 
| 产品编号 | bs-1178R | 
| 英文名称 | PAR-2 Rabbit pAb | 
| 中文名称 | 蛋白酶激活受体-2抗体 | 
| 别 名 | Coagulation factor II receptor like 1; Coagulation factor II receptor-like 1; Coagulation factor II thrombin receptor like 1; F2RL1; G protein coupled receptor 11; G-protein coupled receptor 11; GPR11; PAR 2; PAR-2; PAR2_HUMAN; Protease activated receptor 2; Proteinase activated receptor 2; Proteinase-activated receptor 2; Thrombin receptor like 1; Thrombin receptor-like 1. | 
|  | Specific References  (4)     |     bs-1178R has been referenced in 4 publications. 
[IF=2.74] Hiroko Habuchi. et al. Bone marrow derived mast cells injected into the osteoarthritic knee joints of mice induced by sodium monoiodoacetate enhanced spontaneous pain through activation of PAR2 and action of extracellular ATP. Plos One. 2021 Jun;16(6):e0252590  IHC ;  Mouse.   
[IF=2.07] Chao G et al. Teprenone ameliorates diclofenac-induced small intestinal injury via inhibiting protease activated receptors 1 and 2 activityBiomarkers.2021 Feb;26(1):38-44.  IHC ;  Rat.   
[IF=1.863] Hideki Imano. et al. Rivaroxaban Attenuates Right Ventricular Remodeling in Rats with Pulmonary Arterial Hypertension. 2021 Feb 20  WB ;  Human.   
[IF=1.785] Yan Luo. et al. Effects of norepinephrine on colonic tight junction protein expression during heat stress. Exp Ther Med. 2021 May;21(5):1-9  WB,IF,IHC ;  Rat, Human.   | 
| 研究领域 | 肿瘤 细胞膜受体 G蛋白偶联受体 | 
| 抗体来源 | Rabbit | 
| 克隆类型 | Polyclonal | 
| 克 隆 号 | |
| 交叉反应 | Human,Rat (predicted: Mouse,Rabbit) | 
| 产品应用 | WB=1:500-2000,IHC-P=1:100-500,IHC-F=1:100-500,IF=1:100-500 not yet tested in other applications. optimal dilutions/concentrations should be determined by the end user. | 
| 理论分子量 | 40 kDa | 
| 检测分子量 | |
| 细胞定位 | 细胞膜 | 
| 性 状 | Liquid | 
| 浓 度 | 1mg/ml | 
| 免 疫 原 | KLH conjugated synthetic peptide derived from human PAR2: 101-150/397 | 
| 亚 型 | IgG | 
| 纯化方法 | affinity purified by Protein A | 
| 缓 冲 液 | 0.01M TBS (pH7.4) with 1% BSA, 0.02% Proclin300 and 50% Glycerol. | 
| 保存条件 | Shipped at 4℃. Store at -20℃ for one year. Avoid repeated freeze/thaw cycles. | 
| 注意事项 | This product as supplied is intended for research use only, not for use in human, therapeutic or diagnostic applications. | 
| PubMed | PubMed | 
| 产品介绍 | The Proteinase-activated receptor 2 (PAR2) is a member of the proteinase-activated receptor subfamily. It is activated through proteolytic exposure of an occult tethered ligand by trypsin and trypsin-like proteases. This is in contrast to other members of the subfamily which are activated by the protease thrombin. PAR2 has been implicated in acute inflammatory response, asthma, and pain transmission. PAR2 expression has been documented in the periphery. ESTs have been isolated from adrenal, brain, breast, heart/melanocyte/uterus, kidney, lung, and vessel libraries. Coagulation factor II (thrombin) receptor-like 1 (F2RL1)is a member of the large family of 7-transmembrane-region receptors that couple to guanosine-nucleotide-binding proteins. F2RL1 is also a member of the protease-activated receptor family. It is activated by trypsin, but not by thrombin. It is activated by proteolytic cleavage of its extracellular amino terminus. The new amino terminus functions as a tethered ligand and activates the receptor. The F2RL1 gene contains two exons and is widely expressed in human tissues. The predicted protein sequence is 83% identical to the mouse receptor sequence. [provided by RefSeq]. Function: Receptor for trypsin and trypsin-like enzymes coupled to G proteins. Its function is mediated through the activation of several signaling pathways including phospholipase C (PLC), intracellular calcium, mitogen-activated protein kinase (MAPK), I-kappaB kinase/NF-kappaB and Rho. Can also be transactivated by cleaved F2R/PAR1. Involved in modulation of inflammatory responses and regulation of innate and adaptive immunity, and acts as a sensor for proteolytic enzymes generated during infection. Generally is promoting inflammation. Can signal synergistically with TLR4 and probably TLR2 in inflammatory responses and modulates TLR3 signaling. Has a protective role in establishing the endothelial barrier; the activity involves coagulation factor X. Proposed to have a bronchoprotective role in airway epithelium, but also shown to compromise the airway epithelial barrier by interrupting E-cadherin adhesion. Involved in the regulation of vascular tone; activation results in hypotension presumably mediated by vasodilation. Associates with a subset of G proteins alpha subunits such as G alpha-q, G alpha-11, G alpha-14, G alpha-12 and G alpha-13, but probably not with G(o) alpha, G(i) subunit alpha-1 and G(i) subunit alpha-2. However, according to PubMed:21627585 can signal through G(i) subunit alpha. Believed to be a class B receptor which internalizes as a complex with arrestin and traffic with it to endosomal vesicles, presumably as desensitized receptor, for extended periods of time. Mediates inhibition of TNF-alpha stimulated JNK phosphorylation via coupling to G alpha-q/11; the function involves dissociation of RIPK1 and TRADD from TNFR1. Mediates phosphorylation of nuclear factor NF-kappa-B RELA subunit at 'Ser-536'; the function involves IKBKB and is predominantly independent of G proteins. Involved in cellular migration. Involved in cytoskeletal rearrangement and chemotaxis through beta-arrestin-promoted scaffolds; the function is independent of G alpha-q/11 and involves promotion of cofilin dephosphoryltaion and actin filament severing. Induces redistribution of COPS5 from the plasma membrane to the cytosol and activation of the JNK cascade is mediated by COPS5. Involved in the recruitment of leukocytes to the sites of inflammation and is the major PAR receptor capable of modulating eosinophil function such as proinflammatory cytokine secretion, superoxide production and degranulation. During inflammation promotes dendritic cell maturation, trafficking to the lymph nodes and subsequent T-cell activation. Involved in antimicrobial response of innate immnune cells; activation enhances phagocytosis of Gram-positive and killing of Gram-negative bacteria. Acts synergistically with interferon-gamma in enhancing antiviral responses. Implicated in a number of acute and chronic inflammatory diseases such as of the joints, lungs, brain, gastrointestinal tract, periodontium, skin, and vascular systems, and in autoimmune disorders. Subunit: Interacts with TLR4, COPS5 and TMED2. Interacts with GNAQ, GNA11, GNA12, GNA13 and GNA14. Subcellular Location: Cell membrane; Multi-pass membrane protein. Tissue Specificity: Widely expressed in tissues with especially high levels in pancreas, liver, kidney, small intestine, and colon. Moderate expression is detected in many organs, but none in brain or skeletal muscle. Post-translational modifications: A proteolytic cleavage generates a new N-terminus that functions as a tethered ligand. Activating serine proteases include trypsin, mast cell tryptase, coagulation factors VII and Xa, myeloblastin/PRTN3 and membrane-type serine protease 1/ST14. Proposed subsequent cleaveage by serine proteases is leading to receptor deactivation and include neutrophil elastase and cathepsin G. At least in part, implicated proteases are also shown to activate the receptor; the glycosylation status of the receptor is thought to contribute to the difference. In addition to conventional trypsin-like proteases is proposed to be activated by other proteases and glycosidases derived from bacteria, fungi and insects: serine protease allergens such as dust mite Der p3 and Der p9 and mold Pen c13, Porphyromonas gingivalis arginine-specific (trypsin-like) cysteine proteinases called gingipains, Streptomyces griseus exogenous chitinase, and an Alternaria alternata aspartate protease. Cleavage by the Alternaria alternata aspartate protease generates non-conventional processed forms. N-glycosylated and sialylated. Multiple phosphorylated on serine and threonine residues in the cytoplasmic region upon receptor activation; required for receptor desensitization and recruitment of beta-arrestin. Monoubiquitinated by CBL at the plasma membrane and in early endosomes; not required for receptor endocytosis but for translocation to late endosomes or lysosomes. Deubiquitination involves STAMBP and USP8; required for lysosomal trafficking and receptor degradation. Similarity: Belongs to the G-protein coupled receptor 1 family. SWISS: P55085 Gene ID: 2150 Database links: Entrez Gene: 2150 Human Entrez Gene: 14063 Mouse Omim: 600933 Human SwissProt: P55085 Human SwissProt: P55086 Mouse Unigene: 154299 Human Unigene: 1614 Mouse Unigene: 10543 Rat PAR2也是细胞表面受体,通过G蛋白影响细胞功能,PAR蛋白全称为蛋白酶活化受体(Protease-activated receptors),是独立家族的G蛋白偶联受体,经研究认为PAR2与炎症,实体肿瘤等密切相关。 | 
| 产品图片 | 
Sample: 
Lane 1: HepG2 (Human) Cell Lysate at 30 ug
Lane 2: MCF-7 (Human) Cell Lysate at 30 ug
Primary: Anti-PAR-2 (bs-1178R) at 1/500 dilution
Secondary: IRDye800CW Goat Anti-Rabbit IgG at 1/20000 dilution
Predicted band size: 40 kD
Observed band size: 60 kD
 
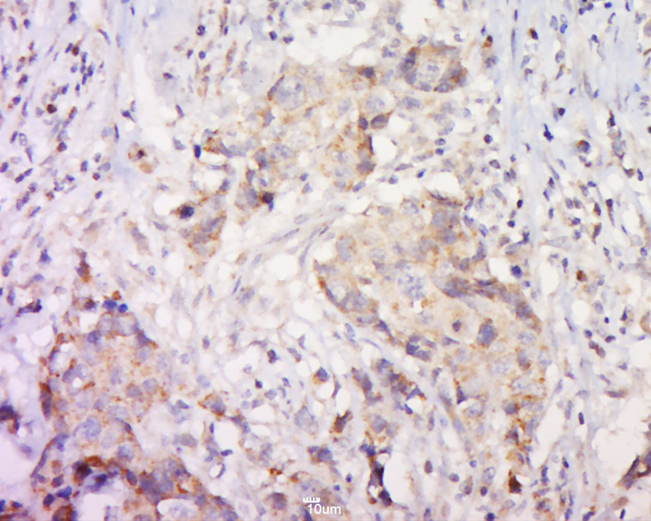
Tissue/cell: human colon carcinoma; 4% Paraformaldehyde-fixed and paraffin-embedded; 
Antigen retrieval: citrate buffer ( 0.01M, pH 6.0 ), Boiling bathing for 15min; Block endogenous peroxidase by 3% Hydrogen peroxide for 30min; Blocking buffer (normal goat serum,C-0005) at 37℃ for 20 min; 
Incubation: Anti-APR-2 Polyclonal Antibody, Unconjugated(bs-1178R) 1:500, overnight at 4°C, followed by conjugation to the secondary antibody(SP-0023) and DAB(C-0010) staining
 
Tissue/cell: rat colitis tissue; 4% Paraformaldehyde-fixed and paraffin-embedded; 
Antigen retrieval: citrate buffer ( 0.01M, pH 6.0 ), Boiling bathing for 15min; Block endogenous peroxidase by 3% Hydrogen peroxide for 30min; Blocking buffer (normal goat serum,C-0005) at 37℃ for 20 min; 
Incubation: Anti-PAR-2 Polyclonal Antibody, Unconjugated(bs-1178R) 1:200, overnight at 4°C, followed by conjugation to the secondary antibody(SP-0023) and DAB(C-0010) staining
 | 
| 1、抗体溶解方法 | |
| 2、抗体修复方式 | |
| 3、常用试剂的配制 | |
| 4、免疫组化操作步骤 | |
| 5、免疫组化问题解答 | |
| 6、Western Blotting 操作步骤 | |
| 7、Western Blotting 问题解答 | |
| 8、关于肽链的设计 | |
| 9、多肽的溶解与保存 | |
| 10、酶标抗体效价测定程序 | |