扫码关注公众号           扫码咨询技术支持           扫码咨询技术服务
  
客服热线:400-901-9800  客服QQ:4009019800  技术答疑  技术支持  质量反馈  关于我们  联系我们
产品中心-北京博奥森生物技术有限公司
首页 > 产品中心 > 一抗 > 产品信息
PAR1 Rabbit pAb (bs-0828R)  
订购热线:400-901-9800
订购邮箱:sales@bioss.com.cn
订购QQ:  400-901-9800
技术支持:techsupport@bioss.com.cn
50ul/1180.00元
100ul/1980.00元
200ul/2800.00元
大包装/询价

产品编号 bs-0828R
英文名称 PAR1 Rabbit pAb
中文名称 蛋白酶激活受体-1抗体
别    名 SAR; PAR-1; PAR 1; BXR; CF2R; F2R; HTR; TR; Proteinase-activated receptor 1 precursor; Proteinase activated receptor 1; Thrombin receptor; Coagulation factor II receptor; Prader-Willi/Angelman region-1; Coagulation factor II(thrombin) receptor; PAR1_HUMAN;  
Specific References  (12)     |     bs-0828R has been referenced in 12 publications.
[IF=4.57] Daisuke Noguchi. et al. The impact of dabigatran treatment on sinusoidal protection against hepatic ischemia‐reperfusion injury in mice. 2020 Oct 27  WB ;  Mouse.  
[IF=3.53] Acton, David, and Gareth B. Miles. "Stimulation of Glia Reveals Modulation of Mammalian Spinal Motor Networks by Adenosine." PLOS ONE 10.8 (2015): e0134488.  IHC-P ;  Mouse.  
[IF=3.294] Posthuma JJ et al. Protease-activated receptors are potential regulators in the development of arterial endofibrosis in high-performance athletes. (2018) J Vasc Surg.  IHC ;  Human.  
[IF=3.161] Shavit Stein E et al. Thrombin Inhibition Reduces the Expression of Brain Inflammation Markers upon Systemic LPS Treatment.Neural Plast. 2018 Jun 19;2018:7692182.  WB ;  Mouse.  
[IF=3.01] Liu, Rui, et al. "Identification of FLOT2 as a novel target for microRNA-34a in melanoma." Journal of Cancer Research and Clinical Oncology (2014): 1-14.  WB ;  Human.  
[IF=2.81] Shimon et al. Recovery from trauma induced amnesia correlates with normalization of thrombin activity in the mouse hippocampus. (2017) PLoS.One. 12:e0188524  WB ;  Mouse.  
[IF=2.8] Shimon, Marina Ben, et al. "Recovery from trauma induced amnesia correlates with normalization of thrombin activity in the mouse hippocampus." PloS one 12.11 (2017): e0188524.  WB ;  Mouse.  
[IF=2.454] Thrombin and the Protease-Activated Receptor-1 in Organophosphate-Induced Status Epilepticus V Golderman  WB ;  Mouse.  
[IF=2.31] Fan, Hai-Xia, et al. "Expression of MMP-1/PAR-1 and patterns of invasion in oral squamous cell carcinoma as potential prognostic markers." OncoTargets and therapy 8 (2015): 1619.  IHC-P ;  Human.  
[IF=2.07] Chao G et al. Teprenone ameliorates diclofenac-induced small intestinal injury via inhibiting protease activated receptors 1 and 2 activityBiomarkers.2021 Feb;26(1):38-44.  IHC ;  Rat.  
[IF=1.872] Noguchi D et al. Antiapoptotic Effect by PAR-1 Antagonist Protects Mouse Liver Against Ischemia-Reperfusion Injury. J Surg Res. 2019 Oct 22. pii: S0022-4804(19)30689-4.  WB ;  Mouse&Human.  
[IF=1.54] Akaishi T et al. The Synthetic Curcumin Derivative CNB-001 Attenuates Thrombin-Stimulated Microglial Inflammation by Inhibiting the ERK and p38 MAPK Pathways. Biol Pharm Bull. 2020;43(1):138-144.  WB ;  Rat.  
研究领域 肿瘤  细胞生物  信号转导  激酶和磷酸酶  细胞膜受体  
抗体来源 Rabbit
克隆类型 Polyclonal
克 隆 号
交叉反应 Human,Mouse,Rat
产品应用 WB=1:500-2000,IHC-P=1:100-500,IHC-F=1:100-500,IF=1:100-500
not yet tested in other applications.
optimal dilutions/concentrations should be determined by the end user.
理论分子量 42 kDa
检测分子量
细胞定位 细胞膜 
性    状 Liquid
浓    度 1mg/ml
免 疫 原 KLH conjugated synthetic peptide derived from human PAR1: 251-350/425 <Cytoplasmic>
亚    型 IgG
纯化方法 affinity purified by Protein A
缓 冲 液 0.01M TBS (pH7.4) with 1% BSA, 0.02% Proclin300 and 50% Glycerol.
保存条件 Shipped at 4℃. Store at -20℃ for one year. Avoid repeated freeze/thaw cycles.
注意事项 This product as supplied is intended for research use only, not for use in human, therapeutic or diagnostic applications.
PubMed PubMed
产品介绍 Coagulation factor II receptor is a 7-transmembrane receptor involved in the regulation of thrombotic response. Proteolytic cleavage leads to the activation of the receptor. F2R is a G-protein coupled receptor family member. [provided by RefSeq, Jul 2008]

Function:
High affinity receptor for activated thrombin coupled to G proteins that stimulate phosphoinositide hydrolysis. May play a role in platelets activation and in vascular development.

Subcellular Location:
Cell membrane; Multi-pass membrane protein.

Tissue Specificity:
Platelets and vascular endothelial cells.

Post-translational modifications:
A proteolytic cleavage generates a new N-terminus that functions as a tethered ligand.
Phosphorylated; probably mediating desensitization prior to the uncoupling and internalization of the receptor.

Similarity:
Belongs to the G-protein coupled receptor 1 family.

SWISS:
P25116

Gene ID:
2149

Database links:

Entrez Gene: 2149 Human

Omim: 187930 Human

SwissProt: P56488 Baboon

SwissProt: P25116 Human

Unigene: 482562 Human



PAR蛋白全称为蛋白酶体活化受体(Protease-activated receptors),又称:凝血酶受体(Thrombin Receptor)是独立家族的G蛋白偶联受体, 研究认为与炎症,实体肿瘤等密切相关。
PAR1蛋白是乳腺癌细胞侵润和迁移的必需因子,它是作为基质金属蛋白酶体1(MMP-1)的受体关键性作用,这一研究结果为研制新的抗癌药物提供新的靶点。
产品图片
25 ug total protein per lane of various lysates (see on figure) probed with PAR1 polyclonal antibody, unconjugated (bs-0828R) at 1:1000 dilution and 4°C overnight incubation. Followed by conjugated secondary antibody incubation at r.t. for 60 min.
Paraformaldehyde-fixed, paraffin embedded Human Pancreatic Cancer; Antigen retrieval by boiling in sodium citrate buffer (pH6.0) for 15 min; Antibody incubation with PAR1 Polyclonal Antibody, Unconjugated (bs-0828R) at 1:200 overnight at 4°C, followed by conjugation to the SP Kit (Rabbit, SP-0023) and DAB (C-0010) staining.
Paraformaldehyde-fixed, paraffin embedded Human Placenta; Antigen retrieval by boiling in sodium citrate buffer (pH6.0) for 15 min; Antibody incubation with PAR1 Polyclonal Antibody, Unconjugated (bs-0828R) at 1:200 overnight at 4°C, followed by conjugation to the SP Kit (Rabbit, SP-0023) and DAB (C-0010) staining.
Paraformaldehyde-fixed, paraffin embedded Human Liver; Antigen retrieval by boiling in sodium citrate buffer (pH6.0) for 15 min; Antibody incubation with PAR1 Polyclonal Antibody, Unconjugated (bs-0828R) at 1:200 overnight at 4°C, followed by conjugation to the SP Kit (Rabbit, SP-0023) and DAB (C-0010) staining.
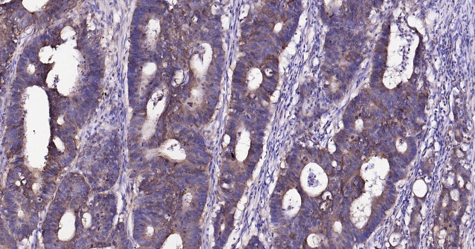
Paraformaldehyde-fixed, paraffin embedded Human Colon Cancer; Antigen retrieval by boiling in sodium citrate buffer (pH6.0) for 15 min; Antibody incubation with PAR1 Polyclonal Antibody, Unconjugated (bs-0828R) at 1:200 overnight at 4°C, followed by conjugation to the SP Kit (Rabbit, SP-0023) and DAB (C-0010) staining.
Paraformaldehyde-fixed, paraffin embedded Rat Kidney; Antigen retrieval by boiling in sodium citrate buffer (pH6.0) for 15 min; Antibody incubation with PAR1 Polyclonal Antibody, Unconjugated (bs-0828R) at 1:200 overnight at 4°C, followed by conjugation to the SP Kit (Rabbit, SP-0023) and DAB (C-0010) staining.
Paraformaldehyde-fixed, paraffin embedded Rat Testicles; Antigen retrieval by boiling in sodium citrate buffer (pH6.0) for 15 min; Antibody incubation with PAR1 Polyclonal Antibody, Unconjugated (bs-0828R) at 1:200 overnight at 4°C, followed by conjugation to the SP Kit (Rabbit, SP-0023) and DAB (C-0010) staining.
版权所有 2004-2026 www.bioss.com.cn 北京博奥森生物技术有限公司
通过国际质量管理体系ISO 9001:2015 GB/T 19001-2016    证书编号: 00124Q34771R2M/1100
通过国际医疗器械-质量管理体系ISO 13485:2016 GB/T 42061-2022     证书编号: CQC24QY20047R0M/1100
京ICP备05066980号-1         京公网安备110107000727号