扫码关注公众号           扫码咨询技术支持           扫码咨询技术服务
  
客服热线:400-901-9800  客服QQ:4009019800  技术答疑  技术支持  质量反馈  关于我们  联系我们
产品中心-北京博奥森生物技术有限公司
首页 > 产品中心 > 一抗 > 产品信息
SPAG4L/SRG4 Rabbit pAb (bs-1220R)  
订购热线:400-901-9800
订购邮箱:sales@bioss.com.cn
订购QQ:  400-901-9800
技术支持:techsupport@bioss.com.cn
50ul/1180.00元
100ul/1980.00元
200ul/2800.00元
大包装/询价

产品编号 bs-1220R
英文名称 SPAG4L/SRG4 Rabbit pAb
中文名称 生精细胞凋亡相关基因4抗体
别    名 spermatogenesis-related gene 4; testis and spermatogenesis related gene 4; dJ726C3.1; MGC33594; Sperm associated antigen 4 like protein; Testis and spermatogenesis related gene 4 protein; Testis and spermatogenesis related gene 4; SUN5; SPAG4L; TSARG4; 1700021O15Rik; Riken cDNA 1700021o15; SPAG4L-2; SRG4; Sad1 and UNC84 domain containing 5.  
研究领域 肿瘤  发育生物学  神经生物学  信号转导  细胞凋亡  转录调节因子  
抗体来源 Rabbit
克隆类型 Polyclonal
克 隆 号
交叉反应 Mouse,Rat (predicted: Human)
产品应用 WB=1:500-2000,IHC-P=1:100-500,IHC-F=1:100-500,IF=1:100-500
not yet tested in other applications.
optimal dilutions/concentrations should be determined by the end user.
理论分子量 42 kDa
检测分子量
细胞定位 细胞核 细胞浆 
性    状 Liquid
浓    度 1mg/ml
免 疫 原 KLH conjugated synthetic peptide derived from human TSARG4: 161-275/379 
亚    型 IgG
纯化方法 affinity purified by Protein A
缓 冲 液 0.01M TBS (pH7.4) with 1% BSA, 0.02% Proclin300 and 50% Glycerol.
保存条件 Shipped at 4℃. Store at -20℃ for one year. Avoid repeated freeze/thaw cycles.
注意事项 This product as supplied is intended for research use only, not for use in human, therapeutic or diagnostic applications.
PubMed PubMed
产品介绍 Testis and spermatogenesis related gene 4 may play a role in the development of cryptorchidism, the failure of the testis to descend from the abdomen into the scrotum [RGD] [TISSUE SPECIFICITY] Testis.

Tissue Specificity:
Widely expressed.

Similarity:
Contains 1 SUN domain.

SWISS:
Q8TC36

Gene ID:
140732

Database links:

Entrez Gene: 140732 Human

NCBI: NP_542406 Human

SwissProt: Q8TC36 Human



生精细胞凋亡相关基因TSARG4与精原细胞的生成和凋亡有关。
产品图片
Sample:Brain(Mouse) Lysate at 30 ug Primary: Anti-SPAG4L (bs-1220R) at 1:300 dilution; Secondary: HRP conjugated Goat-Anti-Rabbit IgG(bse-0295G-HRP) at 1: 5000 dilution; Predicted band size : 42 kD Observed band size : 42 kD
Tissue/cell: Rat testis tissue; 4% Paraformaldehyde-fixed and paraffin-embedded; Antigen retrieval: citrate buffer ( 0.01M, pH 6.0 ), Boiling bathing for 15min; Block endogenous peroxidase by 3% Hydrogen peroxide for 30min; Blocking buffer (normal goat serum,C-0005) at 37℃ for 20 min; Incubation: Anti-SPAG4L Polyclonal Antibody, Unconjugated(bs-1220R) 1:200, overnight at 4°C, followed by conjugation to the secondary antibody(SP-0023) and DAB(C-0010) staining
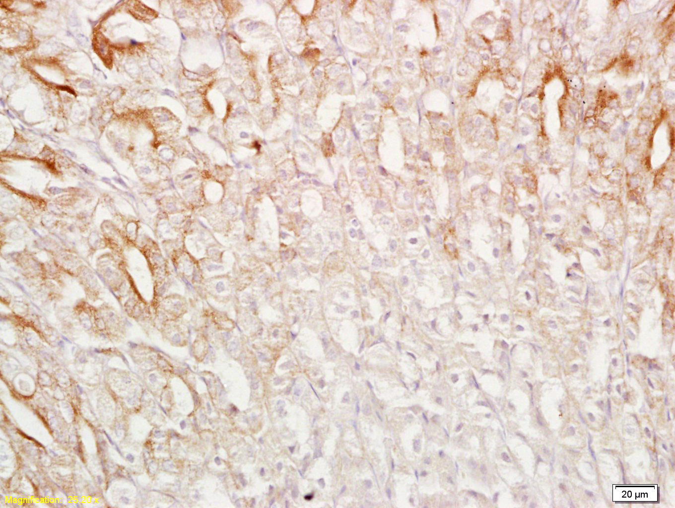
Tissue/cell: mouse stomach tissue; 4% Paraformaldehyde-fixed and paraffin-embedded; Antigen retrieval: citrate buffer ( 0.01M, pH 6.0 ), Boiling bathing for 15min; Block endogenous peroxidase by 3% Hydrogen peroxide for 30min; Blocking buffer (normal goat serum,C-0005) at 37℃ for 20 min; Incubation: Anti-SRG4/TSARG4 Polyclonal Antibody, Unconjugated(bs-1220R) 1:200, overnight at 4°C, followed by conjugation to the secondary antibody(SP-0023) and DAB(C-0010) staining
Tissue/cell: rat pancreas tissue; 4% Paraformaldehyde-fixed and paraffin-embedded; Antigen retrieval: citrate buffer ( 0.01M, pH 6.0 ), Boiling bathing for 15min; Block endogenous peroxidase by 3% Hydrogen peroxide for 30min; Blocking buffer (normal goat serum,C-0005) at 37℃ for 20 min; Incubation: Anti-SRG4/TSARG4 Polyclonal Antibody, Unconjugated(bs-1220R) 1:200, overnight at 4°C, followed by conjugation to the secondary antibody(SP-0023) and DAB(C-0010) staining
版权所有 2004-2026 www.bioss.com.cn 北京博奥森生物技术有限公司
通过国际质量管理体系ISO 9001:2015 GB/T 19001-2016    证书编号: 00124Q34771R2M/1100
通过国际医疗器械-质量管理体系ISO 13485:2016 GB/T 42061-2022     证书编号: CQC24QY20047R0M/1100
京ICP备05066980号-1         京公网安备110107000727号