扫码关注公众号           扫码咨询技术支持           扫码咨询技术服务
  
客服热线:400-901-9800  客服QQ:4009019800  技术答疑  技术支持  质量反馈  人才招聘  关于我们  联系我们
产品中心-北京博奥森生物技术有限公司
首页 > 产品中心 > 一抗 > 产品信息
Neurocan Rabbit pAb (bs-1055R)  
订购热线:400-901-9800
订购邮箱:sales@bioss.com.cn
订购QQ:  400-901-9800
技术支持:techsupport@bioss.com.cn
50ul/1180.00元
100ul/1980.00元
200ul/2800.00元
大包装/询价

产品编号 bs-1055R
英文名称 Neurocan Rabbit pAb
中文名称 神经粘蛋白抗体
别    名 CSPG3; NCAN_HUMAN; NCAN; Chondroitin sulfate proteoglycan 3; NEUR; NCAN_RAT; 245 kDa early postnatal core glycoprotein;   
Specific References  (1)     |     bs-1055R has been referenced in 1 publications.
[IF=0.96] Yang, L., et al. "Transplantation of Schwann Cells Differentiated from Adipose-derived Stem Cells Modifies Reactive Gliosis after Contusion Brain Injury in Rats." Journal of International Medical Research 39.4 (2011): 1344-1357.  WB ;  Rat.  
研究领域 发育生物学  神经生物学  
抗体来源 Rabbit
克隆类型 Polyclonal
克 隆 号
交叉反应 Mouse,Rat (predicted: Human)
产品应用 IHC-P=1:100-500,IHC-F=1:100-500,IF=1:100-500
not yet tested in other applications.
optimal dilutions/concentrations should be determined by the end user.
理论分子量 140 kDa
细胞定位 分泌型蛋白 
性    状 Liquid
浓    度 1mg/ml
免 疫 原 KLH conjugated synthetic peptide derived from human Neurocan: 1185-1257/1257 
亚    型 IgG
纯化方法 affinity purified by Protein A
缓 冲 液 0.01M TBS (pH7.4) with 1% BSA, 0.02% Proclin300 and 50% Glycerol.
保存条件 Shipped at 4℃. Store at -20℃ for one year. Avoid repeated freeze/thaw cycles.
注意事项 This product as supplied is intended for research use only, not for use in human, therapeutic or diagnostic applications.
PubMed PubMed
产品介绍 Neurocan is the major soluble chondroitin sulfate proteoglycan in the brain. It is thought to play a functional role in axonal growth and guidance and in the establishment of specific neural pathways during embryonic brain development. Neurocan expression in the brain is developmentally regulated. Early on the major form of neurocan consists of a 245kD core protein with approximately two chondroitin sulfate glycosoaminoglycan chains of 22kD each. Later neurocan comprises a 180kD core protein Both forms of neurocan contain only chondroitin 4-sulfate glycosoaminoglycan chains. By virtue of their high expression at sites of neural damage and trauma, chondroitin sulfate proteoglycans, including neurocan, are thought to inhibit successful nerve regeneration. Alternative names: Chondroitin sulfate proteoglycan 3; Cspg3; NCAN; NEUR; Neurocan core protein.

Function:
May modulate neuronal adhesion and neurite growth during development by binding to neural cell adhesion molecules (NG-CAM and N-CAM). Chondroitin sulfate proteoglycan; binds to hyaluronic acid.

Subcellular Location:
Secreted.

Tissue Specificity:
Brain.

Similarity:
Belongs to the aggrecan/versican proteoglycan family.
Contains 1 C-type lectin domain.
Contains 2 EGF-like domains.
Contains 1 Ig-like V-type (immunoglobulin-like) domain.
Contains 2 Link domains.
Contains 1 Sushi (CCP/SCR) domain.

SWISS:
O14594

Gene ID:
1463

Database links:

Entrez Gene: 1463 Human

Entrez Gene: 58982 Rat

Omim: 600826 Human

SwissProt: O14594 Human

SwissProt: P55067 Rat

Unigene: 169047 Human

Unigene: 10177 Rat



神经生物学相关蛋白(Neurobiology)
神经粘蛋白(Neurocan)是由神经元分泌的特异性蛋白质,广泛分布于神经系统,可与神经元细胞膜上特异性受体神经粘附分子和神经元胶质细胞黏附分子结合,调节细胞连接,影响轴突生长.而在中枢神经系统损伤后,Neurocan的表达增加,并抑制轴突生长.Neurocan在中枢神经系统的形成和损伤后的修复都扮演着重要的角色.
产品图片
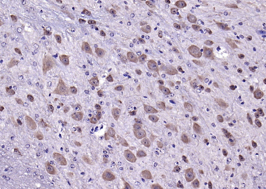
Paraformaldehyde-fixed, paraffin embedded (rat brain); Antigen retrieval by boiling in sodium citrate buffer (pH6.0) for 15min; Block endogenous peroxidase by 3% hydrogen peroxide for 20 minutes; Blocking buffer (normal goat serum) at 37°C for 30min; Antibody incubation with (Neurocan) Polyclonal Antibody, Unconjugated (bs-1055R) at 1:200 overnight at 4°C, followed by operating according to SP Kit(Rabbit) (sp-0023) instructionsand DAB staining.
Positive sample:Paraformaldehyde-fixed, paraffin embedded (mouse brain); Negative sample:Paraformaldehyde-fixed, paraffin embedded (mouse liver); Antigen retrieval by boiling in sodium citrate buffer (pH6.0) for 15min; Block endogenous peroxidase by 3% hydrogen peroxide for 20 minutes; Blocking buffer (normal goat serum) at 37°C for 30min; Antibody incubation with (Neurocan) Polyclonal Antibody, Unconjugated (bs-1055R) at 1:200 overnight at 4°C, followed by operating according to SP Kit(Rabbit) (sp-0023) instructionsand DAB staining.
Positive sample:Paraformaldehyde-fixed, paraffin embedded (rat brain); Negative sample:Paraformaldehyde-fixed, paraffin embedded (mouse liver); Antigen retrieval by boiling in sodium citrate buffer (pH6.0) for 15min; Block endogenous peroxidase by 3% hydrogen peroxide for 20 minutes; Blocking buffer (normal goat serum) at 37°C for 30min; Antibody incubation with (Neurocan) Polyclonal Antibody, Unconjugated (bs-1055R) at 1:200 overnight at 4°C, followed by operating according to SP Kit(Rabbit) (sp-0023) instructionsand DAB staining.
Paraformaldehyde-fixed, paraffin embedded (Mouse brain); Antigen retrieval by boiling in sodium citrate buffer (pH6.0) for 15min; Block endogenous peroxidase by 3% hydrogen peroxide for 20 minutes; Blocking buffer (normal goat serum) at 37°C for 30min; Antibody incubation with (Neurocan) Polyclonal Antibody, Unconjugated (bs-1055R) at 1:400 overnight at 4°C, followed by operating according to SP Kit(Rabbit) (sp-0023) instructionsand DAB staining.
Paraformaldehyde-fixed, paraffin embedded (mouse brain); Antigen retrieval by boiling in sodium citrate buffer (pH6.0) for 15min; Block endogenous peroxidase by 3% hydrogen peroxide for 20 minutes; Blocking buffer (normal goat serum) at 37°C for 30min; Antibody incubation with (Neurocan) Polyclonal Antibody, Unconjugated (bs-1055R) at 1:200 overnight at 4°C, followed by operating according to SP Kit(Rabbit) (sp-0023) instructionsand DAB staining.
Paraformaldehyde-fixed, paraffin embedded (rat cerebellum); Antigen retrieval by boiling in sodium citrate buffer (pH6.0) for 15min; Block endogenous peroxidase by 3% hydrogen peroxide for 20 minutes; Blocking buffer (normal goat serum) at 37°C for 30min; Antibody incubation with (Neurocan) Polyclonal Antibody, Unconjugated (bs-1055R) at 1:200 overnight at 4°C, followed by operating according to SP Kit(Rabbit) (sp-0023) instructionsand DAB staining.
Paraformaldehyde-fixed, paraffin embedded (mouse cerebellum); Antigen retrieval by boiling in sodium citrate buffer (pH6.0) for 15min; Block endogenous peroxidase by 3% hydrogen peroxide for 20 minutes; Blocking buffer (normal goat serum) at 37°C for 30min; Antibody incubation with (Neurocan) Polyclonal Antibody, Unconjugated (bs-1055R) at 1:200 overnight at 4°C, followed by operating according to SP Kit(Rabbit) (sp-0023) instructionsand DAB staining.
版权所有 2004-2026 www.bioss.com.cn 北京博奥森生物技术有限公司
通过国际质量管理体系ISO 9001:2015 GB/T 19001-2016    证书编号: 00124Q34771R2M/1100
通过国际医疗器械-质量管理体系ISO 13485:2016 GB/T 42061-2022     证书编号: CQC24QY20047R0M/1100
京ICP备05066980号-1         京公网安备110107000727号