 
| 产品编号 | bs-0066R | 
| 英文名称 | TGF alpha Rabbit pAb | 
| 中文名称 | 转移生长因子α抗体 | 
| 别 名 | EGF like TGF; ETGF; TFGA; TGF A; TGF type 1; TGFA; Transforming growth factor alpha; Transforming growth factor alpha precursor; Wa1; Waved 1; TGFA_HUMAN; TGFα; TGF-α; TGF α. | 
|  | Specific References  (1)     |     bs-0066R has been referenced in 1 publications. 
[IF=5.17] Sun et al. The correlation between microRNA490-3p and TGFα in endometrial carcinoma tumorigenesis and progression. (2016) Oncotarge. 7:9236-49  WB ;  Human.   | 
| 研究领域 | 肿瘤 心血管 信号转导 生长因子和激素 细胞因子 | 
| 抗体来源 | Rabbit | 
| 克隆类型 | Polyclonal | 
| 克 隆 号 | |
| 交叉反应 | Human,Mouse,Rat | 
| 产品应用 | WB=1:500-2000 not yet tested in other applications. optimal dilutions/concentrations should be determined by the end user. | 
| 理论分子量 | 17 kDa | 
| 检测分子量 | |
| 细胞定位 | 细胞膜 细胞外基质 分泌型蛋白 | 
| 性 状 | Liquid | 
| 浓 度 | 1mg/ml | 
| 免 疫 原 | KLH conjugated synthetic peptide derived from mouse TGF-alpha | 
| 亚 型 | IgG | 
| 纯化方法 | affinity purified by Protein A | 
| 缓 冲 液 | 0.01M TBS (pH7.4) with 1% BSA, 0.02% Proclin300 and 50% Glycerol. | 
| 保存条件 | Shipped at 4℃. Store at -20℃ for one year. Avoid repeated freeze/thaw cycles. | 
| 注意事项 | This product as supplied is intended for research use only, not for use in human, therapeutic or diagnostic applications. | 
| PubMed | PubMed | 
| 产品介绍 | This gene encodes a growth factor that is a ligand for the epidermal growth factor receptor, which activates a signaling pathway for cell proliferation, differentiation and development. This protein may act as either a transmembrane-bound ligand or a soluble ligand. This gene has been associated with many types of cancers, and it may also be involved in some cases of cleft lip/palate. Alternatively spliced transcript variants encoding different isoforms have been found for this gene. [provided by RefSeq, Sep 2011]. Function: TGF alpha is a mitogenic polypeptide that is able to bind to the EGF receptor/EGFR and to act synergistically with TGF beta to promote anchorage-independent cell proliferation in soft agar (By similarity). Inhibitor of acid secretion. Inhibitor of aminopyrine uptake in parietal cells (in vitro). Subunit: Interacts with the PDZ domains of MAGI3, SDCBP and SNTA1. The interaction with SDCBP, is required for the targeting to the cell surface. In the endoplasmic reticulum, in its immature form (i.e. with a prosegment and lacking full N-glycosylation), interacts with CNIH. In the Golgi apparatus, may form a complex with CNIH and GORASP2. Interacts (via cytoplasmic C-terminal domain) with NKD2. Subcellular Location: Transforming growth factor alpha: Secreted, extracellular space. Protransforming growth factor alpha: Cell membrane; Single-pass type I membrane protein. Tissue Specificity: Isoform 1, isoform 3 and isoform 4 are expressed in keratinocytes and tumor-derived cell lines. Similarity: Contains 1 EGF-like domain. SWISS: P48030 Gene ID: 21802 Database links: Entrez Gene: 7039 Human Entrez Gene: 21802 Mouse Omim: 190170 Human SwissProt: P01135 Human SwissProt: P48030 Mouse Unigene: 170009 Human Unigene: 137222 Mouse Unigene: 9952 Rat 生长因子和激素 TGFα是一个强有力的只有丝分裂多肽,主要由恶性肿瘤产生。 | 
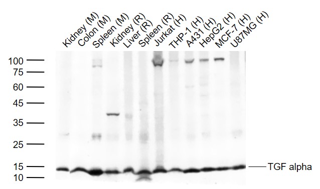
| 产品图片 | 
Sample: 
Lane 1: Mouse Kidney tissue lysates 
Lane 2: Mouse Colon tissue lysates 
Lane 3: Mouse Spleen tissue lysates 
Lane 4: Rat Kidney tissue lysates 
Lane 5: Rat Liver tissue lysates 
Lane 6: Rat Spleen tissue lysates 
Lane 7: Human Jurkat cell lysates 
Lane 8: Human THP-1 cell lysates 
Lane 9: Human A431 cell lysates 
Lane 10: Human HepG2 cell lysates
Lane 11: Human MCF-7 cell lysates 
Lane 12: Human U87MG cell lysates 
Primary: Anti- TGF alpha (bs-0066R) at 1/1000 dilution
Secondary: IRDye800CW Goat Anti-Rabbit IgG at 1/20000 dilution
Predicted band size: 17 kDa
Observed band size: 15 kDa
 | 
| 1、抗体溶解方法 | |
| 2、抗体修复方式 | |
| 3、常用试剂的配制 | |
| 4、免疫组化操作步骤 | |
| 5、免疫组化问题解答 | |
| 6、Western Blotting 操作步骤 | |
| 7、Western Blotting 问题解答 | |
| 8、关于肽链的设计 | |
| 9、多肽的溶解与保存 | |
| 10、酶标抗体效价测定程序 | |