扫码关注公众号           扫码咨询技术支持           扫码咨询技术服务
  
客服热线:400-901-9800  客服QQ:4009019800  技术答疑  技术支持  质量反馈  关于我们  联系我们
产品中心-北京博奥森生物技术有限公司
首页 > 产品中心 > 一抗 > 产品信息
Galectin 9 Rabbit pAb (bs-0604R)  
订购热线:400-901-9800
订购邮箱:sales@bioss.com.cn
订购QQ:  400-901-9800
技术支持:techsupport@bioss.com.cn
50ul/1180.00元
100ul/1980.00元
200ul/2800.00元
大包装/询价

产品编号 bs-0604R
英文名称 Galectin 9 Rabbit pAb
中文名称 半乳糖凝集素9抗体
别    名 LGALS9; 36 kDa beta-galactoside-binding lectin; Ecalectin; Gal-9; Galectin-9; galectin9; HOM HD 21; HOMHD21; HUAT; Lectin galactoside binding soluble 9; LEG9_HUMAN; LGAL S9; LGALS 9; LGALS9A; MGC117375; MGC125973; MGC125974; Tumor antigen HOM-HD-21; UAT; Urate transporter/channel; Urate transporter/channel protein;  
Specific References  (1)     |     bs-0604R has been referenced in 1 publications.
[IF=3.47] Zhang Y et al. Konjac glucomannan improves hyperuricemia through regulating xanthine oxidase, adenosine deaminase and urate transporters in rats. Journal of Functional Foods,2018 48, 566–575.  WB ;  Rat.  
研究领域 肿瘤  细胞生物  转录调节因子  糖蛋白  
抗体来源 Rabbit
克隆类型 Polyclonal
克 隆 号
交叉反应 Human,Mouse,Rat
产品应用 IHC-P=1:100-500,IHC-F=1:100-500,IF=1:100-500
not yet tested in other applications.
optimal dilutions/concentrations should be determined by the end user.
理论分子量 39 kDa
检测分子量
细胞定位 细胞浆 分泌型蛋白 
性    状 Liquid
浓    度 1mg/ml
免 疫 原 KLH conjugated synthetic peptide derived from mouse galectin 9: 101-180/353 
亚    型 IgG
纯化方法 affinity purified by Protein A
缓 冲 液 0.01M TBS (pH7.4) with 1% BSA, 0.02% Proclin300 and 50% Glycerol.
保存条件 Shipped at 4℃. Store at -20℃ for one year. Avoid repeated freeze/thaw cycles.
注意事项 This product as supplied is intended for research use only, not for use in human, therapeutic or diagnostic applications.
PubMed PubMed
产品介绍 Binds galactosides. May play a role in thymocyte-epithelial interactions relevant to the biology of the thymus. Is a ligand for HAVCR2/TIM3. Induces T-helper type 1 lymphocyte (Th1) death (By similarity). May provide the molecular basis for urate flux across cell membranes, allowing urate that is formed during purine metabolism to efflux from cells and serving as an electrogenic transporter that plays an important role in renal and gastrointestinal urate excretion. Highly selective to the anion urate.

Subunit:
Homodimer.

Subcellular Location:
Cytoplasm. Secreted. Note=May also be secreted by a non-classical secretory pathway.

Tissue Specificity:
Accentuated expression in liver and thymus of embryo, detected in embryonic heart, brain, lung, liver, and kidney. Highly expressed in adult thymus, small intestine, and liver, and to a lesser extent in lung, kidney, spleen, cardiac, and skeletal muscle. Barely detectable in brain and reticulocyte. The isoform Long is expressed exclusively in the small intestine.

Similarity:
Contains 2 galectin domains.

SWISS:
O08573

Gene ID:
16859

Database links:

Entrez Gene: 3965 Human

Entrez Gene: 16859 Mouse

Entrez Gene: 25476 Rat

Omim: 601879 Human

SwissProt: O00182 Human

SwissProt: O08573 Mouse

SwissProt: P97840 Rat

Unigene: 81337 Human

Unigene: 341434 Mouse

Unigene: 10706 Rat



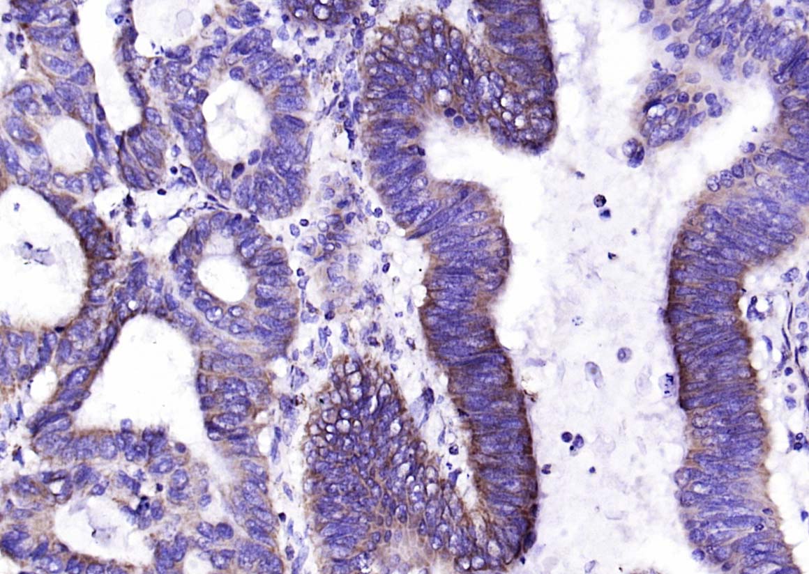
产品图片
Paraformaldehyde-fixed, paraffin embedded (Human tonsil); Antigen retrieval by boiling in sodium citrate buffer (pH6.0) for 15min; Block endogenous peroxidase by 3% hydrogen peroxide for 20 minutes; Blocking buffer (normal goat serum) at 37°C for 30min; Antibody incubation with (galectin 9) Polyclonal Antibody, Unconjugated (bs-0604R) at 1:400 overnight at 4°C, followed by operating according to SP Kit(Rabbit) (sp-0023) instructions and DAB staining.
Paraformaldehyde-fixed, paraffin embedded (human colon carcinoma); Antigen retrieval by boiling in sodium citrate buffer (pH6.0) for 15min; Block endogenous peroxidase by 3% hydrogen peroxide for 20 minutes; Blocking buffer (normal goat serum) at 37°C for 30min; Antibody incubation with (galectin 9) Polyclonal Antibody, Unconjugated (bs-0604R) at 1:200 overnight at 4°C, followed by operating according to SP Kit(Rabbit) (sp-0023) instructionsand DAB staining.
Paraformaldehyde-fixed, paraffin embedded (rat pancreas); Antigen retrieval by boiling in sodium citrate buffer (pH6.0) for 15min; Block endogenous peroxidase by 3% hydrogen peroxide for 20 minutes; Blocking buffer (normal goat serum) at 37°C for 30min; Antibody incubation with (galectin 9) Polyclonal Antibody, Unconjugated (bs-0604R) at 1:200 overnight at 4°C, followed by operating according to SP Kit(Rabbit) (sp-0023) instructionsand DAB staining.
Paraformaldehyde-fixed, paraffin embedded (mouse pancreas); Antigen retrieval by boiling in sodium citrate buffer (pH6.0) for 15min; Block endogenous peroxidase by 3% hydrogen peroxide for 20 minutes; Blocking buffer (normal goat serum) at 37°C for 30min; Antibody incubation with (galectin 9) Polyclonal Antibody, Unconjugated (bs-0604R) at 1:200 overnight at 4°C, followed by operating according to SP Kit(Rabbit) (sp-0023) instructionsand DAB staining.
Tissue/cell: mouse kidney tissue; 4% Paraformaldehyde-fixed and paraffin-embedded; Antigen retrieval: citrate buffer ( 0.01M, pH 6.0 ), Boiling bathing for 15min; Block endogenous peroxidase by 3% Hydrogen peroxide for 30min; Blocking buffer (normal goat serum,C-0005) at 37℃ for 20 min; Incubation: Anti-Galectin-9 Polyclonal Antibody, Unconjugated(bs-0604R) 1:200, overnight at 4°C, followed by conjugation to the secondary antibody(SP-0023) and DAB(C-0010) staining
Tissue/cell: rat liver tissue; 4% Paraformaldehyde-fixed and paraffin-embedded; Antigen retrieval: citrate buffer ( 0.01M, pH 6.0 ), Boiling bathing for 15min; Block endogenous peroxidase by 3% Hydrogen peroxide for 30min; Blocking buffer (normal goat serum,C-0005) at 37℃ for 20 min; Incubation: Anti-Galectin-9 Polyclonal Antibody, Unconjugated(bs-0604R) 1:200, overnight at 4°C, followed by conjugation to the secondary antibody(SP-0023) and DAB(C-0010) staining
版权所有 2004-2026 www.bioss.com.cn 北京博奥森生物技术有限公司
通过国际质量管理体系ISO 9001:2015 GB/T 19001-2016    证书编号: 00124Q34771R2M/1100
通过国际医疗器械-质量管理体系ISO 13485:2016 GB/T 42061-2022     证书编号: CQC24QY20047R0M/1100
京ICP备05066980号-1         京公网安备110107000727号