扫码关注公众号           扫码咨询技术支持           扫码咨询技术服务
  
客服热线:400-901-9800  客服QQ:4009019800  技术答疑  技术支持  质量反馈  关于我们  联系我们
产品中心-北京博奥森生物技术有限公司
首页 > 产品中心 > 一抗 > 产品信息
STAT6 Rabbit pAb (bs-1143R)  
订购热线:400-901-9800
订购邮箱:sales@bioss.com.cn
订购QQ:  400-901-9800
技术支持:techsupport@bioss.com.cn
50ul/1180.00元
100ul/1980.00元
200ul/2800.00元
大包装/询价

产品编号 bs-1143R
英文名称 STAT6 Rabbit pAb
中文名称 信号转导和转录激活因子6抗体
别    名 signal transducers and activators of transduction 6; D12S1644; IL 4 STAT; IL4 STAT; Interleukin 4 Induced; Interleukin 4 Induced Transcription Factor IL4 STAT; Signal Transducer And Activator Of Transcription 6 Interleukin 4 Induced; Signal Transducer And Activator Of Transcription 6 Nirs Variant 1; STAT 6; STAT interleukin4 induced; STAT6B; STAT6C; Transcription factor IL 4 STAT.  
Specific References  (2)     |     bs-1143R has been referenced in 2 publications.
[IF=4.716] Jiang Z et al. Calreticulin Blockade Attenuates Murine Acute Lung Injury by Inducing Polarization of M2 Subtype Macrophages. Front Immunol. 2020 Jan 30;11:11.  ICF ;  Mouse.  
[IF=1.918] Jisheng Wang. et al. Biological Network Model of Effect of Chronic Intermittent Hypoxia on Spermatogenesis in Rats. Med Sci Monitor. 2020; 26: e925579-1–e925579-11  WB ;  Rat.  
研究领域 肿瘤  发育生物学  信号转导  细胞凋亡  转录调节因子  表观遗传学  
抗体来源 Rabbit
克隆类型 Polyclonal
克 隆 号
交叉反应 Human,Mouse,Rat (predicted: Dog)
产品应用 IHC-P=1:100-500,IHC-F=1:100-500,IF=1:100-500
not yet tested in other applications.
optimal dilutions/concentrations should be determined by the end user.
理论分子量 94 kDa
检测分子量
细胞定位 细胞核 细胞浆 
性    状 Liquid
浓    度 1mg/ml
免 疫 原 KLH conjugated synthetic peptide derived from human STAT6: 601-700/841 
亚    型 IgG
纯化方法 affinity purified by Protein A
缓 冲 液 0.01M TBS (pH7.4) with 1% BSA, 0.02% Proclin300 and 50% Glycerol.
保存条件 Shipped at 4℃. Store at -20℃ for one year. Avoid repeated freeze/thaw cycles.
注意事项 This product as supplied is intended for research use only, not for use in human, therapeutic or diagnostic applications.
PubMed PubMed
产品介绍 The protein encoded by this gene is a member of the STAT family of transcription factors. In response to cytokines and growth factors, STAT family members are phosphorylated by the receptor associated kinases, and then form homo- or heterodimers that translocate to the cell nucleus where they act as transcription activators. This protein plays a central role in exerting IL4 mediated biological responses. It is found to induce the expression of BCL2L1/BCL-X (L), which is responsible for the anti-apoptotic activity of IL4. Knockout studies in mice suggested the roles of this gene in differentiation of T helper 2 (Th2) cells, expression of cell surface markers, and class switch of immunoglobulins.

Function:
Carries out a dual function: signal transduction and activation of transcription. Involved in interleukin-4 signalling.

Subunit:
Forms a homodimer or a heterodimer with a related family member. Interacts with NCOA1 via its C-terminal LXXLL motif.

Subcellular Location:
Cytoplasm. Nucleus. Translocated into the nucleus in response to phosphorylation.

Post-translational modifications:
Tyrosine phosphorylated following stimulation by IL-4 and IL-3.

Similarity:
Belongs to the transcription factor STAT family.
Contains 1 SH2 domain.

SWISS:
P42226

Gene ID:
6778

Database links:

Entrez Gene: 6778 Human

Entrez Gene: 20852 Mouse

Entrez Gene: 362896 Rat

Omim: 601512 Human

SwissProt: P42226 Human

SwissProt: P52633 Mouse

Unigene: 524518 Human

Unigene: 121721 Mouse

Unigene: 6880 Rat



信息转导和转录激活因子-6(signal transducer and activator of transcription-6,STAT6)是信号转导和转录激活因子(STAT)家族的一员,是一种94kD的蛋白质。它通过JAK-STAT信号转导途径介导细胞因子IL-3、IL-4及IL-13诱导的基因表达,特别是在促进IL-4诱导的MHCⅡ类抗原及免疫球蛋白受体等的表达及Th2细胞和淋巴细胞的发育上发挥了重要的作用。
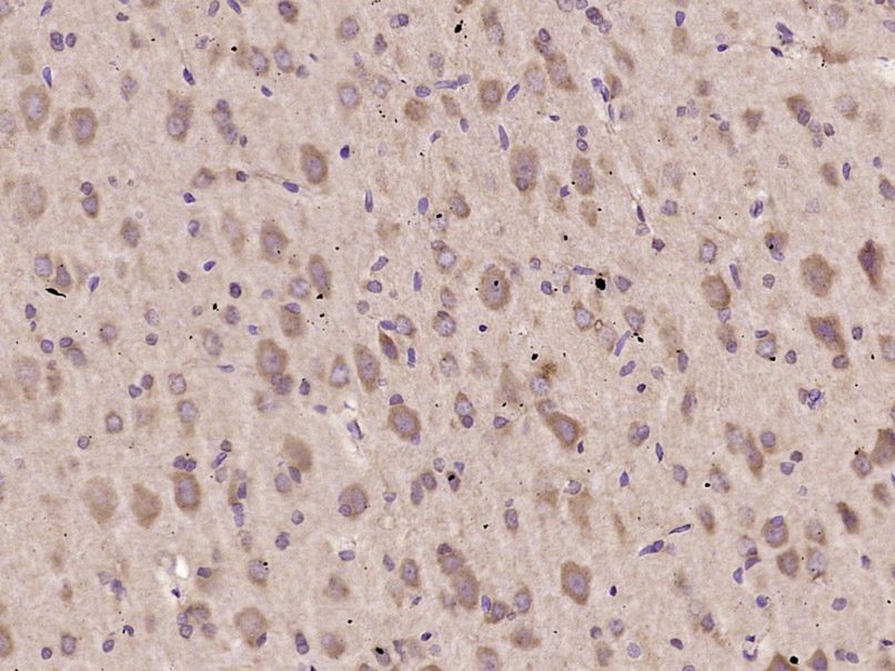
产品图片
Paraformaldehyde-fixed, paraffin embedded (Mouse brain); Antigen retrieval by microwave in sodium citrate buffer (pH6.0) ; Block endogenous peroxidase by 3% hydrogen peroxide for 30 minutes; Blocking buffer (3% BSA) at RT for 30min; Antibody incubation with (STAT6) Polyclonal Antibody, Unconjugated (bs-1143R) at 1:400 overnight at 4℃, followed by conjugation to the secondary antibody (labeled with HRP)and DAB staining.
Paraformaldehyde-fixed, paraffin embedded (Rat brain); Antigen retrieval by microwave in sodium citrate buffer (pH6.0) ; Block endogenous peroxidase by 3% hydrogen peroxide for 30 minutes; Blocking buffer (3% BSA) at RT for 30min; Antibody incubation with (STAT6) Polyclonal Antibody, Unconjugated (bs-1143R) at 1:400 overnight at 4℃, followed by conjugation to the secondary antibody (labeled with HRP)and DAB staining.
Paraformaldehyde-fixed, paraffin embedded (Human brain glioma); Antigen retrieval by microwave in sodium citrate buffer (pH6.0) ; Block endogenous peroxidase by 3% hydrogen peroxide for 30 minutes; Blocking buffer (3% BSA) at RT for 30min; Antibody incubation with (STAT6) Polyclonal Antibody, Unconjugated (bs-1143R) at 1:400 overnight at 4℃, followed by conjugation to the secondary antibody (labeled with HRP)and DAB staining.
Paraformaldehyde-fixed, paraffin embedded (Human stomach); Antigen retrieval by microwave in sodium citrate buffer (pH6.0) ; Block endogenous peroxidase by 3% hydrogen peroxidee for 30 minutes; Blocking buffer (3% BSA) at RT for 30min; Antibody incubation with (STAT6) Polyclonal Antibody, Unconjugated (bs-1143R) at 1:400 overnight at 4℃, followed by conjugation to the secondary antibody (labeled with HRP)and DAB staining.
版权所有 2004-2026 www.bioss.com.cn 北京博奥森生物技术有限公司
通过国际质量管理体系ISO 9001:2015 GB/T 19001-2016    证书编号: 00124Q34771R2M/1100
通过国际医疗器械-质量管理体系ISO 13485:2016 GB/T 42061-2022     证书编号: CQC24QY20047R0M/1100
京ICP备05066980号-1         京公网安备110107000727号