扫码关注公众号           扫码咨询技术支持           扫码咨询技术服务
  
客服热线:400-901-9800  客服QQ:4009019800  技术答疑  技术支持  质量反馈  人才招聘  关于我们  联系我们
产品中心-北京博奥森生物技术有限公司
首页 > 产品中心 > 一抗 > 产品信息
NADPH oxidase 4 Rabbit pAb (bs-1091R)  
订购热线:400-901-9800
订购邮箱:sales@bioss.com.cn
订购QQ:  400-901-9800
技术支持:techsupport@bioss.com.cn
50ul/1180.00元
100ul/1980.00元
200ul/2800.00元
大包装/询价

产品编号 bs-1091R
英文名称 NADPH oxidase 4 Rabbit pAb
中文名称 NADPH氧化酶4抗体
别    名 KOX; KOX-1; RENOX; NOX4_HUMAN; NOX4; Kidney oxidase-1 (KOX-1); Kidney superoxide-producing NADPH oxidase; Renal NAD(P)H-oxidase; 1.6.3.1; NOX4_MOUSE; Superoxide-generating NADPH oxidase 4; NOX4_RAT;   
Specific References  (21)     |     bs-1091R has been referenced in 21 publications.
[IF=7.963] Meiqiong Wu. et al. Suppression of NADPH oxidase 4 inhibits PM2.5-induced cardiac fibrosis through ROS-P38 MAPK pathway. SCI TOTAL ENVIRON. 2022 Apr;:155558  WB ;  Mouse,Rat.  
[IF=7.793]   WB,IF ;  mouse.  
[IF=7.793] Wang JN et al. Smad3 promotes AKI sensitivity in diabetic mice via interaction with p53 and induction of NOX4-dependent ROS production. Redox Biol. 2020 Feb 26;32:101479.  WB ;  human.  
[IF=7.419] Zheng-Hao Sun. et al. Interruption of TRPC6-NFATC1 signaling inhibits NADPH oxidase 4 and VSMCs phenotypic switch in intracranial aneurysm. BIOMED PHARMACOTHER. 2023 May;161:114480  IHC ;  Human.  
[IF=6.691] Jiang, Wenjuan. et al. Macrophage-derived, LRG1-enriched extracellular vesicles exacerbate aristolochic acid nephropathy in a TGFβR1-dependent manner. 2021 Oct 22  WB ;  Human.  
[IF=6.15] Hu, Shuang. et al. Deletion of p38γ attenuates ethanol consumption- and acetaminophen-induced liver injury in mice through promoting Dlg1. Acta Pharmacol Sin. 2021 Nov;:1-16  WB ;  Mouse.  
[IF=5.307] Xu Zhou. et al. Magnesium isoglycyrrhizinate ameliorates lipopolysaccharide-induced liver injury by upregulating autophagy and inhibiting inflammation via IL-22 expression. BIOORG CHEM. 2022 Nov;128:106034  IHC ;  Mouse.  
[IF=5.243] Peng Ding. et al. BMPER alleviates ischemic brain injury by protecting neurons and inhibiting neuroinflammation via Smad3-Akt-Nrf2 pathway. 2021 Dec 14  WB ;  Mouse.  
[IF=5.237] Wang JN et al. RIPK1 inhibitor Cpd-71 attenuates renal dysfunction in cisplatin-treated mice via attenuating necroptosis, inflammation and oxidative stress. Clin Sci (Lond). 2019 Jul 25;133(14):1609-1627.  WB ;  Mouse&Human.  
[IF=5.168] Guo-Jian Jiang. et al. Carteolol triggers senescence via activation of β-arrestin–ERK–NOX4–ROS pathway in human corneal endothelial cells in vitro. CHEM-BIOL INTERACT. 2023 Apr;:110511  WB ;  Human.  
[IF=4.96] Xue-Qi Liuet al. Rutaecarpine Derivative Cpd-6c Alleviates Acute Kidney Injury by Targeting PDE4B, a Key Enzyme Mediating inflammation in Cisplatin Nephropathy. Biochem Pharmacol . 2020 Oct;180:114132.  WB ;  
[IF=4.196] Takashina Y et al. Sodium Citrate Increases Expression and Flux of Mg Transport Carriers Mediated by Activation of MEK/ERK/c-Fos Pathway in Renal Tubular Epithelial Cells.(2018) Nutrients. Sep 20 ;10(10)  WB&IP ;  Rat.  
[IF=4.102] Yan Li. et al. Inhibition of Nicotinamide adenine dinucleotide phosphate oxidase 4 attenuates cell apoptosis and oxidative stress in a rat model of polycystic ovary syndrome through the activation of Nrf-2/HO-1 signaling pathway. MOL CELL ENDOCRINOL. Mol Cell Endocrinol. 2022 Apr;:111645  WB,IHC ;  Rat.  
[IF=4.101] Jing Zhao. et al. Bruton's tyrosine kinase regulates macrophage‑induced inflammation in the diabetic kidney via NLRP3 inflammasome activation. Int J Mol Med. 2021 Sep;48(3):1-12  WB ;  Mouse.  
[IF=4.061] Wang Dan. et al. The Effect of Aerobic Exercise on the Oxidative Capacity of Skeletal Muscle Mitochondria in Mice with Impaired Glucose Tolerance. J DIABETES RES. 2022;2022:3780156  WB ;  Mouse.  
[IF=3.448] Ma Q et al. Non‐coenzyme role of vitamin B1 in RANKL‐induced osteoclastogenesis and ovariectomy induced osteoporosis. J Cell Biochem. 2020 Feb 26.  WB ;  mouse.  
[IF=3.271] Pu Tian-Tian. et al. Evaluation of coenzyme Q10 (CoQ10) deficiency and therapy in mouse models of cardiomyopathy. J CARDIOVASC PHARM. 2023 Jan;:10.1097/FJC.0000000000001401  WB ;  Mouse.  
[IF=3.265] Wang R et al. Leonurine alleviates LPS-induced myocarditis through suppressing the NF-кB signaling pathway. Toxicology. 2019 Apr 18;422:1-13.  WB ;  Mouse&Rat.  
[IF=2.73] Cheng Yu. et al. Exposure to maternal diabetes induces endothelial dysfunction and hypertension in adult male rat offspring. Microvasc Res. 2021 Jan;133:104076  WB ;  Rat.  
[IF=2.13] Khan, Aslam, Karen Byer, and Saeed R. Khan. "Exposure of Madin-Darby Canine Kidney (MDCK) Cells to Oxalate and Calcium Oxalate Crystals Activates Nicotinamide Adenine Dinucleotide Phosphate (NADPH)-Oxidase." Urology 83.2 (2014): 510-e1.  WB ;  Dog.  
[IF=0] Ulmasov et al. CLIC1 null mice demonstrate a role for CLIC1 in macrophage superoxide production and tissue injury. (2017) Physiol.Rep. 5  IF(ICC) ;  Mouse.  
研究领域 细胞生物  免疫学  信号转导  
抗体来源 Rabbit
克隆类型 Polyclonal
克 隆 号
交叉反应 Human,Mouse,Rat (predicted: Cow,Dog,Horse)
产品应用 WB=1:500-2000,IHC-P=1:100-500,IHC-F=1:100-500,IF=1:100-500,Flow-Cyt=1μg/Test
not yet tested in other applications.
optimal dilutions/concentrations should be determined by the end user.
理论分子量 64 kDa
检测分子量 62
细胞定位 细胞浆 细胞膜 
性    状 Liquid
浓    度 1mg/ml
免 疫 原 KLH conjugated synthetic peptide derived from human Nox-4: 81-180/578 <Cytoplasmic>
亚    型 IgG
纯化方法 affinity purified by Protein A
缓 冲 液 0.01M TBS (pH7.4) with 1% BSA, 0.02% Proclin300 and 50% Glycerol.
保存条件 Shipped at 4℃. Store at -20℃ for one year. Avoid repeated freeze/thaw cycles.
注意事项 This product as supplied is intended for research use only, not for use in human, therapeutic or diagnostic applications.
PubMed PubMed
产品介绍 Nox4 is a renal gp91-phox homolog highly expressed at the site of erythropoietin production in the proximal convoluted tubule epithelial cells of the renal cortex. Nox4 is also expressed in fetal tissues, placenta, glioblastoma and vascular cells. Like gp91-phox, the enzymatic activity of Nox4 produces superoxide anions. In vascular cells, the addition of angiotensin II increases Nox4 expression, which suggests a role for Nox-4 in vascular oxidative stress response.

Function:
Constitutive NADPH oxidase which generates superoxide intracellularly upon formation of a complex with CYBA/p22phox. Regulates signaling cascades probably through phosphatases inhibition. May function as an oxygen sensor regulating the KCNK3/TASK-1 potassium channel and HIF1A activity. May regulate insulin signaling cascade. May play a role in apoptosis, bone resorption and lipolysaccharide-mediated activation of NFKB.

Subunit:
Interacts with, relocalizes and stabilizes CYBA/p22phox. Interacts with TLR4. Interacts with protein disulfide isomerase.

Subcellular Location:
Endoplasmic reticulum membrane; Multi-pass membrane protein. Cell junction, focal adhesion. Cell membrane. Note=May localize to plasma membrane and focal adhesions.

Tissue Specificity:
EXpressed in brain, in all layers of the cerebellum, in pyramidal cells of the Ammon horn and in Purkinje cells (at protein level). Expressed in osteoclasts, leukocytes, kidney, liver and lung.

Similarity:
Contains 1 FAD-binding FR-type domain.
Contains 1 ferric oxidoreductase domain.

SWISS:
Q9NPH5

Gene ID:
50507

Database links:

Entrez Gene: 50507 Human

Entrez Gene: 50490 Mouse

Entrez Gene: 85431 Rat

Omim: 605261 Human

SwissProt: Q9NPH5 Human

SwissProt: Q9JHI8 Mouse

SwissProt: Q924V1 Rat

Unigene: 371036 Human

Unigene: 31748 Mouse

Unigene: 14744 Rat



还原型辅酶烟酰胺腺嘌呤二核苷酸磷酸(NADPH)oxidase 4:还原型辅酶烟胺腺嘌呤二核苷酸(Nicotinamide adenine dinucleotide reduced, NADH)位于线粒体膜内,是细胞能量代谢所必需的辅酶,主要功能是经电子传递链产生ATP。NADH在维持细胞生长、分化和能量代谢中起重要的作用。
产品图片
Sample: Lane 1: Kidney (Mouse) Lysate at 40 ug Lane 2: Lung (Mouse) Lysate at 40 ug Lane 3: Bronchus (Mouse) Lysate at 40 ug Lane 4: Heart (Mouse) Lysate at 40 ug Lane 5: Kidney (Rat) Lysate at 40 ug Lane 6: Lung (Rat) Lysate at 40 ug Lane 7: Bronchus (Rat) Lysate at 40 ug Primary: Anti-NADPH oxidase 4 (bs-1091R) at 1/1000 dilution Secondary: IRDye800CW Goat Anti-Rabbit IgG at 1/20000 dilution Predicted band size: 64 kD Observed band size: 62 kD
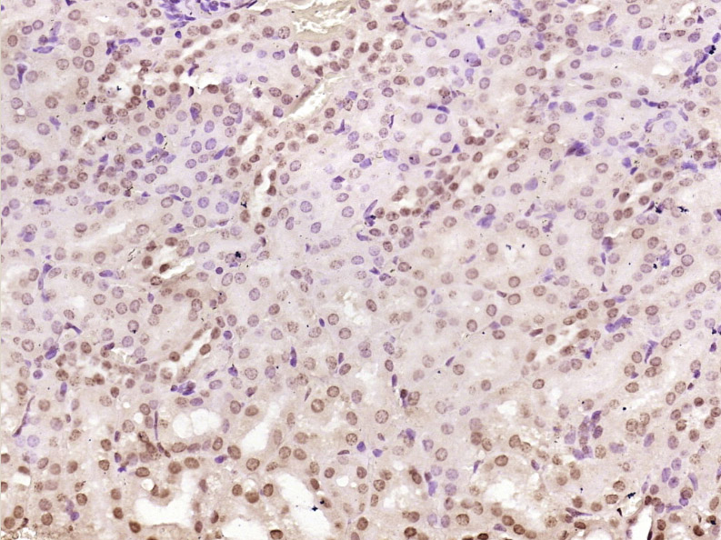
Paraformaldehyde-fixed, paraffin embedded (Human kidney ); Antigen retrieval by boiling in sodium citrate buffer (pH6.0) for 15min; Block endogenous peroxidase by 3% hydrogen peroxide for 20 minutes; Blocking buffer (normal goat serum) at 37°C for 30min; Antibody incubation with (NADPH oxidase 4) Polyclonal Antibody, Unconjugated (bs-1091R) at 1:200 overnight at 4°C, followed by operating according to SP Kit(Rabbit) (sp-0023) instructionsand DAB staining.
Paraformaldehyde-fixed, paraffin embedded (rat heart); Antigen retrieval by boiling in sodium citrate buffer (pH6.0) for 15min; Block endogenous peroxidase by 3% hydrogen peroxide for 20 minutes; Blocking buffer (normal goat serum) at 37°C for 30min; Antibody incubation with (NADPH oxidase 4) Polyclonal Antibody, Unconjugated (bs-1091R) at 1:200 overnight at 4°C, followed by operating according to SP Kit(Rabbit) (sp-0023) instructionsand DAB staining.
Paraformaldehyde-fixed, paraffin embedded (mouse heart); Antigen retrieval by boiling in sodium citrate buffer (pH6.0) for 15min; Block endogenous peroxidase by 3% hydrogen peroxide for 20 minutes; Blocking buffer (normal goat serum) at 37°C for 30min; Antibody incubation with (NADPH oxidase 4) Polyclonal Antibody, Unconjugated (bs-1091R) at 1:200 overnight at 4°C, followed by operating according to SP Kit(Rabbit) (sp-0023) instructionsand DAB staining.
Paraformaldehyde-fixed, paraffin embedded (rat kidney); Antigen retrieval by boiling in sodium citrate buffer (pH6.0) for 15min; Block endogenous peroxidase by 3% hydrogen peroxide for 20 minutes; Blocking buffer (normal goat serum) at 37°C for 30min; Antibody incubation with (NADPH oxidase 4) Polyclonal Antibody, Unconjugated (bs-1091R) at 1:200 overnight at 4°C, followed by operating according to SP Kit(Rabbit) (sp-0023) instructionsand DAB staining.
Paraformaldehyde-fixed, paraffin embedded (mouse kidney); Antigen retrieval by boiling in sodium citrate buffer (pH6.0) for 15min; Block endogenous peroxidase by 3% hydrogen peroxide for 20 minutes; Blocking buffer (normal goat serum) at 37°C for 30min; Antibody incubation with (NADPH oxidase 4) Polyclonal Antibody, Unconjugated (bs-1091R) at 1:200 overnight at 4°C, followed by operating according to SP Kit(Rabbit) (sp-0023) instructionsand DAB staining.
Paraformaldehyde-fixed, paraffin embedded (Mouse kidney); Antigen retrieval by boiling in sodium citrate buffer (pH6.0) for 15min; Block endogenous peroxidase by 3% hydrogen peroxide for 20 minutes; Blocking buffer (normal goat serum) at 37°C for 30min; Antibody incubation with (NADPH oxidase 4) Polyclonal Antibody, Unconjugated (bs-1091R) at 1:400 overnight at 4°C, followed by operating according to SP Kit(Rabbit) (sp-0023) instructions and DAB staining.
Paraformaldehyde-fixed, paraffin embedded (Mouse brain); Antigen retrieval by boiling in sodium citrate buffer (pH6.0) for 15min; Block endogenous peroxidase by 3% hydrogen peroxide for 20 minutes; Blocking buffer (normal goat serum) at 37°C for 30min; Antibody incubation with (NADPH oxidase 4) Polyclonal Antibody, Unconjugated (bs-1091R) at 1:400 overnight at 4°C, followed by operating according to SP Kit(Rabbit) (sp-0023) instructions and DAB staining.
Blank control: Raji. Primary Antibody (green line): Rabbit Anti-NADPH oxidase 4 antibody (bs-1091R) Dilution: 1μg /10^6 cells; Isotype Control Antibody (orange line): Rabbit IgG . Secondary Antibody : Goat anti-rabbit IgG-PE Dilution: 1μg /test. Protocol The cells were fixed with 4% PFA (10min at room temperature)and then permeabilized with PBST for 20 min at room temperature. The cells were then incubated in 5%BSA to block non-specific protein-protein interactions for 30 min at at room temperature .Cells stained with Primary Antibody for 30 min at room temperature. The secondary antibody used for 40 min at room temperature. Acquisition of 20,000 events was performed.
Blank control:293T. Primary Antibody (green line): Rabbit Anti-NADPH oxidase 4 antibody (bs-1091R) Dilution: 1μg /10^6 cells; Isotype Control Antibody (orange line): Rabbit IgG . Secondary Antibody : Goat anti-rabbit IgG-AF488 Dilution: 1μg /test. Protocol The cells were fixed with 4% PFA (10min at room temperature)and then permeabilized with 90% ice-cold methanol for 20 min at -20℃. The cells were then incubated in 5%BSA to block non-specific protein-protein interactions for 30 min at room temperature .Cells stained with Primary Antibody for 30 min at room temperature. The secondary antibody used for 40 min at room temperature. Acquisition of 20,000 events was performed.
版权所有 2004-2026 www.bioss.com.cn 北京博奥森生物技术有限公司
通过国际质量管理体系ISO 9001:2015 GB/T 19001-2016    证书编号: 00124Q34771R2M/1100
通过国际医疗器械-质量管理体系ISO 13485:2016 GB/T 42061-2022     证书编号: CQC24QY20047R0M/1100
京ICP备05066980号-1         京公网安备110107000727号