield (with DAPI), then cover them with coverslips and seal the edge of the coverslip on the slide with nail polish.
 
Tissue/cell: rat pancreas tissue;4% Paraformaldehyde-fixed and paraffin-embedded; 
Antigen retrieval: citrate buffer ( 0.01M, pH 6.0 ), Boiling bathing for 15min; Blocking buffer (normal goat serum,C-0005) at 37℃ for 20 min; 
Incubation: Anti-Insulin Polyclonal Antibody, Unconjugated(bs-0056R) 1:200, overnight at 4°C; The secondary antibody was Goat Anti-Rabbit IgG, FITC conjugated(bs-0295G-FITC)used at 1:200 dilution for 40 minutes at 37°C. 
 | 
| 1、抗体溶解方法 | |
| 2、抗体修复方式 | |
| 3、常用试剂的配制 | |
| 4、免疫组化操作步骤 | |
| 5、免疫组化问题解答 | |
| 6、Western Blotting 操作步骤 | |
| 7、Western Blotting 问题解答 | |
| 8、关于肽链的设计 | |
| 9、多肽的溶解与保存 | |
| 10、酶标抗体效价测定程序 | |