扫码关注公众号           扫码咨询技术支持           扫码咨询技术服务
  
客服热线:400-901-9800  客服QQ:4009019800  技术答疑  技术支持  质量反馈  人才招聘  关于我们  联系我们
产品中心-北京博奥森生物技术有限公司
首页 > 产品中心 > 一抗 > 产品信息
MMP13 Rabbit pAb (bs-0575R)  
订购热线:400-901-9800
订购邮箱:sales@bioss.com.cn
订购QQ:  400-901-9800
技术支持:techsupport@bioss.com.cn
50ul/1180.00元
100ul/1980.00元
200ul/2800.00元
大包装/询价

产品编号 bs-0575R
英文名称 MMP13 Rabbit pAb
中文名称 基质金属蛋白酶13抗体
别    名 CLG3; MANDP1; MDST; MMP-13; Clg; Mmp1; MMP13_HUMAN; MMP13; Matrix metalloproteinase-13 (MMP-13); 3.4.24.-; MMP13_MOUSE; MMP13_RAT; UMRCASE; matrix metallopeptidase 13; matrix metalloproteinase 13 (collagenase 3); collagenase 3  
Specific References  (26)     |     bs-0575R has been referenced in 26 publications.
[IF=10.684] Chen Zhang. et al. The novel hyaluronic acid granular hydrogel attenuates osteoarthritis progression by inhibiting the TLR-2/NF-κB signaling pathway through suppressing cellular senescence. BIOENG TRANSL MED. 2022 Dec;:e10475  IHC ;  Mouse.  
[IF=8.718] Yang, Jiashu. et al. m6A-mediated upregulation of AC008 promotes osteoarthritis progression through the miR-328-3p‒AQP1/ANKH axis. Exp Mol Med. 2021 Nov;:1-12  WB ;  Human.  
[IF=7.31] Li Zheng. et al. Metformin Ameliorates Senescence of Adipose-Derived Mesenchymal Stem Cells and Attenuates Osteoarthritis Progression via the AMPK-Dependent Autophagy Pathway. OXID MED CELL LONGEV. 2022;2022:4620254  IHC ;  Mouse.  
[IF=6.832] Lingan Huang. et al. Zinc finger protein 521 attenuates osteoarthritis via the histone deacetylases 4 in the nucleus. BIOENGINEERED. 2022;13(6):14489-14502  IHC ;  Rat.  
[IF=6.832] Hou, Yonghui. et al. Nonwoven-based gelatin/polycaprolactone membrane loaded with ERK inhibitor U0126 for treatment of tendon defects. Stem Cell Res Ther. 2022 Dec;13(1):1-11  IHC ;  Rat.  
[IF=5.246] Yin Zhuang. et al. Exosomes Secreted by Nucleus Pulposus Stem Cells Derived From Degenerative Intervertebral Disc Exacerbate Annulus Fibrosus Cell Degradation via Let-7b-5p. Front Mol Biosci. 2021; 8: 766115  WB ;  Human.  
[IF=5.195] Qun Lin. et al. Galangin ameliorates osteoarthritis progression by attenuating extracellular matrix degradation in chondrocytes via the activation of PRELP expression. EUR J PHARMACOL. 2022 Dec;936:175347  IHC ;  Rat.  
[IF=5.191] Ling-hua Chang. et al. Cyclooxygenase-2 regulates PTHrP transcription in human articular chondrocytes and is involved in the pathophysiology of osteoarthritis in rats. J Orthop Transl. 2021 Sep;30:16  IHC ;  Rat.  
[IF=5.17] Ou et al. Tumor microenvironment B cells increase bladder cancer metastasis via modulation of the IL-8/androgen receptor (AR)/MMPs signals. (2015) Oncotarge. 6:26065-78  WB ;  Human.  
[IF=5.064] Xia Liu. et al. The adipokine orosomucoid alleviates adipose tissue fibrosis via the AMPK pathway. Acta Pharmacol Sin. 2021 Apr;:1-9  WB ;  Mouse.  
[IF=4.964] Lei Huang. et al. miR-199a-5p Reduces Chondrocyte Hypertrophy and Attenuates Osteoarthritis Progression via the Indian Hedgehog Signal Pathway. J CLIN MED. 2023 Jan;12(4):1313  WB ;  Human.  
[IF=4.734] Yan Sun. et al. Hsa_circ_0045714 induced by eupatilin has a potential to promote fracture healing. Biofactors. 2021 Jan 25  WB ;  Mouse.  
[IF=4.545] Kai Zhao. et al. Rhizoma drynariae total flavonoids inhibit the inflammatory response and matrix degeneration via MAPK pathway in a rat degenerative cervical intervertebral disc model. Biomed Pharmacother. 2021 Jun;138:111466  IHC ;  Rat.  
[IF=4.333] Zhang, Hongfei. et al. Parathyroid Hormone (1–34) Attenuates Cartilage Degradation and Preserves Subchondral Bone Micro-architecture in Rats with Patella Baja-Induced-Patellofemoral Joint Osteoarthritis. Calcified Tissue Int. 2022 Feb;:1-9  IHC ;  Rat.  
[IF=3.82] Luo, Yang, et al. "Alendronate Retards the Progression of Lumbar Intervertebral Disc Degeneration in Ovariectomized Rats." Bone (2013).  IHC-P ;  Rat.  
[IF=3.71] Ma, Chuan, et al. (2014) "Effects of Chronic Sleep Deprivation on the Extracellular Signal-Regulated Kinase Pathway in the Temporomandibular Joint of Rats." PLoS ONE 9(9) (2014):e107544  WB ;  Rat.  
[IF=3.647] Jihang Dai. et al. Glabridin inhibits osteoarthritis development by protecting chondrocytes against oxidative stress, apoptosis and promoting mTOR mediated autophagy. Life Sci. 2021 Mar;268:118992  IHC ;  Rat.  
[IF=3.532] Quan Zhang. et al. Intra-articular injection of human umbilical cord mesenchymal stem cells ameliorates monosodium iodoacetate-induced osteoarthritis in rats by inhibiting cartilage degradation and inflammation. Bone Joint Res. 2021 Mar; 10(3): 226–236  IHC ;  Rat.  
[IF=3.423] Qi-Lin Lu. et al. Macrophage migration inhibitory factor takes part in the lumbar ligamentum flavum hypertrophy. MOL MED REP. 2022 Sep;26(3):1-9  WB ;  Human.  
[IF=2.466] Jinjiang Yang. et al. Platelet-rich plasma attenuates interleukin-1β-induced apoptosis and inflammation in chondrocytes through targeting hypoxia-inducible factor-2α. Tissue Cell. 2021 Sep;:101646  WB ;  rat.  
[IF=2.35] Zhang, Chao-ying, et al. "Hydrogen sulfide suppresses the expression of MMP-8, MMP-13, and TIMP-1 in left ventricles of rats with cardiac volume overload." Acta Pharmacologica Sinica (2013).  Rat.  
[IF=2.276] Zhang Shuwen. et al. Quercetin Alleviates Intervertebral Disc Degeneration by Modulating p38 MAPK-Mediated Autophagy. Biomed Res Int. 2021;2021:6631562  WB ;  Rat.  
[IF=1.777] Xiaoxia Haoet al. Effects of body weight‐supported treadmill training on cartilage‐subchondral bone unit in the rat model of post‐traumatic osteoarthritis. J Orthop Res . 2020 Jun 30.  IHC ;  rat.  
[IF=1.642] Pinar Yuce. et al. Effects of Intra-Articular Resveratrol Injections on Cartilage Destruction and Synovial Inflammation in Experimental Temporomandibular Joint Osteoarthritis. J Oral Maxil Surg. 2021 Feb;79:344.e1  IHC ;  Rat.  
[IF=1.55] Yang, Jinjiang, Ying Lu, and Ai Guo. "Platelet-rich plasma protects rat chondrocytes from interleukin-1β-induced apoptosis." Molecular Medicine Reports 14.5 (2016): 4075-4082.  WB ;  Rat.  
[IF=0.621] Sasono B et al. The Effect of Estrogen on Type 2 Collagen Levels in the Joint Cartilage of Post-Menopausal Murine Subjects. Journal of Hard Tissue Biology.2019 28(3):245-250  IHC-P ;  Rat.  
研究领域 肿瘤  心血管  信号转导  细胞骨架  细胞外基质  
抗体来源 Rabbit
克隆类型 Polyclonal
交叉反应 Human,Mouse,Rat (predicted: Rabbit)
产品应用 WB=1:500-2000,IHC-P=1:100-500,IHC-F=1:100-500,IF=1:100-500
not yet tested in other applications.
optimal dilutions/concentrations should be determined by the end user.
理论分子量 52kDa
检测分子量 60
细胞定位 细胞外基质 分泌型蛋白 
性    状 Liquid
浓    度 1mg/ml
免 疫 原 KLH conjugated synthetic peptide derived from human MMP13: 201-300/471 
亚    型 IgG
纯化方法 affinity purified by Protein A
缓 冲 液 0.01M TBS (pH7.4) with 1% BSA, 0.02% Proclin300 and 50% Glycerol.
保存条件 Shipped at 4℃. Store at -20℃ for one year. Avoid repeated freeze/thaw cycles.
注意事项 This product as supplied is intended for research use only, not for use in human, therapeutic or diagnostic applications.
PubMed PubMed
产品介绍 Proteins of the matrix metalloproteinase (MMP) family are involved in the breakdown of extracellular matrix in normal physiological processes, such as embryonic development, reproduction, and tissue remodeling, as well as in disease processes, such as arthritis and metastasis. Most MMP's are secreted as inactive proproteins which are activated when cleaved by extracellular proteinases. The protein encoded by this gene cleaves type II collagen more efficiently than types I and III. It may be involved in articular cartilage turnover and cartilage pathophysiology associated with osteoarthritis. The gene is part of a cluster of MMP genes which localize to chromosome 11q22.3. [provided by RefSeq, Jul 2008].

Function:
Degrades collagen type I. Does not act on gelatin or casein. Could have a role in tumoral process.

Subcellular Location:
Secreted, extracellular space, extracellular matrix (Probable).

Tissue Specificity:
Seems to be specific to breast carcinomas.

DISEASE:
Defects in MMP13 are the cause of spondyloepimetaphyseal dysplasia Missouri type (SEMD-MO) [MIM:602111]. A bone disease characterized by moderate to severe metaphyseal changes, mild epiphyseal involvement, rhizomelic shortening of the lower limbs with bowing of the femora and/or tibiae, coxa vara, genu varum and pear-shaped vertebrae in childhood. Epimetaphyseal changes improve with age.
Defects in MMP13 are the cause of metaphyseal anadysplasia type 1 (MANDP1) [MIM:602111]. Metaphyseal anadysplasia consists of an abnormal bone development characterized by severe skeletal changes that, in contrast with the progressive course of most other skeletal dysplasias, resolve spontaneously with age. Clinical characteristics are evident from the first months of life and include slight shortness of stature and a mild varus deformity of the legs. Patients attain a normal stature in adolescence and show improvement or complete resolution of varus deformity of the legs and rhizomelic micromelia.

Similarity:
Belongs to the peptidase M10A family.
Contains 4 hemopexin-like domains.

SWISS:
P45452

Gene ID:
4322

Database links:

Entrez Gene: 4322 Human

Entrez Gene: 17386 Mouse

Entrez Gene: 171052 Rat

Entrez Gene: 403763 Dog

Omim: 600108 Human

SwissProt: P45452 Human

SwissProt: P33435 Mouse

SwissProt: P23097 Rat



MMP13基质金属蛋白酶-13可降解Ⅰ、Ⅱ、Ⅲ型胶原,并对Ⅱ型胶原更有效果,主要用于骨与关节病变的研究。
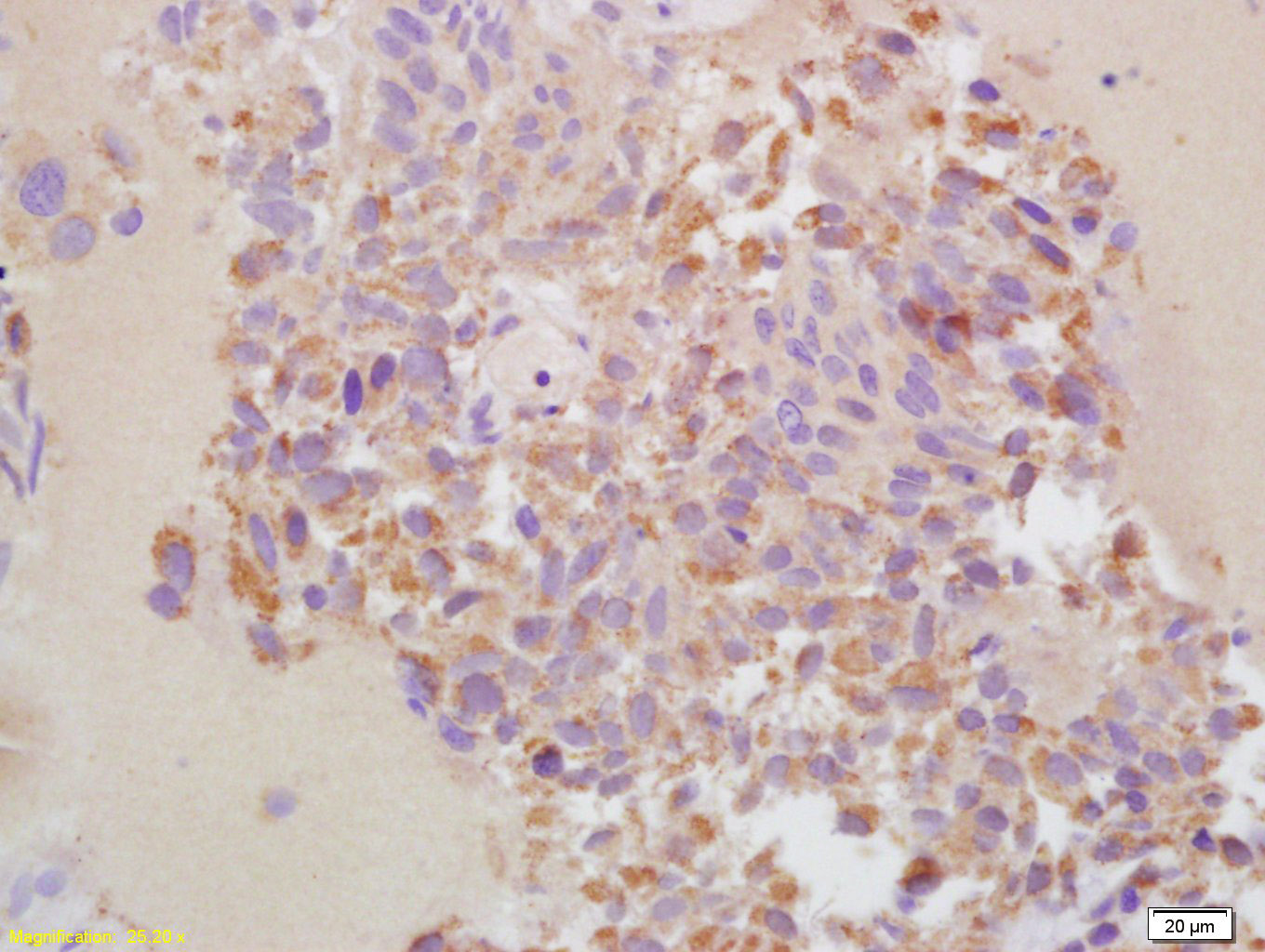
产品图片
25 ug total protein per lane of various lysates (see on figure) probed with MMP13 polyclonal antibody, unconjugated (bs-0575R) at 1:1000 dilution and 4°C overnight incubation. Followed by conjugated secondary antibody incubation at r.t. for 60 min.
Generously provided by Markus Linder from Medical University Vienna as part of the Bioss Discovery Program. Formalin-fixed, paraffin embedded, and decalcified in EDTA mouse bone labeled with Anti-MMP-13 Polyclonal Antibody, Unconjugated (bs-0575R) at 1:200 followed by conjugation to the secondary antibody and DAB staining
Tissue/cell: human bladder carcinoma; 4% Paraformaldehyde-fixed and paraffin-embedded; Antigen retrieval: citrate buffer ( 0.01M, pH 6.0 ), Boiling bathing for 15min; Block endogenous peroxidase by 3% Hydrogen peroxide for 30min; Blocking buffer (normal goat serum,C-0005) at 37℃ for 20 min; Incubation: Anti-MMP-13 Polyclonal Antibody, Unconjugated(bs-0575R) 1:200, overnight at 4°C, followed by conjugation to the secondary antibody(SP-0023) and DAB(C-0010) staining
Tissue/cell: rat articular cartilage; 4% Paraformaldehyde-fixed and paraffin-embedded; Antigen retrieval: citrate buffer ( 0.01M, pH 6.0 ), Boiling bathing for 15min; Block endogenous peroxidase by 3% Hydrogen peroxide for 30min; Blocking buffer (normal goat serum,C-0005) at 37℃ for 20 min; Incubation: Anti-MMP-13 Polyclonal Antibody, Unconjugated(bs-0575R) 1:200, overnight at 4°C, followed by conjugation to the secondary antibody(SP-0023) and DAB(C-0010) staining
版权所有 2004-2026 www.bioss.com.cn 北京博奥森生物技术有限公司
通过国际质量管理体系ISO 9001:2015 GB/T 19001-2016    证书编号: 00124Q34771R2M/1100
通过国际医疗器械-质量管理体系ISO 13485:2016 GB/T 42061-2022     证书编号: CQC24QY20047R0M/1100
京ICP备05066980号-1         京公网安备110107000727号