扫码关注公众号           扫码咨询技术支持           扫码咨询技术服务
  
客服热线:400-901-9800  客服QQ:4009019800  技术答疑  技术支持  质量反馈  关于我们  联系我们
产品中心-北京博奥森生物技术有限公司
首页 > 产品中心 > 一抗 > 产品信息
Sema4C Rabbit pAb (bs-1123R)  
订购热线:400-901-9800
订购邮箱:sales@bioss.com.cn
订购QQ:  400-901-9800
技术支持:techsupport@bioss.com.cn
50ul/1180.00元
100ul/1980.00元
200ul/2800.00元
大包装/询价

产品编号 bs-1123R
英文名称 Sema4C Rabbit pAb
中文名称 臂板蛋白4C抗体
别    名 Semaphorin 4C; Semaf; Semai; Semacl1; AI426163; mKIAA1739; Semaphorin F.FLJ20369; KIAA1739; M-SEMA-F; MGC126382; MGC126383; SEMACL1; SEMAI; SEM4C_HUMAN; M-SEMA-F; S4c; Sema domain, immunoglobulin domain(Ig), transmembrane domain(TM) and short cytoplasmic domain, (semaphorin) 4C; SEMA4C; SEMACL1; SEMAF; SEMAI; Semaphorin-4C; UNQ5855/PRO34487.  
研究领域 神经生物学  干细胞  
抗体来源 Rabbit
克隆类型 Polyclonal
克 隆 号
交叉反应 Human,Mouse,Rat (predicted: Pig,Sheep,Cow,Dog,Horse)
产品应用 WB=1:500-2000,IHC-P=1:100-500,IHC-F=1:100-500,IF=1:100-500
not yet tested in other applications.
optimal dilutions/concentrations should be determined by the end user.
理论分子量 90 kDa
检测分子量
细胞定位 细胞浆 细胞膜 
性    状 Liquid
浓    度 1mg/ml
免 疫 原 KLH conjugated synthetic peptide derived from human Sema4C: 751-833/833 <Cytoplasmic>
亚    型 IgG
纯化方法 affinity purified by Protein A
缓 冲 液 0.01M TBS (pH7.4) with 1% BSA, 0.02% Proclin300 and 50% Glycerol.
保存条件 Shipped at 4℃. Store at -20℃ for one year. Avoid repeated freeze/thaw cycles.
注意事项 This product as supplied is intended for research use only, not for use in human, therapeutic or diagnostic applications.
PubMed PubMed
产品介绍 Members of the semaphorin protein family are involved in axonal guidance during neural development. Semaphorin 5a is thought to have a bifunctional role in axon guidance, exerting both attractive and inhibitory effects on developing axons associated with limbic function. The thrombospondin repeats of Semaphorin 5a physically interact with both heparan sulfate proteoglycans and chondroitin sulfate proteoglycans, inducing attractive and inhibitory guidance cues, respectively. The biological responses to Semaphorin 5a are induced through binding to its high-affinity receptor, plexin B3, triggering intracellular signaling through Met.

Function:
Cell surface receptor for PLXNB2 that plays an important role in cell-cell signaling. PLXNB2 binding promotes downstream activation of RHOA and phosphorylation of ERBB2 at 'Tyr-1248'. Required for normal brain development, axon guidance and cell migration. Probable signaling receptor which may play a role in myogenic differentiation through activation of the stress-activated MAPK cascade.

Subunit:
Interacts (via the PDZ-binding motif) with GIPC (via the PDZ domain) (By similarity). Interacts with NCDN (By similarity). Interacts (via the PDZ-binding motif) with DLG4. Interacts with PLXNB2 (By similarity).

Subcellular Location:
Cell junction, synapse, postsynaptic cell membrane, postsynaptic density; Single-pass type I membrane protein. Cytoplasmic vesicle, secretory vesicle, synaptic vesicle membrane; Single-pass type I membrane protein.

Similarity:
Belongs to the semaphorin family.
Contains 1 Ig-like C2-type (immunoglobulin-like) domain.
Contains 1 PSI domain.
Contains 1 Sema domain.

SWISS:
Q9C0C4

Gene ID:
54910

Database links:

Entrez Gene: 54910 Human

Omim: 604462 Human

SwissProt: Q9C0C4 Human

Unigene: 516220 Human



一般认为:Sema4C及其相关蛋白在神经干细胞中表达比较多。
产品图片
Sample: Lane 1: Human MCF-7 cell lysates Lane 2: Human HeLa cell lysates Primary: Anti-Sema4C (bs-1123R) at 1/1000 dilution Secondary: IRDye800CW Goat Anti-Rabbit IgG at 1/20000 dilution Predicted band size: 90 kDa Observed band size: 115 kDa
Paraformaldehyde-fixed, paraffin embedded (mouse brain); Antigen retrieval by boiling in sodium citrate buffer (pH6.0) for 15min; Block endogenous peroxidase by 3% hydrogen peroxide for 20 minutes; Blocking buffer (normal goat serum) at 37°C for 30min; Antibody incubation with (Sema4C) Polyclonal Antibody, Unconjugated (bs-1123R) at 1:200 overnight at 4°C, followed by operating according to SP Kit(Rabbit) (sp-0023) instructionsand DAB staining.
Paraformaldehyde-fixed, paraffin embedded (rat brain); Antigen retrieval by boiling in sodium citrate buffer (pH6.0) for 15min; Block endogenous peroxidase by 3% hydrogen peroxide for 20 minutes; Blocking buffer (normal goat serum) at 37°C for 30min; Antibody incubation with (Sema4C) Polyclonal Antibody, Unconjugated (bs-1123R) at 1:200 overnight at 4°C, followed by operating according to SP Kit(Rabbit) (sp-0023) instructionsand DAB staining.
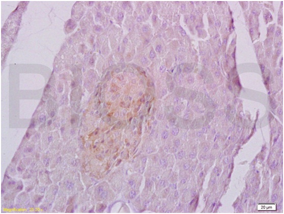
Tissue/cell: rat pancreas tissue; 4% Paraformaldehyde-fixed and paraffin-embedded; Antigen retrieval: citrate buffer ( 0.01M, pH 6.0 ), Boiling bathing for 15min; Block endogenous peroxidase by 3% Hydrogen peroxide for 30min; Blocking buffer (normal goat serum,C-0005) at 37℃ for 20 min; Incubation: Anti-Sema4C Polyclonal Antibody, Unconjugated(bs-1123R) 1:200, overnight at 4°C, followed by conjugation to the secondary antibody(SP-0023) and DAB(C-0010) staining
版权所有 2004-2026 www.bioss.com.cn 北京博奥森生物技术有限公司
通过国际质量管理体系ISO 9001:2015 GB/T 19001-2016    证书编号: 00124Q34771R2M/1100
通过国际医疗器械-质量管理体系ISO 13485:2016 GB/T 42061-2022     证书编号: CQC24QY20047R0M/1100
京ICP备05066980号-1         京公网安备110107000727号