扫码关注公众号           扫码咨询技术支持           扫码咨询技术服务
  
客服热线:400-901-9800  客服QQ:4009019800  技术答疑  技术支持  质量反馈  人才招聘  关于我们  联系我们
产品中心-北京博奥森生物技术有限公司
首页 > 产品中心 > 一抗 > 产品信息
Tyrosine Hydroxylase Rabbit pAb (bs-0016R)  
订购热线:400-901-9800
订购邮箱:sales@bioss.com.cn
订购QQ:  400-901-9800
技术支持:techsupport@bioss.com.cn
50ul/1180.00元
100ul/1980.00元
200ul/2800.00元
大包装/询价

产品编号 bs-0016R
英文名称 Tyrosine Hydroxylase Rabbit pAb
中文名称 酪氨酸羟化酶抗体
别    名 DYT14; DYT5b; TYH; The; TY3H_HUMAN; TH; Tyrosine 3-hydroxylase (TH); 1.14.16.2; TY3H_MOUSE; TY3H_RAT;   
Specific References  (10)     |     bs-0016R has been referenced in 10 publications.
[IF=14.612] Na Zhou. et al. Specific Fluorescent Probe Based on “Protect–Deprotect” To Visualize the Norepinephrine Signaling Pathway and Drug Intervention Tracers. J Am Chem Soc. 2020;142(41):17751–17755  IF ;  Human.  
[IF=6.35] Yue Y et al. Noradrenaline-Specific, Efficient Visualization in Brain Tissue Triggered by Unique Cascade Nucleophilic Substitution. Anal Chem. 2019 Feb 5;91(3):2255-2259.  IHF ;  Mouse.  
[IF=5.811] Lang Xiu-Yuan. et al. Coeloglossum viride Var. Bracteatum Extract Attenuates MPTP-Induced Neurotoxicity in vivo by Restoring BDNF-TrkB and FGF2-Akt Signaling Axis and Inhibiting RIP1-Driven Inflammation. FRONT PHARMACOL. 2022 Apr;0:1571  WB ;  Mouse.  
[IF=4.526] Wen Yi. et al. Suppression of axonal attractant netrin-1 injured dopaminergic neuronal and motor function of mice during manganese over-exposure. METALLOMICS. Metallomics. 2022 Apr;:  WB ;  Mouse.  
[IF=2.784] Luo BB et al. Connexin 43 reduces susceptibility to sympathetic atrial fibrillation. INTERNATIONAL JOURNAL OF MOlecular medici. 2018,42(2):1125-1133.  IHC-P ;  Dog.  
[IF=2.761] Ozbey G et al. Metformin protects rotenone-induced dopaminergic neurodegeneration by reducing lipid peroxidation. Pharmacol Rep. 2020 Mar 23.  IHC ;  mouse.  
[IF=2.655] Xiaokereti, Jiasuoer. et al. Renal denervation alleviates chronic obstructive sleep apnea-induced atrial fibrillation via inhibition of atrial fibrosis and sympathetic hyperactivity. SLEEP BREATH. 2023 Feb;:1-14  IHC,IF ;  Dog.  
[IF=1.966] Tian L et al. Gingerol inhibits cisplatin-induced acute and delayed emesis in rats and minks by regulating the central and peripheral 5-HT, SP, and DA systems. J Nat Med. 2019 Nov 25.  IHC-P ;  rat&mink.  
[IF=1.19] Shu et al. Connexin 43 is involved in the sympathetic atrial fibrillation in canine and canine atrial myocytes. (2017) Anatol.J.Cardiol. 18:3-9  IHC ;  Canine.  
[IF=1.09] Yu, Yaping, et al. "Overexpression of lactate dehydrogenase-A in human intrahepatic cholangiocarcinoma: its implication for treatment." World Journal of Surgical Oncology 12.1 (2014): 78.  WB ;  Human.  
研究领域 肿瘤  免疫学  神经生物学  信号转导  新陈代谢  
抗体来源 Rabbit
克隆类型 Polyclonal
克 隆 号
交叉反应 Human,Mouse,Rat
产品应用 WB=1:500-2000,IHC-P=1:100-500,IHC-F=1:100-500,IF=1:100-500,Flow-Cyt=1μg/Test,ICC/IF=1:50-200
not yet tested in other applications.
optimal dilutions/concentrations should be determined by the end user.
理论分子量 60 kDa
检测分子量 60
细胞定位 细胞浆 细胞膜 
性    状 Liquid
浓    度 1mg/ml
免 疫 原 KLH conjugated synthetic peptide derived from mouse TH: 101-165/528 
亚    型 IgG
纯化方法 affinity purified by Protein A
缓 冲 液 0.01M TBS (pH7.4) with 1% BSA, 0.02% Proclin300 and 50% Glycerol.
保存条件 Shipped at 4℃. Store at -20℃ for one year. Avoid repeated freeze/thaw cycles.
注意事项 This product as supplied is intended for research use only, not for use in human, therapeutic or diagnostic applications.
PubMed PubMed
产品介绍 The protein encoded by this gene is involved in the conversion of tyrosine to dopamine. It is the rate-limiting enzyme in the synthesis of catecholamines, hence plays a key role in the physiology of adrenergic neurons. Mutations in this gene have been associated with autosomal recessive Segawa syndrome. Alternatively spliced transcript variants encoding different isoforms have been noted for this gene. [provided by RefSeq, Jul 2008]

Function:
Plays an important role in the physiology of adrenergic neurons.

Tissue Specificity:
Mainly expressed in the brain and adrenal glands.

DISEASE:
Defects in TH are the cause of Segawa syndrome autosomal recessive (ARSEGS) [MIM:605407]. A form of DOPA-responsive dystonia presenting in infancy or early childhood. Dystonia is defined by the presence of sustained involuntary muscle contractions, often leading to abnormal postures. Some cases present with parkinsonian symptoms in infancy. Unlike all other forms of dystonia, it is an eminently treatable condition, due to a favorable response to L-DOPA.
Note=May play a role in the pathogenesis of Parkinson disease (PD). A genome-wide copy number variation analysis has identified a 34 kilobase deletion over the TH gene in a PD patient but not in any controls.

Similarity:
Belongs to the biopterin-dependent aromatic amino acid hydroxylase family.

SWISS:
P24529

Gene ID:
21823

Database links:

Entrez Gene: 7054 Human

Entrez Gene: 21823 Mouse

Entrez Gene: 25085 Rat

Omim: 191290 Human

SwissProt: P07101 Human

SwissProt: P24529 Mouse

SwissProt: P04177 Rat

Unigene: 435609 Human

Unigene: 1292 Mouse

Unigene: 11082 Rat



神经细胞标志物
酪氨酸羟化酶(TH)是儿茶酚胺类神经递质即多巴胺、去甲肾上腺素、肾上腺素生物合成过程所需的限速酶,它以四氢生物喋呤啶(BH4)为辅酶,催化酪氨酸的羟化而生成多巴(DOPA)。
已知在患帕金森病(Parkinson disease,PD)时,脑内多巴胺(dopamine,DA)的减少与此酶活性低下有关。因此对PD模型动物来说,若将TH基因植入脑内,便可以提高脑内DA水平而达到基因治疗目的。
产品图片
25 ug total protein per lane of various lysates (see on figure) probed with Tyrosine Hydroxylase polyclonal antibody, unconjugated (bs-0016R) at 1:2000 dilution and 4°C overnight incubation. Followed by conjugated secondary antibody incubation at r.t. for 60 min.
Paraformaldehyde-fixed, paraffin embedded Human Prostate Cancer; Antigen retrieval by boiling in sodium citrate buffer (pH6.0) for 15 min; The section was incubated with Tyrosine Hydroxylase Polyclonal Antibody, Unconjugated (bs-0016R) at 1:200 overnight at 4°C, followed by conjugation to the bs-0295G-HRP and DAB (C-0010) staining.
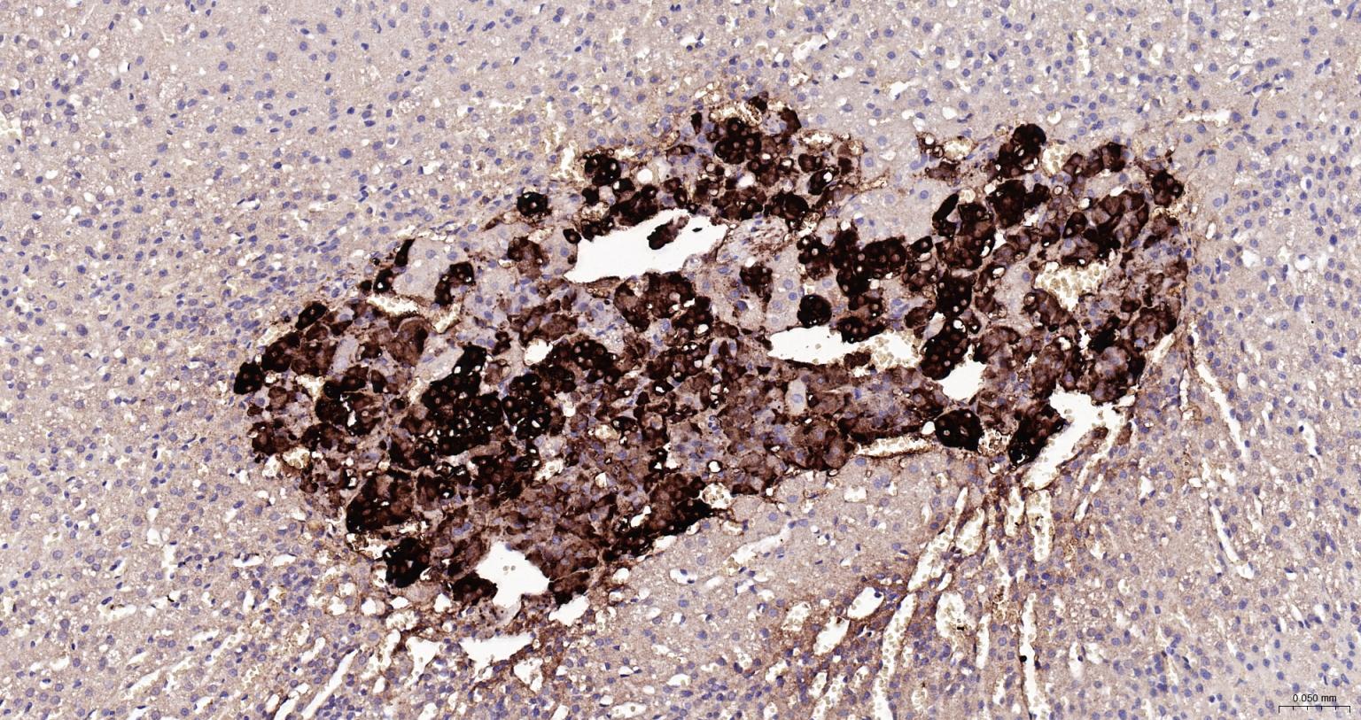
Paraformaldehyde-fixed, paraffin embedded Mouse Adrenal Gland; Antigen retrieval by boiling in sodium citrate buffer (pH6.0) for 15 min; The section was incubated with Tyrosine Hydroxylase Polyclonal Antibody, Unconjugated (bs-0016R) at 1:200 overnight at 4°C, followed by conjugation to the bs-0295G-HRP and DAB (C-0010) staining.
Paraformaldehyde-fixed, paraffin embedded Rat Adrenal Gland; Antigen retrieval by boiling in sodium citrate buffer (pH6.0) for 15 min; The section was incubated with Tyrosine Hydroxylase Polyclonal Antibody, Unconjugated (bs-0016R) at 1:200 overnight at 4°C, followed by conjugation to the bs-0295G-HRP and DAB (C-0010) staining.
Paraformaldehyde-fixed, paraffin embedded Mouse Cerebrum; Antigen retrieval by boiling in sodium citrate buffer (pH6.0) for 15 min; The section was incubated with Tyrosine Hydroxylase Polyclonal Antibody, Unconjugated (bs-0016R) at 1:200 overnight at 4°C, followed by conjugation to the bs-0295G-HRP and DAB (C-0010) staining.
Paraformaldehyde-fixed, paraffin embedded Rat Cerebrum; Antigen retrieval by boiling in sodium citrate buffer (pH6.0) for 15 min; The section was incubated with Tyrosine Hydroxylase Polyclonal Antibody, Unconjugated (bs-0016R) at 1:200 overnight at 4°C, followed by conjugation to the bs-0295G-HRP and DAB (C-0010) staining.
4% Paraformaldehyde-fixed SH-SY5Y (H) cell; Triton X-100 at r.t. for 20 min; Antibody incubation with (Tyrosine Hydroxylase) polyclonal Antibody, unconjugated (bs-0016R) 1:100, 90 min at 37°C; followed by BF488 conjugated Goat Anti-Rabbit IgG antibody (green, bs-60295G-BF488) at 37°C for 90 min, DAPI (blue, C02-04002) was used to stain the cell nuclei. PBS instead of the primary antibody was used as the blank control.
版权所有 2004-2026 www.bioss.com.cn 北京博奥森生物技术有限公司
通过国际质量管理体系ISO 9001:2015 GB/T 19001-2016    证书编号: 00124Q34771R2M/1100
通过国际医疗器械-质量管理体系ISO 13485:2016 GB/T 42061-2022     证书编号: CQC24QY20047R0M/1100
京ICP备05066980号-1         京公网安备110107000727号