扫码关注公众号           扫码咨询技术支持           扫码咨询技术服务
  
客服热线:400-901-9800  客服QQ:4009019800  技术答疑  技术支持  质量反馈  人才招聘  关于我们  联系我们
产品中心-北京博奥森生物技术有限公司
首页 > 产品中心 > 一抗 > 产品信息
Nrf2 Rabbit pAb (bs-1074R)  
订购热线:400-901-9800
订购邮箱:sales@bioss.com.cn
订购QQ:  400-901-9800
技术支持:techsupport@bioss.com.cn
50ul/1180.00元
100ul/1980.00元
200ul/2800.00元
大包装/询价

产品编号 bs-1074R
英文名称 Nrf2 Rabbit pAb
中文名称 核因子2相关因子2抗体
别    名 HEBP1; IMDDHH; NRF2; Nrf-2; NF2L2_HUMAN; NFE2L2; NF-E2-related factor 2; NFE2-related factor 2; Nuclear factor, erythroid derived 2, like 2; NFE2 like bZIP transcription factor 2; nuclear factor (erythroid-derived 2)-like 2; nuclear factor, erythroid 2-like 2; nuclear factor, erythroid 2 like 2  
Specific References  (123)     |     bs-1074R has been referenced in 123 publications.
[IF=10.183] Jae Yeon Kim. et al. Increased PRL-1 in bone marrow-derived mesenchymal stem cells triggers anaerobic metabolism via mitochondria in a cholestatic rat model. MOL THER-NUCL ACIDS. 2023 Feb 04  WB ;  Rat.  
[IF=8.724] Jianmei Li. et al. Mn-containing bioceramics inhibit osteoclastogenesis and promote osteoporotic bone regeneration via scavenging ROS. Bioact Mater. 2021 Nov;6:3839  IF ;  Rat.  
[IF=8.44] Li Xiangdong. et al. Hepatocyte SGK1 activated by hepatic ischemia-reperfusion promotes the recurrence of liver metastasis via IL-6/STAT3. J TRANSL MED. 2023 Dec;21(1):1-19  WB ;  Mouse.  
[IF=8.355] Shi S et al. Homologous-targeting biomimetic nanoparticles for photothermal therapy and Nrf2-siRNA amplified photodynamic therapy against oral tongue squamous cell carcinoma. Chemical Engineering Journal, 2020, 124268.  WB ;  Human.  
[IF=7.675] Hee Jung Park. et al. Phosphatase of Regenerating Liver-1 (PRL-1)-Overexpressing Placenta-Derived Mesenchymal Stem Cells Enhance Antioxidant Effects via Peroxiredoxin 3 in TAA-Injured Rat Livers. ANTIOXIDANTS-BASEL. 2023 Jan;12(1):46  WB ;  Rat.  
[IF=7.675] Shuang Wang. et al. Dioscin Protects against Cisplatin-Induced Acute Kidney Injury by Reducing Ferroptosis and Apoptosis through Activating Nrf2/HO-1 Signaling. ANTIOXIDANTS-BASEL. 2022 Dec;11(12):2443  IF ;  Rat.  
[IF=7.675] Xiaoxiao Zou. et al. Milk Fat Globule Membrane Relieves Fatigue via Regulation of Oxidative Stress and Gut Microbiota in BALB/c Mice. ANTIOXIDANTS-BASEL. 2023 Mar;12(3):712  WB ;  Mouse.  
[IF=7.129] Yuan-yuan Wei. et al. Acute liver injury induced by carbon tetrachloride reversal by Gandankang aqueous extracts through nuclear factor erythroid 2-related factor 2 signaling pathway. ECOTOX ENVIRON SAFE. 2023 Feb;251:114527  IHC ;  Mouse.  
[IF=7.129] Rui Sang. et al. Taraxasterol alleviates aflatoxin B1-induced liver damage in broiler chickens via regulation of oxidative stress, apoptosis and autophagy. ECOTOX ENVIRON SAFE. 2023 Feb;251:114546  WB ;  Chicken.  
[IF=7.129] Jie Luo. et al. Copper nanoparticles lead to reproductive dysfunction by affecting key enzymes of ovarian hormone synthesis and metabolism in female rats. ECOTOX ENVIRON SAFE. 2023 Apr;254:114704  WB ;  Rat.  
[IF=7.086] Xue Yang. et al. The heart as a target for deltamethrin toxicity: Inhibition of Nrf2/HO-1 pathway induces oxidative stress and results in inflammation and apoptosis. Chemosphere. 2022 Aug;300:134479  WB ;  Japanese Quails.  
[IF=6.953] Jinshan Wu. et al. Protection by Hosta ventricosa polysaccharides against oxidative damage induced by t-BHP in HepG2 cells via the JNK/Nrf2 pathway. Int J Biol Macromol. 2022 May;208:453  WB ;  Human.  
[IF=6.832] Tao Cai. et al. Long noncoding RNA BBOX1-AS1 promotes the progression of gastric cancer by regulating the miR-361-3p/Mucin 13 signaling axis. BIOENGINEERED. 2022 Jun 05  WB ;  Human.  
[IF=6.792] Jiayi Li. et al. Toxicological effects of deltamethrin on quail cerebrum: Weakened antioxidant defense and enhanced apoptosis. Environ Pollut. 2021 Oct;286:117319  WB ;  Quail.  
[IF=6.543] Zhong Li. et al. The TBX1/miR-193a-3p/TGF-β2 Axis Mediates CHD by Promoting Ferroptosis. Oxid Med Cell Longev. 2022;2022:5130546  WB ;  Human.  
[IF=6.543] Deng Liangjun. et al. The Attenuation of Chronic Ulcerative Colitis by (R)-salbutamol in Repeated DSS-Induced Mice. Oxid Med Cell Longev. 2022;2022:9318721  WB,IF ;  Mouse.  
[IF=6.543] Wang Da-Peng. et al. URB597 and Andrographolide Improve Brain Microvascular Endothelial Cell Permeability and Apoptosis by Reducing Oxidative Stress and Inflammation Associated with Activation of Nrf2 Signaling in Oxygen-Glucose Deprivation. OXID MED CELL LONGEV. 2022;2022:4139330  WB ;  Mouse.  
[IF=6.543] Yuan Jiyan. et al. Vitamin B12 Attenuates Acute Pancreatitis by Suppressing Oxidative Stress and Improving Mitochondria Dysfunction via CBS/SIRT1 Pathway. Oxid Med Cell Longev. 2021;2021:7936316  WB ;  Mouse.  
[IF=6.344] Xin, Liangjing. et al. Four-Octyl itaconate ameliorates periodontal destruction via Nrf2-dependent antioxidant system. INT J ORAL SCI. 2022 May;14(1):1-12  IHC ;  Mouse.  
[IF=6.291] Xiao Wang. et al. Salvia miltiorrhiza polysaccharides alleviates florfenicol induced kidney injury in chicks via inhibiting oxidative stress and apoptosis. Ecotox Environ Safe. 2022 Mar;233:113339  WB ;  Chicken.  
[IF=6.291] Xi Su. et al. Chronic developmental exposure to low-dose ([C8mim][PF6]) induces neurotoxicity and behavioural abnormalities in rats. Ecotox Environ Safe. 2021 Dec;225:112806  WB ;  Rat.  
[IF=6.291] Shaofeng Wu. et al. The neuroprotective effect of curcumin against ATO triggered neurotoxicity through Nrf2 and NF-κB signaling pathway in the brain of ducks. Ecotox Environ Safe. 2021 Dec;228:112965  WB ;  Duck.  
[IF=6.208] Shuang Wang. et al. Paricalcitol Ameliorates Acute Kidney Injury in Mice by Suppressing Oxidative Stress and Inflammation via Nrf2/HO-1 Signaling. INT J MOL SCI. 2023 Jan;24(2):969  IF ;  Mouse.  
[IF=6.208] Yuya Otaka. et al. 5-ALA/SFC Ameliorates Endotoxin-Induced Ocular Inflammation in Rats by Inhibiting the NF-κB Signaling Pathway and Activating the HO-1/Nrf2 Signaling Pathway. INT J MOL SCI. 2023 Jan;24(10):8653  IHC ;  Rat.  
[IF=6.117] Yuanyuan Xing. et al. Artemisia ordosica polysaccharide ameliorated LPS-induced growth inhibition and intestinal injury in broilers through enhancing immune-regulation and antioxidant capacity. J NUTR BIOCHEM. 2023 Feb;:109284  WB ;  Chicken.  
[IF=5.81] Xinyue Chang. et al. The Protective Effect of Trichilia catigua A. Juss. on DEHP-Induced Reproductive System Damage in Male Mice. Front Pharmacol. 2022; 13: 832789  IHC ;  Mouse.  
[IF=5.589] Lv Y et al. Imidacloprid-induced liver fibrosis in quails via activation of the TGF-β1/Smad pathway. Sci Total Environ. 2019 Dec 6;705:135915.  WB ;  Quail.  
[IF=5.552] Huang, Jianjia. et al. Lycium barbarum polysaccharides ameliorate canine acute liver injury by reducing oxidative stress, protecting mitochondrial function, and regulating metabolic pathways. J ZHEJIANG UNIV-SC B. 2023 Feb;24(2):157-171  WB ;  Dog.  
[IF=5.34] Qingwen Hu. et al. β-Caryophyllene suppresses ferroptosis induced by cerebral ischemia reperfusion via activation of the NRF2/HO-1 signaling pathway in MCAO/R rats. PHYTOMEDICINE. 2022 Jul;102:154112  WB ;  Rat.  
[IF=5.27] Lee, Bao-Hong, et al. "Dimerumic acid attenuates receptor for advanced glycation endproduct (RAGE) signal to inhibit inflammation and diabetes mediated by Nrf2 activation and promoted methylglyoxal metabolism into D-lactate acid" Free Radical Biology and Medicine  WB ;  Human.  
研究领域 肿瘤  免疫学  染色质和核信号  合成与降解  
抗体来源 Rabbit
克隆类型 Polyclonal
交叉反应 Human,Mouse,Rat
产品应用 WB=1:1000-5000,IHC-P=1:200-1000,IHC-F=1:200-1000,IF=1:200-1000,Flow-Cyt=1μg/Test,ICC/IF=1:100-500
not yet tested in other applications.
optimal dilutions/concentrations should be determined by the end user.
理论分子量 68kDa
检测分子量 90-110
细胞定位 细胞核 细胞浆 
性    状 Liquid
浓    度 1mg/ml
免 疫 原 KLH conjugated synthetic peptide derived from human Nrf2: 401-500/605 
亚    型 IgG
纯化方法 affinity purified by Protein A
缓 冲 液 0.01M TBS (pH7.4) with 1% BSA, 0.02% Proclin300 and 50% Glycerol.
保存条件 Shipped at 4℃. Store at -20℃ for one year. Avoid repeated freeze/thaw cycles.
注意事项 This product as supplied is intended for research use only, not for use in human, therapeutic or diagnostic applications.
PubMed PubMed
产品介绍 Transcription activator that binds to antioxidant response (ARE) elements in the promoter regions of target genes. Important for the coordinated up-regulation of genes in response to oxidative stress. May be involved in the transcriptional activation of genes of the beta-globin cluster by mediating enhancer activity of hypersensitive site 2 of the beta-globin locus control region.

Function:
Transcription activator that binds to antioxidant response (ARE) elements in the promoter regions of target genes. Important for the coordinated up-regulation of genes in response to oxidative stress. May be involved in the transcriptional activation of genes of the beta-globin cluster by mediating enhancer activity of hypersensitive site 2 of the beta-globin locus control region.

Subunit:
Heterodimer. May bind DNA with an unknown protein. Interacts with KEAP1. Interacts via its leucine-zipper domain with the coiled-coil domain of PMF1.

Subcellular Location:
Cytoplasm, cytosol. Nucleus. Note=Cytosolic under unstressed conditions, translocates into the nucleus upon induction by electrophilic agents.

Tissue Specificity:
Widely expressed. Highest expression in adult muscle, kidney, lung, liver and in fetal muscle.

Post-translational modifications:
Phosphorylation of Ser-40 by PKC in response to oxidative stress dissociates NFE2L2 from its cytoplasmic inhibitor KEAP1, promoting its translocation into the nucleus.

Similarity:
Belongs to the bZIP family. CNC subfamily.
Contains 1 bZIP domain.

SWISS:
Q16236

Gene ID:
4780

Database links:

Entrez Gene: 4780 Human

Omim: 600492 Human

SwissProt: Q16236 Human



转录调节因子(Transcriptin Regulators) 核细胞系因子2相关因子Nrf2,是一种对氧化还原反应敏感的转录因子,可以通过正向促进基因的表达,来转录翻译产生一些抗氧化物,行使着异化解毒的酶类和药物的高效外排泵作用。
有学者认为:核因子2相关因子2蛋白在保护细胞免受环境毒性物质影响方面发挥着极其重要的作用,它指导某些基因促进细胞的防御工事,同时也刺激某些重要解毒酶对毒性物质,如黄曲霉素的解毒和排毒作用。
产品图片
Hela (H) cells were treated with or without MG-132 (10 μM) for 10h, 25 μg total protein per lane of cell lysates (see on figure) probed with Nrf2 polyclonal antibody, unconjugated (bs-1074R) at 1:1000 dilution and 4°C overnight incubation. Followed by conjugated secondary antibody incubation at r.t. for 60 min.
Paraformaldehyde-fixed, paraffin embedded Rat Testicles; Antigen retrieval by boiling in sodium citrate buffer (pH6.0) for 15 min; Antibody incubation with Nrf2 Polyclonal Antibody, Unconjugated (bs-1074R) at 1:200 overnight at 4°C, followed by conjugation to the bs-0295G-HRP and DAB (C-0010) staining.
Paraformaldehyde-fixed, paraffin embedded Human Testicles; Antigen retrieval by boiling in sodium citrate buffer (pH6.0) for 15 min; Antibody incubation with Nrf2 Polyclonal Antibody, Unconjugated (bs-1074R) at 1:200 overnight at 4°C, followed by conjugation to the SP Kit (Rabbit, SP-0023) and DAB (C-0010) staining.
Paraformaldehyde-fixed, paraffin embedded Mouse Testicles; Antigen retrieval by boiling in sodium citrate buffer (pH6.0) for 15 min; Antibody incubation with Nrf2 Polyclonal Antibody, Unconjugated (bs-1074R) at 1:200 overnight at 4°C, followed by conjugation to the SP Kit (Rabbit, SP-0023) and DAB (C-0010) staining.
Paraformaldehyde-fixed, paraffin embedded Rat Liver; Antigen retrieval by boiling in sodium citrate buffer (pH6.0) for 15 min; Antibody incubation with Nrf2 Polyclonal Antibody, Unconjugated (bs-1074R) at 1:200 overnight at 4°C, followed by conjugation to the bs-0295G-HRP and DAB (C-0010) staining.
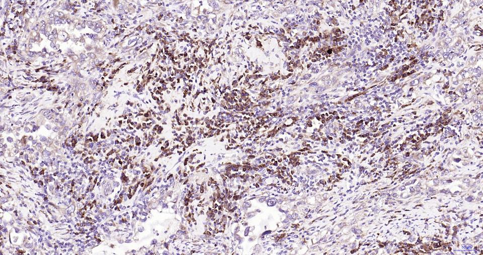
Paraformaldehyde-fixed, paraffin embedded Human Pancreatic Cancer; Antigen retrieval by boiling in sodium citrate buffer (pH6.0) for 15 min; Antibody incubation with Nrf2 Polyclonal Antibody, Unconjugated (bs-1074R) at 1:200 overnight at 4°C, followed by conjugation to the SP Kit (Rabbit, SP-0023) and DAB (C-0010) staining.
Paraformaldehyde-fixed, paraffin embedded Human Breast Cancer; Antigen retrieval by boiling in sodium citrate buffer (pH6.0) for 15 min; Antibody incubation with Nrf2 Polyclonal Antibody, Unconjugated (bs-1074R) at 1:200 overnight at 4°C, followed by conjugation to the SP Kit (Rabbit, SP-0023) and DAB (C-0010) staining.
Paraformaldehyde-fixed, paraffin embedded Human Tonsil; Antigen retrieval by boiling in sodium citrate buffer (pH6.0) for 15 min; Antibody incubation with Nrf2 Polyclonal Antibody, Unconjugated (bs-1074R) at 1:200 overnight at 4°C, followed by conjugation to the SP Kit (Rabbit, SP-0023) and DAB (C-0010) staining.
Paraformaldehyde-fixed, paraffin embedded Human Skin Cancer; Antigen retrieval by boiling in sodium citrate buffer (pH6.0) for 15 min; Antibody incubation with Nrf2 Polyclonal Antibody, Unconjugated (bs-1074R) at 1:200 overnight at 4°C, followed by conjugation to the SP Kit (Rabbit, SP-0023) and DAB (C-0010) staining.
Paraformaldehyde-fixed, paraffin embedded Human Cervical Cancer; Antigen retrieval by boiling in sodium citrate buffer (pH6.0) for 15 min; Antibody incubation with Nrf2 Polyclonal Antibody, Unconjugated (bs-1074R) at 1:200 overnight at 4°C, followed by conjugation to the SP Kit (Rabbit, SP-0023) and DAB (C-0010) staining.
Paraformaldehyde-fixed, paraffin embedded Human Liver Cancer; Antigen retrieval by boiling in sodium citrate buffer (pH6.0) for 15 min; Antibody incubation with Nrf2 Polyclonal Antibody, Unconjugated (bs-1074R) at 1:200 overnight at 4°C, followed by conjugation to the SP Kit (Rabbit, SP-0023) and DAB (C-0010) staining.
Paraformaldehyde-fixed, paraffin embedded Mouse Heart; Antigen retrieval by boiling in sodium citrate buffer (pH6.0) for 15 min; Antibody incubation with Nrf2 Polyclonal Antibody, Unconjugated (bs-1074R) at 1:200 overnight at 4°C, followed by conjugation to the SP Kit (Rabbit, SP-0023) and DAB (C-0010) staining.
Paraformaldehyde-fixed, paraffin embedded Mouse Cerebrum; Antigen retrieval by boiling in sodium citrate buffer (pH6.0) for 15 min; Antibody incubation with Nrf2 Polyclonal Antibody, Unconjugated (bs-1074R) at 1:200 overnight at 4°C, followed by conjugation to the SP Kit (Rabbit, SP-0023) and DAB (C-0010) staining.
Paraformaldehyde-fixed, paraffin embedded Mouse Lung; Antigen retrieval by boiling in sodium citrate buffer (pH6.0) for 15 min; Antibody incubation with Nrf2 Polyclonal Antibody, Unconjugated (bs-1074R) at 1:200 overnight at 4°C, followed by conjugation to the SP Kit (Rabbit, SP-0023) and DAB (C-0010) staining.
4% Paraformaldehyde-fixed Hela(treated with MG-132 (10 μM,10h) )(H) cell; Triton X-100 at r.t. for 20 min; Antibody incubation with (Nrf2) polyclonal Antibody, unconjugated (bs-1074R) 1:100, 90 min at 37°C; followed by conjugated Goat Anti-Rabbit IgG antibody (green, bs-60295G-BF488) at 37°C for 90 min, DAPI (blue, C02-04002) was used to stain the cell nuclei. PBS instead of the primary antibody was used as the blank control.
The HeLa(treated with MG-132 (10 μM,10h) ) (H) cells were fixed with 4% PFA (10 min at r.t.) and then permeabilized with 90% ice-cold methanol for 20 min at -20℃,the cells then were incubated in 5%BSA to block non-specific protein-protein interactions (30 min at r.t.).Primary Antibody (green):Rabbit Anti-Nrf2 antibody (bs-1074R,1:100); Secondary Antibody (white blue): Goat anti-Rabbit IgG-BF488 (bs-60295G-BF488): 1 μg/test. Blank control (black): PBS. Acquisition of 20,000 events was performed.
版权所有 2004-2026 www.bioss.com.cn 北京博奥森生物技术有限公司
通过国际质量管理体系ISO 9001:2015 GB/T 19001-2016    证书编号: 00124Q34771R2M/1100
通过国际医疗器械-质量管理体系ISO 13485:2016 GB/T 42061-2022     证书编号: CQC24QY20047R0M/1100
京ICP备05066980号-1         京公网安备110107000727号