扫码关注公众号           扫码咨询技术支持           扫码咨询技术服务
  
客服热线:400-901-9800  客服QQ:4009019800  技术答疑  技术支持  质量反馈  关于我们  联系我们
产品中心-北京博奥森生物技术有限公司
首页 > 产品中心 > 一抗 > 产品信息
MEK1 + MEK2 Rabbit pAb (bs-1041R)  
订购热线:400-901-9800
订购邮箱:sales@bioss.com.cn
订购QQ:  400-901-9800
技术支持:techsupport@bioss.com.cn
50ul/1180.00元
100ul/1980.00元
200ul/2800.00元
大包装/询价

产品编号 bs-1041R
英文名称 MEK1 + MEK2 Rabbit pAb
中文名称 丝裂原活化蛋白激酶激酶1抗体
别    名 MEK-1/2; MEK1+2; MEK1/2; MEK-2; Dual specificity mitogen activated protein kinase kinase 1; ERK activator kinase 1; MAP kinase kinase 1; MAP kinase/Erk kinase 1; MAP/Erk kinase 1; Map2K1; MAPK/ERK kinase 1; MAPKK 1; MAPKK1; MEK 1; MEKK1; Mitogen activated protein kinase kinase 1; MKK 1; MKK1; PRKMK 1; PRKMK1; Protein kinase mitogen activated kinase 1(MAP kinase kinase 1); Protein kinase mitogen activated kinase 1; Protein kinase mitogen activated, kinase 1; MP2K1_HUMAN.  
Specific References  (2)     |     bs-1041R has been referenced in 2 publications.
[IF=5.232] Chen F et al. Integrated Analysis of Quantitative Proteome and Transcriptional Profiles Reveals the Dynamic Function of Maternally Expressed Proteins After Parthenogenetic Activation of Buffalo Oocyte.Mol Cell Proteomics. 2018 Oct;17(10):1875-1891.  WB ;  Buffalo.  
[IF=0] Wang et al. Upregulation of progranulin by Helicobacter pylori in human gastric epithelial cells via p38MAPK and MEK1/2 signaling pathway: role in epithelial cell proliferation and migration. (2011) FEMS.Immunol.Med.Microbiol. 63:82-92  WB ;  Human.  
研究领域 肿瘤  细胞生物  免疫学  神经生物学  信号转导  细胞凋亡  激酶和磷酸酶  
抗体来源 Rabbit
克隆类型 Polyclonal
克 隆 号
交叉反应 Human,Rat (predicted: Mouse,Rabbit,Pig,Cow,Chicken,Dog)
产品应用 IHC-P=1:100-500,IHC-F=1:100-500,IF=1:100-500
not yet tested in other applications.
optimal dilutions/concentrations should be determined by the end user.
理论分子量 43 kDa
检测分子量
细胞定位 细胞核 细胞浆 
性    状 Liquid
浓    度 1mg/ml
免 疫 原 KLH conjugated synthetic peptide derived from human MAPKK1: 301-393/393 
亚    型 IgG
纯化方法 affinity purified by Protein A
缓 冲 液 0.01M TBS (pH7.4) with 1% BSA, 0.02% Proclin300 and 50% Glycerol.
保存条件 Shipped at 4℃. Store at -20℃ for one year. Avoid repeated freeze/thaw cycles.
注意事项 This product as supplied is intended for research use only, not for use in human, therapeutic or diagnostic applications.
PubMed PubMed
产品介绍 The protein encoded by this gene is a member of the dual specificity protein kinase family, which acts as a mitogen-activated protein (MAP) kinase kinase. MAP kinases, also known as extracellular signal-regulated kinases (ERKs), act as an integration point for multiple biochemical signals. This protein kinase lies upstream of MAP kinases and stimulates the enzymatic activity of MAP kinases upon wide variety of extra- and intracellular signals. As an essential component of MAP kinase signal transduction pathway, this kinase is involved in many cellular processes such as proliferation, differentiation, transcription regulation and development.

Function:
Dual specificity protein kinase which acts as an essential component of the MAP kinase signal transduction pathway. Binding of extracellular ligands such as growth factors, cytokines and hormones to their cell-surface receptors activates RAS and this initiates RAF1 activation. RAF1 then further activates the dual-specificity protein kinases MAP2K1/MEK1 and MAP2K2/MEK2. Both MAP2K1/MEK1 and MAP2K2/MEK2 function specifically in the MAPK/ERK cascade, and catalyze the concomitant phosphorylation of a threonine and a tyrosine residue in a Thr-Glu-Tyr sequence located in the extracellular signal-regulated kinases MAPK3/ERK1 and MAPK1/ERK2, leading to their activation and further transduction of the signal within the MAPK/ERK cascade. Depending on the cellular context, this pathway mediates diverse biological functions such as cell growth, adhesion, survival and differentiation, predominantly through the regulation of transcription, metabolism and cytoskeletal rearrangements. One target of the MAPK/ERK cascade is peroxisome proliferator-activated receptor gamma (PPARG), a nuclear receptor that promotes differentiation and apoptosis. MAP2K1/MEK1 has been shown to export PPARG from the nucleus. The MAPK/ERK cascade is also involved in the regulation of endosomal dynamics, including lysosome processing and endosome cycling through the perinuclear recycling compartment (PNRC), as well as in the fragmentation of the Golgi apparatus during mitosis.

Subunit:
Found in a complex with at least BRAF, HRAS1, MAP2K1, MAPK3/ERK1 and RGS14. Forms an heterodimer with MAP2K2/MEK2. Forms heterodimers with KSR2 which further dimerize to form tetramers. Interacts with ARBB2, LAMTOR3, MAPK1/ERK2, MORG1 and RAF1. Interacts with PPARG and with isoform 1 of VRK2. Interacts with Yersinia yopJ. Interacts with SGK1. Interacts with BIRC6/bruce.

Subcellular Location:
Cytoplasm, cytoskeleton, centrosome. Cytoplasm, cytoskeleton, spindle pole body. Cytoplasm. Nucleus. Note=Localizes at centrosomes during prometaphase, midzone during anaphase and midbody during telophase/cytokinesis.

Tissue Specificity:
Widely expressed, with extremely low levels in brain.

Post-translational modifications:
Phosphorylation at Ser-218 and Ser-222 by MAP kinase kinase kinases (RAF or MEKK1) positively regulates kinase activity. Also phosphorylated at Thr-292 by MAPK1/ERK2 and at Ser-298 by PAK. MAPK1/ERK2 phosphorylation of Thr-292 occurs in response to cellular adhesion and leads to inhibition of Ser-298 phosphorylation by PAK.

Similarity:
Belongs to the protein kinase superfamily. STE Ser/Thr protein kinase family. MAP kinase kinase subfamily.
Contains 1 protein kinase domain.

SWISS:
P36507

Gene ID:
5605

Database links:

Entrez Gene: 5604 Human

Entrez Gene: 5605 Human

Omim: 176872 Human

Omim: 601263 Human

SwissProt: P36507 Human

SwissProt: Q02750 Human



激酶和磷酸酶(Kinases and Phosphatases)
丝裂原活化蛋白激酶激酶(MAPKK1)又称(MEKK-1)是信号转导途径中的重要成员。
产品图片
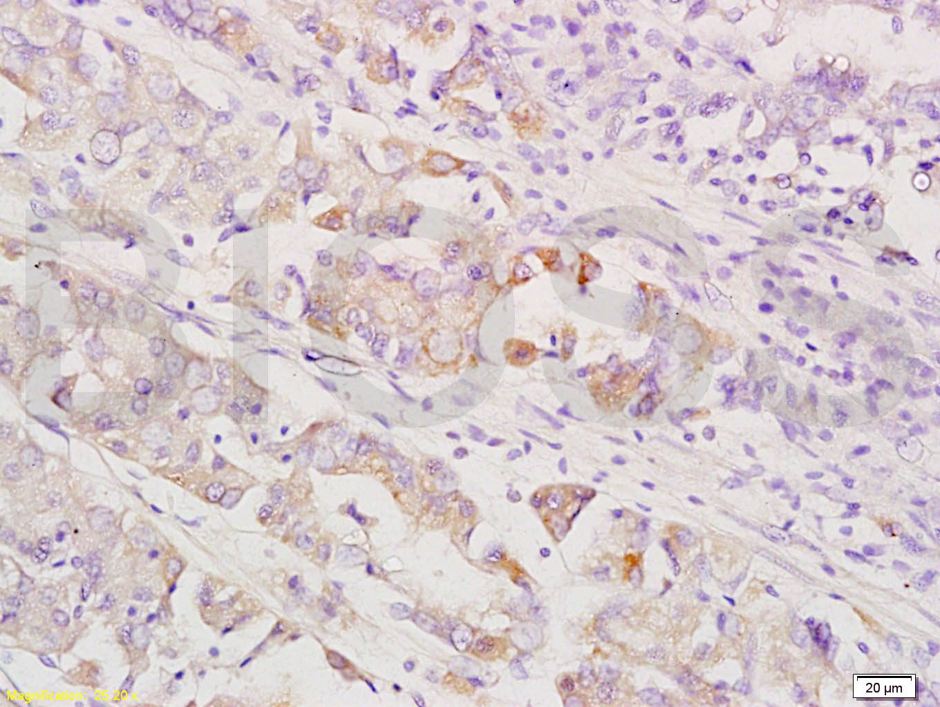
Paraformaldehyde-fixed, paraffin embedded (Rat brain); Antigen retrieval by boiling in sodium citrate buffer (pH6.0) for 15min; Block endogenous peroxidase by 3% hydrogen peroxide for 20 minutes; Blocking buffer (normal goat serum) at 37°C for 30min; Antibody incubation with (MEK1 + MEK2) Polyclonal Antibody, Unconjugated (bs-1041R) at 1:500 overnight at 4°C, followed by a conjugated secondary (sp-0023) for 20 minutes and DAB staining.
Tissue/cell: human gastric carcinoma; 4% Paraformaldehyde-fixed and paraffin-embedded; Antigen retrieval: citrate buffer ( 0.01M, pH 6.0 ), Boiling bathing for 15min; Block endogenous peroxidase by 3% Hydrogen peroxide for 30min; Blocking buffer (normal goat serum,C-0005) at 37℃ for 20 min; Incubation: Anti-MEK1/2(MAPKK1) Polyclonal Antibody, Unconjugated(bs-1041R) 1:200, overnight at 4°C, followed by conjugation to the secondary antibody(SP-0023) and DAB(C-0010) staining
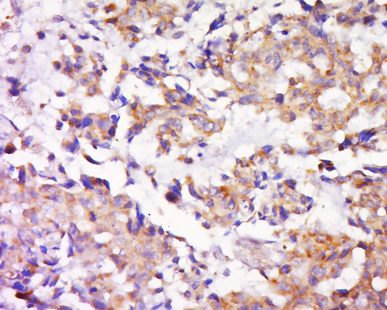
Tissue/cell: human lung carcinoma; 4% Paraformaldehyde-fixed and paraffin-embedded; Antigen retrieval: citrate buffer ( 0.01M, pH 6.0 ), Boiling bathing for 15min; Block endogenous peroxidase by 3% Hydrogen peroxide for 30min; Blocking buffer (normal goat serum,C-0005) at 37℃ for 20 min; Incubation: Anti-Map2K1 Polyclonal Antibody, Unconjugated(bs-1041R) 1:500, overnight at 4°C, followed by conjugation to the secondary antibody(SP-0023) and DAB(C-0010) staining
版权所有 2004-2026 www.bioss.com.cn 北京博奥森生物技术有限公司
通过国际质量管理体系ISO 9001:2015 GB/T 19001-2016    证书编号: 00124Q34771R2M/1100
通过国际医疗器械-质量管理体系ISO 13485:2016 GB/T 42061-2022     证书编号: CQC24QY20047R0M/1100
京ICP备05066980号-1         京公网安备110107000727号