扫码关注公众号           扫码咨询技术支持           扫码咨询技术服务
  
客服热线:400-901-9800  客服QQ:4009019800  技术答疑  技术支持  质量反馈  人才招聘  关于我们  联系我们
产品中心-北京博奥森生物技术有限公司
首页 > 产品中心 > 一抗 > 产品信息
MMP7 Rabbit pAb (bs-0423R)  
订购热线:400-901-9800
订购邮箱:sales@bioss.com.cn
订购QQ:  400-901-9800
技术支持:techsupport@bioss.com.cn
50ul/1180.00元
100ul/1980.00元
200ul/2800.00元
大包装/询价

产品编号 bs-0423R
英文名称 MMP7 Rabbit pAb
中文名称 基质金属蛋白酶-7抗体
别    名 MMP-7; MPSL1; PUMP-1; MMP7_HUMAN; MMP7; Matrin; Matrix metalloproteinase-7 (MMP-7); Pump-1 protease; Uterine metalloproteinase; 3.4.24.23; PUMP1;   
Specific References  (10)     |     bs-0423R has been referenced in 10 publications.
[IF=9.075] Li, Jun. et al. Immunoproteasome inhibition prevents progression of castration-resistant prostate cancer. BRIT J CANCER. 2023 Jan;:1-14  IHC,IF ;  Mouse,Human.  
[IF=6.832] Wu, Haibin. et al. Dextran sulfate prevents excess aggregation of human pluripotent stem cells in 3D culture by inhibiting ICAM1 expression coupled with down-regulating E-cadherin through activating the Wnt signaling pathway. STEM CELL RES THER. 2022 Dec;13(1):1-20  WB ;  Human.  
[IF=4.848] Wang Chengqin. et al. Silencing of KIF3B Suppresses Breast Cancer Progression by Regulating EMT and Wnt/β-Catenin Signaling. Front Oncol. 2021 Jan;10:3063  WB,IHC ;  Human.  
[IF=4.17] Madka, Venkateshwar, et al. "TP53 modulating agent, CP-31398 enhances antitumor effects of ODC inhibitor in mouse model of urinary bladder transitional cell carcinoma." American Journal of Cancer Research 5.10 (2015): 3030.  WB ;  Mouse.  
[IF=4.162] Wenwen Chen. et al. Identification of Active Compounds and Mechanism of Huangtu Decoction for the Treatment of Ulcerative Colitis by Network Pharmacology Combined with Experimental Verification. Drug Des Dev Ther. 2021; 15: 4125–4140  IHC ;  mouse.  
[IF=3.89] Jeinsen, Niklas, et al. "Biocompatibility of intensified decellularized equine carotid arteries in a rat subcutaneous implantation model and in a human in vitro-model." Tissue Engineering (2017).  IF(ICC) ;  Human.  
[IF=3.86] Wu, Bo. et al. Diagnostic values of plasma matrix metalloproteinase-7, interleukin-8, and gamma-glutamyl transferase in biliary atresia. EUR J PEDIATR. 2022 Sep;:1-9  IF ;  Human.  
[IF=3.73] Zhu, Hongwu, et al. "Activating Transcription Factor 4 Promotes Esophageal Squamous Cell Carcinoma Invasion and Metastasis in Mice and Is Associated with Poor Prognosis in Human Patients." PloS one 9.7 (2014): e103882.  IHC-P ;  Human.  
[IF=2.146] Lv Y et al. TGF-β1 enhanced myocardial differentiation through inhibition of the Wnt/β-catenin pathway with rat BMSCs. Iran J Basic Med Sci . 2020 Aug;23(8):1012-1019.  WB ;  Rat.  
[IF=2.146] Yang Lv. et al. TGF-β1 enhanced myocardial differentiation through inhibition of the Wnt/β-catenin pathway with rat BMSCs. Iran J Basic Med Sci. 2020 Aug; 23(8): 1012–1019  WB ;  Rat.  
研究领域 肿瘤  免疫学  神经生物学  细胞凋亡  
抗体来源 Rabbit
克隆类型 Polyclonal
克 隆 号
交叉反应 Human,Mouse (predicted: Rat,Monkey)
产品应用 WB=1:500-2000,IHC-P=1:50-200,IHC-F=1:50-200,IF=1:50-200,ELISA=1:2000-10000
not yet tested in other applications.
optimal dilutions/concentrations should be determined by the end user.
理论分子量 30 kDa
检测分子量 28
细胞定位 细胞外基质 分泌型蛋白 
性    状 Liquid
浓    度 1mg/ml
免 疫 原 KLH conjugated synthetic peptide derived from human MMP7: 151-250/267 
亚    型 IgG
纯化方法 affinity purified by Protein A
缓 冲 液 0.01M TBS (pH7.4) with 1% BSA, 0.02% Proclin300 and 50% Glycerol.
保存条件 Shipped at 4℃. Store at -20℃ for one year. Avoid repeated freeze/thaw cycles.
注意事项 This product as supplied is intended for research use only, not for use in human, therapeutic or diagnostic applications.
PubMed PubMed
产品介绍 Proteins of the matrix metalloproteinase (MMP) family are involved in the breakdown of extracellular matrix in normal physiological processes, such as embryonic development, reproduction, and tissue remodeling, as well as in disease processes, such as arthritis and metastasis. Most MMP's are secreted as inactive proproteins which are activated when cleaved by extracellular proteinases. The enzyme encoded by this gene degrades proteoglycans, fibronectin, elastin and casein and differs from most MMP family members in that it lacks a conserved C-terminal protein domain. The enzyme is involved in wound healing, and studies in mice suggest that it regulates the activity of defensins in intestinal mucosa. The gene is part of a cluster of MMP genes which localize to chromosome 11q22.3. [provided by RefSeq, Jul 2008]

Function:
Degrades casein, gelatins of types I, III, IV, and V, and fibronectin. Activates procollagenase.

Subcellular Location:
Secreted, extracellular space, extracellular matrix (Probable).

Similarity:
Belongs to the peptidase M10A family.

SWISS:
P09237

Gene ID:
4316

Database links:

Entrez Gene: 4316 Human

Entrez Gene: 17393 Mouse

Entrez Gene: 25335 Rat

Omim: 178990 Human

SwissProt: P09237 Human

SwissProt: Q10738 Mouse

SwissProt: P50280 Rat

Unigene: 2256 Human

Unigene: 4825 Mouse

Unigene: 10282 Rat



合成与降解(Synthesis and Degradation)
MMP7属于MMP基因家族的成员之一,MMP-7又称溶基质蛋白素(Matrilysin),其主要功能为降解粘蛋白、纤维连结蛋白和层粘连蛋白,在肿瘤细胞突破基底膜屏障和浸润、转移中起重要作用。目前主要用于各种恶性肿瘤(如乳腺癌、胃肠道癌、卵巢癌、膀胱癌等)转移、浸润的研究及用于机体各种组织的发育和修复、肿瘤发生发展、炎症反应等过程中作用的研究。
产品图片
25 ug total protein per lane of various lysates (see on figure) probed with MMP7 polyclonal antibody, unconjugated (bs-0423R) at 1:1000 dilution and 4°C overnight incubation. Followed by conjugated secondary antibody incubation at r.t. for 60 min.
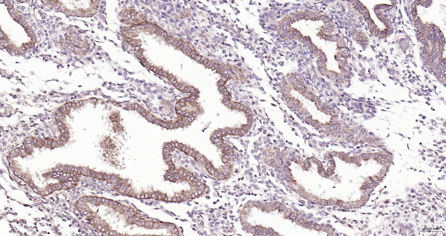
Paraformaldehyde-fixed, paraffin embedded Human Endometrium; Antigen retrieval by boiling in sodium citrate buffer (pH6.0) for 15 min; Antibody incubation with MMP7 Polyclonal Antibody, Unconjugated (bs-0423R) at 1:200 overnight at 4°C, followed by conjugation to the SP Kit (Rabbit, SP-0023) and DAB (C-0010) staining.
Paraformaldehyde-fixed, paraffin embedded Human Prostate; Antigen retrieval by boiling in sodium citrate buffer (pH6.0) for 15 min; Antibody incubation with MMP7 Polyclonal Antibody, Unconjugated (bs-0423R) at 1:200 overnight at 4°C, followed by conjugation to the SP Kit (Rabbit, SP-0023) and DAB (C-0010) staining.
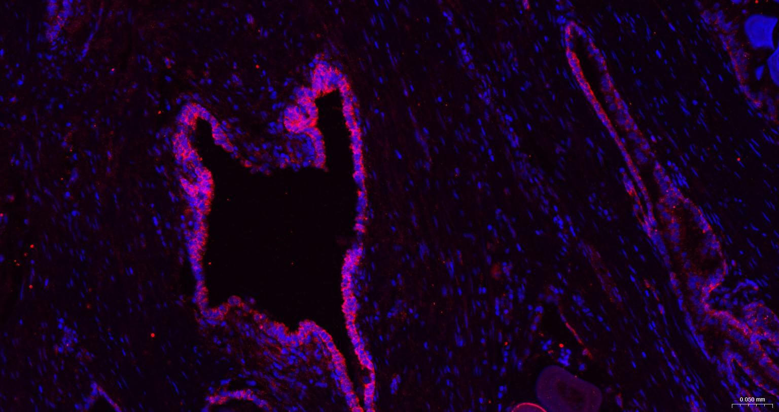
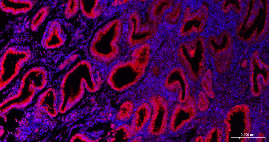
Paraformaldehyde-fixed, paraffin embedded Human Endometrial; Antigen retrieval by boiling in sodium citrate buffer (pH6.0) for 15 min; The section was incubated with MMP7 Polyclonal Antibody, Unconjugated (bs-0423R) at 1:200 overnight at 4°C. Followed by conjugated Goat Anti-Rabbit IgG antibody (Red, bs-0295G-BF594), DAPI (blue, C02-04002) was used to stain the cell nuclei.
Paraformaldehyde-fixed, paraffin embedded Human Prostate; Antigen retrieval by boiling in sodium citrate buffer (pH6.0) for 15 min; The section was incubated with MMP7 Polyclonal Antibody, Unconjugated (bs-0423R) at 1:200 overnight at 4°C. Followed by conjugated Goat Anti-Rabbit IgG antibody (Red, bs-0295G-BF594), DAPI (blue, C02-04002) was used to stain the cell nuclei.
版权所有 2004-2026 www.bioss.com.cn 北京博奥森生物技术有限公司
通过国际质量管理体系ISO 9001:2015 GB/T 19001-2016    证书编号: 00124Q34771R2M/1100
通过国际医疗器械-质量管理体系ISO 13485:2016 GB/T 42061-2022     证书编号: CQC24QY20047R0M/1100
京ICP备05066980号-1         京公网安备110107000727号