扫码关注公众号           扫码咨询技术支持           扫码咨询技术服务
  
客服热线:400-901-9800  客服QQ:4009019800  技术答疑  技术支持  质量反馈  人才招聘  关于我们  联系我们
产品中心-北京博奥森生物技术有限公司
首页 > 产品中心 > 一抗 > 产品信息
CDKN1A/p21 Rabbit pAb (bs-0741R)  
订购热线:400-901-9800
订购邮箱:sales@bioss.com.cn
订购QQ:  400-901-9800
技术支持:techsupport@bioss.com.cn
50ul/1180.00元
100ul/1980.00元
200ul/2800.00元
大包装/询价

产品编号 bs-0741R
英文名称 CDKN1A/p21 Rabbit pAb
中文名称 p21蛋白抗体
别    名 CAP20; CDKN1; CIP1; MDA-6; P21; SDI1; WAF1; p21CIP1; CDKI; mda6; p21WAF; UV96; CDN1A_HUMAN; CDKN1A; CDK-interacting protein 1; Melanoma differentiation-associated protein 6 (MDA-6); PIC1; CDN1A_MOUSE; Melanoma differentiation-associated protein;   
Specific References  (13)     |     bs-0741R has been referenced in 13 publications.
[IF=7.666] Feng Cui. et al. ML216 Prevents DNA Damage-Induced Senescence by Modulating DBC1–BLM Interaction. CELLS-BASEL. 2023 Jan;12(1):145  IHC ;  Mouse.  
[IF=5.572] Yue Zhang. et al. Dietary selenium excess affected spermatogenesis via DNA damage and telomere-related cell senescence and apoptosis in mice. FOOD CHEM TOXICOL. 2023 Jan;171:113556  WB ;  Mouse.  
[IF=5.223] Keiichi Hiramoto. et al. Bacillus coagulans (species of lactic acid-forming Bacillus bacteria) ameliorates azoxymethane and dextran sodium sulfate-induced colon cancer in mice. J FUNCT FOODS. 2023 Jan;100:105406  IHC ;  Mouse.  
[IF=4.679] Gong Y et al. Smad3 C-terminal phosphorylation site mutation attenuates the hepatoprotective effect of salvianolic acid B against hepatocarcinogenesisFood Chem Toxicol.2021 Jan;147:111912.  WB、IF ;  Mouse.  
[IF=4.258] Yang et al. RPB5-mediating protein is required for the proliferation of hepatocellular carcinoma cells. (2011) J.Biol.Che. 286:11865-74  WB ;  Human.  
[IF=3.776] Fang Wu. et al. Ribosomal protein L31 (RPL31) inhibits the proliferation and migration of gastric cancer cells. HELIYON. 2023 Jan;:e13076  WB ;  Human.  
[IF=3.337] Yunping Lu. et al. Peroxiredoxin1 Knockdown Inhibits Oral Carcinogenesis via Inducing Cell Senescence Dependent on Mitophagy. Oncotargets Ther. 2021; 14: 239–251  IHC ;  Mouse.  
[IF=3.33] Chen, Jie, et al. "Targeting SPARC by lentivirus-mediated RNA interference inhibits cervical cancer cell growth and metastasis." BMC cancer 12.1 (2012): 464.  WB ;  Human.  
[IF=2.776] Niu K et al. Pepsin promotes laryngopharyngeal neoplasia by modulating signaling pathways to induce cell proliferation. PLoS One. 2020 Jan 15;15(1):e0227408.  ICF ;  Human.  
[IF=2.154] Shen S et al. Transcription factor early growth response-1 plays an oncogenic role in salivary gland pleomorphic adenoma. Biotechnol Lett. 2019 Nov 30.  WB ;  Mouse.  
[IF=2.09] Li, Lv, et al. "Lycorine induces cell-cycle arrest in the G0/G1 phase in K562 cells via HDAC inhibition." Cancer cell international 12.1 (2012): 1-6.  WB ;  Human.  
[IF=1.817] Shi L et al. Effects of selenium on the proliferation and apoptosis of sheep spermatogonial stem cells in vitro. Animal Reproduction Science, 2020, 106330.  WB ;  Sheep.  
[IF=0.66] Jindou Jiang, Yong Miao, et al. "DAPT in the control of human hair follicle stem cell proliferation and differentiation." Advances in Dermatology and Allergology/Postȩpy Dermatologii i Alergologii 31.4 (2014): 201.  WB ;  Human.  
研究领域 肿瘤  细胞生物  信号转导  细胞凋亡  细胞周期蛋白  
抗体来源 Rabbit
克隆类型 Polyclonal
克 隆 号
交叉反应 Human,Mouse,Rat (predicted: Cow,Chicken,Dog)
产品应用 IHC-P=1:100-500,IHC-F=1:100-500,IF=1:100-500,Flow-Cyt=1μg/Test ,ICC/IF=1:100-500
not yet tested in other applications.
optimal dilutions/concentrations should be determined by the end user.
理论分子量 18 kDa
细胞定位 细胞核 细胞浆 
性    状 Liquid
浓    度 1mg/ml
免 疫 原 KLH conjugated synthetic peptide derived from human P21: 101-164/164 
亚    型 IgG
纯化方法 affinity purified by Protein A
缓 冲 液 0.01M TBS (pH7.4) with 1% BSA, 0.02% Proclin300 and 50% Glycerol.
保存条件 Shipped at 4℃. Store at -20℃ for one year. Avoid repeated freeze/thaw cycles.
注意事项 This product as supplied is intended for research use only, not for use in human, therapeutic or diagnostic applications.
PubMed PubMed
产品介绍 This gene encodes a potent cyclin-dependent kinase inhibitor. The encoded protein binds to and inhibits the activity of cyclin-cyclin-dependent kinase2 or -cyclin-dependent kinase4 complexes, and thus functions as a regulator of cell cycle progression at G1. The expression of this gene is tightly controlled by the tumor suppressor protein p53, through which this protein mediates the p53-dependent cell cycle G1 phase arrest in response to a variety of stress stimuli. This protein can interact with proliferating cell nuclear antigen, a DNA polymerase accessory factor, and plays a regulatory role in S phase DNA replication and DNA damage repair. This protein was reported to be specifically cleaved by CASP3-like caspases, which thus leads to a dramatic activation of cyclin-dependent kinase2, and may be instrumental in the execution of apoptosis following caspase activation. Mice that lack this gene have the ability to regenerate damaged or missing tissue. Multiple alternatively spliced variants have been found for this gene. [provided by RefSeq, Sep 2015]

Function:
May be the important intermediate by which p53/TP53 mediates its role as an inhibitor of cellular proliferation in response to DNA damage. Binds to and inhibits cyclin-dependent kinase activity, preventing phosphorylation of critical cyclin-dependent kinase substrates and blocking cell cycle progression. Functions in the nuclear localization and assembly of cyclin D-CDK4 complex and promotes its kinase activity towards RB1. At higher stoichiometric ratios, inhibits the kinase activity of the cyclin D-CDK4 complex.

Subunit:
Interacts with HDAC1; the interaction is prevented by competitive binding of C10orf90/FATS to HDAC1 facilitating acetylation and protein stabilization of CDKN1A/p21. Interacts with MKRN1. Interacts with PSMA3. Interacts with PCNA. Component of the ternary complex, cyclin D-CDK4-CDKN1A. Interacts (via its N-terminal domain) with CDK4; the interaction promotes the assembly of the cyclin D-CDK4 complex, its nuclear translocation and promotes the cyclin D-dependent enzyme activity of CDK4. Binding to CDK2 leads to CDK2/cyclin E inactivation at the G1-S phase DNA damage checkpoint, thereby arresting cells at the G1-S transition during DNA repair. Interacts with PIM1.

Subcellular Location:
Cytoplasmic and Nuclear.

Tissue Specificity:
Expressed in all adult tissues, with 5-fold lower levels observed in the brain.

Post-translational modifications:
Phosphorylation of Thr-145 by Akt or of Ser-146 by PKC impairs binding to PCNA. Phosphorylation at Ser-114 by GSK3-beta enhances ubiquitination by the DCX(DTL) complex. Phosphorylation of Thr-145 by PIM2 enhances CDKN1A stability and inhibits cell proliferation. Phosphorylation of Thr-145 by PIM1 results in the relocation of CDKN1A to the cytoplasm and enhanced CDKN1A protein stability.
Ubiquitinated by MKRN1; leading to polyubiquitination and 26S proteasome-dependent degradation. Ubiquitinated by the DCX(DTL) complex, also named CRL4(CDT2) complex, leading to its degradation during S phase or following UV irradiation. Ubiquitination by the DCX(DTL) complex is essential to control replication licensing and is PCNA-dependent: interacts with PCNA via its PIP-box, while the presence of the containing the 'K+4' motif in the PIP box, recruit the DCX(DTL) complex, leading to its degradation.
Acetylation leads to protein stability. Acetylated in vitro on Lys-141, Lys-154, Lys-161 and Lys-163. Deacetylation by HDAC1 is prevented by competitive binding of C10orf90/FATS to HDAC1.

Similarity:
Belongs to the CDI family.

SWISS:
P38936

Gene ID:
1026

Database links:

Entrez Gene: 1026 Human

Entrez Gene: 12575 Mouse

Entrez Gene: 114851 Rat

SwissProt: P38936 Human

SwissProt: P39689 Mouse



p21蛋白的过度表达与肿瘤的类型、恶性度、分期以及病人的预后密切相关。主要用于胃肠道癌肿、乳腺癌、肺癌等恶性肿瘤的研究。
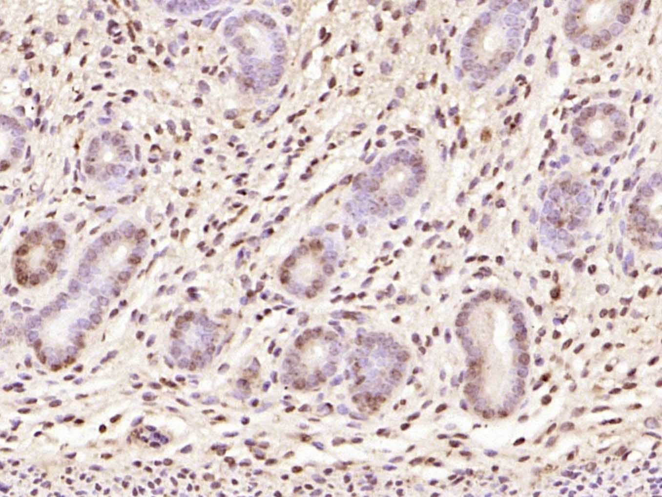
产品图片
Paraformaldehyde-fixed, paraffin embedded (mouse testis); Antigen retrieval by boiling in sodium citrate buffer (pH6.0) for 15min; Block endogenous peroxidase by 3% hydrogen peroxide for 20 minutes; Blocking buffer (normal goat serum) at 37°C for 30min; Antibody incubation with (CDKN1A) Polyclonal Antibody, Unconjugated (bs-0741R) at 1:200 overnight at 4°C, followed by operating according to SP Kit(Rabbit) (sp-0023) instructionsand DAB staining.
Paraformaldehyde-fixed, paraffin embedded (mouse lung); Antigen retrieval by boiling in sodium citrate buffer (pH6.0) for 15min; Block endogenous peroxidase by 3% hydrogen peroxide for 20 minutes; Blocking buffer (normal goat serum) at 37°C for 30min; Antibody incubation with (CDKN1A) Polyclonal Antibody, Unconjugated (bs-0741R) at 1:200 overnight at 4°C, followed by operating according to SP Kit(Rabbit) (sp-0023) instructionsand DAB staining.
Paraformaldehyde-fixed, paraffin embedded (human breast carcinoma); Antigen retrieval by boiling in sodium citrate buffer (pH6.0) for 15min; Block endogenous peroxidase by 3% hydrogen peroxide for 20 minutes; Blocking buffer (normal goat serum) at 37°C for 30min; Antibody incubation with (CDKN1A) Polyclonal Antibody, Unconjugated (bs-0741R) at 1:200 overnight at 4°C, followed by operating according to SP Kit(Rabbit) (sp-0023) instructionsand DAB staining.
Paraformaldehyde-fixed, paraffin embedded (rat testis); Antigen retrieval by boiling in sodium citrate buffer (pH6.0) for 15min; Block endogenous peroxidase by 3% hydrogen peroxide for 20 minutes; Blocking buffer (normal goat serum) at 37°C for 30min; Antibody incubation with (CDKN1A) Polyclonal Antibody, Unconjugated (bs-0741R) at 1:200 overnight at 4°C, followed by operating according to SP Kit(Rabbit) (sp-0023) instructionsand DAB staining.
Paraformaldehyde-fixed, paraffin embedded (rat lung); Antigen retrieval by boiling in sodium citrate buffer (pH6.0) for 15min; Block endogenous peroxidase by 3% hydrogen peroxide for 20 minutes; Blocking buffer (normal goat serum) at 37°C for 30min; Antibody incubation with (CDKN1A) Polyclonal Antibody, Unconjugated (bs-0741R) at 1:200 overnight at 4°C, followed by operating according to SP Kit(Rabbit) (sp-0023) instructionsand DAB staining.
Paraformaldehyde-fixed, paraffin embedded (rat uterus); Antigen retrieval by boiling in sodium citrate buffer (pH6.0) for 15min; Block endogenous peroxidase by 3% hydrogen peroxide for 20 minutes; Blocking buffer (normal goat serum) at 37°C for 30min; Antibody incubation with (CDKN1A) Polyclonal Antibody, Unconjugated (bs-0741R) at 1:200 overnight at 4°C, followed by operating according to SP Kit(Rabbit) (sp-0023) instructionsand DAB staining.
Images provided the Independent Validation Program (badge number 029649)Formalin-fixed and paraffin embedded human testis labeled with Rabbit Anti-CDKN1A Polyclonal Antibody (bs-0741R) at 1:250 overnight at room temperature followed by conjugation to secondary antibody.
Tissue/cell: Human laryngeal squamous cell carcinoma; 4% Paraformaldehyde-fixed and paraffin-embedded; Antigen retrieval: citrate buffer ( 0.01M, pH 6.0 ), Boiling bathing for 15min; Block endogenous peroxidase by 3% Hydrogen peroxide for 30min; Blocking buffer (normal goat serum,C-0005) at 37℃ for 20 min; Incubation: Anti-P21/CDKN1A Polyclonal Antibody, Unconjugated(bs-0741R) 1:200, overnight at 4°C, followed by conjugation to the secondary antibody(SP-0023) and DAB(C-0010) staining
Tissue/cell: HUVEC cell; 4% Paraformaldehyde-fixed; Triton X-100 at room temperature for 20 min; Blocking buffer (normal goat serum, C-0005) at 37°C for 20 min; Antibody incubation with (CDKN1A/p21) Polyclonal Antibody, Unconjugated (bs-0741R) 1:100, 90 minutes at 37°C; followed by a conjugated Goat Anti-Rabbit IgG antibody (bs-0295G-FITC) at 37°C for 90 minutes, DAPI (blue, C02-04002) was used to stain the cell nuclei.
Blank control: 293T. Primary Antibody (green line): Rabbit Anti-CDKN1A/p21 antibody (bs-0741R) Dilution: 1μg /10^6 cells; Isotype Control Antibody (orange line): Rabbit IgG . Secondary Antibody : Goat anti-rabbit IgG-FITC Dilution: 1μg /test. Protocol The cells were fixed with 4% PFA (10min at room temperature)and then permeabilized with 0.1% PBST for 20 min at room temperature. The cells were then incubated in 5%BSA to block non-specific protein-protein interactions for 30 min at room temperature .Cells stained with Primary Antibody for 30 min at room temperature. The secondary antibody used for 40 min at room temperature. Acquisition of 20,000 events was performed.
版权所有 2004-2026 www.bioss.com.cn 北京博奥森生物技术有限公司
通过国际质量管理体系ISO 9001:2015 GB/T 19001-2016    证书编号: 00124Q34771R2M/1100
通过国际医疗器械-质量管理体系ISO 13485:2016 GB/T 42061-2022     证书编号: CQC24QY20047R0M/1100
京ICP备05066980号-1         京公网安备110107000727号