扫码关注公众号           扫码咨询技术支持           扫码咨询技术服务
  
客服热线:400-901-9800  客服QQ:4009019800  技术答疑  技术支持  质量反馈  关于我们  联系我们
产品中心-北京博奥森生物技术有限公司
首页 > 产品中心 > 一抗 > 产品信息
SNAI1 Rabbit pAb (bs-1371R)  
订购热线:400-901-9800
订购邮箱:sales@bioss.com.cn
订购QQ:  400-901-9800
技术支持:techsupport@bioss.com.cn
50ul/1180.00元
100ul/1980.00元
200ul/2800.00元
大包装/询价

产品编号 bs-1371R
英文名称 SNAI1 Rabbit pAb
中文名称 Snail蛋白抗体
别    名 SNAI1_HUMAN; Zinc finger protein SNAI1; SNAI1; SNAH; SNAI 1; SNA; SNAIL1; dJ710H13.1; Protein snail homolog 1(Protein sna); Protein snail homolog 1; Protein sna;  
Specific References  (24)     |     bs-1371R has been referenced in 24 publications.
[IF=12.35] Chaudhury et al. CELF1 is a central node in post-transcriptional regulatory programmes underlying EMT. (2016) Nat.Commun. 7:13362  WB ;  Human.  
[IF=7.59] Xiaomeng Wang. et al. A multifunctional black phosphorus-based adhesive patch intrinsically induces partial EMT for effective burn wound healing. BIOMATER SCI-UK. 2022 Nov;:  WB ;  Human.  
[IF=6.543] Yang Lili. et al. Elucidating the Novel Mechanism of Ligustrazine in Preventing Postoperative Peritoneal Adhesion Formation. Oxid Med Cell Longev. 2022;2022:9226022  WB,IF ;  Rat,Human.  
[IF=6.196] Cheng He. et al. Crosstalk of renal cell carcinoma cells and tumor-associated macrophages aggravates tumor progression by modulating muscleblind-like protein 2/B-cell lymphoma 2/beclin 1-mediated autophagy. CYTOTHERAPY. 2022 Oct;:  WB ;  Human.  
[IF=5.714] Li D et al. Oxygenated Polycyclic aromatic hydrocarbons (Oxy-PAHs) facilitate lung cancer metastasis by epigenetically regulating the epithelial-to-mesenchymal transition (EMT). Environ Pollut. 2019 Sep 17;255(Pt 2):113261.  WB ;  Human.  
[IF=5.572] Liu H et al. Anti-tubulin agent vinorelbine inhibits metastasis of cancer cells by regulating epithelial-mesenchymal transition. Eur J Med Chem. 2020 Aug 15;200:112332.  WB ;  Human.  
[IF=5.17] Hsu et al. Epidermal growth factor-induced cyclooxygenase-2 enhances head and neck squamous cell carcinoma metastasis through fibronectin up-regulation. (2015) Oncotarge. 6:1723-39  WB ;  Human.  
[IF=4.784] Zheng Wu. et al. FOXD3 suppresses epithelial–mesenchymal transition through direct transcriptional promotion of SMAD7 in esophageal squamous cell carcinoma. 2021 Sep 22  WB ;  human.  
[IF=4.137] Huang T et al. Schwann Cell-Derived CCL2 Promotes the Perineural Invasion of Cervical Cancer. Front Oncol. 2020 Jan 29;10:19.  IHC-P ;  Human.  
[IF=3.83] Lin et al. Celastrol Ameliorates Ulcerative Colitis-Related Colorectal Cancer in Mice via Suppressing Inflammatory Responses and Epithelial-Mesenchymal Transition. (2016) Front.Pharmacol. 6:320  IHC ;  Human.  
[IF=3.493] Fangyu Chai. et al. Identification of SLC2A3 as a prognostic indicator correlated with the NF-κB/EMT axis and immune response in head and neck squamous cell carcinoma. CHANNELS. 2023;17(1):Article: 2208928  WB ;  Human.  
[IF=3.195] Wang Wenjun. et al. LncRNA NEAT1 antagonizes the inhibition of melanoma proliferation, migration, invasion and EMT by Polyphyllin B. N-S ARCH PHARMACOL. 2023 Apr;:1-12  WB ;  Mouse.  
[IF=3.192] Dr. Jing Tian. et al. Downregulation of SOX21-AS1 alleviated cisplatin resistance in cervical cancer through Epithelial-messenchymal transition (EMT) inhibition. REJUV RES. 2022 Aug 30  IF, IHC ;  Human, Mouse.  
[IF=3.152] Li Z et al. Nicotinamide inhibits corneal endothelial mesenchymal transition and accelerates wound healing. Exp Eye Res. 2019 Apr 24;184:227-233.  IHF、WB ;  Rabbit、Human.  
[IF=3.011] Xin Wang. et al. Multiple roles of FGF10 in the regulation of corneal endothelial wound healing. Exp Eye Res. 2021 Apr;205:108517  WB ;  Human.  
[IF=2.85] Wenting Liu. et al. ZD6474 Attenuates Fibrosis and Inhibits Neovascularization in Human Pterygium by Suppressing AKT-mTOR Signaling Pathway. J OCUL PHARMACOL TH. 2022 Dec 21  WB ;  Human.  
[IF=2.826] Yingmin Liu. et al. LOXL2 promotes tumor proliferation and metastasis by FAK/Src signaling in esophageal squamous cell carcinoma. ELECTRON J BIOTECHN. 2023 Apr;:  WB ;  Human.  
[IF=2.813] Xin Wenhu. et al. CLCA2 overexpression suppresses epithelial-to-mesenchymal transition in cervical cancer cells through inactivation of ERK/JNK/p38-MAPK signaling pathways. BMC MOL CELL BIOL. 2022 Dec;23(1):1-10  WB ;  Human, Mouse.  
[IF=2.766] Ning et al. Vascular endothelial growth factor receptor-1 activation promotes migration and invasion of breast cancer cells through epithelial-mesenchymal transition. (2013) PLoS.One. 8:e65217  IHC-P ;  Human.  
[IF=2.566] Yang Z et al. Tenascin-C is involved in promotion of cancer stemness via the Akt/HIF1ɑ axis in esophageal squamous cell carcinoma.Exp Mol Pathol. 2019 Mar 20.  WB ;  Human.  
[IF=2.243] Jun Li. et al. EBV-miR-BART12 inhibits cell migration and proliferation by targeting Snail expression in EBV-associated gastric cancer. 2021 Mar 01  IF ;  Human.  
[IF=1.76] Takahashi, Masayuki, et al. "Epithelial–mesenchymal transition of the eccrine glands is involved in skin fibrosis in morphea." The Journal of Dermatology (2013).  IHC-P ;  Human.  
[IF=1.28] Jinquan Cai Roles of transcriptional factor Snail and adhesion factor E-cadherin in clear cell renal cell carcinoma. (2013) Exp.Ther.Me. 6:1489-1493  IHC-P ;  Human.  
[IF=1.26] Pan et al. MgCl2 and ZnCl2 promote human umbilical vein endothelial cell migration and invasion and stimulate epithelial-mesenchymal transition via the Wnt/β-catenin pathway. (2017) Exp.Ther.Med. 14:4663-4670  WB ;  Human.  
研究领域 肿瘤  心血管  细胞生物  信号转导  转录调节因子  锌指蛋白  表观遗传学  
抗体来源 Rabbit
克隆类型 Polyclonal
克 隆 号
交叉反应 Human,Mouse,Rat
产品应用 WB=1:500-2000,IHC-P=1:100-500,IHC-F=1:100-500,IF=1:100-500,ELISA=1:5000-1000
not yet tested in other applications.
optimal dilutions/concentrations should be determined by the end user.
理论分子量 29 kDa
检测分子量
细胞定位 细胞核 细胞浆 
性    状 Liquid
浓    度 1mg/ml
免 疫 原 KLH conjugated synthetic peptide derived from human Anail: 188-264/264 
亚    型 IgG
纯化方法 affinity purified by Protein A
缓 冲 液 0.01M TBS (pH7.4) with 1% BSA, 0.02% Proclin300 and 50% Glycerol.
保存条件 Shipped at 4℃. Store at -20℃ for one year. Avoid repeated freeze/thaw cycles.
注意事项 This product as supplied is intended for research use only, not for use in human, therapeutic or diagnostic applications.
PubMed PubMed
产品介绍 The Drosophila embryonic protein snail is a zinc finger transcriptional repressor which downregulates the expression of ectodermal genes within the mesoderm. The nuclear protein encoded by this gene is structurally similar to the Drosophila snail protein, and is also thought to be critical for mesoderm formation in the developing embryo. At least two variants of a similar processed pseudogene have been found on chromosome 2. [provided by RefSeq, Jul 2008]

Function:
Involved in the epithelial to mesenchymal transition (EMT) and formation and maintenance of embryonic mesoderm. Binds to 3 E-boxes of the E-cadherin gene promoter and represses its transcription.

Subunit:
Interacts with FBXL14 and GSK3B. Interacts with BTRC; interaction occurs when it is phosphorylated on the destruction motif. Interacts (via SNAG domain) with WTIP (via LIM domains). Interacts (via SNAG domain) with LIMD1 (via LIM domains), and AJUBA (via LIM domains). Interacts with LOXL2 and LOXL3.

Subcellular Location:
Nucleus. Cytoplasm. Note=Once phosphorylated (probably on Ser-107, Ser-111, Ser-115 and Ser-119) it is exported from the nucleus to the cytoplasm where subsequent phosphorylation of the destruction motif and ubiquitination involving BTRC occurs.

Tissue Specificity:
Expressed in a variety of tissues with the highest expression in kidney. Expressed in mesenchymal and epithelial cell lines.

Post-translational modifications:
Phosphorylated by GSK3B. Once phosphorylated, it becomes a target for BTRC ubiquitination.
Ubiquitinated on Lys-98, Lys-137 and Lys-146 by FBXL14 and BTRC leading to degradation. BTRC-triggered ubiquitination requires previous GSK3B-mediated SNAI1 phosphorylation.
O-GlcNAcylation at Ser-112 is enhanced in hyperglycaemic conditions, it opposes phosphorylation by GSK3B, and stabilizes the protein.

Similarity:
Belongs to the snail C2H2-type zinc-finger protein family.
Contains 4 C2H2-type zinc fingers.

SWISS:
O95863

Gene ID:
6615

Database links:

Entrez Gene: 6615 Human

Entrez Gene: 20613 Mouse

Entrez Gene: 116490 Rat

SwissProt: O95863 Human

SwissProt: Q02085 Mouse




产品图片
25 ug total protein per lane of various lysates (see on figure) probed with SNAI1 polyclonal antibody, unconjugated (bs-1371R) at 1:1000 dilution and 4°C overnight incubation. Followed by conjugated secondary antibody incubation at r.t. for 60 min.
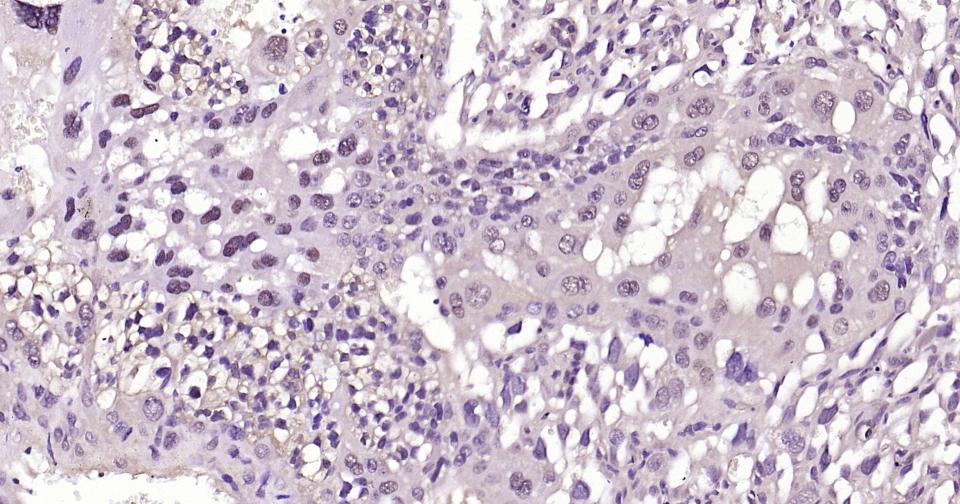
Paraformaldehyde-fixed, paraffin embedded Human Gastric Cancer; Antigen retrieval by boiling in sodium citrate buffer (pH6.0) for 15 min; Antibody incubation with SNAI1 Polyclonal Antibody, Unconjugated (bs-1371R) at 1:200 overnight at 4°C, followed by conjugation to the SP Kit (Rabbit, SP-0023) and DAB (C-0010) staining.
Paraformaldehyde-fixed, paraffin embedded Human Colon Cancer; Antigen retrieval by boiling in sodium citrate buffer (pH6.0) for 15 min; Antibody incubation with SNAI1 Polyclonal Antibody, Unconjugated (bs-1371R) at 1:200 overnight at 4°C, followed by conjugation to the SP Kit (Rabbit, SP-0023) and DAB (C-0010) staining.
Paraformaldehyde-fixed, paraffin embedded Human Lung Cancer; Antigen retrieval by boiling in sodium citrate buffer (pH6.0) for 15 min; Antibody incubation with SNAI1 Polyclonal Antibody, Unconjugated (bs-1371R) at 1:200 overnight at 4°C, followed by conjugation to the SP Kit (Rabbit, SP-0023) and DAB (C-0010) staining.
Paraformaldehyde-fixed, paraffin embedded Rat Colon; Antigen retrieval by boiling in sodium citrate buffer (pH6.0) for 15 min; Antibody incubation with SNAI1 Polyclonal Antibody, Unconjugated (bs-1371R) at 1:200 overnight at 4°C, followed by conjugation to the SP Kit (Rabbit, SP-0023) and DAB (C-0010) staining.
Paraformaldehyde-fixed, paraffin embedded Rat Placenta; Antigen retrieval by boiling in sodium citrate buffer (pH6.0) for 15 min; Antibody incubation with SNAI1 Polyclonal Antibody, Unconjugated (bs-1371R) at 1:200 overnight at 4°C, followed by conjugation to the SP Kit (Rabbit, SP-0023) and DAB (C-0010) staining.
Paraformaldehyde-fixed, paraffin embedded Mouse Placenta; Antigen retrieval by boiling in sodium citrate buffer (pH6.0) for 15 min; Antibody incubation with SNAI1 Polyclonal Antibody, Unconjugated (bs-1371R) at 1:200 overnight at 4°C, followed by conjugation to the SP Kit (Rabbit, SP-0023) and DAB (C-0010) staining.
版权所有 2004-2026 www.bioss.com.cn 北京博奥森生物技术有限公司
通过国际质量管理体系ISO 9001:2015 GB/T 19001-2016    证书编号: 00124Q34771R2M/1100
通过国际医疗器械-质量管理体系ISO 13485:2016 GB/T 42061-2022     证书编号: CQC24QY20047R0M/1100
京ICP备05066980号-1         京公网安备110107000727号